Genoma

Em biologia, o genoma é toda a informação hereditária de um organismo que está codificada em seu DNA (ou, no caso de alguns vírus, no RNA). Isso inclui tanto genes como regiões intergénicas, DNA mitocondrial e DNA plastídico. Os genes consistem tanto na sua região codificante (exons) quanto a região não codificante, conhecida como íntrons ou junk DNA,[Nota 1] termo criado, em 1920, por Hans Winkler, professor de botânica na Universidade de Hamburgo, e que não é mais usado, porque atualmente se sabe que essas sequências não codificadoras são muito importantes para a regulação gênica, dentre outras funções.[1] Mais precisamente, o genoma de um organismo é uma sequência de DNA completa de um conjunto de cromossomos; por exemplo, um dos dois conjuntos que um indivíduo diploide contém em cada uma das suas células somáticas. Quando se diz que o genoma de uma espécie que se reproduz sexualmente foi "sequenciado", normalmente está a referir-se à determinação das sequências de um conjunto de autossomos e de um de cada tipo de cromossomo sexual, que determinam o sexo. Mesmo em espécies cujos indivíduos são todos do mesmo sexo, o que é descrito como "uma sequência genómica" pode ser um composto de cromossomos de vários indivíduos.

Em português corrente, a expressão constituição genética pode ser usada para designar o genoma de um dado indivíduo ou organismo. O estudo das propriedades globais dos genomas de organismos relacionados chama-se geralmente genómica,[2] termo que distingue essa disciplina da anatomia, que em geral se preocupa com o estudo das propriedades de genes únicos ou de grupos de genes.
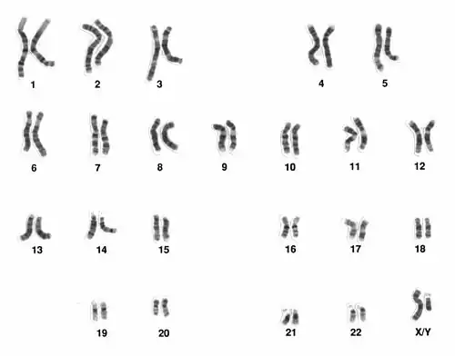
- 1) É o conjunto simples de cromossomos de uma célula (cariótipo). É o conjunto formado por apenas um cromossomo de cada tipo, na espécie estudada. No ser humano o genoma é constituído por 23 pares de cromossomas.
- 2) Projeto genoma, denominação dada a tarefa de decodificação do DNA humano aceita por diversas nações associadas.[3]
Visão geral
Alguns organismos possuem múltiplas cópias de cromossomos: diploides, triploides, tetraploides e assim por diante. Na genética clássica, em um organismo reproduzindo sexualmente (tipicamente eukarya), o gameta tem metade do número de cromossomos da célula somática e o genoma é um conjunto completo de cromossomos em uma célula diploide. A redução à metade do material genético em gametas é realizada pela segregação de cromossomos homólogos durante a meiose. Em organismos haploides, incluindo células de bactérias, arqueas e organelas, incluindo mitocôndrias e cloroplastos, ou vírus, que contêm genes semelhantes, o único ou conjunto de cadeias circulares ou lineares de DNA (ou RNA para alguns vírus), também constituem o genoma . O termo genoma pode ser aplicado especificamente para significar o que é armazenado em um conjunto completo de DNA nuclear (ou seja, o "genoma nuclear"), mas também pode ser aplicado ao que é armazenado dentro de organelas que contêm seu próprio DNA, como com o "mitocondrial Genoma "ou o" genoma do cloroplasto ". Além disso, o genoma pode compreender elementos genéticos não cromossômicos, como vírus, plasmídeos e elementos transponíveis.
