Miocardite

Miocardite
SinónimosCardiomiopatia inflamatória
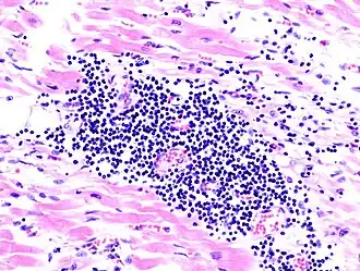
Microscopia de miocardite numa pessoa com insuficiência cardíaca aguda
EspecialidadeCardiologia
SintomasFalta de ar, dor torácica, incapacidade física, arritmias[1]
ComplicaçõesInsuficiência cardíaca devido a cardiomiopatia dilatada, parada cardíaca[1]
DuraçãoDe horas a meses[1]
CausasGeralmente infeção viral mas também bacteriana, alguns medicamentos, toxinas, doenças autoimunes[1][2]
Método de diagnósticoElectrocardiograma, troponina no sangue, ressonância magnética, biópsia cardíaca[1][2]
TratamentoMedicação, cardioversor desfibrilhador implantável, transplante de coração[1][2]
MedicaçãoInibidores da enzima de conversão da angiotensina, betabloqueadores, diuréticos, corticosteroides, terapia de imunoglobulina[1][2]
Frequência2,5 milhões com cardiomiopatia (2015)[3]
Mortes354 000 com cardiomiopatia (2015)[4]
Classificação e recursos externos
CID-11BC42
CID-10I51.4, I40
CID-9429.0
DiseasesDB8716
MedlinePlus000149
eMedicine156330, 1612533
MeSHD009205
A Wikipédia não é um consultório médico. Leia o aviso médico 

Miocardite ou cardiopatia inflamatória é a inflamação do músculo cardíaco.[1] Os sintomas mais comuns são falta de ar, dor torácica, diminuição da capacidade física e arritmias cardíacas.[1] A duração da doença pode variar de horas a meses.[1] Entre as possíveis complicações estão insuficiência cardíaca devido a cardiomiopatia dilatada ou parada cardíaca.[1]

A maior parte dos casos de miocardite tem origem em infeções virais.[1] Entre outras possíveis causas estão infeções bacterianas, alguns medicamentos, toxinas e doenças autoimunes.[1][2] Os meios de diagnóstico incluem electrocardiograma, aumento dos valores de troponina, ressonância magnética cardíaca e, em alguns casos, biópsia ao coração.[1][2] Um ecocardiograma do coração permite descartar outras potenciais causas, como valvulopatias.[2]

O tratamento depende da gravidade e da causa subjacente.[1][2] Em grande parte dos casos são administrados medicamentos como inibidores da enzima de conversão da angiotensina, betabloqueadores ou diuréticos.[1][2] Geralmente recomenda-se que não seja feito esforço físico durante o recobro.[1][2] Em alguns casos pode se útil a administração de corticosteroides ou terapia de imunoglobulina.[1][2] Nos casos mais graves podem ser recomendados um cardioversor desfibrilhador implantável ou um transplante de coração.[1][2]

Em 2013 ocorreram em todo o mundo cerca de 1,5 milhões de casos de miocardite aguda.[5] Embora a doença possa afetar pessoas de todas as idades, é mais comum entre os jovens.[6] É ligeiramente mais comum entre homens do que entre mulheres.[1] A maior parte dos casos são ligeiros.[2] Em 2015, as cardiomiopatias, nas quais se inclui a miocardite, foram a causa de 354 000 mortes, um aumento em relação às 294 000 em 1990.[7][8] As primeiras descrições da doença datam de meados do século XIX.[9]

Sinais e sintomas

Os sinais e sintomas da miocardite podem variar, dependendo da causa e da severidade da doença. Os sinais mais comuns e sintomas incluem:

  • Dores no peito
  • Batida do coração rápida ou anormal (arritmia)
  • Diminuição da respiração, particularmente durante atividade física
  • Retenção de fluidos, com inchar de pernas, tornozelos e pés
  • Fadiga

Outros sinais e sintomas podem acontecer ocasionalmente também:

Desfalecimento ou uma perda súbita de consciência que pode ser associada com os ritmos irregulares do coração. Outros sintomas associados com uma infecção viral, como dor de cabeça, dor no corpo, dor nas juntas, febre, garganta dolorida ou diarréia. A miocardite pode ser acompanhada por pericardite. que é uma inflamação da membrana que cobre o coração (pericárdio). Pericardite pode causar dores afiadas no centro do peito.

