Platyhelminthes

Platyhelminthes
platelmintes, platelmintos, platelmintas, vermes planos
Pseudobiceros bedfordi.
Pseudobiceros bedfordi.
Classificação científica
Reino: Animalia
Superfilo: Spiralia
Filo: Platyhelminthes
Gegenbaur, 1859
Clado: Bilateria
Clado: Protostomia
Classes
  • Ver texto.
Sinónimos
  • Plathelminthes Schneider, 1873[1]

Platyhelminthes (do grego πλατύ, platy, "achatado" e ἕλμινς, helminth-, "verme"),[2] comumente designados por platelmintes,[3] platelmintas, platelmintos ou vermes planos, é um filo de invertebrados com simetria bilateral, não-segmentados, protostómios, de corpo mole e relativamente simples. A par com os nematelmintas e anelídeos, são considerados vermes.

Descrição

Várias espécies de platelmintas (ilustração de Kunstformen der Natur (1904), gravura 75).

Os Platyhelminthes são animais bilateralmente simétricos, em cuja anatomia o lado esquerdo e direito se espelham como imagens invertidas um do outro. Esta simetria implica que apresentem face inferior e superior distintas e que no seu corpo é possível destrinçar as extremidades anterior (cabeça) e posterior (cauda). Medindo desde alguns milímetros até metros de comprimento, para além das características anatómicas básicas atrás apontadas, o corpo é mole e não segmentado.[4]

Como os restantes animais com simetria bilateral (os Bilateria ou bilaterianos), os Platyhelminthes apresentam três camadas principais de células, denominadas endoderme, mesoderme e ectoderme,[5] o que os distingue dos animais radialmente simétricos, os cnidários e os ctenóforos, que apresentam apenas duas camadas celulares.[6] Essa estrutura triblástica traduz-se na presença de uma epiderme uniestratificada, abaixo da qual existem duas camadas musculares, sendo a primeira composta por músculos circulares e a segunda por músculos longitudinais. A esse conjunto dá-se o nome de tubo músculo-dermático, ao qual cabem funções de protecção, locomoção (suportando as restantes estruturas anatómicas).

Para além das características anatómicas e citológicas atrás apontadas, os Platyhelminthes são "definidos mais por aquilo que não apresentam do que por qualquer conjunto particular de especializações".[7] Entre as características em falta, os Platyhelminthes, ao contrário dos restantes bilaterianos, não apresentam cavidade corporal interna, sendo por isso descritos como acelomados. Também não apresentam sistema circulatório ou sistema respiratório com órgãos especializados, ausências que são consideradas aspectos definidores para a classificação anatómica deste grupo de organismos.[5][8]

Nos platelmintos de vida livre, a epiderme apresenta cílios, utilizados na locomoção. Nas espécies parasitas, existe uma cutícula que envolve o tubo músculo-dermático, conferindo-lhe resistência à acção dos sucos digestivos.

Em resultado de serem organismos acelomados, para além da ausência de sistemas respiratório e circulatório especializados, não formam um sistema digestivo completo, apresentando uma única abertura, a boca, por onde ingerem alimentos e eliminam as fezes, não apresentando ânus. Outra consequência, especialmente devida à falta de sistema circulatório especializado, é a forma achatada, necessária para que as células fiquem próximas ao meio externo (para respirar) e próximas ao intestino (para obter nutrientes).

Alguns nem tubo digestivo têm, por estarem adaptados à vida parasitária, absorvendo, através da pele o alimento previamente digerido pelo organismo hospedeiro.[9]

A comparação das características anatómicas dos Platyhelminthes com os Bilateria e Cnidaria e Ctenophora pode ser resumida da seguinte forma:

  Cnidaria e Ctenophora[6] Platyhelminthes[5][8] Bilateria mais "avançados"[10]
Simetria bilateral Não Sim
Número de camadas celulares Duas, com uma camada gelatinosa entre elas Três
Cérebro individualizado Não Sim
Sistema digestivo especializado Não Sim
Sistema excretório especializado Não Sim
Cavidade corporal com órgãos internos Não Sim
Órgãos circulatórios e respiratórios especializados Não Sim

Características comuns a todos os subgrupos

A falta de órgãos circulatórios e respiratórios específicos limita os platelmintas a tamanhos e formas que permitam ao oxigénio alcançar e ao dióxido de carbono deixar todas as partes dos seus corpos através de simples difusão. Por isso, muitos apresentam tamanhos microscópicos e as espécies de maiores dimensões apresentam corpos com formas planas semelhantes a fitas ou folhas. O sistema digestivo das espécies de maiores dimensões apresentam muitas ramificações, permitindo que os nutrientes possam atingir todas as partes do corpo por simples difusão.[7]

Esquema da cabeça de um céstode (Taenia). O escólex é a pequena protuberância com ganchos, à esquerda.

A respiração através de toda a superfície do corpo torna estes animais vulneráveis à perda de fluidos o que os restringe a ambientes onde a desidratação seja improvável, nomeadamente o mar, as massas de água doce e os habitats terrestres húmidos (tais como sob a manta morta ou entre os grãos de solo) e como parasitas dentro de outros animais.[5]

O espaço entre a pele e a parede do intestino é preenchido com mesênquima, um tecido conjuntivo constituído por células reforçadas por fibras de colagénio que actuam como um tipo de esqueleto, proporcionando pontos de fixação para os músculos. O mesênquima contém todos os órgãos internos e permite a passagem de oxigénio, nutrientes e produtos excretórios. O tecido é composto por dois tipos principais de células: (1) células fixas, algumas das quais com vacúolos cheios de líquido; e (2) células estaminais, que se podem transformar em qualquer outro tipo de célula, utilizados na regeneração de tecidos após lesão ou para reprodução assexuada.[5]

A maioria dos platelmintas não têm ânus e regurgitam o material não digerido pela boca. No entanto, algumas espécies de corpo alongado têm um ânus e algumas espécies com intestino complexo ramificado podem ter mais de um ânus, uma vez que a excreção apenas através da boca seria difícil.[8] O intestino é revestido com uma camada única de células derivadas da endoderme que absorvem e digerem os alimentos. Algumas espécies iniciam o processo digestivo pela quebra e suavização do alimento através da secreção de enzimas para o intestino ou da faringe.[5]