Normalmente, quando se diz que o genoma de uma espécie reproduzindo sexualmente foi "sequenciado", ele se refere a uma determinação das seqüências de um conjunto de autossomos e um de cada tipo de cromossomo sexual, que juntos representam ambos os sexos possíveis . Mesmo em espécies que existem em apenas um sexo, o que é descrito como uma "sequência do genoma" pode ser uma leitura composta dos cromossomos de vários indivíduos. De forma coloquial, a frase "maquiagem genética" às vezes é usada para significar o genoma de um determinado indivíduo ou organismo. O estudo das propriedades globais dos genomas de organismos relacionados geralmente é referido como genômica, o que a distingue da genética que Geralmente estuda as propriedades de genes ou grupos de genes únicos.[4]
Mapeamento e Sequência
Em 1976, Walter Fiers na Universidade de Ghent (Bélgica) foi o primeiro a estabelecer a sequência de nucleotídeos completa de um genoma de ARN viral (Bacteriophage MS2). No ano seguinte, Fred Sanger completou a primeira sequência de DNA-genoma: Phage Φ-X174, de 5386 pares de bases.[5] As primeiras sequências completas do genoma entre os três domínios da vida foram liberadas em um curto período em meados da década de 1990: o primeiro genoma bacteriano a ser sequenciado foi o de Haemophilus influenzae, completado por uma equipe do Instituto de Pesquisa Genômica em 1995. A Poucos meses depois, o primeiro genoma eucariótico foi completado, com sequências dos 16 cromossomos da fermento em broto Saccharomyces cerevisiae, publicados como resultado de um esforço dirigido pela Europa iniciado em meados da década de 1980. A primeira sequência do genoma para um archaeon, Methanococcus jannaschii, foi completada em 1996, novamente pelo The Institute for Genomic Research.
O desenvolvimento de novas tecnologias tornou-se dramaticamente mais fácil e mais barato fazer sequenciação, e o número de sequências completas do genoma está crescendo rapidamente. Os Institutos Nacionais de Saúde dos EUA mantêm uma das várias bases de dados abrangentes de informações genômicas.[6] Entre os milhares de projetos completos de sequenciamento do genoma, incluem-se o arroz, o mouse, a planta Arabidopsis thaliana, o peixe-soprador e a bactéria E. coli. Em dezembro de 2013, os cientistas primeiro sequenciaram todo o genoma de um Neanderthal, uma espécie extinta de humanos. O genoma foi extraído do osso dos pés de um Neanderthal de 130 mil anos encontrado em uma caverna da Sibéria.[7][8]

As novas tecnologias de sequenciamento, como aquencial paralela maciça, também abriram a perspectiva de sequenciamento pessoal do genoma como ferramenta de diagnóstico, como pioneira pela Manteia Predictive Medicine. Um passo importante em direção a esse objetivo foi a conclusão em 2007 do genoma completo de James D. Watson, um dos codescobridores da estrutura do DNA.[9]
Enquanto uma sequência do genoma lista a ordem de cada base de DNA em um genoma, um mapa do genoma identifica os pontos de referência. Um mapa de genoma é menos detalhado do que uma sequência de genoma e ajuda a navegar pelo genoma. O Projeto Genoma Humano foi organizado para mapear e sequenciar o genoma humano. Um passo fundamental no projeto foi o lançamento de um mapa genômico detalhado de Jean Weissenbach e sua equipe no Genoscope em Paris.[10][11]
As sequências e mapas do genoma de referência continuam a ser atualizados, removendo erros e esclarecendo regiões de alta complexidade alelica.[12] O custo decrescente do mapeamento genômico permitiu que os sites genealógicos a ofereçam como serviço,[13] na medida em que se pode submeter seu genoma a engajar pesquisas científicas, tais como o DNA. land no New York Genome Center, um exemplo tanto de.
