Leucemia
| Leucemia | |
|---|---|
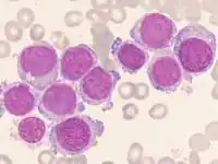
![]() | |
| Medula óssea de uma pessoa com leucemia linfoblástica aguda de percursores B. Coloração de Wright | |
| Especialidade | Hematologia e oncologia |
| Sintomas | Hemorragias, nódoas negras, fadiga, febre, risco acrescido de infeções[1] |
| Início habitual | Qualquer idade[2] |
| Causas | Fatores genéticos e ambientais[3] |
| Fatores de risco | Fumar, antecedentes familiares, radiação ionizante, algumas substâncias químicas, antecedentes de quimioterapia, síndrome de Down.[3][2] |
| Método de diagnóstico | Análises ao sangue, mielograma[1] |
| Tratamento | Quimioterapia, radioterapia, terapia dirigida, transplante de medula óssea, cuidados paliativos[2] |
| Prognóstico | Taxa de sobrevivência a 5 anos: 57% (EUA)[4] |
| Frequência | 2,3 milhões (2015)[5] |
| Mortes | 353 500 (2015)[6] |
| Classificação e recursos externos | |
| CID-11 | 2B33.4 |
| CID-10 | C91-C95 |
| CID-9 | 208.9 |
| CID-CID-O | 9800-9940 |
| DiseasesDB | 7431 |
| MedlinePlus | 001299 |
| MeSH | D007938 |
Leucemia é um grupo de cancros que surgem geralmente na medula óssea e causam um número elevado de glóbulos brancos anormais.[7] Estes glóbulos brancos não estão totalmente desenvolvidos e são denominados células leucémicas.[1] Os sintomas incluem hemorragias e contusões, fadiga, febre e aumento do risco de infeções,[1] e podem ocorrer devido à ausência de células sanguíneas normais. O diagnóstico é geralmente feito através de análises ao sangue ou biópsia da medula óssea.[1]
Desconhece-se a causa exata da leucemia. Acredita-se que os diferentes tipos de leucemia têm diferentes causas e que estão envolvidos tanto fatores hereditários como ambientais.[3] Entre os fatores de risco estão o tabagismo, radiação ionizante, alguns produtos químicos (como o benzeno), antecedentes de quimioterapia, síndrome de Down e antecedentes familiares de leucemia.[3][2] Existem quatro tipos principais de leucemia: leucemia linfoblástica aguda (LLA), leucemia mieloide aguda (LMA), leucemia linfocítica crónica (LLC) e leucemia mieloide crónica (LMC), para além de vários tipos menos comuns.[2][8] As leucemias e os linfomas pertencem a um grupo abrangente de tumores que afetam o sangue, a medula óssea e o sistema linfático.[9][10]
O tratamento pode consistir numa combinação de quimioterapia, radioterapia, terapia dirigida e transplante de medula óssea, para além de terapia de apoio e cuidados paliativos conforme necessário. Alguns tipos de leucemia podem ser geridos com vigilância ativa.[2] A eficácia do tratamento depende do tipo de leucemia e da idade da pessoa. Em países desenvolvidos, o prognóstico tem vindo a melhorar.[8] Nos Estados Unidos, a taxa de sobrevivência a cinco anos é, em média, 57%.[4] Em crianças com menos de 15 anos, a taxa de sobrevivência a cinco anos é superior a 60-85%, dependendo do tipo de leucemia.[11] Em pessoas com leucemia aguda que no prazo de cinco anos não voltem a ter cancro, é improvável que a doença reapareça.[11]
Em 2012, a leucemia afetava em todo o mundo 352 000 pessoas e foi responsável por 265 000 mortes.[8] É o tipo mais comum de cancro em crianças, nas quais três quartos dos casos são leucemia linfoblástica aguda.[2] No entanto, 90% dos casos de leucemia são diagnosticados em adultos, sendo os tipos mais comuns a leucemia mieloide aguda e a leucemia linfocítica crónica[8]
Classificação

Clinicamente e patologicamente a leucemia é dividida em formas aguda e crônica:
- Leucemia aguda: caracterizada pelo crescimento rápido de células imaturas do sangue. O tratamento deve ser imediato pela rápida progressão e acumulo de células malignas que invadem a circulação periférica e outros órgãos. Geralmente acomete em crianças e adultos jovens.