Todos os animais necessitam para manter a concentração de substâncias dissolvidas nos fluidos corporais a um nível relativamente constante. Os parasitas internos e os animais marinhos de vida livre vivem em ambientes com altas concentrações de materiais dissolvidos e geralmente deixam seus tecidos manter um nível de concentração semelhante ao do ambiente, enquanto os animais de água doce precisam de impedir que seus fluidos corporais se tornem demasiado diluídos. Apesar desta diferença, resultado das especificidades ambientais, a maioria dos platelmintas usa o mesmo sistema para controlar a concentração dos seus fluidos corporais: células especializadas, designadas por células-chama (ou células-flama), assim chamadas porque quando visto ao microscópio o batimento dos seus flagelos se parece com a chama bruxuleante de uma vela, extraem do mesênquima a água que contém resíduos e algum material reutilizável, conduzindo o fluido retirado através de redes de células tubulares revestidas por flagelos e microvilosidades. Os flagelos das células do tubo conduzem a água para saídas chamados nefridióporos, enquanto as microvilosidades reabsorvem materiais reutilizáveis e água, tanta quanto necessário para manter os fluidos do corpo na concentração correcta. Estes agrupamentos de células-chama e células tubulares são chamados protonefrídeos.[5][10]

Em todos os platelmintas, o sistema nervoso está concentrada na extremidade da cabeça. Estas concentração é menos marcada nos Acoelomorpha, que apresentam redes nervosas semelhantes às dos cnidários e ctenóforos, embora mais densas em torno da cabeça. Outros platelmintas têm anéis de gânglios na cabeça e troncos nervosos principais que funcionam ao longo dos seus corpos.[5][8]

Sistema digestivo

Possui apenas uma abertura em todo o sistema, portanto é incompleto. Constitui-se por boca, faringe e intestino ramificado que termina em fundo cego. Os cestóides (endoparasitas, como a ténia) não possuem sistema digestivo. A digestão é extra e intracelular.[9]

Sistema nervoso

Apresentam sistema nervoso central formado por um anel nervoso ligado a cordões longitudinais ou por um par de gânglios cerebroides dos quais partem filetes nervosos laterais que percorrem todo o corpo, emitindo ramificações. Isso permite uma melhor coordenação do sistema muscular, bem desenvolvido, o que disciplina os movimentos do animal e lhe dá mais orientação.[9]

Sistema excretor

A excreção é feita através dos protonefrídeos que incluem células terminais multiciliadas denominadas de células-flama (ou solenócitos). Estruturas típicas dos platelmintes, as células-flama eliminam os excreta para dentro de ductos anastomosados, e por vezes ciliados, que se abrem para o exterior por um ou mais poros.[9]

São amoniotélicos, pois excretam amónia e não ureia como os mamíferos.[9]

Sistemas respiratório e circulatório

Os platelmintos não possuem sistemas ou órgãos especializados em trocas gasosas ou respiração nem destinados à distribuição de nutrientes pelo corpo. O oxigénio e o dióxido de carbono são transferidos através da pele e dos tecidos por difusão molecular.[9] Os nutrientes são absorvidos directamente pelos tecidos a partir do tracto digestivo ou da pele (no caso dos endoparasitas).

Sistema reprodutor

Geralmente são hermafroditas, podendo ou não praticar a autofecundação, sendo que alguns se reproduzem por partenogénese.[9]

Nos turbelários e trematódeos monogenéticos o desenvolvimento é direto. Já nos digenéticos e cestoides é indireto. Os platelmintes de menor porte podem-se dividir por fissão(também chamada de bipartição). As planárias reproduzem-se por reprodução assexuada através de um processo de fissão longitudinal em que cada metade regenera e forma uma nova planária.

Os platelmintos também podem realizar reprodução sexuada, sendo disso exemplo as planárias, que se unem e trocam sémen, reproduzindo-se por fecundação cruzada.[9]

Taxonomia

As antigas classificações, actualmente consideradas parafiléticas e obsoletas do ponto de vista taxonómico, dividiam os Platyhelminthes em quatro grupos, considerados como sendo classes:[11]

  • Turbellaria (turbelários) — platelmintas de vida livre, com epitélio ciliado, ocelos e aurículas (estruturas quimiorreceptoras utilizadas para localizar alimentos e detectar predadores). Exemplo: planária (Digesia tigrina);
  • Trematoda (tremátodes ou trematódios) — vermes parasitas com epiderme não-ciliada e uma ou mais ventosas. Exemplo: esquistossomo (Schistosoma mansoni) e fascíola (Fasciola hepatica);
  • Cestoda (céstodes) — formas parasitas com corpo dividido em anéis ou proglotes. Exemplo: tênia (gênero Taenia);
  • Monogenea (monogéneos) — ectoparasitas de vertebrados aquáticos, especialmente peixes.

Esta classificação foi há muito reconhecida como artificial[12] e em 1985 foi proposto um novo sistema de classificação, filogenicamente mais correcto, no qual o grupo Turbellaria, que era em larga escala polifilético, foi dividido numa dúzia de ordens e os grupos Trematoda, Monogenea e Cestoda foram agrupados na nova ordem Neodermata.

Apesar disso, e sem prejuízo da nova classificação (apresentada abaixo) ter obtido amplo consenso entre os taxonomistas e geneticistas, a classificação tradicional continua a ser rotineiramente utilizada em alguns campos do saber, especialmente nas ciências biomédicas e na parasitologia, excepto em artigos científicos.[5]

Classificação actual e filogenia

Os fósseis mais antigos de vermes-planos parasíticos que até agora foram identificados com confiança são ovos de um céstode encontrados num coprólito de um tubarão datado do Pérmico, mas ganchos de helmintas encontrados presos a acantódios e placodermes datados do Devoniano podem provir de platelmintas parasíticos com ciclos de vida simples.[13] O espécime mais antigo de platelminta de vida livre que se conhece é um fóssil preservado em âmbar báltico datado do Eoceno e colocado no género monotípico Micropalaeosoma como Micropalaeosoma balticus.[14] Os mais antigos espécimes de subfóssil conhecidos são ovos de Schistosoma encontrados em antigas múmias egípcias.[4]

Os Platyhelminthes apresentam um número diminuto de sinapomorfias, no caso entendidas como as características morfológicas partilhadas por todos os membros do agrupamento e que nenhum outro animal, que não seja membro dos Platyhelminthes, tenha. Esta pobreza de características distintivas torna difícil determinar tanto as relações filogenéticas com os outros grupos de animais como as relações entre os diferentes grupos que são considerados, na actual circunscrição taxonómica, membros dos Platyhelminthes.[15]

A visão taxonómica "tradicional", dominante antes da década de 1990, considerava os Platyhelminthes como o grupo irmão de todos os restantes animais com simetria bilateral, grupo que inclui, por exemplo, artrópodes, moluscos, anelídeos e cordados. Desde então, os progressos conseguidos no campo da filogenia molecular, campo de estudo que visa determinar as "árvores genealógicas" evolucionárias pela comparação das características bioquímicas de diferentes organismos, recorrendo a compostos como o DNA, o RNA e as proteínas, mudaram radicalmente essa visão e permitiram conhecer toda uma nova teia de relações evolucionárias entre espécies animais.[16]