Em casos moderados, miocardite não produz nenhum sintoma notável. Pessoas podem estar doentes com os sintomas gerais de uma infecção viral e nunca percebem que o coração está afetado. Algumas pessoas podem nunca buscar cuidado médico e podem recuperar sem saber que tiveram miocardite.

Miocardite em crianças:

Quando as crianças desenvolverem miocardite, eles podem ter os seguintes sinais e sintomas:

  • Temperatura alta
  • Perda de apetite
  • Dificuldades de respirar
  • Descolorização azulada ou cinzenta da pele

Causas

Miocardite quer dizer inflamação do miocárdio. O miocárdio é o músculo de coração. Pode afetar qualquer um e pode acontecer em qualquer idade. Há várias causas - muitos são moderados, e alguns são sérios. Causas incluem:

Causa desconhecida (miocardite ideopática)

Em muitos casos não é achada a causa. (Alguns destes casos provavelmente são devido a uma infecção viral que nunca é confirmada através de testes.)

Infecção Viral

Muitos tipos de infecção de vírus podem afetar várias partes do corpo, inclusive o músculo do coração. Assim, a miocardite podem desenvolver ao mesmo tempo que, ou logo após, uma infecção viral na garganta ou no peito, ou quando você tem gripe. O sistema imune do corpo pode limpar muitos tipos de vírus. Assim, muitos casos de miocardite viral vão embora por si mesmas dentro de uma semana ou mais. A miocardite viral acontece freqüentemente ao mesmo tempo que a pericardite viral (inflamação da membrana que envolve o coração)

Um vírus chamado coxsakie B é o vírus mais comum para causar miocardite no Reino Unido. Outros vírus que às vezes causam miocardites incluem: ecovírus, gripe (influenza), Epstein-Barr (vírus da febre glandular), rubella (vírus de sarampo alemão), varicella (vírus de catapora), mumps, sarampo, parvovírus, febre amarela, dengue, pólio, raiva, e os vírus que causam as hepatites A e C.

Às vezes a inflamação no coração dura mais tempo que outras características da infecção. O vírus pode ter sumido mas o sistema imune pode reagir e causa inflação que persiste por um tempo no coração.

Outras causas:

Outras causas de miocardites são muito menos comuns. Elas incluem:

Infecção de HIV:

Aproximadamente 1 em 10 pessoas com HIV desenvolvem miocardite. Isto pode ser porque o vírus infeta o coração diretamente, ou porque o sistema imune é debilitado e o coração é infetado com outros germens. Outros tipos de infecção: O coração às vezes pode ser infetado por várias bactérias, fungos, parasitas e outros germens. Por exemplo: Infecção do músculo de coração às vezes desenvolve como uma complicação a endocardite (infecção do forro do coração e/ou das válvulas.) Muitos germens diferentes podem causar endocardite.

Difteria:

Em algumas pessoas que têm difteria, uma toxina (veneno) feita pelas bactérias na garganta pode causar uma inflamação severa no coração. Isto pode causar dano cardíaco rapidamente. Difteria é agora incomum devido a imunização.

Doença de Chagas:

Isto é uma infecção causada por um protozoário chamado Trypanosoma cruzi. Você pode pegar esta infecção pelas fezes depositada pelo percevejo no momento da picada, este é encontrado em certos países tropicais. Mundialmente, esta é uma causa comum de miocardite. Com esta infecção uma forma de miocardite se desenvolve muitos anos depois da infecção inicial. Isto conduz a uma destruição gradual de tecido de coração que pode causar parada cardíaca severa.

Doença de Lyme:

É uma infecção causada por uma bactéria chamada Borrelia burgdorferi. Você pode pegar esta infecção de uma mordida de carrapato em certos países. A miocardite se desenvolve em aproximadamente 1 em 10 casos dq doença de lyme.

Miocardite de células gigantes:

Isto é raro, e obtém seu nome de células anormais que desenvolvem no coração. A causa não é conhecida mas tende a desenvolver em algumas pessoas que têm um timona (um crescimento da glândula de timo), lupus eritomatoso sistêmico ou tirotoxicose.