- Leucemia crônica: caracterizada pela produção progressiva e constante de células maduras anormais. Sua progressão pode demorar de meses a anos. Geralmente acomete idosos.
Além disso, as doenças são classificadas em:
- Leucemias linfoides ou linfoblásticas: quando a mutação cancerosa ocorreu nos linfoblastos ou nos linfócitos. Os linfoblastos são precursoras dos linfócitos, que atuam na defesa do organismo contra corpos estranhos (ex: vírus, bactérias, fungos, alérgenos).
- Leucemias mieloides: quando a mutação cancerosa ocorreu nas células da medula óssea que produzem os elementos do sangue (ex: hemácias, mieloblastos ou plaquetas).
| Tipo | Ocorrência | Taxa de sobrevivência em 5-anos | Tratamento |
|---|---|---|---|
| Leucemia linfocítica aguda | Tipo mais comum de leucemia em crianças jovens. Também afeta adultos, especialmente com mais de 65 anos. | 85% em crianças e 50% em adultos[13] | Radioterapia, quimioterapia, terapia localizada e/ou transplante de medula óssea. Prevenção da propagação da doença, principalmente ao sistema nervoso central. |
| Leucemia linfocítica crônica | Mais frequentemente afeta adultos acima de 55 anos. Às vezes ocorre em adultos jovens, mas quase nunca afeta crianças. ⅔ dos afetados são homens. | 75%[14] | Radioterapia, quimioterapia, esplenectomia, anticorpos monoclonais, paliativo e/ou transplante de medula óssea e de células tronco.[15] |
| Leucemia mieloide aguda | Ocorre mais comumente em adultos do que em crianças, sendo mais comuns em homens do que em mulheres. | 40% [16] | Quimioterapia, ácido retinoico trans-ALL (ATRA), anticorpos monoclonais, paliativo e/ou transplante de células tronco.[17] |
| Leucemia mieloide crônica | Ocorre principalmente em adultos. Um número muito pequeno de crianças também desenvolve esta doença. | 90% | Inibidores da tirosina quinase como imatinib,[18][19] quimioterapia, imunoterapia, transplante de células tronco, infusão de linfócitos do doador (ILD) e/ou esplenectomia. |
| Leucemia de células pilosas | Cerca de 80% dos afetados são homens adultos. Não há caso relatados em crianças jovens. | 96% a 100% em dez anos[20] | Quimioterapia, esplenectomia, anticorpos monoclonais (rituximab) e/ou imunoterapia (com vacinas e citocinas)[21] |
Subtipos

Dentro destas categorias principais, existem diversas subcategorias como:
- Leucemia de células pilosas: Um subtipo de leucemia linfocítica crônica, com linfócitos que parecem ter pelos ("pilosos") quando observados ao microscópio. Cerca de 80% das pessoas afetadas são homens adultos. Não foram notificados casos em crianças. A sobrevivência é de 96% a 100% em dez anos.[22]
- Leucemia linfocítica granular T ou NK: Afetam linfócitos T ou NK. É rara, pouco agressiva e indolor.
- Leucemia de células T do adulto: É causada pelo Vírus linfotrópico da célula T humana (HTLV), um retrovírus semelhante ao HIV, que também afeta os linfócitos T CD4+, mas imortaliza a célula pra que produza mais HTLV.
- Leucemia agressiva células NK: É um linfoma raro dos linfócitos NK (Natural Killer), que pode ser induzido pelo vírus Epstein-Barr. Mais comum em adolescentes e adultos jovens. Causa um declínio muito rápido, exigindo rápido início da quimioterapia.[23]
Sinais e sintomas

As manifestações clínicas da leucemia são secundárias à proliferação excessiva de células imaturas (blásticas) na medula óssea, que infiltram os tecidos do organismo, tais como: amígdalas, linfonodos (ínguas), pele, baço, rins, sistema nervoso central (SNC) e outros. A proliferação rápida das células leucêmicas faz com que estas vão ocupando cada vez mais a medula óssea, não deixando mais as células normais (hemácias, leucócitos e plaquetas) se reproduzirem normalmente e saírem da medula óssea, causando sintomas diferentes a cada tipo da doença, tais como:
- Síndrome anêmica: aparecem pela redução da produção dos eritrócitos pela medula óssea.
- Sonolência;
- Cansaço;
- Irritabilidade e fraqueza;
- Pouca fome, consequentemente emagrecimento;
- Palpitações;
- Dores de cabeça;
- Tonturas;
- Desmaios;
- Queda de Cabelos;
- Palidez.
