Teratoma

Teratoma
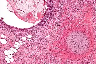
Micrografia de um teratoma com componentes gastrointestinais (direita superior) cartilagem (direita inferior) e tecido adiposo (esquerda inferior). Tingido com Hematoxilina-Eosina.
Especialidadeoncologia
Classificação e recursos externos
CID-10C62.9 (ILDS C62.930)
CID-CID-OM9080/0
DiseasesDB3604 12952 12966
eMedicinemed/3449
MeSHD013724
A Wikipédia não é um consultório médico. Leia o aviso médico 

Teratoma (do grego, terato- monstro, -oma tumor) é um tumor germinativo, formado por um ou mais tecidos embrionários, geralmente encontrado no ovário ou testículos em adultos e na região sacrococcígea em crianças e que podem ser cistos, maduros, dermoides, bem diferenciados (benignos) ou sólidos indiferenciados (maligno).[1][2]

Cisto dermóide

O cisto dermóide é um dos tumores mais comuns do ovário e um exemplo de teratoma. Macroscopicamente é um tumor cístico preenchido por cabelos e material sebáceo. A parede interna do cisto tem aspecto de pele, com epiderme, folículos pilosos, glândulas sebáceas e sudoríparas. Geralmente, em uma área da parede mais saliente na luz do cisto e chamada promontório, encontramos vários outros tipos de tecido, que tipicamente derivam dos três folhetos embrionários. Alguns cistos dermóides parecem um atlas de histologia normal pela variedade de aspectos. Porém, os tecidos estão topograficamente desorganizados e agrupados sem nenhuma 'lógica'. Em diversas áreas podemos reconhecer estruturas organóides, como a que lembra víscera oca, com musculatura lisa em duas camadas e portanto ate esboço de inervação autonômica. Vemos tecido nervoso central (ectoderme) com áreas de gliose e até diferenciação para córtex cerebelar. Há vários tipos de epitélio de revestimento: escamoso, cilíndrico ciliado, com ou sem células caliciformes, e do tipo intestinal (endoderme). Há ainda glândulas mucosas, serosas e sero-mucosas (também da endoderme) e tecidos de linhagem conjuntiva como músculo liso e osso (mesoderme). Em suma, qualquer tecido normal pode estar presente.

O cisto dermóide é benigno e todos os tecidos que participam são bem diferenciados. É mais comum durante a idade reprodutiva da mulher. Uma das teorias admite origem a partir de uma célula pluripotente, tipicamente de origem germinativa. Podem atingir grandes volumes (até alguns quilos) pela acumulação de material sebáceo no interior do cisto. As principais complicações são torção do pedículo vascular com infarto hemorrágico, ou ruptura do cisto na cavidade peritonial, provocando peritonite química.

Fisiopatologia

Este tumor origina-se do estroma especializado do ovário, mais especificamente das células da camada granulosa, que circundam o ovócito nos folículos ovarianos. Pode apresentar-se histologicamente com os padrões sólido, cordonal e folicular. O padrão folicular reproduz a disposição das células da granulosa em volta dos ovócitos, e os pequenos folículos formados por elas são conhecidos como corpúsculos de Call-Exner. Os tumores da granulosa podem produzir grande quantidade de estrógenos, imitando as células normais. Neste caso, podem se acompanhar de hiperplasia glandular cística ou de carcinoma do endométrio (20% dos casos, conjuntamente) ou de doença fibrocística da mama. Em alguns casos, pode haver secreção de andrógenos em vez de estrógenos, levando a masculinização. A maioria tem evolução benigna, mas uma pequena percentagem é maligna. Não é possível pelo aspecto histológico predizer o comportamento biológico.

Epidemiologia

Pode ser encontrado em 1 em cada 20.000 a 40.000 nascidos vivos. Cerca de 10% são bilaterais. São 3 vezes mais comuns em meninos. Teratoma testicular afeta 1 em cada 50.000 meninos e se comporta como benigno na infância, mas em 95% das vezes se torna maligno na adolescência ou fase adulta. O teratoma sacrococcígeo pode ser detectado antes do nascimento e tem taxa de sobrevivência entre 54 e 77%. Pode causar anemia, hemorragia e problemas cardíacos. A maioria dos teratomas só são diagnosticadas entre os 20 e 40 anos.[3]

Ver também

  • Preformação
  • Alfa feto proteína
  • Tumor do seio endodérmico
  • Mutação somática

Referências

Ligações externas