Fratura por estresse

Fratura por estresse (português brasileiro) ou fractura por stress (português europeu) ou fratura por esforço é uma fratura induzida por fadiga do osso causada por tensão repetida ao longo do tempo. Em vez de resultar de um único impacto severo, as fraturas por estresse resultam de traumas acumulados de cargas submáximas repetidas, como correr ou pular.[1] Devido a esse mecanismo, as fraturas por estresse são lesões comuns sofridas por muitos atletas, militares e trabalhadores.[2]
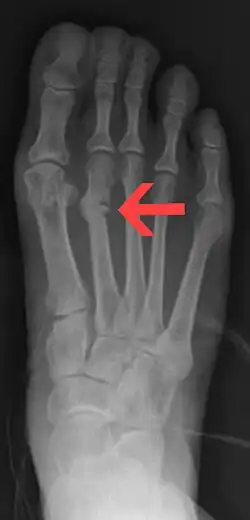
Fraturas por estresse podem ser descritas como pequenas fissuras ou rachaduras no osso;[3] e às vezes são chamadas de "fraturas capilares". As fraturas por estresse ocorrem mais frequentemente em ossos que suportam peso, como a tíbia (osso da parte inferior da perna), metatarsos e ossos naviculares (ossos do pé). Menos comuns são fraturas no fêmur, pelve e sacro.[4]
Sinais e sintomas
A dor das fraturas por estresse são tipicamente sentidas ao final de um exercício prolongado. A dor aumenta ao caminhar e aplicar peso sobre a fratura e diminui com o repouso e ao sentar ou deitar. A dor pode estar constantemente presente no caso de uma lesão óssea mais grave. O local da lesão é doloroso a palpação e percussão e pode estar inflamado.[5]
Epidemiologia
Entre 5 e 30% dos atletas profissionais e militares veteranos já sofreram essa fratura em algum momento de sua carreira, é especialmente comum entre jogadores de futebol, ciclistas, nadadores e corredores. O risco é maior em mulheres e aumenta com a idade avançada.[6] Pode ocorrer em sedentários quando decidem fazer um exercício intenso e prolongado muito além de suas capacidades.
Diagnóstico
Radiografias comuns (Rx) frequentemente não detectam a fractura, sendo mais sensível e específico pedir uma tomografia, gamagrafia óssea ou ressonância magnética.[7]
Tratamento
Para pequenas fraturas o tratamento conservador com descanso, analgésicos, imobilização e gelo é suficiente. O tempo de descanso pode varia entre quatro e doze semanas dependendo da gravidade da fratura. Depois desse período atividades leves, como caminhar e alongamento, podem ser retomados com moderação. Enquanto o osso pode parecer curado e não doer durante a atividade diária, o processo de remodelação óssea pode demorar muitos meses após a lesão. Caso volte a fazer atividades intensas há um risco elevado de nova fratura nesse período.[8]
Referências
- ↑ Essentials of musculoskeletal care. Sarwark, John F. Rosemont, Ill.: American Academy of Orthopaedic Surgeons. 2010. ISBN 9780892035793. OCLC 706805938
- ↑ Behrens, Steve; Deren, Matson; Fadale, Monchik (março–abril de 2013). «Stress Fractures of the Pelvis and Legs in Athletes». Sports Health: A Multidisciplinary Approach. 5 (2). pp. 165–174. PMC 3658382
. doi:10.1177/1941738112467423. Consultado em 19 de maio de 2014. Arquivado do original em 19 de maio de 2014 - ↑ «Stress fractures - MayoClinic.com». Consultado em 23 de dezembro de 2007
- ↑ Martinez, John. «Stress Fractures». Medscape. Consultado em 20 de maio de 2014
- ↑ Essentials of musculoskeletal care. Sarwark, John F. Rosemont, Ill.: American Academy of Orthopaedic Surgeons. 2010. ISBN 9780892035793. OCLC 706805938.
- ↑ "eMedicine – Stress Fracture : Article by Jonathan C Reeser, MD, PhD".
- ↑ Pelletier-Galarneau M, Martineau P, Gaudreault M, Pham X (2015). "Review of running injuries of the foot and ankle: clinical presentation and SPECT-CT imaging patterns". Am J Nucl Med Mol Imaging. 5 (4): 305–16. PMC 4529586. PMID 26269770.
- ↑ Delee, Jesse C.; Evans, J. Pat; Julian, Jerry (1983-09-01). "Stress fracture of the fifth metatarsal". The American Journal of Sports Medicine. 11 (5): 349–353. doi:10.1177/036354658301100513. ISSN 0363-5465.