Adenoma
| Adenoma | |
|---|---|
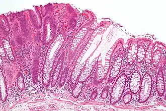
![]() | |
| Microfotografia de um adenoma tubular (à esquerda da imagem), um tipo de pólipo do cólon e um precursor do câncer colorretal. A mucosa normal colorretal é vista do lado direito da imagem. Coloração H&E | |
| Especialidade | oncologia |
| Classificação e recursos externos | |
| CID-11 | XH96Q1 |
| CID-10 | D12, D35.0, D34, D35.2 e outros |
| CID-9 | 211.3, 211.5,223.0, 226, 227.0, |
| CID-CID-O | M8140/0 |
| MeSH | D000236 |
Um adenoma é uma coleção de origem glandular (do grego adeno, "glândula") de crescimento benigno (—oma).[1] Estes crescimentos são benignos, embora com o passar do tempo eles podem progredir e ficar malignos. Nesse estágio, eles são chamados adenocarcinomas. Embora os adenomas sejam benignos, eles têm o potencial para causar complicações de saúde sérias comprimindo outras estruturas (efeito de massa) e produzindo quantias grandes de hormônios de uma maneira desregulada (síndrome paraneoplásica).
É um tumor de tecido epitelial benigno que surge no epitélio da mucosa (estômago, intestino delgado, e intestino grosso), glândulas (endócrinas e exócrinas), e tubos. Em órgãos ocos (área digestiva), o adenoma cresce acima no lúmen. Dependendo do tipo da base de inserção, o adenoma pode ser lobular de pedunculatado e encabeça com um talo esbelto longo, coberto pela mucosa normal ou sessile (base larga).
Locais de manifestação incluem o apêndice vermiforme, cólon, hipófise, mamas e rim (glândulas suprarrenais).
Ver também
- Adenoma da tiroide
- Adenoma hepático
Referências
- ↑ «Nomenclatura de neoplasias». petdocs.ufc.br. Consultado em 14 de maio de 2018
