Pré-eclampsia
| Pré-eclâmpsia | |
|---|---|
| Sinônimos | toxemia gravídica |
![]() | |
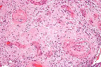
| Uma micrografia mostrando a vasculopatia decidual hipertrófica, uma característica vista na hipertensão gestacional e pré-eclâmpsia. Coloração H&E. | |
| Especialidade | Obstetrícia |
| Sintomas | pressão alta, proteínas na urina[1] |
| Complicações | Ruptura de glóbulos vermelhos, baixo nível de plaquetas, função do fígado deficiente, problemas nos rins, inchaço, encurtamento da respiração devido a fluidos nos pulmões, eclâmpsia[2][3] |
| Início habitual | Após 20 semanas de gestação[2] |
| Fatores de risco | Obesidade, hipertensão anterior, idade, diabetes mellitus[2][4] |
| Método de diagnóstico | PA > 140 mmHg sistólica ou 90 mmHg diastólica em dois momentos separados[3] |
| Prevenção | Aspirina, suplementação de cálcio, tratamento prévio para a hipertensão[4][5] |
| Tratamento | Parto, medicação[4] |
| Medicação | Labetalol, metildopa, sulfato de magnésio[4][6] |
| Frequência | 2–8% das gestações[4] |
| Mortes | 46.900 de desordens hipertensivas na gravidez (2015)[7] |
| Classificação e recursos externos | |
| CID-11 | JA24 |
| CID-10 | O11, O14 |
| CID-9 | 642.4-642.7 |
| OMIM | 609403, 609404, 609402, 189800, 614592 |
| DiseasesDB | 10494 |
| MedlinePlus | 000898 |
| eMedicine | med/1905 ped/1885 |
| MeSH | D011225 |
A pré-eclâmpsia ou pré-eclampsia (PE) é uma complicação da gravidez caracterizada por pressão arterial elevada e em muitos casos concentrações elevadas de proteínas na urina.[1][8] Quando aparece, a condição tem geralmente início após as 20 semanas de gravidez.[2] Na doença grave pode haver ruptura de glóbulos vermelhos, baixa concentração de plaquetas, função do fígado deficiente, disfunção renal, inchaço, falta de ar devido a líquido nos pulmões, ou distúrbios visuais.[2] A pré-eclâmpsia aumenta os riscos de maus resultados para a mãe e para o bebê.[3] Se não for tratada, pode resultar em convulsões, ponto que é conhecida como eclâmpsia.[2]
Fatores de risco para a pré-eclâmpsia incluem a obesidade, antes de hipertensão, idade avançada, e a diabetes mellitus.[2][4] Também é mais frequente na primeira gravidez e se a gestação é de gêmeos. O mecanismo subjacente envolve formação anormal de vasos sanguíneos na placenta, entre outros fatores.[2] A maioria dos casos são diagnosticados antes do parto. Raramente, a pré-eclâmpsia pode começar no período após o parto. Enquanto que, historicamente, tanto a hipertensão arterial e o nível de proteína na urina foram necessárias para fazer o diagnóstico, algumas definições também incluem aqueles com hipertensão e qualquer disfunção associada aos órgãos.[3][9] A pressão arterial é definida como alta quando é maior do que 140 mmHg de pressão sistólica e 90 mmHg de diastólica em dois momentos separados, mais de quatro horas de diferença em uma mulher, depois de vinte semanas de gravidez.[3] A disfução é rotineiramente testada durante o pré-natal.[10][11]
Recomendações para a prevenção incluem: ácido acetilsalicílico em pessoas de alto risco, suplementação de cálcio em áreas com baixa ingestão, e o tratamento prévio da hipertensão com medicamentos.[4][5] Em pacientes com pré-eclâmpsia o parto do bebê e a placenta é um tratamento eficaz. Quando o parto se torna recomendado depende da gravidade da pré-eclâmpsia e do tempo de gestação da mulher.[4] A medicação da pressão Arterial, tais como o labetalol e o metildopa, podem ser usados para melhorar a condição da mãe antes do parto.[6] Sulfato de magnésio pode ser usado para prevenir a eclâmpsia em pessoas com doenças graves.[4] Repouso na cama e ingestão de sal não se mostraram úteis para o tratamento ou prevenção.[3][4]
A pré-eclâmpsia afeta de 2 a 8% das gestações em todo o mundo.[4] Doenças hipertensivas da gravidez (que incluem a pré-eclâmpsia) são uma das causas mais comuns de morte devido à gravidez.[6] Elas resultaram em 46.900 mortes em 2015. A pré-eclâmpsia geralmente ocorre após 32 semanas; no entanto, se ocorrer mais cedo, ela está associada a resultados piores. As mulheres que tiveram pré-eclâmpsia estão em maior risco de doença cardíaca e acidente vascular cerebral , mais tarde, na vida.[10] A palavra eclâmpsia é a partir do termo grego para relâmpago. A primeira descrição da doença foi por Hipócrates no século V a.C.[12]
Causas
Especialistas acreditam que o problema está no desenvolvimento anormal dos vasos sanguíneos que conectam a placenta com o útero. Quando o fluxo sanguíneo é insuficiente para o útero ou ocorrem danos aos vasos sanguíneos, eles podem responder inadequadamente a estímulos hormonais e causar a pré-eclampsia.
