Síndrome de Churg-Strauss
| Síndrome de Churg-Strauss | |
|---|---|
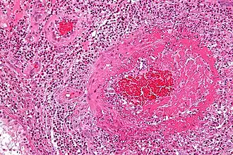
![]() | |
| Vasos com eosinofilia | |
| Especialidade | imunologia, reumatologia |
| Classificação e recursos externos | |
| CID-11 | 4A44.A2 |
| CID-10 | M30.1 |
| CID-9 | 446.4 |
| DiseasesDB | 2685 |
| eMedicine | med/2926 |
| MeSH | D015267 |
A síndrome de Churg-Strauss (SCS), granulomatose eosinofílica com poliangiite também denominada angeíte granulomatosa alérgica, é uma vasculite sistêmica necrotizante, que afeta os vasos de pequeno e médio calibre e que se associa a granulomas eosinofílicos extravasculares, eosinofilia periférica e asma.[1] Foi inicialmente descrita pelos patologistas J. Churg e L. Strauss numa série de autópsias de doentes com asma grave.[2] É uma síndrome rara, de etiologia desconhecida e que afeta ambos os gêneros e todos os grupos etários. Os pacientes com SCS geralmente apresentam boa resposta à terapia com glicocorticoide, embora as recidivas sejam frequentes após a sua suspensão. O diagnóstico e o tratamento precoces geralmente levam a um bom prognóstico, com uma sobrevivência de 90% um ano após o diagnóstico. Fazer uma diferenciação com a granulomatose com poliangiite pode ser difícil, entretanto o uso crescente da dosagem do ANCA (anticorpo citoplásmico anti-neutrófilo) permite uma distinção, já que naquela há a presença do padrão c-ANCA (citoplasmático) e nesta de p-ANCA (perinuclear).
Causas
A etiologia da SCS é desconhecida. As hipóteses propostas incluem um processo autoimune, possivelmente associado a fatores genéticos e ambientais[3].
Os antagonistas dos recetores dos leucotrienos (ARL), incluindo o zafirlucaste e o montelucaste foram associados ao desenvolvimento de SCS, na última década. Este efeito relaciona-se provavelmente com a suspensão dos corticoides após o início da toma de ARLs em doentes com SCS até então atenuado, ou a prescrição de ARLs a doentes com asma progressiva que era na realidade SCS progressiva não identificada[4][5]. De fato, existem relatos de casos de SCS após o início de corticoides inalados[6] e omalizumab[7] e um estudo cruzado recente mostrou que várias das medicações de controlo da asma estão associadas com o início de SCS, suportando a hipótese que o que se associa ao início da SCS é um agravamento da asma e não um fármaco específico.
Fisiopatologia
A fisiopatologia da SCS é ainda obscura e pouco definida. Apresenta uma característica particular é a elevação proeminente de eosinofilia sanguínea e tecidular, que se relaciona com a atividade e da gravidade da doença. Em doentes com a patologia ativa, os eosinófilos expressam marcadores de superfície de ativação, e segregam proteínas que levam a dano tissular[8]. As interleucinas ainda não tem um papel bem definido na SCS. Mas parece ser mantida pelo aumento da libertação da IL-5, produzida principalmente por linfócitos Th2 ativados[9]. Com efeito, o anticorpo anti-IL5 mepolizumab mostrou-se eficaz na SCS refratária, num estudo recente[10]. Embora a SCS seja principalmente associada a um perfil Th2, estudos recentes também demonstraram possíveis desequilíbrios na atividade dos linfócitos Th1[11], T reguladores[12] e Th17[13]. Os anticorpos anticitoplasma do neutrófilo (ANCA), especificamente antimieloperoxidase parecem ter um papel patogénico nas lesões de vasculite, possivelmente através da ativação de neutrófilos, levando à libertação de espécies reativas de oxigénio e enzimas proteolíticas[14]. Os papéis propostos para os eosinófilos e ANCA na patogênese da doença estão de acordo com as recentes descrições de diferentes manifestações da doença em doentes com e sem ANCA.
Sinais e sintomas
As manifestações clínicas da SCS são geralmente descritas em três fases:
- A primeira fase (prodrômica) pode durar vários anos. As características predominantes são a asma atópica e a rinite, geralmente de difícil controlo.
- Na segunda fase (eosinofílica) observa-se uma infiltração tecidular intensa por eosinófilos em vários órgãos, incluindo os pulmões e o trato gastro-intestinal (GI), eventualmente evoluindo para síndrome de Loeffler ou gastroenterite eosinofílica.
- A terceira fase (vasculítica) é caracterizada por uma vasculite sistémica acentuada, em que os sintomas gerais geralmente precedem o envolvimento dos vários órgãos por este processo[15].
Um dos sistemas que é frequentemente afetado pela vasculite é o sistema nervoso periférico, com envolvimento dos vasa vasorum e desenvolvimento de mononeurite multiplex[16]. O trato GI é também afetado, tendo como manifestações a dor abdominal, gastroenterite ou mesmo um quadro de abdômen agudo[17]. O envolvimento cardíaco pode apresentar-se como miocardite, insuficiência cardíaca, pericardite ou mesmo vasculite coronária e consequente isquemia miocárdica. Cerca de metade das mortes relacionadas com a SCS são causadas por lesões cardíacas[18].
O sistema respiratório é envolvido em todos os doentes em variados graus, não só com asma na primeira fase clínica, mas também com infiltrados na radiografia de tórax, que estão presentes em 37 a 77% de todos os doentes. O derrame pleural também pode ser observado em até um terço dos doentes.
A doença renal clinicamente significativa é menos frequente e menos grave que em outras formas de vasculite[19].