Análises morfológicas detalhadas das características anatómicas realizadas na década de 1980 e as análises de filogenia molecular realizadas a partir do ano 2000 usando diferentes áreas do genoma (segmentos de DNA) convergem no sentido de considerar os Acoelomorpha, agrupamento que integra os Acoela (tradicionalmente considerados como turbelários muito simples[8]) e os Nemertodermatida (outro pequeno grupo anteriormente classificado entre os Turbellaria[17]) são o clado irmão de todos os outros animais com simetria bilateral, incluindo os restantes Platyhelminthes.[16][18] Contudo, um estudo publicado em 2007 concluiu que Acoela e Nemertodermatida são dois grupos distintos de Bilateria, apesar de concordar que ambos estão filogeneticamente mais próximos dos cnidários (medusas, etc.) do que os outros bilaterianos.[19]

Xenoturbella, um género de animais com simetria bilateral cujo único órgão bem definido é um estatocisto, foi originariamente classificado como um "turbelário primitivo",[20] mas foi recentemente reclassificado como um animal deuterostómico.[21][22]

Na sua actual circunscrição taxonómica, os Platyhelminthes (excluindo os Acoelomorpha) contêm dois grupos principais, Catenulida e Rhabditophora, ambos geralmente considerados como monofiléticos (cada um contém todos e apenas os descendentes de um ancestral que é membro do mesmo grupo).[18][23] As análises iniciais de filogenia molecular realizadas nos Catenulida e Rhabditophora deixaram incertezas sobre a possibilidade de combinar ambos os grupos num único grupo monofilético, mas um estudo realizado em 2008 concluiu por essa possibilidade, podendo por isso o agrupamento Platyhelminthes ser redefinido como os Catenulida mais os Rhabditophora, excluindo os Acoelomorpha.[18]

Análises de filogenia molecular mostraram que os platelmintos fazem parte do clado Spiralia. Inicialmente, considerou-se que eles formaram um clado chamado Platyzoa com Gastrotricha e Gnathifera,[16][24] mas atualmente as análises moleculares concluíram que esse clado é parafilético.[25] De acordo com análises moleculares recentes, os platelmintos estão intimamente relacionados aos nemertinos, que são vermes acelominados como os platelmintos, que por sua vez estão relacionados aos anelídeos e moluscos.[26][27][28]

Desde 1985 que se estabeleceu como consensual que um dos grupos totalmente parasíticos de Platyhelminthes (Cestoda, Monogenea e Trematoda) é monofilético e que conjuntamente estes agrupamentos formam um grupo monofilético alargado, denominado Neodermata, no qual os adultos de todos os membros apresentam neoderme, um tipo especial de derme sincícial.[29] Contudo, não existe consenso sobre a possibilidade de combinar os Cestoda e os Monogenea num grupo monofilético intermédio, os Cercomeromorpha, dentro dos Neodermata.[29][30] Também é geralmente considerado consensual que os Neodermata são um subgrupo, situado alguns níveis abaixo na "árvore genealógica", dos Rhabditophora.[18] Em consequência, o tradicional sub-filo "Turbellaria" é parafilético, pois não inclui os Neodermata paesar destes serem descendentes de um subgrupo de "turbelários".[31]

Com base nas relações acima expostas é possível estabelecer o seguinte cladograma explicitando a relação dos grupos tradicionalmente considerados como constituindo os Platyhelminthes com os restantes membros dos Bilateria:

Bilateria

Deuterostomia

Protostomia

Ecdysozoa

Spiralia

Gnathifera

Lophotrochozoa

Rhombozoa

Trochozoa
Neotrochozoa

Mollusca

Annelida

Parenchymia

Nemertea

Platyhelminthes

Gastrotricha

Kamptozoa

Cycliophora

Entoprocta

Lophophorata

Brachiopoda

Bryozoa

Phoronida

}}
Relacionamento dos Platyhelminthes com os outros Bilateria[16] (a negrito estão os membros tradicionais dos "Platyhelminthes").

Com base nas considerações de natureza filogenética, com destaque para os resultados de análises de filogenia molecular, é possível estabelecer as seguintes relações entre os agrupamentos taxonómicos que constituem os Platyhelminthes (na sua moderna circunscrição taxonómica, isto é, sem os Acoelomorpha):

Platyhelminthes

Catenulida

Rhabditophora

Macrostomorpha

Trepaxonemata

Lecithoepitheliata

Polycladida

Rhabdocoela

Proseriata

Adiaphanida

Prolecithophora

Fecampiida

Tricladida
(planárias)

Bothrioplanida

Neodermata

Trematoda

Monogenea

Cestoda

Relações filogenéticas entre os grupos de Platyhelminthes (excluindo os Acoelomorpha).[23][32][33]

Antigas classificações

Apesar de reconhecida como artificial por ser claramente parafilético, e em muitos grupos polifilético, continua a ser frequentemente utilizado o sistema classificativo que divide os Platyhelminthes em quatro grandes grupos: (1) Turbellaria; (2) Trematoda (geralmente subdivididos em Digenea e Aspidogastrea); (3) Monogenea; e (4) Cestoda. Os dois últimos grupos (Monogenea e Cestoda) são em geral incluídos no agrupamento Cercomeromorpha. Tendo em conta que essa classificação «tradicional» é ainda usada em diversos ramos das ciências biomédicas e da parasitologia, excepto em artigos científicos,[5] nos pontos seguintes apresenta-se um resumo das características e taxonomia de cada um deles.

Turbellaria

O turbelário Pseudoceros dimidiatus.
Dois turbelários a acasalar por esgrima peniana (penis fencing). Cada um dos animais tem dois pénis, os esporões brancos na parte inferior das cabeças.

O grupo dos Turbellaria agrupa cerca de 4 500 espécies,[8] na sua maioria organismos de vida livre, com comprimentos máximos que variam de 1 mm a 600 mm. São maioritariamente predadores ou necrófagos, sendo as espécies terrestres principalmente animais nocturnos que vivem em locais húmidos sombreados, tais como a manta morta de florestas ou madeira húmida em apodrecimento. No entanto, alguns são simbiontes de outros animais, especialmente de crustáceos, e alguns são parasitas. Os turbelários de vida livre são principalmente de coloração negra, castanha ou acinzentada, mas algumas das espécies de maiores dimensões são brilhantemente coloridas.[5]

Os grupos taxonómicos Acoela e Nemertodermatida eram tradicionalmente considerados como turbelários,[8][17] mas são actualmente considerados como membros de um filo distinto, o dos Acoelomorpha,[16][18] ou em alternativa considerados como dois filos distintos.[19] Também o género Xenoturbella, um grupo de animais de anatomia muito simples,[20] foi reclassificado como fazendo parte de um filo separado.[21] Esta circunscrição taxonómica é consensual e remoção destes agrupamentos veio reduzir a polifilia do grupo Platyhelminthes.

