Câncer de bexiga
| Câncer de bexiga | |
|---|---|
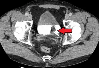
![]() | |
| Carcinoma de células de transição. O branco na bexiga é o contraste. | |
| Especialidade | Oncologia |
| Sintomas | Sangue na urina, dor ao urinar[1] |
| Início habitual | 65 a 85 anos de idade[2] |
| Tipos | Carcinoma de células de transição, carcinoma de células escamosas, adenocarcinoma[3] |
| Fatores de risco | Tabagismo, antecedentes familiares, radioterapia, Infecção do trato urinário, certos produtos químicos[1] |
| Método de diagnóstico | Cistoscopia com biópsia do tecido[4] |
| Tratamento | Cirurgia, radioterapia, quimioterapia, imunoterapia[1] |
| Prognóstico | Taxa de sobrevivência a 5 anos ~77% (EUA)[2] |
| Frequência | 3,4 milhões de casos (2015)[5] |
| Mortes | 188.000 por ano[6] |
| Classificação e recursos externos | |
| CID-11 | 2C94 |
| CID-10 | C67.9, C67 |
| CID-9 | 188.9, 188, 188.8 |
| OMIM | 109800 |
| DiseasesDB | 1427 |
| MedlinePlus | 000486 |
| eMedicine | 381323, 438262, 1951847 |
Câncer de bexiga (português brasileiro) ou cancro da bexiga (português europeu) (também chamado de Carcinoma Urotelial) é um dos vários tipos de câncer, decorrentes de tecidos da bexiga urinária,[1] no qual as células da doença crescem de forma anormal e têm o potencial de se espalhar para outras partes do corpo.[7][8] Sintomas incluem sangue na urina, dor ao urinar e dor lombar.[1]
Os fatores de risco para o câncer de bexiga incluem o tabagismo, histórico familiar, antes da terapia de radiação, infecções da bexiga frequentes, e a exposição a determinados produtos químicos.[1] O tipo mais comum é o carcinoma de células de transição. Outros tipos incluem o carcinoma de células escamosas e adenocarcinoma.[3] O diagnóstico normalmente realizado pela cistoscopia com biópsias de tecido.[4] O estágio do câncer normalmente é determinado pelo imagiologia médica, tais como tomografia computadorizada e cintilografia óssea.[1]
O tratamento depende do estágio do câncer e pode incluir uma combinação de cirurgia, radioterapia, quimioterapia ou imunoterapia. Opções cirúrgicas podem incluir a ressecção transuretral, remoção parcial ou completa da bexiga ou desvio urinário.[1] A taxa de sobrevivência de 5 anos, nos Estados Unidos, são de 77%.[2]
O câncer de bexiga, em 2015, afetou cerca de 3,4 milhões de pessoas com 430.000 novos casos por ano.[5][9] A idade de início é mais frequentemente entre 65 e 85 anos de idade e os homens são mais freqüentemente afetados que as mulheres. Em 2015, resultou em 188.000 mortes.[6]
Tipos
Existem 4 tipos de câncer vesical, dependendo da célula de origem:[10]
- Carcinoma do epitélio de transição (Células Uroteliais): É o tipo mais comum (90% dos casos). A maioria são superficiais, papilares ou mistos, embora possam invadir a camada muscular da bexiga em 30% dos casos. Podem ser puros, ter focos escamosos, ter elementos glandulares (epidermoides) ou ter ambos. Este tipo celular recobre a parede interna tanto da bexiga como do trato urinário alto (dentro do rim) e do ureter (que é o órgão tubular que transporta a urina formada nos rins até a bexiga), quanto continua recobrindo o trato urinário inferior, isto é: bexiga e uretra (canal que excreta a urina).
- Carcinoma espinocelular: Tem aparência uniforme e representa 3-4% dos tumores vesicais. De células escamosas irregular ilhotas com diferentes graus de queratinização e pontes intercelulares em abundante estroma tecido fibroso.
- Adenocarcinoma: O padrão misto é o mais comum do carcinoma glandular. Normalmente localizado no trígono e representa 1-2% dos tumores de bexiga. Podem ter origem uracal.
- Carcinoma indiferenciado: As células são então indiferenciada que não pode ser dito para ser de transição, escamoso ou glandular. As células podem ser fusiforme ou gigante receber a denominação de sarcomatoide ou carcinoma de células fusiformes e células gigantes.
Sinais e sintomas
Em 80-90% dos casos há presença de sangue visível na urina a olho nu (hematúria macroscópica).
Outros possíveis sintomas incluem disúria (dor ao urinar), poliúria (urinar frequentemente) ou sensação de necessidade de urinar sem resultados. Estes sinais e sintomas não são específicos do câncer de bexiga, sendo também causados por outras condições não-cancerosas, incluindo infecções da próstata e cistite.
Causas
Fatores de risco

A exposição a carcinógenos ambientais de vários tipos é responsável pelo desenvolvimento da maioria dos cânceres de bexiga.