Tamanhos de genomas
Tabela comparativa de tamanhos de genomas (em pares de bases):
| Tipo | Organismo | Tamanho
(pares de base) |
Total de genes | |
|---|---|---|---|---|
| Vírus | Porcine circovirus type 1 | 1.759 | 1,8 kB | |
| Vírus | Bacteriophage MS2 [14] | 3.569 | 3,5 kB | |
| Vírus | SV40 | 5.224 | 5,2 kB | |
| Vírus | Phage Φ-X174 [15] | 5.386 | 5,4 kB | |
| Vírus | HIV | 9.749 | 9,7 kB | |
| Vírus | Phage λ | 48.502 | 48,5 kB | |
| Vírus | Megavirus | 1.259.197 | 1,3 MB | |
| Vírus | Pandoravirus salinus | 2.470.000 | 2,47 MB | |
| Organela Eucariota | Human mitochondrion | 16.569 | 16,6 kB | |
| Bactéria | Nasuia deltocephalinicola (strain NAS-ALF) | 112.091 | 112 kB | 137 |
| Bactéria | Carsonella ruddii | 159.662 | 160 kB | |
| Bactéria | Buchnera aphidicola | 600.000 | 600 kB | |
| Bactéria | Wigglesworthia glossinidia | 700.000 | 700Kb | |
| Bactéria – Cianobactéria | Prochlorococcus spp. (1.7 Mb) | 1.700.000 | 1,7 MB | 1.884 |
| Bactéria | Haemophilus influenzae | 1.830.000 | 1,8 MB | |
| Bactéria | Escherichia coli [16] | 4.600.000 | 4,6 MB | 4.288 |
| Bactéria – Cianobactéria | Nostoc punctiforme | 9.000.000 | 9 MB | 7.432 |
| Bactéria | Solibacter usitatus (strain Ellin 6076) | 9.970.000 | 10 MB | |
| Planta | Genlisea tuberosa | 61.000.000 | 61 MB | |
| Planta | Arabidopsis thaliana | 135.000.000 | 135 MB | 27.655 |
| Planta | Populus trichocarpa | 480.000.000 | 480 MB | 73.013 |
| Planta | Fritillaria assyriaca | 130.000.000.000 | 130 GB | |
| Planta | Paris japonica [17] | 150.000.000.000 | 150 GB | |
| Planta | Physcomitrella patens | 480.000.000 | 480 MB | |
| Fungo - levedura | Saccharomyces cerevisiae | 12.100.000 | 12,1 MB | 6.294 |
| Fungo | Aspergillus nidulans | 30.000.000 | 30 MB | 9.541 |
| Nematode | Pratylenchus coffeae | 20.000.000 | 20 MB | |
| Nematode | Caenorhabditis elegans | 100.300.000 | 100 MB | 19.000 |
| Inseto | Drosophila melanogaster [18] | 175.000.000 | 175 MB | 13.600 |
| Inseto | Apis mellifera (honey bee) | 236.000.000 | 236 MB | 10.157 |
| Inseto | Bombyx mori (silk moth) | 432.000.000 | 432 MB | 14.623 |
| Inseto | Solenopsis invicta (fire ant) | 480.000.000 | 480 MB | 16.569 |
| Mamífero | Mus musculus [19] | 2.700.000.000 | 2,7 GB | 20.210 |
| Mamífero | Pan paniscus | 3.286.640.000 | 3,3 GB | 20.000 |
| Mamífero | Homo sapiens [20] | 3.117.000.000 | 3,1 GB | 20.000 |
| Pássaro | Gallus gallus | 1.043.000.000 | 1,0 GB | 20.000 |
| Peixe | Tetraodon nigroviridis | 385.000.000 | 390 MB | |
| Peixe | Protopterus aethiopicus | 130.000.000.000 | 130 GB | |
Ver também
- Gene
- Genoma humano
- Genoma mitocondrial
- Genoma do Neandertal
- Sequenciamento
- Patologia molecular
- Epidemiologia molecular
- Genómica
- Projeto Genoma
- Projeto Genoma do Câncer
Notas
- ↑ Embora as regiões não codificantes tenham sido chamadas de Junk DNA, uma vez que não são expressas, pesquisadores descobriram que muitas delas regulam a expressão de outras seções do DNA. Ver Cohen, Jon (2010). Almost Chimpanzee. Searching for What Makes us Human, in Rainforests, Labs, Sanctuaries, and Zoos (em inglês). New York: Times Books. p. 24–26. 369 páginas. ISBN 978-0-8050-8307-1
Referências
- ↑ Kevin Davies, Decifrando o Genoma: a corrida para desvendar o DNA Humano ; Companhia das Letras, 2001, ISBN 8-535-90106-X
- ↑ Gibson, Greg; Muse, Spencer V (2004). A Primer of Genome Science (em inglês) 2ª ed. Sunderland, Massachusetts: Sinauer. p. 1. 378 páginas. ISBN 0-87893-232-1
- ↑ Valdomiro José de Souza, Projeto genoma humano; Edicoes Loyola, 2004, ISBN 8-515-02877-8
- ↑ «Genome». Wikipedia (em inglês). 25 de junho de 2017
- ↑ «All about genes». www.beowulf.org.uk (em inglês). Consultado em 17 de agosto de 2017