Fatores de risco
Dentre os factores que aumentam o risco de sofrer esse transtornos incluem[13][14]:
- Histórico próprio ou familiar de pré-eclampsia
- Obesidade
- Diabetes Mellitus
- Hipertensão prévia
- Idade maior que 35 anos
- Primeira gravidez
- Gêmeos
- Hipotiroidismo
- Problemas renais
- Gravidez menos de 2 anos depois ou mais de 10 anos depois da gravidez anterior
- Poluição do ar
- Baixo consumo de cálcio
Sinais e sintomas
Os sinais característicos são[15]:
- Pressão arterial PAS: 140/160 e PAD 90/110, por geral e pressão arterial maior que 140/90 mmHg durante mais de 4h
- Urina espumosa (por conter mais de 300 mg/dia de proteínas) ou outros sinais de problemas renais (como urinar pouco)
- Inchaço das mãos, pés e face
Mesmo sem problemas renais, pode ser diagnosticado quando há alguns dos seguintes sintomas[15]:
- Dores de cabeça fortes
- Alterações na visão (perda temporária da visão, visão turva ou sensibilidade à luz)
- Dor abdominal, geralmente sob suas costelas do lado direito
- Náuseas ou vômitos
- Diminuição dos níveis de plaquetas no sangue (trombocitopenia)
- Insuficiência hepática
- Falta de ar, devido a líquido nos pulmões
Complicações
Se não tratado pode se tornar uma eclampsia, transtorno caracterizado por convulsões, coma e pode ser fatal para o feto e para a mãe. Também pode resultar em descolamento prematuro da placenta ou em problemas cardiovasculares como Síndrome HELLP (destruição de hemácias e plaquetas) e falta de oxigenação ao feto.[16]
Etimologia
O termo se refere a "dar a luz" repentinamente, porque muitas vezes apressar o parto é o único tratamento. Foi descrito pela primeira vez por Hipócrates no século V antes de Cristo. Já o termo "toxemia gravídica" foi uma interpretação equivocada de a causa eram toxinas no sangue.[17]
Prevenção
Triagem para pré-eclampsia tem sido possível desde cerca de 2010, através da medição de vários fatores bioquímicos e obstétricos. A combinação desta informação permite avaliar o risco de que a gestante desenvolva pré-eclâmpsia durante a gravidez atual, permitindo assim ao médico prevenir o desenvolvimento da doença.
A triagem para pré-eclampsia é feita no primeiro trimestre, lá pelas semanas 11 e 14 de gestação. Inclui um exame de sangue que pode ser realizado ao mesmo tempo que o rastreio da Trissomia 21 no primeiro trimestre da gravidez. O rastreio consiste em medir a concentração plasmática de dois biomarcadores, as proteínas PlGF11 (Factor de Crescimento Placental) e PAPP-A11 e associar esses ensaios com dados coletados por ginecologistas-obstetras ou parteiras: artérias dobradas do útero, mensuração da pressão arterial média do paciente, idade materna, tabagismo, origem geográfica, IMC, história hipertensiva e paridade.
A combinação de todos esses parâmetros permite estabelecer um risco preditivo, como é feito para a trissomia 21, com uma taxa de detecção de até 96,3%. No entanto, é uma triagem e não um diagnóstico. Portanto, é importante ter em mente que isso também inclui uma taxa de falsos negativos, ou seja, pacientes que não serão detectados.
Os últimos estudos realizados na Europa[18] mostraram a capacidade dessa abordagem de detectar realmente pacientes com alto risco de desenvolver pré-eclâmpsia e, especialmente, prevenir o desenvolvimento da doença e implementar um tratamento preventivo baseado em aspirina. Uma ingestão diária, iniciada suficientemente antes da gravidez (antes da 16ª semana), reduz o número de pré-eclâmpsia em até 80%.
Tratamento
O único tratamento definitivo é o parto com expulsão da placenta. Anti-hipertensivos adequados para a gravidez incluem labetalol, fenoterol, metildopa e nifedipina. Diuréticos e inibidores da ECA são contra-indicados porque afetam o desenvolvimento fetal. O objetivo do tratamento é evitar complicações até que o bebê esteja melhor preparado para nascer.