- Síndrome trombocitopênica (hemorragias): aparecem pela redução de plaquetas que são de grande importância para a coagulação do sangue, pois evitam os sangramentos.
- Hematomas (manchas roxas) grandes que aparecem sem trauma algum;
- Hematomas (manchas roxas) que aparecem e reaparecem, sucessivamente, após pequeno trauma;
- Petéquias (pequenas pintinhas vermelhas de sangue que aparecem na pele);
- Petéquias dentro da boca;
- Epistaxe;
- Sangramento gengival;
- Menstruação excessiva;
- Algumas vezes, sangue nas fezes;
- Síndrome leucopênica (mais neutropênica):aparecem pela diminuição de leucócitos normais, principalmente os neutrófilos, que atuam na defesa do organismo contra infecções.
- Infecções frequentes;
- Língua dolorida, machucada;
- Aftas, machucados frequentes que aparecem e reaparecem dentro da boca ou no lábio;
- Febre;
- Algumas vezes, suor excessivo durante a noite e gânglios linfáticos saltados;
- Esplenomegalia e/ou Hepatomegalia (alargamento do baço e/ou fígado).
Ocasionalmente, também pode ocorrer:
- Infiltração das células leucemias nos órgãos, tecidos e ossos causando:
- Dor nos ossos;
- Dor no esterno;
- Dor nas articulações;
- Problemas nos órgãos.
Esses sintomas geralmente aparecem em "tríade", ou seja, pelo menos, um sintoma de cada síndrome (anemia, plaquetopenia, leucopenia). Por exemplo, uma pessoa pode apresentar sonolência, manchas roxas e febre. Porém, existem casos raros em que a pessoa apresenta apenas uma anemia normocítica de difícil tratamento.
Causas
Não existe uma causa única para todos os tipos de leucemia. Cada tipo de leucemia possui sua própria causa. Suspeita-se de ser causada por fatores diversos, dentro deles: herança genética, desencadeamento após contaminação por certos tipos de vírus, radiação, poluição, tratamento quimioterápico entre outros.
Diagnóstico

- Hemograma: ao fazer um exame de rotina, pode-se notar um hemograma anormal sugestivo de leucemia com presença de células imaturas ou uma proliferação excessiva de células aparentemente maduras. O hemograma não serve para classificar a leucemia, mas geralmente é o primeiro exame a ser notado alguma alteração. Também se verifica se há presença de anemia e trombocitopenia.
- Mielograma: É um exame de grande importância para o diagnóstico, através da análise da morfologia das células e com o uso de provas citoquímicas. O mielograma é usado também para a avaliação da resposta ao tratamento, indicando se, morfologicamente, essas células leucêmicas foram erradicadas da medula óssea (remissão completa medular). Esse exame é feito sob anestesia local e consiste na aspiração da medula óssea seguida da confecção de esfregaços em lâminas de vidro, para exame ao microscópio. Os locais preferidos para a aspiração são a parte posterior do osso ilíaco (bacia) e o esterno (parte superior do peito). Durante o tratamento são feitos vários mielogramas.
- Punção lombar: A espinal medula é parte do sistema nervoso, que tem a forma de cordão, e por isso é chamada de cordão espinhal. A medula é forrada pelas meninges (três membranas). Entre as meninges circula um líquido claro denominado líquor. A punção lombar consiste na aspiração do liquor para exame citológico e também para injeção de quimioterapia com a finalidade de impedir o aparecimento (profilaxia) de células leucêmicas no SNC ou para destruí-las quando existir doença (meningite leucêmica) nesse local. É feita na maioria das vezes com anestesia local e poucas vezes com anestesia geral. Nesse último caso, é indicado em crianças que não cooperam com o exame.
- Citometria de fluxo: Pesquisa alguns marcadores de superfície das células imaturas. No caso de uma leucemia linfóide aguda é possível saber se a proliferação é de linfócito T ou B.
Tratamento

Como geralmente não se conhece a causa da leucemia, o tratamento tem o objetivo de destruir as células leucêmicas, para que a medula óssea volte a produzir células normais. O grande progresso para obter cura total da leucemia foi conseguido com a associação de medicamentos (poliquimoterapia), controle das complicações infecciosas e hemorrágicas e prevenção ou combate da doença no sistema nervoso central (cérebro e medula espinhal). Para alguns casos, é indicado o transplante de medula óssea.