- ↑ «Home - Genome - NCBI». www.ncbi.nlm.nih.gov. Consultado em 17 de agosto de 2017
- ↑ Zimmer, Carl (18 de dezembro de 2013). «Toe Fossil Provides Complete Neanderthal Genome». The New York Times (em inglês). ISSN 0362-4331
- ↑ Prüfer, Kay; Racimo, Fernando; Patterson, Nick; Jay, Flora; Sankararaman, Sriram; Sawyer, Susanna; Heinze, Anja; Renaud, Gabriel; Sudmant, Peter H. «The complete genome sequence of a Neanderthal from the Altai Mountains». Nature. 505 (7481): 43–49. doi:10.1038/nature12886
- ↑ Wade, Nicholas (31 de maio de 2007). «Genome of DNA Pioneer Is Deciphered». The New York Times (em inglês). ISSN 0362-4331
- ↑ «What's a Genome?». www.genomenewsnetwork.org. Consultado em 17 de agosto de 2017
- ↑ «Mapping Factsheet». 19 de julho de 2010. Consultado em 17 de agosto de 2017
- ↑ «Help - Genome Reference Consortium». www.ncbi.nlm.nih.gov. Consultado em 17 de agosto de 2017
- ↑ https://www.facebook.com/sarah.kaplan.31. «How do your 20,000 genes determine so many wildly different traits? They multitask.». Washington Post. Consultado em 17 de agosto de 2017
- ↑ Fiers, W.; Contreras, R.; Duerinck, F.; Haegeman, G.; Iserentant, D.; Merregaert, J.; Min Jou, W.; Molemans, F.; Raeymaekers, A. (8 de abril de 1976). «Complete nucleotide sequence of bacteriophage MS2 RNA: primary and secondary structure of the replicase gene». Nature (em inglês) (5551): 500–507. ISSN 0028-0836. doi:10.1038/260500a0. Consultado em 14 de setembro de 2022
- ↑ Sanger, F.; Air, G. M.; Barrell, B. G.; Brown, N. L.; Coulson, A. R.; Fiddes, J. C.; Hutchison, C. A.; Slocombe, P. M.; Smith, M. (fevereiro de 1977). «Nucleotide sequence of bacteriophage φX174 DNA». Nature (em inglês) (5596): 687–695. ISSN 0028-0836. doi:10.1038/265687a0. Consultado em 14 de setembro de 2022
- ↑ Blattner, Frederick R.; Plunkett, Guy; Bloch, Craig A.; Perna, Nicole T.; Burland, Valerie; Riley, Monica; Collado-Vides, Julio; Glasner, Jeremy D.; Rode, Christopher K. (5 de setembro de 1997). «The Complete Genome Sequence of Escherichia coli K-12». Science (em inglês) (5331): 1453–1462. ISSN 0036-8075. doi:10.1126/science.277.5331.1453. Consultado em 14 de setembro de 2022
- ↑ Pellicer, Jaume; Fay, Michael F.; Leitch, Ilia J. (15 de setembro de 2010). «The largest eukaryotic genome of them all?: THE LARGEST EUKARYOTIC GENOME?». Botanical Journal of the Linnean Society (em inglês) (1): 10–15. doi:10.1111/j.1095-8339.2010.01072.x. Consultado em 14 de setembro de 2022
- ↑ Ellis, Lisa L.; Huang, Wen; Quinn, Andrew M.; Ahuja, Astha; Alfrejd, Ben; Gomez, Francisco E.; Hjelmen, Carl E.; Moore, Kristi L.; Mackay, Trudy F. C. (24 de julho de 2014). Copenhaver, Gregory P., ed. «Intrapopulation Genome Size Variation in D. melanogaster Reflects Life History Variation and Plasticity». PLoS Genetics (em inglês) (7): e1004522. ISSN 1553-7404. doi:10.1371/journal.pgen.1004522. Consultado em 14 de setembro de 2022
- ↑ Church, Deanna M.; Goodstadt, Leo; Hillier, LaDeana W.; Zody, Michael C.; Goldstein, Steve; She, Xinwe; Bult, Carol J.; Agarwala, Richa; Cherry, Joshua L. (26 de maio de 2009). Roberts, Richard J., ed. «Lineage-Specific Biology Revealed by a Finished Genome Assembly of the Mouse». PLoS Biology (em inglês) (5): e1000112. ISSN 1545-7885. PMC 2680341
. PMID 19468303. doi:10.1371/journal.pbio.1000112. Consultado em 14 de setembro de 2022
- ↑ Venter, J. Craig; Adams, Mark D.; Myers, Eugene W.; Li, Peter W.; Mural, Richard J.; Sutton, Granger G.; Smith, Hamilton O.; Yandell, Mark; Evans, Cheryl A. (16 de fevereiro de 2001). «The Sequence of the Human Genome». Science (em inglês) (5507): 1304–1351. ISSN 0036-8075. doi:10.1126/science.1058040. Consultado em 14 de setembro de 2022