O tabagismo (especificamente o consumo de cigarros) é responsável por até 50% dos casos em homens e até 40% dos casos em mulheres.
Trinta por cento dos tumores de bexiga provavelmente resultam da exposição ocupacional a carcinógenos no local de trabalho, como a benzidina. As ocupações em risco são trabalhadores em indústria de metal, indústria de borracha, indústria têxtil e pessoas que trabalham com impressões. Acredita-se que cabeleireiros também possam estar em risco devido a sua frequente exposição a corantes de cabelos. Certas drogas como a ciclofosfamida e o fenacetina são conhecidas como causar predisposição ao câncer de bexiga. Irritação crônica da bexiga (infecção, pedras na bexiga, catéteres) predispõe a um carcinoma de células escamosas da bexiga. Aproximadamente 20% dos casos ocorrem em pacientes sem fatores de risco.
Genética
Como todos os cânceres, o desenvolvimento do câncer de bexiga envolve a aquisição de mutações em vários oncogenes e genes supressores de tumor. Os genes que podem estar alterados no câncer de bexiga incluem FGFR3, HRAS, RB1 e TP53.
Um histórico familiar de câncer de bexiga também é um fator de risco para a doença. Acredita-se que algumas pessoas aparentam herdar uma habilidade reduzida em quebrar algumas substâncias químicas, o que as tornam mais sensíveis aos efeitos causadores de câncer do tabagismo e certos compostos químicos industriais.
Diagnóstico
O padrão ouro de diagnóstico para o câncer de bexiga é o exame citológico de urina e a cistoscopia transuretral. Muitos pacientes com história, sinais e sintomas suspeitos para um câncer de bexiga são encaminhados para um urologista para que faça uma cistoscopia, que é um procedimento no qual um tubo flexível com uma câmera é inserido na bexiga através da uretra. As lesões suspeitas podem ser colhidas (realização de biópsia) e enviadas para análise patológica.
Classificação patológica

Noventa porcento dos cânceres de bexiga são carcinomas de células transicionais (CCT) que surgem do revestimento interno da bexiga chamado urotélio. Os outros 10% dos tumores são carcinomas de células escamosas, adenocarcinoma, sarcoma, carcinoma de células pequenas e depósitos secundários de cânceres em outros lugares no corpo.
Os CCTs geralmente são multifocais, com 30-40% dos pacientes apresentando mais de um tumor no diagnóstico. O padrão de crescimento dos CCTs pode ser papilar, séssil (plano) ou carcinoma-in-situ (CIS). CIS é o menor e mais restrito.
O sistema de graduação de 1973 da OMS para os CCTs (papiloma, G1, G2 ou G3) é mais comumente utilizado: Os CCTs de bexiga são classificados em:
- Ta Tumor papilar não-invasivo
- T1 Invasivo, mas não chega até a camada muscular da bexiga
- T2 Invasivo, chega até camada muscular
- T3 Invasivo, ultrapassa a camada muscular até a camada gordurosa externa da bexiga
- T4 Invasivo, chega a invadir estruturas da região como a próstata, útero ou parede pélvica
Estadiamento
Os seguintes estágios são usados para classificar a localização, tamanho e dispersão do câncer, de acordo com o sistema TNM (tumor, linfonodo e metástases) de estadiamento:
- Estágio 0: Células cancerosas são encontradas somente no revestimento interno da bexiga.
- Estágio I: Células cancerosas se proliferaram para a camada abaixo do revestimento interno mas não para os músculos da bexiga.
- Estágio II: Células cancerosas se proliferaram para os músculos na parede da bexiga mas não para o tecido gorduroso que circunda a bexiga urinária.
- Estágio III: Células cancerosas se proliferaram para o tecido gorduroso que circunda a bexiga urinária e para a próstata, vagina ou útero, mas não para os linfonodos ou outros órgãos.
- Estágio IV: Células cancerosas se proliferaram para os linfonodos, parede abdominal ou pélvica e/ou outros órgãos.
- Recorrente: O câncer ocorreu novamente na bexiga urinária ou em outro órgão próximo após ter sido tratado.[11]
Tratamento
O tratamento do câncer de bexiga depende de quão profundo foi a invasão do tumor na parede da bexiga urinária.
Tratamento dos tumores não- músculo invasivos ("superficiais")
Os tumores que não penetraram a camada muscular da bexiga eram conhecidos pelo termo "superficial". Entretanto esse termo transmite a ideal de superficialidade, o que não é verdade para essa categoria, já que cerca de 30% destes tumores podem progredir e uma porcentagem ainda maior recorrer e infiltram o revestimento interno da bexiga sem atingir a profundidade dos músculos da bexiga. Atualmente, são chamados de tumores não-músculo invasivos e podem ser "raspados" utilizando um dispositivo de eletrocautério em conjunto com um cistoscópio.