O tratamento é feito em várias fases. A primeira tem a finalidade de atingir a remissão completa, ou seja, um estado de aparente normalidade que se obtém após a poliquimioterapia. Os quimioterápicos mais utilizados são a citarabina (100–200 mg/m² por 7 dias) e a daunorrubicina (30–60 mg/m² por 3 dias). Este esquema é conhecido como 7+3. Esse resultado é conseguido entre um e dois meses após o início do tratamento (fase de indução de remissão), quando os exames não mais evidenciam células leucêmicas. Isso ocorre quando os exames de sangue e da medula óssea (remissão morfológica) e o exame físico (remissão clínica) não demonstram mais anormalidades.
Entretanto, as pesquisas comprovam que ainda restam no organismo muitas células leucêmicas (doença residual), o que obriga a continuação do tratamento para não haver recaída da doença. Nas etapas seguintes, o tratamento varia de acordo com o tipo de leucemia (linfoide ou mieloide), podendo durar mais de dois anos nas linfóides e menos de um ano nas mieloides.
São três fases:

- consolidação (tratamento intensivo com substâncias não empregadas anteriormente);
- reindução (repetição dos medicamentos usados na fase de indução da remissão) e
- manutenção (o tratamento é mais brando e contínuo por vários meses).
Por ser uma poliquimioterapia agressiva, pode ser necessária o internamento do paciente nos casos de infecção decorrente da queda dos glóbulos brancos normais pelo próprio tratamento.
Procedimentos médicos
- Cateter Venoso Central: Como o tratamento da leucemia aguda pode alcançar até três anos de duração e requer repetidas transfusões e internações, recomenda-se a implantação de um cateter de longa permanência em uma veia profunda, para facilitar a aplicação de medicamentos e derivados sanguíneos além das frequentes coletas de sangue para exames, evitando com isso punções venosas repetidas e dolorosas.
- Transfusões: Durante o tratamento, principalmente na fase inicial, os pacientes recebem, quase diariamente, transfusões de hemácias e de plaquetas, enquanto a medula óssea não recuperar a hematopoese (produção e maturação das células do sangue) normal.
Epidemiologia
Em 2008 foram estimados cerca de 351 mil casos novos e 257 mil óbitos por leucemia no mundo. No Brasil são estimados 5 novos casos a cada 100 mil homens e 4 a cada 100 mil mulheres. Por causa da diferença no acesso ao tratamento sobrevida após 5 anos é de 43% na Europa Ocidental, mas apenas 24% na América do Sul. Em crianças com acesso a hospitais modernos a sobrevida relativa em 5 anos alcança 80%.[26]
Em 2012, no Brasil, o INCA estima que houve cerca de 4.500 homens e 4.000 mulheres afetados. Em 2010 a leucemia causou cerca de 6000 vítimas.[27] Ainda segundo o INCA, em 2008 ocorreram no mundo cerca de 351 mil casos novos e 257 mil óbitos por leucemia.[26]
História

A leucemia foi observada pela primeira vez pelo patologista Rudolf Virchow em 1845. Observando um número anormalmente elevado de glóbulos brancos em uma amostra de sangue de um paciente, chamado a condição Leukämie em alemão.[28]
Ver também
- Mutação somática
Referências
- ↑ a b c d e «What You Need To Know About™ Leukemia». National Cancer Institute. 23 de dezembro de 2013. Consultado em 11 de março de 2015
- ↑ a b c d e f g «A Snapshot of Leukemia». NCI. Consultado em 18 de junho de 2014
- ↑ a b c d Hutter, JJ (junho de 2010). «Childhood leukemia.». Pediatrics in review / American Academy of Pediatrics. 31 (6): 234–41. PMID 20516235. doi:10.1542/pir.31-6-234
- ↑ a b «SEER Stat Fact Sheets: Leukemia». National Cancer Institute. 2011
- ↑ GBD 2015 Disease and Injury Incidence and Prevalence, Collaborators. (8 de outubro de 2016). «Global, regional, and national incidence, prevalence, and years lived with disability for 310 diseases and injuries, 1990-2015: a systematic analysis for the Global Burden of Disease Study 2015.». Lancet. 388 (10053): 1545–1602. PMID 27733282