Corticosteroides podem melhorar temporariamente a função hepática e o nível de plaquetas para ajudar a prolongar a gravidez estimulando também que os pulmões do bebê amadureçam mais rápido. Sulfato de magnésio pode ser usado em casos severos como anticonvulsivante, bloqueando os receptores NMDA, para prevenir a eclampsia.[19]
Ver também
Referências
- 1 2 Eiland, Elosha; Nzerue, Chike; Faulkner, Marquetta (2012). «Preeclampsia 2012». Journal of Pregnancy. 2012: 1–7. doi:10.1155/2012/586578
- 1 2 3 4 5 6 7 8 Al-Jameil, N; Aziz Khan, F; Fareed Khan, M; Tabassum, H (Fevereiro de 2014). «A brief overview of preeclampsia.». Journal of clinical medicine research. 6 (1): 1–7. PMC 3881982
. PMID 24400024. doi:10.4021/jocmr1682w - 1 2 3 4 5 6 «Hypertension in pregnancy. Report of the American College of Obstetricians and Gynecologists' Task Force on Hypertension in Pregnancy.» (PDF). Obstet. Gynecol. 122 (5): 1122–31. Novembro de 2013. PMID 24150027. doi:10.1097/01.AOG.0000437382.03963.88
- 1 2 3 4 5 6 7 8 9 10 11 WHO recommendations for prevention and treatment of pre-eclampsia and eclampsia. (PDF). [S.l.: s.n.] 2011. ISBN 978-92-4-154833-5. Cópia arquivada (PDF) em 13 de maio de 2015
- 1 2 Henderson, JT; Whitlock, EP; O'Connor, E; Senger, CA; Thompson, JH; Rowland, MG (20 de maio de 2014). «Low-dose aspirin for prevention of morbidity and mortality from preeclampsia: a systematic evidence review for the U.S. Preventive Services Task Force.». Annals of Internal Medicine. 160 (10): 695–703. PMID 24711050. doi:10.7326/M13-2844
- 1 2 3 Arulkumaran, N.; Lightstone, L. (Dezembro de 2013). «Severe pre-eclampsia and hypertensive crises». Best Practice & Research Clinical Obstetrics & Gynaecology. 27 (6): 877–884. PMID 23962474. doi:10.1016/j.bpobgyn.2013.07.003
- ↑ GBD 2015 Mortality and Causes of Death, Collaborators. (8 de outubro de 2016). «Global, regional, and national life expectancy, all-cause mortality, and cause-specific mortality for 249 causes of death, 1980–2015: a systematic analysis for the Global Burden of Disease Study 2015.». Lancet. 388 (10053): 1459–1544. PMID 27733281. doi:10.1016/s0140-6736(16)31012-1
- ↑ Hypertension in pregnancy. [S.l.]: ACOG. 2013. p. 2. ISBN 9781934984284. Cópia arquivada em 18 de novembro de 2016
- ↑ Lambert, G; Brichant, JF; Hartstein, G; Bonhomme, V; Dewandre, PY (2014). «Preeclampsia: an update.». Acta Anaesthesiologica Belgica. 65 (4): 137–49. PMID 25622379
- 1 2 Steegers, Eric AP; von Dadelszen, Peter; Duvekot, Johannes J; Pijnenborg, Robert (Agosto de 2010). «Pre-eclampsia». The Lancet. 376 (9741): 631–644. PMID 20598363. doi:10.1016/S0140-6736(10)60279-6
- ↑ US Preventive Services Task, Force.; Bibbins-Domingo, K; Grossman, DC; Curry, SJ; Barry, MJ; Davidson, KW; Doubeni, CA; Epling JW, Jr; Kemper, AR; Krist, AH; Kurth, AE; Landefeld, CS; Mangione, CM; Phillips, WR; Phipps, MG; Silverstein, M; Simon, MA; Tseng, CW (25 de abril de 2017). «Screening for Preeclampsia: US Preventive Services Task Force Recommendation Statement.». JAMA. 317 (16): 1661–1667. PMID 28444286. doi:10.1001/jama.2017.3439
- ↑ Emile R. Mohler (2006). Advanced Therapy in Hypertension and Vascular Disease. [S.l.]: PMPH-USA. pp. 407–408. ISBN 9781550093186. Cópia arquivada em 5 de outubro de 2015
- ↑ http://www.mayoclinic.org/diseases-conditions/preeclampsia/basics/risk-factors/con-20031644
- ↑ Al-Jameil, N; Aziz Khan, F; Fareed Khan, M; Tabassum, H (February 2014). "A brief overview of preeclampsia.". Journal of clinical medicine research 6 (1): 1–7. PMID 24400024.
- 1 2 http://www.mayoclinic.org/diseases-conditions/preeclampsia/basics/symptoms/con-20031644
- ↑ http://www.mayoclinic.org/diseases-conditions/preeclampsia/basics/complications/con-20031644
- ↑ Emile R. Mohler (2006). Advanced Therapy in Hypertension and Vascular Disease. PMPH-USA. pp. 407–408. ISBN 9781550093186.
- ↑ Rolnik, D. L.; Wright, D.; Poon, L. C. Y.; Syngelaki, A.; O'Gorman, N.; de Paco Matallana, C.; Akolekar, R.; Cicero, S.; Janga, D. (outubro 2017). «ASPRE trial: performance of screening for preterm pre-eclampsia». Ultrasound in Obstetrics & Gynecology: The Official Journal of the International Society of Ultrasound in Obstetrics and Gynecology. 50 (4): 492–495. ISSN 1469-0705. PMID 28741785. doi:10.1002/uog.18816
- ↑ http://www.mayoclinic.org/diseases-conditions/preeclampsia/basics/treatment/con-20031644
