Trichinella
| Trichinella | |
|---|---|
| Classificação científica | |
| Reino: | Animalia |
| Filo: | Nematodeos |
| Classe: | Adenophorea |
| Ordem: | Trichocephalida |
| Família: | Trichinellidae |
| Gênero: | Trichinella Railliet, 1895 |
| Species | |
|
Trichinella britovi | |

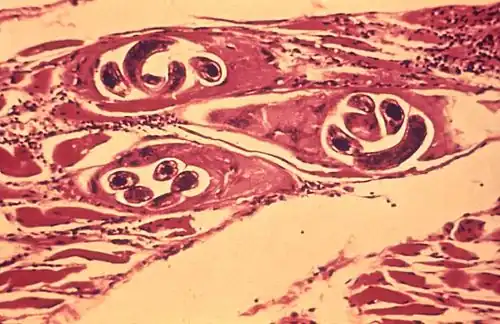
Trichinella são vermes nematódeosfusiformes que parasitam o intestino e músculos de diversos mamíferos, inclusive do homem. São o menor nematódeo que infecta o homem, e ao mesmo tempo, o maior parasita intracelular. O contágio é principalmente por carne crua ou mal-cozida, mas também já se verificou transmissão transplacentária e por leite materno em ratos.[1]
Ciclo de Vida
Após ingestão de carne crua, mal-cozida ou frita infectada, as larvas da Triquina são activadas após passagem pelo estômago e libertam-se no intestino. Aí penetram na mucosa, no interior da qual maturam-se sexualmente e acasalam-se, morrendo os machos pouco depois. As fêmeas grávidas produzem então durante cerca de um mês ovos que em seguida se chocam nascendo as larvas que se disseminam pelo sangue e linfa, chegando às suas células alvo, as células musculares estriadas (músculos voluntários esqueléticos). As minúsculas larvas penetram nas células (as células musculares estriadas são das maiores células no corpo) sem as destruir e formam uma cápsula no interior, onde se aninham adoptando uma forma de espiral. Assim permanecem quiescentes durante décadas até outro animal as ingerir. O verme, apesar de ter certa preferência pela carne de porco, pode também aparecer na carne bovina ou em peixes, e justamente por isso não é correto afirmar que ele só ataca se a pessoa ou animal consumir carne suína.
Patologia
Existem oito especies de Trichinela que causam triquinelose humana:
- Trichinela britovi;
- Trichinela murrelli;
- Trichinela nativa;
- Trichinela nelsoni;
- Trichinela papuae;
- Trichinela pseudospiralis;
- Trichinela spiralis;
- Trichinela zimbabwensis.
Epidemiologia
A infecção é por ingestão de carne de animais mal passada, especialmente de porco ou animais selvagens.
Nos países da Europa as infecções por Trichinella spiralis são raras, embora haja por vezes "epidemias" em que se registam simultaneamente algumas centenas de casos com a mesma fonte, geralmente provindas de pessoas que comeram diferentes porções do mesmo animal mal cozidas.
Há reservatórios em muitos animais que também são infectados, como no porco, javali, cavalo, rato. Algumas espécies de Trichinella existem apenas em animais selvagens, mas podem ser contraídas pelo homem pelo consumo da carne do animal mal-cozida.
Progressão e Sintomas
Os sintomas só surgem se as larvas enquistadas forem em número superior a algumas dezenas. Contudo é possível ingerir em uma só refeição de carne mal passada um número suficiente. A incubação é de alguns dias. Durante a fase de maturação das larvas no intestino e acasalamento, os sintomas se existirem são náuseas, vómitos, diarreia e febre. Depois de mais alguns dias, quando as larvas filhas começam a circular no sangue, surgem dor muscular durante a contracção com dificuldades motoras, febre, edemas e exantemas cutâneos com prurido. Complicações possíveis mas infrequentes são meningoencefalite e miocardite devido à migração das larvas para estes órgãos acidentalmente. A mortalidade é muito baixa e os sintomas desaparecem com o enquistamento e quiescência das larvas, em menos de dois meses.
Prognóstico
A gravidade da triquinose depende do nível de infestação em que a pessoa se encontra. As infestações mais leves podem passar despercebidas, enquanto que as mais intensas podem produzir sérios sintomas. As infestações mais graves ainda podem causar insuficiência cardíaca e arritmia.
Prevenção
Os alimentos produzidos a partir de carne de porco e selvagem(javali, cavalo entre outras) devem ser bem cozidos, conservados em temperaturas de congelação (abaixo de zero grau Fahrenheit) durante 3 a 4 semanas para matar o organismo enquistado. Métodos tais como defumar, secar e salgar a carne não são eficientes em eliminar o Trichinella.
Referências
- ↑ Matenga E. et al. Evidence of Congenital and Transmammary Transmission of Trichinella zimbabwensis in Rats (Rattus norvegicus) and its Epidemiological Implications. Intern J Appl Res Vet Med • Vol. 4, No. 4, 2006. http://www.jarvm.com/articles/Vol4Iss4/MatengaRats.pdf