Schistosoma haematobium
Schistosoma haematobium | |||||||||||||||||
|---|---|---|---|---|---|---|---|---|---|---|---|---|---|---|---|---|---|
| Classificação científica | |||||||||||||||||
| |||||||||||||||||
| Nome binomial | |||||||||||||||||
| Schistosoma haematobium ( , ) | |||||||||||||||||
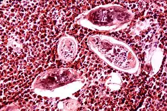
Schistosoma haematobium é um verme achatado parasita, pertencente ao filo Platyhelminthes, classe Trematoda. Habita a Africa sub-sahariana. É um importante parasita e um dos maiores agentes causais da esquistossomose. Mais especificamente, está associado à esquistossomose do aparelho urinário.
Este parasita pode romper as paredes da bexiga, causando assim hematúria. Inflamações dos genitais devido a S. haematobium podem contribuir para a progação da SIDA.[1]
O verme adulto vive nos vasos sanguíneos da bexiga. Uma vez que existem machos e fêmeas, um único verme não poderá produzir ovos. A fêmea produz cerca de trinta ovos por dia. São estes ovos que causam a patogenicidade no indivíduo infectado. Urina de cor negra é um sinal clínico significante da esquistossomose urinária.
Para o tratamento da enfermidade é usada a quimioterapia, através do uso de praziquantel, um derivado da quinolona.
Referências
- ↑ Leutscher PD, Pedersen M, Raharisolo C,; et al. (2005). «Increased prevalence of leukocytes and elevated cytokine levels in semen from Schistosoma haematobium-infected individuals». J Infect Dis. 191 (10): 1639–47. PMID 15838790
Ligações externas
- (em inglês) Centers for Disease Control & Prevention
- (em inglês) IPCS INCHEM
- (em inglês) Schistosomiasis na China - UC Berkeley
