Síndrome respiratória aguda grave
| Síndrome respiratória aguda grave | |
|---|---|
| Sinónimos | SARS, pneumonia atípica |
![]() | |
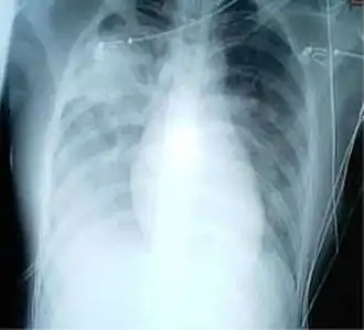
| Radiografia ao tórax em que se observa aumento de opacidade em ambos os pulmões, indicativo de pneumonia, em paciente com SARS | |
| Especialidade | Infectologia |
| Sintomas | Febre, dores de cabeça, calafrios e dores musculares.[1] |
| Duração | 1-2 semanas[1] |
| Causas | Infeção por coronavírus SARS-CoV[1] |
| Tratamento | Isolamento, oxigénio, ventilação mecânica[1] |
| Prognóstico | Letalidade 10%[1] |
| Mortes | >800 (2002-2004)[1] |
| Classificação e recursos externos | |
| CID-11 | 1D65 |
| CID-10 | J12.81 |
| CID-9 | 079.82 |
| DiseasesDB | 32835 |
| MedlinePlus | 007192 |
| eMedicine | 237755 |
| MeSH | D045169 |
Síndrome respiratória aguda grave (SARS, do inglês severe acute respiratory syndrome, ou SRAG, em português) é uma doença respiratória viral de origem zoonótica causada pelo coronavírus SARS-CoV.[1][2] A doença causa sintomas semelhantes aos da gripe, como febre, dores de cabeça, calafrios e dores musculares.[1] No entanto, a SARS é uma doença muito mais grave do que a maioria das outras infeções por coronavírus, que geralmente causam apenas sintomas ligeiros.[1]
A SARS é causada pela infeção com o coronavírus SARS-CoV.[1] A transmissão entre pessoas dá-se por contacto próximo com a pessoa infetada ou através de gotículas expelidas pela tosse ou espirros de uma pessoa infectada.[1] Suspeita-se de diagnóstico de SARS nos casos em que a pessoa tenha sido exposta a uma pessoa infectada e tiver febre acompanhada de tosse ou dificuldades respiratórias.[1] O diagnóstico pode ser confirmado com exames para identificar o vírus.[1]
O tratamento consiste em isolamento, administração de oxigénio e, em caso de dificuldades respiratórias, ventilação mecânica.[1] A maioria das pessoas se recuperam ao fim de uma a duas semanas.[1] No entanto, a doença é fatal em cerca de 10 por cento dos casos.[1]
A SARS foi detectada pela primeira vez no fim de 2002 na China.[1] Entre 2002 e 2003, um surto da doença resultou em mais de 8 000 casos e cerca de 800 mortes em todo o mundo.[1] Desde 2004 não há registos de novos casos da doença.[1] Pensa-se que a doença tenha tido origem em gatos-de-algália infectados por morcegos e posteriormente vendidos em mercados.[1] Em 2012 foi detectada na Arábia Saudita uma nova variante de coronavírus (MERS-CoV), responsável pela síndrome respiratória do Médio Oriente (MERS).[1]
Origem do termo
Em 12 de março de 2003, a OMS emitiu um alerta global para uma pneumonia atípica, de origem desconhecida, até então sem nome.[3] No mesmo alerta, se referiram ao quadro clínico de diferentes formas, como doença respiratória aguda, síndrome respiratória aguda grave e desconforto respiratório agudo:
"No Vietnam, o surto se iniciou com um único caso que foi hospitalizado para tratamento de uma síndrome respiratória aguda e severa, de origem desconhecida. [...] em alguns casos progredindo para desconforto respiratório agudo, necessitando ventilação assistida [...]. Até então, nenhuma conexão foi estabelecida entre esses surtos de doença respiratória aguda em Hanoi e Hong Kong e o surto de 'gripe aviária', A(H5N1) [...]."[3]