Tratamentos: Podem ser inicialmente biopsiados ou, mais frequentemente descobertos em um exame de ultrassonografia e ter a cirurgia programa em seguida. A cirurgia mais comum é a chamada RTU de Bexiga (RTUBex ao ressecção transuretral de tumores de bexiga). Na última década, as Recomendações Internacionais tem propostos a RTU "en bloc", que é a remoção do tumor desde a sua base implantada na bexiga, com o objetivo de enviar o material inteiro para o exame de anatomopatológico.[2]
A imunoterapia na forma de infusão de BCG é também utilizada para tratar e prevenir a recorrência de tumores superficiais.[12] A imunoterapia por BCG é efetiva em até 2/3 dos casos neste estágio. Infusões de quimioterapia na bexiga também podem ser usadas para tratar a doença superficial. Infelizmente, a produção de BCG tem apresentada problemas de distribuição e, em muitos países, a quantidade não atende a demanda para se evitar recidivas da doença. [3]
Se não tratados, os tumores superficiais podem gradualmente começar a infiltrar a parede muscular da bexiga.
Tratamento dos tumores músculo-invasivos (dito "profundos")
Os tumores que infiltram a musculatura mais profunda da bexiga necessitam uma cirurgia mais radical na qual uma parte ou toda a bexiga é removida (uma cistectomia) e o jato urinário é desviado através de uma cirurgia de derivação urinária, que reconstrói o trajeto por onde a urina é excreta pelos rins. Trata-se de uma cirurgia complexa oncológica que visa a remoção e a reconstrução em um mesmo tempo cirúrgico, Protocolos de recuperação rápida e alta hospitalar precoce (chamado Protocolo ERAS) tem melhorado os resultados desta cirurgia desafiadora.[13] Em alguns casos, cirurgiões habilidosos podem criar uma bexiga substituta (chamada neobexiga ortotópica) a partir de um segmento de tecido intestinal, mas isso depende da preferência do paciente, idade, função renal e o local da doença.[4]
Uma combinação de radiação e quimioterapia também pode ser usada para tratar a doença invasiva.
Epidemiologia
Nos Estados Unidos, o câncer de bexiga é o quarto tipo mais comum de câncer em homens e o nono mais comum em mulheres. Mais de 47 mil homens e 16 mil mulheres são diagnosticadas com câncer de bexiga a cada ano. Uma razão para a maior incidência em homens é de que o receptor andrógeno, que é muito mais ativo em homens do que em mulheres, desempenha um papel importante no desenvolvimento do câncer.[14]
Referências
- ↑ a b c d e f g h «Bladder Cancer Treatment». National Cancer Institute (em inglês). Consultado em 18 de julho de 2017. Cópia arquivada em 14 de julho de 2017
- ↑ a b c «Cancer of the Urinary Bladder – Cancer Stat Facts». seer.cancer.gov (em inglês). Consultado em 18 de julho de 2017. Cópia arquivada em 8 de julho de 2017
- ↑ a b «Bladder Cancer». National Cancer Institute (em inglês). Consultado em 18 de julho de 2017. Cópia arquivada em 17 de julho de 2017
- ↑ a b «Bladder Cancer Treatment». National Cancer Institute (em inglês). 5 de junho de 2017. Consultado em 18 de julho de 2017. Cópia arquivada em 14 de julho de 2017
- ↑ a b GBD 2015 Disease and Injury Incidence and Prevalence, Collaborators. (8 de outubro de 2016). «Global, regional, and national incidence, prevalence, and years lived with disability for 310 diseases and injuries, 1990–2015: a systematic analysis for the Global Burden of Disease Study 2015.». Lancet. 388 (10053): 1545–1602. PMID 27733282
- ↑ a b GBD 2015 Mortality and Causes of Death, Collaborators. (8 de outubro de 2016). «Global, regional, and national life expectancy, all-cause mortality, and cause-specific mortality for 249 causes of death, 1980–2015: a systematic analysis for the Global Burden of Disease Study 2015.». Lancet. 388 (10053): 1459–1544. PMID 27733281
- ↑ «Cancer Fact sheet N°297». World Health Organization. Fevereiro de 2014. Consultado em 10 de junho de 2014. Cópia arquivada em 29 de dezembro de 2010
- ↑ «Defining Cancer». National Cancer Institute. Consultado em 10 de junho de 2014. Cópia arquivada em 25 de junho de 2014
- ↑ World Cancer Report 2014. [S.l.]: World Health Organization. 2014. pp. Chapter 1.1. ISBN 9283204298
- ↑ [1]
- ↑ «The Gale Encyclopedia of Cancer: A guide to Cancer and its Treatments, Second Edition. Page no. 137»
- ↑ «BCG immunotherapy of bladder cancer: 20 years on.». 353 (9165). 1999: 1689–94
- ↑ Vasconcelos, Carlos (11 de março de 2025). «Artigo». Revista RECET da Sociedade Brasileira de Urologia. Consultado em 14 de abril de 2025
- ↑ «Scientists Find One Reason Why Bladder Cancer Hits More Men». University of Rochester Medical Center. 20 de abril de 2007. Consultado em 20 de abril de 2007