Alguns turbelários apresentam uma faringe simples revestida por cílios. Muitas espécies apresentam também cílios na epiderme, os quais são usados para locomoção e alimentação. Neste último caso, os cílios epidérmicos são utilizados para encaminhar as partículas de alimento e as pequenas presas para a boca, a qual está geralmente situada na região central da face inferior do corpo, e daí para o interior do sistema digestivo. A maioria dos restantes turbelários apresentam uma faringe que é eversível (pode ser alongada ao ser voltada de dentro para fora). A boca das diferentes espécies pode estar situada em qualquer posição na face inferior do animal.[5]

A espécie de água doce Microstomum caudatum pode abrir a boca de forma quase tão alargada como o comprimento do corpo, o que lhe permite engolir presas quase tão grandes como o próprio animal.[8]

A maioria dos turbelários apresenta ocelos (pequenos olhos) com pigmentos fotorreceptores, um par na maioria das espécies, mas dois ou mesmo três pares em algumas outras espécies. Algumas espécies de maiores dimensões apresentam múltiplos olhos agrupados em cachos sobre o cérebro, instalados sobre tentáculos, ou espaçados uniformemente em torno do bordo do corpo. Os ocelos apenas podem distinguir a direcção de onde a luz incide, permitindo orientação para que os animais a possam evitar.

Alguns grupos têm estatocistos, câmaras cheias de líquido contendo uma pequena partícula sólida ou, em alguns grupos, duas dessas partículas. Estes estatocistos funcionam como sensores de equilíbrio e de aceleração, função que também se sabe desempenharem nos cnidários e nas medusas e ctenóforos. No entanto, os estatocistos dos turbelários não têm cílios sensoriais, desconhecendo-se como detectam os movimentos e posições das partículas sólidas.

Por outro lado, a maioria dos turbelários apresenta células ciliadas sensíveis ao toque espalhadas sobre o corpo, especialmente nos tentáculos e em torno dos bordos laterais. Apresentam ainda células especializadas localizadas em depressões ou sulcos na cabeça, as quais são provavelmente sensores olfactivos.[8]

As planárias, um subgrupo dos turbelários, são famosas pela sua capacidade de regeneração quando o seu corpo é dividido transversalmente. Experiências mostram que em fragmentos que não incluem a cabeça, uma nova cabeça cresce mais rapidamente nos fragmentos que resultam de partes corporais mais próximas da cabeça original. Este resultado sugere que o crescimento de uma nova cabeça é controlada por um produto químico cuja concentração diminui da cabeça à cauda. Muitos turbelários autoclonam-se por divisão transversal ou longitudinal e outros, especialmente os Acelomorpha (já considerados consensualmente como filo autónomo), reproduzem-se por brotamento.[8]

A vasta maioria dos turbelários é hermafrodita, produzindo células reprodutivas femininas e masculinas, e fertiliza os ovos internamente por copulação.[8] Algumas das espécies aquáticas de maiores dimensões acasalam por esgrima peniana, um duelo em que cada um dos animais tenta fecundar o outro, cabendo ao perdedor adoptar o papel de fêmea e desenvolver os ovos.[34] Na maioria das espécies, quando os ovos eclodem emergem "adultos miniatura", mas algumas espécies de maiores dimensões produzem larvas do tipo planctónico.[8]

Trematoda

Ciclo de vida do género Metagonimus (Digenea).

A designação de «tremátodes» atribuída a este grupo é uma referência às cavidades existentes no seu órgão de fixação (do grego τρῆμα, cavidade),[5] que se assemelham a ventosas, que são utilizadas para ancorar o tremátode dentro de seus hospedeiros.[4] A pele de todas as espécies do grupo Trematoda é um sincício, uma camada de células que compartilha uma única membrana externa. Os tremátodes são em geral divididos em dois grupos: (1) os Digenea; e (2) os Aspidogastrea (também designados por Aspodibothrea).[8]

Digenea

Este grupo de organismos inclui as espécies frequentemente designadas por fascíolas ou vermes-planos-parasitas, devido à sua morfologia corporal plana e romboide (semelhante a uma minúscula solha). Conhecem-se cerca de 11 000 espécies, mais do que todos os outros platelmintas combinados, número apenas ultrapassado pelos nemátodes (Nematoda) entre os parasitas metazoários.[8]

Os adultos em geral apresentam dois dispositivos de fixação (holdfasts) destinados a permitir a sua fixação no interior do hospedeiro: um anel em torno da boca e uma ventosa na região central daquela que seria a face inferior do corpo num verme de vida livre.[5]

Embora o nome "Digenea" signifique literalmente "duas gerações", a maioria têm ciclos de vida muito complexos, com até sete etapas, dependendo de que combinações de ambientes os estágios iniciais encontram, sendo em especial determinados em função de os ovos serem depositados em meio terrestre ou aquático. Os estágios intermediários destinam-se maioritariamente a permitir transferir o parasita de um hospedeiro para outro. O hospedeiro definitivo em que os adultos se desenvolvem é sempre um vertebrado terrestre, sendo que o hospedeiro da primeira série de estágios juvenis é geralmente um caracol que pode ser terrestre ou aquático. Em muitos casos o segundo hospedeiro intermédio é um peixe ou um artrópode.[8]

Por exemplo, o ciclo de vida dos vermes intestinais do género Metagonimus inicia-se com a eclosão do ovo no intestino de um caracol, transferindo-se como larva para um peixe, cujo corpo penetra e enquista na carne. Quando o peixe seja ingerido por um animal terrestre, move-se para o intestino delgado desse animal, onde atinge o estado adulto e gera ovos que são excretados e ingeridas por moluscos, completando assim o ciclo de visa. Os parasitas do género Schistosoma, que causam a devastadora doença tropical bilharziose, pertencem a este grupo.[35]

Os adultos variam entre 0,2 mm e 6 mm de comprimento. Os indivíduos adultos são de um único sexo e, em algumas espécies, as fêmeas são organismos em extremo delgados que vivem em sulcos fechados que percorrem os corpos dos machos, apenas emergindo parcialmente para libertar os ovos. Em todas as espécies, os adultos têm sistemas reprodutivos complexos e podem produzir entre 10 000 e 100 000 vezes mais ovos do quem um verme de vida livre de dimensão comparável. Além disso, as fases intermédias que vivem em caracóis podem-se reproduzir assexuadamente.[8]

Os adultos de espécies diferentes infestam distintas partes do hospedeiro definitivo, perferindo, por exemplo, o intestino, o pulmão, os grandes vasos sanguíneos,[5] ou o fígado.[8] Os adultos usam uma faringe relativamente grande e muscular para ingerir células, fragmentos celulares, muco, fluidos corporais ou sangue. Tanto nos adultos como nos estágios intermédios que vivem em caracóis, o sincício externo absorve nutrientes do hospedeiro por difusão. Os adultos podem viver sem oxigénio por longos períodos.[8]