Depois disso, a OMS emitiu relatórios sequenciais, começando a partir do dia 16 de março de 2003, já considerando o novo nome designado para essa síndrome: SARS.[4][5][6] No mesmo dia 16 de março, o Centro de Informação em Saúde para Viajantes (Cives) emitiu um informe técnico alertando para a nova doença infecciosa, traduzida como Síndrome Respiratória Aguda Grave.[7] O registro de "Síndrome Respiratória Aguda Grave" foi então adicionado ao CID-10 sob o código UO4.9, após implementação pela OMS em outubro de 2003.[8][9] Em 18 de março de 2004, a OMS declarou que a transmissão interpessoal de SARS havia sido interrompida e, desde 2004, não houve nenhum novo registro de SARS no mundo.[10][11] A OMS então recomendou que, para pesquisas laboratoriais envolvendo o vírus SARS-CoV, era necessário um nível 3 de biossegurança.[10]
O uso do termo "SRAG" no Brasil
O uso exclusivo do termo "SRAG" para designar uma doença de etiologia definida gerou críticas, já que, na medicina, síndromes caracterizam-se pela presença de critérios ou condições clínicas; não são um diagnóstico etiológico.[12] Portanto, pode-se argumentar que o SARS-CoV pode causar uma SRAG, mas a SRAG não implica, necessariamente, numa infecção por coronavírus.[12]
De forma consoante, no Brasil, desde 2009 o Sistema de Informações de Agravos de Notificação (SINAN) passou a coletar notificações de SRAG no Sinan Web Influenza como sinônimo de infecção respiratória aguda grave, caracterizada por casos graves de síndrome gripal, independente do agente etiológico.[13][14][15][16][13]
Ver também
- Síndrome respiratória do Médio Oriente
- COVID-19
Referências
- 1 2 3 4 5 6 7 8 9 10 11 12 13 14 15 16 17 18 19 20 21 Brenda L. Tesini (setembro de 2018). «Síndrome respiratória aguda grave (SARS)». Manual Merck. Consultado em 23 de janeiro de 2020
- ↑ Lana, Raquel Martins; Coelho, Flávio Codeço; Gomes, Marcelo Ferreira da Costa; Cruz, Oswaldo Gonçalves; Bastos, Leonardo Soares; Villela, Daniel Antunes Maciel; Codeço, Cláudia Torres (2020). «Emergência do novo coronavírus (SARS-CoV-2) e o papel de uma vigilância nacional em saúde oportuna e efetiva». Cadernos de Saúde Pública. 36 (3): e00019620. ISSN 1678-4464. doi:10.1590/0102-311x00019620
- 1 2 «WHO | WHO issues a global alert about cases of atypical pneumonia»
- ↑ «WHO | Severe Acute Respiratory Syndrome (SARS) - multi-country outbreak - Update»
- ↑ «WHO | Severe Acute Respiratory Syndrome (SARS) - multi-country outbreak - Update 2»
- ↑ «WHO | Severe Acute Respiratory Syndrome (SARS) multi-country outbreak - Update 3»
- ↑ «Sindrome Respiratória Aguda Grave (SARS, SRAG): Informação Técnica»
- ↑ Centro da OMS Para a Classificação de Doenças em Português (2003). SARS (Severe Acute Respiratory Syndrome) (PDF). [S.l.]: Centro Brasileiro de Classificação de Doenças
- ↑ World Health Organization (2003). Official Updates to ICD-10 (PDF). [S.l.: s.n.] p. 2, 35
- 1 2 «WHO | China's latest SARS outbreak has been contained, but biosafety concerns remain – Update 7»
- ↑ CDC (3 de março de 2016). «Disease of the Week - SARS» (em inglês)
- 1 2 Kuen-Shan Jih, Thomas (janeiro de 2005). «Acute Respiratory Distress Syndrome (ARDS) and Severe Acute Respiratory Syndrome (SARS): Are We Speaking Different Languages?» (PDF). J Chin Med Assoc. Consultado em 30 de abril de 2020
- 1 2 «Histórico das Definições de Caso da Vigilância Universal da Influenza – Sinan Web Influenza» (PDF). Documentos Internos Grupo Técnico da Influenza – Nível Nacional. Consultado em 4 de maio de 2020
- ↑ Ministério da Saúde (2017). Protocolo de tratamento de influenza (PDF). Brasília: [s.n.] p. 13
- ↑ «Síndrome Gripal/SRAG: Classificação de Risco e Manejo do Paciente» (PDF). Ministério da Saúde. Maio de 2013. Consultado em 29 de abril de 2020
- ↑ «Sinan Influenza». SINAN - Sistema de Informação de Agravos de Notificação. 7 de Março de 2016. Consultado em 29 de abril de 2020
