Glioma
| Glioma | |
|---|---|
![]() | |
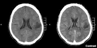
| Glioma no lobo parietal de segundo grau em CT scan cerebral. | |
| Especialidade | oncologia |
| Frequência | 0.0343% |
| Classificação e recursos externos | |
| CID-10 | C71 |
| CID-9 | 191 |
| CID-CID-O | M9380/3-9460/3 |
| DiseasesDB | 31468 |
| MeSH | D005910 |
Glioma é um tumor de células gliais, células que protegem, nutrem e dão suporte aos neurônios, logo podem ocorrer no encéfalo, na medula espinhal ou mesmo junto a nervos periféricos. São responsáveis por aproximadamente 30% de todos os tumores do sistema nervoso central e por 80% dos tumores malignos iniciados no cérebro.[1]
Classificação
Dependendo do tipo de células gliais afetadas podem ser classificadas como[2]:
- Astrocitoma;
- Ependimoma;
- Oligodendroglioma;
- Oligoastrocitoma ou;
- Schwannoma.
Um astrocitoma de 4 grau também é conhecido como glioblastoma e representam 15% dos tumores de cérebro e 65-75% dos astrocitomas. São mais diagnosticados em países industrializados e entre brancos e idosos, porém é provável que parte do motivo é que muitos casos em países subdesenvolvidos não são diagnosticados ou quando são não são relatados e melhor investigados cientificamente.[1]
Sintomas
Os sintomas vão depender muito do local e do tipo de células afetadas. Tumores no cérebro podem causar dor de cabeça, náusea, aumento da pressão craniana, problemas motores, sensitivos, cognitivos e/ou mudanças de personalidade.[3]
Tratamento
Foram aprovados pelo FDA tratamentos de imunoterapia[4][5][6] e mais de 2300 ensaios clínicos com imunoterapia e outras técnicas inovadoras foram registradas no clinicaltrials.gov.[7] Nos tratamentos cirurgicos ou quimioterapêuticos tradicionais, raramente tem cura, pois tentar atacar de forma química, ou remover cirurgicamente um tumores do cérebro ou da medula espinhal, costumar causar mais mortes e outros transtornos do que efetivamente curar. Especialmente pelo fato da maioria dos pacientes com esse câncer serem idosos e terem outras doenças.
Pesquisa
Entre as pesquisas ligadas a imunoterapia temos a aprovação e desenvolvimento de anticorpos monoclonais, que podem contribuir para várias aplicações , entre elas, e talvez uma das mais destacadas na pesquisa, a de contribuir no sentido de prolongar por mais tempo o ataque imunológico ao câncer , ao inativar pontos que se expressam na membrana da célula cacerígena e normais, os quais, se não fossem bloqueados pelos anticorpos, inibiriam a continuidade de ataque; entre eles destacamos um bastante expresso em glioma: O "B7-H3 é um membro do ponto de verificação imune que pertence às famílias B7-CD28[8] e desempenha um papel vital na inibição da função das células T. É importante ressaltar que o B7-H3 é amplamente superexpresso em tumores sólidos, tornando-o um alvo atraente para a imunoterapia contra o câncer" incluindo glioma.[6]
Especialistas descobriram células dentro de um glioma dependem de gorduras, a fim de impulsionar o crescimento do tumor. Isto contradiz as descobertas científicas anteriores[9] que declararam que as células tumorais necessitam principalmente de açúcar, a fim de criar energia.[10]
Referências
- ↑ a b http://www.sciencedirect.com/science/article/pii/S2210776212002608
- ↑ http://www.abta.org/brain-tumor-information/types-of-tumors/
- ↑ «Cópia arquivada». Consultado em 6 de outubro de 2013. Arquivado do original em 6 de outubro de 2013
- ↑ Malmström, Annika (2019). «Studies for Better Treatment of Patients with Glioma»
- ↑ Lynes, John P.; Sanchez, Victoria E.; Nwankwo, Anthony K.; Dominah, Gifty A.; Nduom, Edjah K. (1 de janeiro de 2019). «Immune checkpoint modulation: Tenets and implications in glioblastoma». Glioma (em inglês). 2 (1). 20 páginas. ISSN 2589-6113. doi:10.4103/glioma.glioma_47_18
- ↑ a b Zhang, Chaoqi; Zhang, Zhen; Li, Feng; Shen, Zhibo; Qiao, Yamin; Li, Lifeng; Liu, Shasha; Song, Mengjia; Zhao, Xuan (2 de novembro de 2018). «Large-scale analysis reveals the specific clinical and immune features of B7-H3 in glioma». OncoImmunology. 7 (11): e1461304. doi:10.1080/2162402X.2018.1461304
- ↑ «Search of: glioma - List Results - ClinicalTrials.gov». clinicaltrials.gov (em inglês). Consultado em 28 de novembro de 2019
- ↑ Sharpe, Arlene H.; Freeman, Gordon J. (2002). «The B7–CD28 superfamily». Nature Reviews Immunology (em inglês). 2 (2): 116–126. ISSN 1474-1741. doi:10.1038/nri727
- ↑ Sugar Substitutes May Not Offer Health Benefits to the Obese publicado em "Science News Journal" (2016)
- ↑ Scientists Breakthrough to Better Understanding of Fatal Brain Tumor Growth publicado em "Science News Journal" (2016)