Outras causas:

  • Um efeito colateral raro de alguns medicamentos.
  • Outros agentes prejudiciais. Por exemplo, inflamação no coração pode ser causada por álcool em excesso, radiação, substâncias químicas (como hidrocarboneto e arsênico), e certos venenos.
  • Rejeição que segue um transplante de coração.
  • Uma complicação rara de várias outras doenças.

Diagnóstico


Para fazer ou confirmar uma diagnose de miocardite e determinar sua severidade, alguns testes são comumente feitos:

  • Eletrocardiograma (ECG): Este teste avalia o padrões elétricos de seu coração e pode descobrir ritmos anormais, como também um fraco ou prejudicado músculo cardíaco.
  • Radiografia do tórax: Uma Radiografia do tórax vai mostrar o coração, mostrando também seu tamanho, forma e estrutura. Uma Radiografia dos pulmões pode indicar se há uma formação de fluido neles.
  • Ecocardiograma: Ondas de som, ou ultra-som, que podem criar imagens do coração seu coração batendo. Um ecocardiograma pode descobrir enlargamento no coração, função danosa de bombeamento, problemas de válvula ou fluido ao redor seu coração.
  • Exames de sangue. Estes testes medem contagens de glóbulos brancos e vermelhos, como também níveis de certas enzimas que indicam dano ao músculo do coração. Exames de sangue também podem descobrir anticorpos contra vírus e outros organismos que podem indicar uma infecção relacionada à miocardite.
  • Cateterismo cardíaco: O médico também pode recomendar um cateterismo cardíaco, na qual um tubo pequeno (catéter) é inserido em uma veia em sua perna ou pescoço, e então é enfiado no coração. Um instrumento especial pode remover uma amostra minúscula de tecido do músculo do coração (biópsia) para análise no laboratório, para ver se há sinais de inflamação ou infecção.

Tratamento

Administração de miocardites envolve trato à causa subjacente, como a infecção particular que pode ter fixado a fase para a inflamação no coração.

Não há nenhuma terapia específica para coxsackievirus B — o tipo mais comum de vírus que causa miocardite — diferente do tratamento para aliviar dor e outros sintomas.

Casos moderados:

  • Em casos moderados de inflamação, o médico pode aconselhar descanso e medicamentos de prescrição para dar ao corpo uma chance de lutar contra a infecção subjacente enquanto o coração se recupera. Se bactérias estiverem causando a infecção, o médico prescreverá antibióticos. Certos tipos raros de miocardite viral, como célula gigante e miocardite eosinofílica, respondem a corticosteróides ou outros medicamentos para suprimir o sistema imune. Em alguns casos o tratamento é dirigido à doença sistêmica subjacente, como lupus.


  • Drogas para ajudar o coração.
  • Se tiver batidas do coração irregulares como um sintoma, o médico pode aconselhar hospitalização. Se o coração for fraco, o doutor pode prescrever medicamentos para fortalecer a habilidade de bombeamento, pode reduzir o carga de trabalho do coração ou pode lhe ajudar a eliminar fluido de excesso. Estes medicamentos podem incluir:

Inibidores da Enzima Conversora de Angiotensina (IECA) , como enalapril (Vasotec), captopril (Capoten), lisinopril (Zestril, Prinivil) e ramipril (Altace) Beta bloqueadores como metoprolol (Lopressor, Toprol XL) e carvedilol (Coreg) Diuréticos como a furosemida (Lasix) Cardiotônicos, como a Digoxina (Digitek, Lanoxin), que aumentam a força das contrações do músculo do coração e tende a reduzir a velocidade da batida do coração

Casos severos:

  • Em muitos casos, diminui a inflamação do miocárdio, conduzindo a uma recuperação completa. Em pessoas sem sintomas, o coração melhora espontaneamente. Até mesmo pessoas com parada cardíaca congestiva muito severa podem melhorar dramaticamente, freqüentemente em apenas alguns dias. Em alguns casos severos, porém, terapia agressiva pode ser necessária, como:
  • Medicamentos intravenosos para melhorar a função de bombeamento
  • Colocação de uma bomba na aorta
  • Uso de um coração artificial temporário
  • Consideração de um transplante de coração urgente
  • Algumas pessoas podem ter dano crônico e irreversível no músculo cardíaco que requer medicamentos vitalícios, enquanto outras pessoas precisam de medicamentos durante alguns meses e então recuperam completamente.