Aspidogastrea

Os membros deste pequeno grupo taxonómico apresentam uma única ventosa dividido ou uma fileira de ventosas que cobrem a face inferior do corpo.[8] Os adultos infestam as entranhas de peixes (ósseos ou cartilaginosos) e de tartarugas aquáticas e as cavidades corporais de bivalves e gastrópodes marinhos ou de água doce.[5] Os ovos produzem larvas ciliadas capazes de nadar. O seu ciclo de vida tem um ou dois hospedeiros.[8]

Cercomeromorpha

O táxon Cercomeromorpha agrupa um conjunto de parasitas que se fixa ao hospedeiro através de um disco provido de ganchos em forma de crescente. São subdivididos em dois grupos, os Monogenea e os Cestoda.[8]

Monogenea
Silhueta de vários vermes parasitas da subclasse Polyopisthocotylea do agrupamento Monogenea.[36]

Conhecem-se cerca de 1 100 espécies de Monogenea, a maioria das quais são parasitas externos que necessitam de espécies hospedeiras particulares, principalmente peixes, mas em alguns casos anfíbios ou répteis aquáticos. No entanto, alguns são parasitas internos.

Os adultos apresentam grandes órgãos de fixação na parte posterior do corpo, designados por haptores (do grego ἅπτειν, haptein, "agarrar") ou opistatores, que têm ventosas, grampos e ganchos. Apresentam frequentemente corpo achatado. Em algumas espécies, a faringe segrega enzimas para digerir a pele do hospedeiro, permitindo que o parasita se alimente do sangue e dos restos celulares do hospedeiro. Outros alimentam-se externamente ingerindo muco e flocos de pele do hospedeiro. Estes parasitas apresentarem apenas uma geração não larval, daí o nome «Monogenea».[8]

Cestoda
Ciclo de vida de um eucéstode do género Taenia. A inserção 5 mostra o escolex (Taenia solium apresenta quatro escolex, distribuídos por posições diametralmente opostas da cabeça) com um disco de ganchos na extremidade. A inserção 6 apresenta o corpo inteiro de uma ténia, em que o escolex é a minúscula ponta redonda mostrada no canto superior esquerdo, com um proglote maduro acabado de se separar.
Escolex de Taenia

Este grupo inclui as espécies frequentemente designadas por solitárias ou vermes-fita por causa de seus corpos lisos e finos, mas muito longos. O nome "cestode" é derivado do vocábulo latino cestus, que significa "cinto".

Os adultos de todas as cerca de 3 400 espécies conhecidas são parasitas internos (endoparasitas). Com uma anatomia adaptada em extremo a este modo de vida, os cestodes não têm boca ou sistema digestivo, alimentando-se através da membrana sincicial que lhes serve de pele, a qual absorve nutrientes (principalmente carboidratos e aminoácidos) dos fluidos corporais do anfitrião, ao mesmo tempo que esconde quimicamente o parasita para evitar ataques do sistema imunitário do hospedeiro.[8]

A falta de carboidratos na dieta do hospedeiro impede o crescimento dos parasitas e mata alguns. O metabolismo destes parasitas geralmente utiliza processos químicos simples, mas ineficientes, que compensam consumindo grandes quantidades de alimentos em relação ao seu tamanho.[5]

Na maioria das espécies, agrupadas no subgrupo conhecido por eucéstodes ("verdadeiros céstodes"), a parte posterior do corpo produz uma cadeia de segmentos, designados por proglotes ou proglotídeos, por um processo conhecido por estrobilação. Em consequência, os proglotes mais maduros são os mais afastados do escólex, sendo libertados progressivamente à medida que novos vão sendo formados na parte anterior da «fita».

Os adultos da espécie Taenia saginata, que infesta humanos, podem formar proglotes em cadeias que atingem mais de 20 m de comprimento, apesar de cerca de 4 m ser o comprimento mais comum.

Cada proglote apresenta simultaneamente órgãos reprodutivos masculinos e femininos. Se o intestino do hospedeiro contiver mais do que um céstode adulto da mesma espécie, em geral fertilizam-se mutuamente, mas proglotes do mesmo espécime podem fertilizar-se entre si ou mesmo autofertilizar-se. Quando os ovos estão completamente desenvolvidos, os proglotes destacam-se do corpo do progenitor e são excretados pelo hospedeiro.

O ciclo de vida dos eucéstodes é menos complexo do que o dos Digenea, mas varia em função da espécie ou do género a que esta pertence. Por exemplo:

  • Os adultos do género Diphyllobothrium infestam peixes e os seus juvenis usam crustáceos copépode como hospedeiros intermédios. Os proglotes excretados libertam os ovos na água, os quais eclodem como larvas ciliadas que nadam. Se a larva é engolida por um copépode, deixa cair os cílios e a pele transforma-se num sincício à medida que a larva penetra na hemocela (a cavidade interna que constitui a parte principal do sistema circulatório do copépode), no interior da qual se fixa com recurso a três pequenos ganchos. Se o copépode é comido por um peixe, a larva sofre uma metamorfose e transforma-se num pequeno verme não segmentado que perfura até atingir o intestino do peixe no qual se transforma num adulto.[8]
  • Várias espécies de Taenia infestam os intestinos de humanos, gatos e cães. Os juvenis usam herbívoros, entre os quais porcos, bovinos e coelhos, como hospedeiros intermédos. Os proglotes excretados libertam ovos que se colam às folhas das plantas e que eclodem após serem ingeridos por um herbívoro. A larva move-se através dos tecidos do herbívoro até atingir uma massa muscular, na qual se metamorfoseia num verme oval, com cerca de 10 mm de comprimento, com um escólex que é mantido recolhido. Quando o hospedeiro definitivo comer a carne crua (ou mal cozida) do hospedeiro intermédio, o escólex do parasita abre-se e fixa-se à parede do intestinot, seguindo-se o desenvolvimento do adulto e o fecho do ciclo de vida.[8]

Um pequeno grupo de céstodes, designado por Cestodaria, não apresenta escólex, não produz proglotes e tem uma anatomia externa semelhante à dos Digenea. Os Cestodaria parasitam peixes e tratarugas aquáticas.[5]

Evolução

Com base nos resultados da filogenia molecular foi proposto um esquema explicativo das origens do modo de vida parasítico,[37] uma característica de boa parte das espécies que integram o agrupamento taxonómico. Essa evolução assenta na constatação que os membros do agrupamento Monopisthocotylea, parasitas que se alimentam de tecidos epiteliais de peixes, são um grupo basal nos Neodermata, tendo sido os primeiros que adoptaram o parasitismo a partir de ancestrais de vida livre.

O passo evolucionário seguinte foi uma mudança dietária, passando dos epitélios para o sangue. O último ancestral comum entre os Digenea e os Cestoda foi um membro do agrupamento Monogenea que muito provavelmente era sanguinívoro.

