Monócito
Monócito | |
|---|---|
![]() | |
| Subclasse de | agranulócito |
| Cell Ontology | CL_0000576 |
| MeSH | D009000 |
| Foundational Model of Anatomy | 62864 |
.jpg)
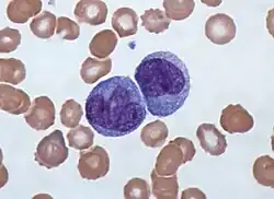
Os monócitos são leucócitos presentes em nosso sistema imune, com a função de defender o organismo de corpos estranhos, como bactérias e vírus. Eles são visualizados através de esfregaços sanguíneos vistos com microscopia óptica (com diâmetro de 10 a 15 micrômetros[1]). Os monócitos têm a característica bem presente de núcleo ovoide em formato de rim, sua cromatina é mais clara e seu citoplasma possui granulações pouco visíveis. Seu citoplasma contém lisossomos, vacúolos fagocíticos e filamentos de citoesqueleto. Essas células são responsáveis pela produção de mediadores inflamatórios, além disso são recrutadas para locais de infecção ou de tecido danificado.[1]
Formação do Monócito
Sua formação começa na medula óssea (sendo uma das células originada de uma célula-tronco hematopoiética comum - HSC[1]), da qual se dirigem à circulação sanguínea; ao saírem da circulação sanguínea, chegam no tecido conjuntivo, onde diferenciam-se nos macrófagos, os quais possuem função de defender os tecidos de corpos estranhos. Quando o monócito se converte em macrófago, algumas transformações observadas permitem assegurar importantes funções fisiológicas, dado o aumento das suas capacidades fagocítica e antimicrobiana devido ao macrófago apresentar um maior número de lisossomos.
Esses macrófagos podem secretar várias citocinas, as quais agem nas células endoteliais que recobrem os vasos sanguíneos. Realizam isto para que o recrutamento de mais monócitos, além de outros leucócitos, seja aumentado, nos locais de infecções, o que amplifica a resposta protetora contra os microrganismos.[1]
Problemas
A monocitose (aumento de monócitos no sangue), podem ser um indicativo de doenças crônicas como por exemplo, tuberculose, infecção por protozoários e artrite reumatoide, na qual, o paciente apresenta sintomas relacionados à causa da alteração. Quando a alteração é presente e o paciente não apresenta algum sintoma o médico responsável avaliara o caso com outros exames.