Referências

  1. 1 2 3 4 5 6 7 8 9 10 11 12 13 14 15 16 17 18 19 20 Cooper LT, Jr (9 de abril de 2009). «Myocarditis.». The New England Journal of Medicine. 360 (15): 1526–38. PMID 19357408. doi:10.1056/nejmra0800028
  2. 1 2 3 4 5 6 7 8 9 10 11 12 13 Kindermann, I; Barth, C; Mahfoud, F; Ukena, C; Lenski, M; Yilmaz, A; Klingel, K; Kandolf, R; Sechtem, U; Cooper, LT; Böhm, M (28 de fevereiro de 2012). «Update on myocarditis.». Journal of the American College of Cardiology. 59 (9): 779–92. PMID 22361396. doi:10.1016/j.jacc.2011.09.074
  3. GBD 2015 Disease and Injury Incidence and Prevalence, Collaborators. (8 de outubro de 2016). «Global, regional, and national incidence, prevalence, and years lived with disability for 310 diseases and injuries, 1990-2015: a systematic analysis for the Global Burden of Disease Study 2015». Lancet. 388 (10053): 1545–1602. PMC 5055577Acessível livremente. PMID 27733282. doi:10.1016/S0140-6736(16)31678-6
  4. GBD 2015 Mortality and Causes of Death, Collaborators. (8 de outubro de 2016). «Global, regional, and national life expectancy, all-cause mortality, and cause-specific mortality for 249 causes of death, 1980-2015: a systematic analysis for the Global Burden of Disease Study 2015». Lancet. 388 (10053): 1459–1544. PMC 5388903Acessível livremente. PMID 27733281. doi:10.1016/S0140-6736(16)31012-1
  5. Global Burden of Disease Study 2013, Collaborators (22 de agosto de 2015). «Global, regional, and national incidence, prevalence, and years lived with disability for 301 acute and chronic diseases and injuries in 188 countries, 1990-2013: a systematic analysis for the Global Burden of Disease Study 2013.». Lancet. 386 (9995): 743–800. PMC 4561509Acessível livremente. PMID 26063472. doi:10.1016/s0140-6736(15)60692-4
  6. Willis, Monte; Homeister, Jonathon W.; Stone, James R. (2013). Cellular and Molecular Pathobiology of Cardiovascular Disease (em inglês). [S.l.]: Academic Press. p. 135. ISBN 9780124055254. Cópia arquivada em 5 de novembro de 2017
  7. GBD 2013 Mortality and Causes of Death, Collaborators (17 de dezembro de 2014). «Global, regional, and national age-sex specific all-cause and cause-specific mortality for 240 causes of death, 1990-2013: a systematic analysis for the Global Burden of Disease Study 2013». Lancet. 385 (9963): 117–71. PMC 4340604Acessível livremente. PMID 25530442. doi:10.1016/S0140-6736(14)61682-2
  8. GBD 2015 Mortality and Causes of Death, Collaborators. (8 de outubro de 2016). «Global, regional, and national life expectancy, all-cause mortality, and cause-specific mortality for 249 causes of death, 1980-2015: a systematic analysis for the Global Burden of Disease Study 2015». Lancet. 388 (10053): 1459–1544. PMC 5388903Acessível livremente. PMID 27733281. doi:10.1016/s0140-6736(16)31012-1
  9. Cunha, Burke A. (2009). Infectious Diseases in Critical Care Medicine (em inglês). [S.l.]: CRC Press. p. 263. ISBN 9781420019605. Cópia arquivada em 5 de novembro de 2017

Bibliografia

^http://edition.cnn.com/HEALTH/library/DS/00521.html/Helth library

^ a b c d e Feldman AM, McNamara D. Myocarditis. N Engl J Med 2000;343:1388-98. PMID 11070105.

^ Eckart RE, Scoville SL, Campbell CL, Shry EA, Stajduhar KC, Potter RN, Pearse LA, Virmani R. Sudden death in young adults: a 25-year review of autopsies in military recruits. Ann Intern Med 2004;141:829-34. PMID 15583223.

^ Skouri HN, Dec GW, Friedrich MG, Cooper LT (2006). "Noninvasive imaging in myocarditis". J. Am. Coll. Cardiol. 48 (10): 2085-93. doi:10.1016/j.jacc.2006.08.017. PMID 17112998

Ligações externas