O mais antigo fóssil conhecido de um Cestoda foi datado como tendo-se originado há 270 Ma atrás. Foi encontrado num coprólito (fezes fossilizadas) de um elasmobrânquio.[38]

Interação com os humanos

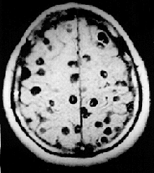
Imagem de ressonância magnética do cérebro de um paciente afectado por neurocisticercose mostrando múltiplos cisticércios no interior dó tecido cerebral.

Os Cestoda (ténia e similares) e os Digenea (tremátodes e similares) são a causa importantes patologias em humanos e em animais domésticos. Os Monogenea, parasitas de peixes, podem causar importantes perdas em instalações de aquacultura.[39] Um doença com esta origem, a bilharziose, também conhecida por esquistossomose ou doença-do-caramujo, é a segunda patologia mais expandida e devastadora da saúde das populações humanas das regiões tropicais, apenas ultrapassada pela malária.

O Carter Center estimou que 200 milhões de pessoas, em 74 países, estão infestadas com o parasita causador da bilharziose, sendo que metade destas pessoas vivem na África sub-sariana. Apesar da condição ter uma baixa taxa de mortalidade, assume frequentemente um carácter de doença crónica que progressivamente danifica os órgãos internos do paciente. Pode influenciar negativamente o crescimento e o desenvolvimento cognitivo de crianças e aumentar significativamente o risco de cancro da bexiga em adultos. A doença é causada por diversas espécies do género Schistosoma, os quais podem perfurar a pele humana penetrando por essa via no corpo. As pessoas em maior risco são as que utilizam corpos de água infestados para recreio ou para lavagem de roupas.[35]

No ano 2000, estimava-se que 45 milhões de de pessoas estavam infestadas coma ténia Taenia saginata, originária de carne bovina infestada, e 3 milhões com a espécie Taenia solium, de origem suína.[39] A infecção do sistema digestivo por ténias adultas causa sintomas abdominais considerados desagradáveis e debilitantes, mas em geral não causam incapacidade ou ameaçam a vida.[40][41] A neurocisticercose, resultante da penetração de larvas de T. solium no sistema nervoso central, é a principal causa de epilepsia adquirida a nível global.[42] Em 2000, cerca de 39 milhões de pessoas estavam infectadas com tremátodes que na natureza parasitam peixes e crustáceos, mas que podem ser transmitidos aos humanos pela ingestão da peixe ou de crustáceos crus ou mal passados. A infecção de humanos pela espécie Diphyllobothrium latum, um parasita de peixes, causa difilobotríase da qual ocasionalmente resulta deficiência de vitamina B12 e, em casos severos, anemia megaloblástica.[39]

A ameaça para a saúde pública resultante deste parasitas tem vindo a crescer nos países mais desenvolvidos em resultado do crescimento da agricultura orgânica, que usa estrumes e lamas de depuração em vez de fertilizantes artificiais, o que favorece a expansão dos parasitas tanto directamente como por via das fezes de gaivotas e outras aves que se alimentam do estrume e das lamas. Outro factor que favorece a expansão destes parasitas é a crescente popularidade do consumos de alimentos crus ou apenas ligeiramente cozidos, a que se associa a importação de carnes, mariscos e vegetais para salada com proveniência em regiões de alto risco. Potenciando esses factores, nas regiões mais desenvolvidas há uma menor sensibilidade do público em relação ao risco para a saúde pública que resulta das parasitoses dada a sua ausência há várias gerações. Em regiões menos desenvolvidas, o saneamento ambiental inadequado e a utilização de fezes humanas como fertilizante e para enriquecimento de instalações de piscicultura favorece a disseminação de platielmintas parasíticos, a que acresce a existência de sistemas de abastecimento de água para consumo humano vulneráveis à contaminação fecal e sistemas de irrigação que distribuem águas poluídas com matéria fecal. Nessas regiões as pessoas por vezes não dispõem de combustível para cozinhar convenientemente as refeições, ingerindo parasitas e seus gâmetas viáveis. Por outro lado, o controlo dos parasitas em humanos e animais domésticos tem vindo a ficar dificultado pelo aparecimento de estirpes resistentes aos medicamentos e outros produtos utilizados no seu controlo, especialmente para matar larvas e juvenis em carnes e seus derivados.[39] Enquanto nas regiões pobres ainda se luta contra a infestação não intencional, nas regiões ricas têm sido reportados casos de infestação propositada por indivíduos desesperados com o insucesso de dietas para perda rápida de peso.[43]

Tem causado preocupação a proliferação no noroeste da Europa de diversos Platyhelminthes, como a espécie de planária Arthurdendyus triangulatus introduzida nas ilhas Britânicas a partir da Nova Zelândia, e do verme australiano Australoplana sanguinea também ali introduzido, ambos predadores de minhocas.[44] A espécie A. triangulatus terá chegado à Europa em contentores de plantas importadas por jardins botânicos.[45]

No Hawaii, a planária Endeavouria septemlineata tem sido usada para controlo biológico do caracol gigante africano Achatina fulica que está a ocupar o nicho ecológico de várias espécies de caracóis nativos. O mesmo tem sido feito com a espécie Platydemus manokwari, outra planária, usada com o mesmo propósito nas Filipinas, Indonésia, Nova Guiné e Guam. Apesar das populações de A. fulica terem declinado marcadamente no Hawaii, há dúvidas quanto ao papel de E. septemlineata nessa redução. Contudo, P. manokwari é creditada como tendo reduzido, e em alguns casos exterminado, as populações de A. fulica, conseguindo muito melhores resultados do que a maioria dos outros programas de controlo biológico, que geralmente visam apenas atingir e manter as populações da espécie infestante estáveis e a nível reduzido. A capacidade das planárias predarem diferentes espécies e de resistirem à falta de alimento pode justificar o seu sucesso no controlo de A. fulica. Contudo, essas mesma características justificam o temor de que as planárias introduzidas possam ser um risco para as espécies nativas que se pretenda proteger.[46] [47]

Um estudo realizado em La Plata, Argentina,[48] demonstrou o potencial de planárias, como as espécies Girardia anceps, Mesostoma ehrenbergii e Bothromesostoma evelinae, para reduzirem as populações de espécies de mosquito, entre as quais as de Aedes aegypti e Culex pipiens. A experiência demonstrou que as espécie G. anceps em particular pode predar todos os ínstares de ambas as espécies de mosquito e manter um ritmo de predação estável ao longo do tempo. A possibilidade de manter populações destes vermes-planos em contentores artificiais permitira manter esses predadores próximo dos locais de reprodução dos mosquitos, o que idealmente reduziria a quantidade de pessoas afectadas por doenças transmitidas por mosquitos.

