Hipocampo

Hipocampo é uma estrutura localizada nos lobos temporais do cérebro humano, considerada a principal sede da memória e importante componente do sistema límbico. Além disso é relacionado com a navegação espacial.[1]
Seu nome deriva de seu formato curvado apresentado em secções coronais do cérebro, se assemelhando a um cavalo-marinho (Grego: hippos = cavalo, kampos = monstro marinho).[1][2]
Funções
Esta estrutura parece ser muito importante para converter a memória a curto prazo em memória a longo prazo. O hipocampo atua em interação com a amígdala e está mais envolvida no registro e decifração dos padrões perceptuais do que nas reações emocionais.[3]
Lesões no hipocampo impedem a pessoa de construir novas memórias e a pessoa tem a sensação de viver num lugar estranho onde tudo o que experimenta simplesmente se dissipa, mesmo que as memórias mais antigas anteriores à lesão permaneçam intactas.[3]
Imagens adicionais
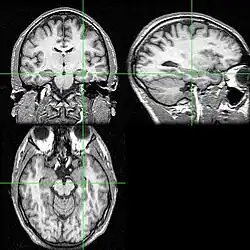
Diversos cortes de ressonância magnética com a localização do hipocampo (cruzamento das linhas verdes).
Superficial dissection of brain-stem. Lateral view.
Coronal section of brain immediately in front of pons.
Posterior and inferior cornua of left lateral ventricle exposed from the side.
Inferior and posterior cornua, viewed from above.
The fornix and corpus callosum from below.
Referências
- 1 2 «Hipocampo». Kenhub. Consultado em 21 de setembro de 2019
- ↑ Tatu L, Bogousslavsky J (dezembro de 2022). «Beasts and Gods: Hippocampal quarrels before memory». Rev Neurol (Paris). 178 (10): 991–995. PMID 35927101. doi:10.1016/j.neurol.2022.03.022

- 1 2 Vanderah, Todd W.,; Nolte, John. Nolte's The human brain : an introduction to its functional anatomy Seventh edition ed. Philadelphia, PA: [s.n.] ISBN 9781455728596. OCLC 895731173