- ↑ GBD 2015 Mortality and Causes of Death, Collaborators. (8 de outubro de 2016). «Global, regional, and national life expectancy, all-cause mortality, and cause-specific mortality for 249 causes of death, 1980-2015: a systematic analysis for the Global Burden of Disease Study 2015.». Lancet. 388 (10053): 1459–1544. PMID 27733281
- ↑ «Leukemia». NCI. Consultado em 11 de março de 2015
- ↑ a b c d World Cancer Report 2014. [S.l.]: World Health Organization. 2014. pp. Chapter 5.13. ISBN 9283204298
- ↑ Vardiman, JW; Thiele, J; Arber, DA; Brunning, RD; Borowitz, MJ; Porwit, A; Harris, NL; Le Beau, MM; Hellström-Lindberg, E; Tefferi, A; Bloomfield, CD (30 de julho de 2009). «The 2008 revision of the World Health Organization (WHO) classification of myeloid neoplasms and acute leukemia: rationale and important changes.». Blood. 114 (5): 937–51. PMID 19357394. doi:10.1182/blood-2009-03-209262
- ↑ Cătoi, Alecsandru Ioan Baba, Cornel (2007). Comparative oncology. Bucharest: The Publishing House of the Romanian Academy. p. Capítulo 17. ISBN 973-27-1457-3
- ↑ a b American Cancer Society (11 de março de 2015). «Survival rates for childhood leukemia»
- ↑ ABRALE. Detalhes do câncer infantil. http://www.abrale.org.br/det_cancer_infantil/leucemia/index.php
- ↑ Harrison's Principles of Internal Medicine, 16th Edition, Arquivado em 7 de julho de 2011, no Wayback Machine. Chapter 97. Malignancies of Lymphoid Cells. Clinical Features, Treatment, and Prognosis of Specific Lymphoid Malignancies.
- ↑ Finding Cancer Statistics » Cancer Stat Fact Sheets »Chronic Lymphocytic Leukemia National Cancer Institute
- ↑ National cancer institute. CLL treatment. https://www.cancer.gov/types/leukemia/patient/cll-treatment-pdq#section/_48
- ↑ Colvin GA, Elfenbein GJ (2003). «The latest treatment advances for acute myelogenous leukemia». Med Health R I. 86 (8): 243–6. PMID 14582219
- ↑ National cancer institute. Adult AML treatment. https://www.cancer.gov/types/leukemia/patient/adult-aml-treatment-pdq#section/_73
- ↑ Patients with Chronic Myelogenous Leukemia Continue to Do Well on Imatinib at 5-Year Follow-Up Medscape Medical News 2006
- ↑ Updated Results of Tyrosine Kinase Inhibitors in CML Arquivado em 29 de dezembro de 2007, no Wayback Machine. ASCO 2006 Conference Summaries
- ↑ Else M, Ruchlemer R, Osuji N,; et al. (2005). «Long remissions in hairy cell leukemia with purine analogs: a report of 219 patients with a median follow-up of 12.5 years». Cancer. 104 (11): 2442–8. PMID 16245328. doi:10.1002/cncr.21447
- ↑ National cancer institute. Hairy cell leukemia treatment. https://www.cancer.gov/types/leukemia/patient/hairy-cell-treatment-pdq#section/_83
- ↑ Else, M., Ruchlemer, R., Osuji, N. (2005). "Long remissions in hairy cell leukemia with purine analogs: a report of 219 patients with a median follow-up of 12.5 years". Cancer. 104 (11): 2442–8. doi:10.1002/cncr.21447. PMID 16245328.
- ↑ Chan JK, Sin VC, Wong KF, et al. (June 1997). "Nonnasal lymphoma expressing the natural killer cell marker CD56: a clinicopathologic study of 49 cases of an uncommon aggressive neoplasm". Blood. 89 (12): 4501–13. PMID 9192774.
- ↑ Varella, Dr. Drauzio (12 de setembro de 2011). «Leucemia». drauziovarella.com.br
- ↑ «Cópia arquivada». Consultado em 13 de outubro de 2012. Arquivado do original em 27 de outubro de 2012
- ↑ a b «Cópia arquivada». Consultado em 13 de outubro de 2012. Arquivado do original em 22 de maio de 2012
- ↑ http://www2.inca.gov.br/wps/wcm/connect/tiposdecancer/site/home/leucemia/definicao
- ↑ Patlak. «Targeting Leukemia: From Bench to Bedside» (PDF). Breakthroughs in Bioscience. Consultado em 20 de maio de 2010. Arquivado do original (PDF) em 26 de julho de 2011
Ligações externas
}