Galeria

Ver também

Referências

  1. Ehlers, U.; Sopott-Ehlers, B. (junho de 1995). «Plathelminthes or Platyhelminthes?». Hydrobiologia. 305. 1 páginas. ISBN 9789401100458. doi:10.1007/BF00036354 
  2. Ehlers, U.; Sopott-Ehlers, B. (1995). «Plathelminthes or Platyhelminthes?». Hydrobiologia. 305. 1 páginas. doi:10.1007/BF00036354 
  3. platelmintes in Artigos de apoio Infopédia [em linha]. Porto: Porto Editora, 2003-2017. [consult. 2017-04-14 12:24:48]. Disponível na Internet: https://www.infopedia.pt/$platelmintes
  4. a b c Klaus Rohde (2001). «Platyhelminthes (flat worms)». Encyclopaedia of Life Sciences. ISBN 0470016175. doi:10.1038/npg.els.0001585 
  5. a b c d e f g h i j k l m n o p q r Walker, J.C.; Anderson, D.T. (2001). «The Platyhelminthes». In: Anderson, D.T. Invertebrate Zoology. [S.l.]: Oxford University Press. pp. 58–80. ISBN 0-19-551368-1 
  6. a b Hinde, R.T. (2001). «The Cnidaria and Ctenophora». In: Anderson, D.T. Invertebrate Zoology. [S.l.]: Oxford University Press. pp. 28–57. ISBN 0-19-551368-1 
  7. a b Barnes, R.S.K. (1998). The Diversity of Living Organisms. [S.l.]: Blackwell Publishing. pp. 194–195. ISBN 0-632-04917-0. Consultado em 21 de dezembro de 2008 
  8. a b c d e f g h i j k l m n o p q r s t u v w x y Ruppert, E.E.; Fox, R.S. & Barnes, R.D. (2004). Invertebrate Zoology 7 ed. [S.l.]: Brooks / Cole. pp. 226–269. ISBN 0-03-025982-7 
  9. a b c d e f g h «Platelmintos». Mundo Educação. Consultado em 4 de outubro de 2016 
  10. a b Ruppert, E.E.; Fox, R.S. & Barnes, R.D. (2004). Invertebrate Zoology 7 ed. [S.l.]: Brooks / Cole. pp. 196–224. ISBN 0-03-025982-7 
  11. «Filo Platelmintos». Portal São Francisco. Consultado em 11 de junho de 2009 
  12. Ehlers U. (1985). "Phylogenetic relationships within the Plathelminthes", pp 143–158 in The Origins and Relationships of Lower Invertebrates. S Conway Morris, JD George, R Gibson, HM Platt (eds.). Clarendon Press, Oxford.
  13. De Baets, K., P. Dentzien-Dias, I. Upeniece, O. Verneau and P. C. J. Donoghue. «Chapter Three – Constraining the Deep Origin of Parasitic Flatworms and Host-Interactions with Fossil Evidence». In: Kenneth De Baets and D. Timothy J Littlewood. Advances in Parasitology. 90. [S.l.: s.n.] pp. 93–135. ISBN 978-0-12-804001-0. doi:10.1016/bs.apar.2015.06.002 
  14. Poinar, G. (2003). «A Rhabdocoel Turbellarian (Platyhelminthes, Typhloplanoida) in Baltic Amber with a Review of Fossil and Sub-Fossil Platyhelminths». Invertebrate Biology. 122 (4): 308–312. JSTOR 3227067. doi:10.1111/j.1744-7410.2003.tb00095.x 
  15. Carranza, S.; Baguñà, J. & Riutort, M. (1 de maio de 1997). «Are the Platyhelminthes a monophyletic primitive group?». Molecular Biology and Evolution. 14 (5): 485–497. PMID 9159926. doi:10.1093/oxfordjournals.molbev.a025785. Consultado em 23 de dezembro de 2008 
  16. a b c d e Halanych, K.M. (2004). «The New View of Animal Phylogeny» (PDF). Annual Review of Ecology, Evolution, and Systematics. 35: 229–256. doi:10.1146/annurev.ecolsys.35.112202.130124. Consultado em 28 de outubro de 2010 
  17. a b Jondelius, U.; Ruiz-Trillo, I.; Baguñà, J.; Riutort, M. (abril de 2002). «The Nemertodermatida are basal bilaterians and not members of the Platyhelminthes». Zoologica Scripta. 31 (2): 201–215. doi:10.1046/j.1463-6409.2002.00090.x 
  18. a b c d e Larsson, K.; Jondelius, U. (2008). «Phylogeny of Catenulida and support for Platyhelminthes». Organisms Diversity & Evolution. 8 (5): 378–387. doi:10.1016/j.ode.2008.09.002 
  19. a b Wallberg, A.; Curini-Galletti, M.; Ahmadzadeh, A. & Jondelius, U. (2007). «Dismissal of Acoelomorpha: Acoela and Nemertodermatida are separate early bilaterian clades». Zoologica Scripta. 36 (5): 509–523. doi:10.1111/j.1463-6409.2007.00295.x 
  20. a b Westblad, E. (1949). «Xenoturbella bocki n.g., n.sp., a peculiar, primitive turbellarian type». Arkiv för Zoologi. 1: 3–29 
  21. a b Bourlat SJ, Nielsen C, Lockyer AE, Littlewood DT, Telford MJ (2003). «Xenoturbella is a deuterostome that eats molluscs». Nature. 424 (6951): 925–928. PMID 12931184. doi:10.1038/nature01851 
  22. Bourlat SJ, Juliusdottir T, Lowe CJ, Freeman R, Aronowicz J, Kirschner M, Lander ES, Thorndyke M, Nakano H, Kohn AB, Heyland A, Moroz LL, Copley RR, Telford MJ (2006). «Deuterostome phylogeny reveals monophyletic chordates and the new phylum Xenoturbellida». Nature. 444 (7115): 85–88. PMID 17051155. doi:10.1038/nature05241 
  23. a b Timothy, D.; Littlewood, J.; Telford, M.J. & Bray, R.A. (2004). «Protostomes and Platyhelminthes». In: Cracraft, J. & Donoghue, M.J. Assembling the Tree of Life. [S.l.]: Oxford University Press US. pp. 209–223. ISBN 0-19-517234-5. Consultado em 23 de dezembro de 2008 
  24. «Archived copy» (PDF). Consultado em 23 de dezembro de 2008. Arquivado do original (PDF) em 16 de dezembro de 2008 
  25. Torsten H. Struck et al. 2014, Platyzoan Paraphyly Based on Phylogenomic Data Supports a Noncoelomate Ancestry of Spiralia. Molecular Biology and Evolution, Volume 31, Issue 7, 1 July 2014, Pages 1833–1849, https://doi.org/10.1093/molbev/msu143
  26. Nesnidal MP; Helmkampf M; Helmkampf M; Meyer A; Witek A; Bruchhaus I; Ebersberger I; Hankeln T; Lieb B10=Struck THHausdorf B (novembro de 2013). «New phylogenomic data support the monophyly of Lophophorata and an Ectoproct-Phoronid clade and indicate that Polyzoa and Kryptrochozoa are caused by systematic bias». BMC Evolutionary Biology. 13 (1). 253 páginas. PMC 4225663Acessível livremente. PMID 24238092. doi:10.1186/1471-2148-13-253 