Tratamento
O tratamento desse tipo de vasculite é feito com altas doses de glicocorticoides (como prednisolona) e 12 pulsos de ciclofosfamida até obter a remissão dos sintomas. A fase de manutenção é feita com outros fármacos imunossupressores menos tóxicos como azatioprina e metotrexato. [20]
Em muitos casos, a doença pode ser colocada em um tipo de remissão química através de terapia medicamentosa, mas a doença é crônica e ao longo da vida. Nos casos sem complicação a sobrevivência em 5 anos é de 89%, com uma complicação é de 74% e com múltiplas complicações é de 45%.[21]
Referências
- ↑ Barros, J. M.; Antunes, T.; Barbas, C. S. V (2005). «Síndrome de Churg-Strauss». J bras pneumol. 31 (S1). doi:10.1590/S1806-37132005000700008
- ↑ Churg J, Strauss L. Allergic granulomatosis, allergic angiitis, and periarteritis nodosa. Am J Pathol. 1951;27:277-301.
- ↑ Grau RG. Churg-Strauss syndrome: 2005-2008 update. Curr Rheumatol Rep. 2008;10:453-8
- ↑ Bibby S, Healy B, Steele R, Kumareswaran K, Nelson H, Beasley R. Association between leukotriene recetor antagonist therapy and Churg-Strauss syndrome: an analysis of the FDA AERS database. Thorax. 2010;65:132-8
- ↑ Nathani N, Little MA, Kunst H, Wilson D, Thickett DR. Churg-Strauss syndrome and leukotriene antagonist use: a respiratory perspetive. Thorax. 2008;63:883-8
- ↑ Bili A, Condemi JJ, Bottone SM, Ryan CK. Seven cases of complete and incomplete forms of Churg-Strauss syndrome not related to leukotriene recetor antagonists. J Allergy Clin Immunol. 1999;104:1060-5.
- ↑ Wechsler ME, Wong DA, Miller MK, Lawrence-Miyasaki L. Churg-strauss syndrome in patients treated with omalizumab. Chest. 2009;136:507-18
- ↑ Peen E, Hahn P, Lauwers G, Williams RC, Gleich G, Kephart GM. Churg-Strauss syndrome: localization of eosinophil major basic protein in damaged tissues. Arthritis Rheum. 2000;43:1897-900.
- ↑ Hellmich B, Csernok E, Gross WL. Proinflammatory cytokines and autoimmunity in Churg-Strauss syndrome. Ann N Y Acad Sci. 2005;1051:121-31.
- ↑ Moosig F, Butherus K, Hellmich B, Gross WL. Mepolizumab, A Humanized Anti-IL5 Antibody. Has Steroid-Sparing Potential In Churg-Strauss Syndrome. Arthritis Rheum. 2010;62(Suppl 10):2203.
- ↑ Kiene M, Csernok E, Muller A, Metzler C, Trabandt A, Gross WL. Elevated interleukin-4 and interleukin-13 production by T cell lines from patients with Churg-Strauss syndrome. Arthritis Rheum. 2001;44:469-73.
- ↑ Tsurikisawa N, Saito H, Tsuburai T, Oshikata C, Ono E, Mitomi H, et-al. Differences in regulatory T cells between Churg-Strauss syndrome and chronic eosinophilic pneumonia with asthma. J Allergy Clin Immunol. 2008;122:610-6.
- ↑ Saito H, Tsurikisawa N, Tsuburai T, Oshikata C, Akiyama K. Cytokine production profile of CD4+ T cells from patients with ative Churg-Strauss syndrome tends toward Th17. Int Arch Allergy Immunol. 2009;149(Suppl 1):61-5
- ↑ Falk RJ, Terrell RS, Charles LA, Jennette JC. Antineutrophil cytoplasmic autoantibodies induce neutrophils to degranulate and produce oxygen radicals in vitro. Proc Natl Acad Sci U S A. 1990;87:4115-9
- ↑ Lanham JG, Elkon KB, Pusey CD, Hughes GR. Systemic vasculitis with asthma and eosinophilia: a clinical approach to the Churg-Strauss syndrome. Medicine (Baltimore). 1984;63:65-81
- ↑ Finsterer J. Neurological manifestations of Churg-Strauss syndrome. Eur J Neurol. 2010;17:524-5
- ↑ abril A, Calamia KT, Cohen MD. The Churg Strauss syndrome (allergic granulomatous angiitis): review and update. Semin Arthritis Rheum. 2003;33:106-14
- ↑ Dennert RM, van Paassen P, Schalla S, Kuznetsova T, Alzand BS, Staessen JA, et-al. Cardiac involvement in Churg-Strauss syndrome. Arthritis Rheum. 2010;62:627-34
- ↑ Kim YK, Lee KS, Chung MP, Han J, Chong S, Chung MJ, et-al. Pulmonary involvement in Churg-Strauss syndrome: an analysis of CT, clinical, and pathologic findings. Eur Radiol. 2007;17:3157-65
- ↑ Bosch X, Guilabert A, Espinosa G, Mirapeix E (2007). "Treatment of antineutrophil cytoplasmic antibody-associated vasculitis: a systematic review". JAMA. 298 (6): 655–69. doi:10.1001/jama.298.6.655. PMID 17684188.
- ↑ Guillevin L, Lhote F, Gayraud M, et al. (1996). "Prognostic factors in polyarteritis nodosa and Churg-Strauss syndrome. A prospective study in 342 patients". Medicine. Baltimore. 75 (1): 17–28. doi:10.1097/00005792-199601000-00003. PMID 8569467.