  27. Telford, Maximilian J.; Robertson, Helen E.; Schiffer, Philipp H. (18 de junho de 2018). «Orthonectids Are Highly Degenerate Annelid Worms». Current Biology (em inglês). 28 (12): 1970–1974.e3. ISSN 0960-9822. PMID 29861137. doi:10.1016/j.cub.2018.04.088 
  28. Marlétaz, Ferdinand; Peijnenburg, Katja T. C. A.; Goto, Taichiro; Satoh, Noriyuki; Rokhsar, Daniel S. (2019). «A new spiralian phylogeny places the enigmatic arrow worms among gnathiferans». Current Biology. 29 (2): 312–318.e3. doi:10.1016/j.cub.2018.11.042 
  29. a b Willems, W.R.; Wallberg, A.; Jondelius, U.; et al. (2005). «Filling a gap in the phylogeny of flatworms: relationships within the Rhabdocoela (Platyhelminthes), inferred from 18S ribosomal DNA sequences» (PDF). Zoologica Scripta. 35 (1): 1–17. doi:10.1111/j.1463-6409.2005.00216.x. Consultado em 23 de dezembro de 2008 
  30. Lockyer, A.E.; Olson, P.D. & Littlewood, D.T.J. (2003). «Utility of complete large and small subunit rRNA genes in resolving the phylogeny of the Neodermata (Platyhelminthes): implications and a review of the cercomer theory». Biological Journal of the Linnean Society. 78 (2): 155–171. doi:10.1046/j.1095-8312.2003.00141.x 
  31. Ehlers, U. (1986). «Comments on a phylogenetic system of the Platyhelminthes». Hydrobiologia. 132 (1): 1–12. doi:10.1007/BF00046222 
  32. Boll, P. K.; Rossi, I.; Amaral, S. V.; Oliveira, S. M.; Müller, E. S.; Lemos, V. S.; Leal-Zanchet, A. M. (2013). «Platyhelminthes ou apenas semelhantes a Platyhelminthes? Relações filogenéticas dos principais grupos de turbelários». Neotropical Biology and Conservation. 8 (1): 41–52. doi:10.4013/nbc.2013.81.06 
  33. Egger, B.; Lapraz, F.; Tomiczek, B.; Müller, S.; Dessimoz, C.; Girstmair, J.; Škunca, N.; Rawlinson, K. A.; Cameron, C. B.; Beli, E.; Todaro, M. A.; Gammoudi, M.; Noreña, C.; Telford, M. I. (2015). «A Transcriptomic-Phylogenomic Analysis of the Evolutionary Relationships of Flatworms». Current Biology. 25 (10): 1347–1353. doi:10.1016/j.cub.2015.03.034 
  34. Newman, Leslie. «Fighting to mate: flatworm penis fencing». PBS. Consultado em 21 de dezembro de 2008 
  35. a b The Carter Center. «Schistosomiasis Control Program». Consultado em 17 de julho de 2008 
  36. Justine JL, Rahmouni C, Gey D, Schoelinck C, Hoberg EP (2013). «The Monogenean which lost its clamps». PLOS ONE. 8 (11): e79155. PMC 3838368Acessível livremente. PMID 24278118. doi:10.1371/journal.pone.0079155 
  37. Perkins, EM; Donnellan, SC; Bertozzi, T; Whittington, ID (2010). «Closing the mitochondrial circle on paraphyly of the Monogenea (Platyhelminthes) infers evolution in the diet of parasitic flatworms». Int J Parasitol. 40 (11): 1237–45. doi:10.1016/j.ijpara.2010.02.017 
  38. Dentzien-Dias, PC; Poinar, G Jr; de Figueiredo, AE; Pacheco, AC; Horn, BL; Schultz, CL (30 de janeiro de 2013). «Tapeworm eggs in a 270 million-year-old shark coprolite». PLOS ONE. 8 (1): e55007. doi:10.1371/journal.pone.0055007 
  39. a b c d Northrop-Clewes, C.A.; Shaw, C. (2000). «Parasites» (PDF). British Medical Bulletin. 56 (1): 193–208. PMID 10885116. doi:10.1258/0007142001902897. Consultado em 24 de dezembro de 2008 
  40. García, H.H.; Gonzalez, A.E.; Evans, C.A.W. & Gilman, R.H. (2003). «Taenia solium cysticercosis». The Lancet. 362 (9383): 547–556. PMC 3103219Acessível livremente. PMID 12932389. doi:10.1016/S0140-6736(03)14117-7 
  41. WHO Expert Committee (1987). «Public health significance of intestinal parasitic infections» (PDF). Bulletin of the World Health Organization. 65 (5): 575–588. PMC 2491073Acessível livremente. PMID 3501340. Consultado em 24 de dezembro de 2008 
  42. Commission on Tropical Diseases of the International League Against Epilepsy (1994). «Relationship Between Epilepsy and Tropical Diseases». Epilepsia. 35 (1): 89–93. PMID 8112262. doi:10.1111/j.1528-1157.1994.tb02916.x 
  43. «Iowa woman tries 'tapeworm diet', prompts doctor warning». Today. 16 de agosto de 2013 
  44. «Flatworm information sheet – Isle of Man Government» (PDF). Consultado em 20 de outubro de 2016. Arquivado do original (PDF) em 1 de maio de 2013 
  45. Boag, B.; Yeates, G.W. (2001). «The Potential Impact of the New Zealand Flatworm, a Predator of Earthworms, in Western Europe». Ecological Applications. 11 (5): 1276–1286. ISSN 1051-0761. doi:10.1890/1051-0761(2001)011[1276:TPIOTN]2.0.CO;2 
  46. Barker, G.M. (2004). «Terrestrial planarians». Natural Enemies of Terrestrial Molluscs. [S.l.]: CABI Publishing. pp. 261–263. ISBN 0-85199-319-2 
  47. Justine, Jean-Lou; Winsor, Leigh; Gey, Delphine; Gros, Pierre; Thévenot, Jessica (2014). «The invasive New Guinea flatworm Platydemus manokwari in France, the first record for Europe: time for action is now.». PeerJ. 2: e297. PMC 3961122Acessível livremente. PMID 24688873. doi:10.7717/peerj.297  publicação de acesso livre - leitura gratuita
  48. «Predation potential of three flatworm species (Platyhelminthes: Turbellaria) on mosquitoes (Diptera: Culicidae)». Biological Control. 49: 270–276. doi:10.1016/j.biocontrol.2008.12.010 

Bibliografia

Ligações externas