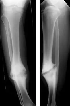
Pseudoartrose

Pseudoartrose (grego antigo para falsa articulação) é uma séria complicação de uma fratura óssea na qual o osso nunca se regenera. Uma cicatriz de tecido fibroso se forma no meio do osso. Sem tratamento resulta em deformidade e prejuízo permanente da função, como por exemplo uma perna torta e incapaz de suportar peso se a pseudoartrose é no fêmur ou na tíbia. O tratamento é cirúrgico e a recuperação demora muitos meses.
Classificação
- Pseudoartrose atrófica: o osso não se regenera porque não recebe quantidade suficiente de nutrientes para se regenerar. Pode ser um problema vascular, nutricional, metabólico ou endócrino.
- Pseudoartrose hipertrófica: o osso formou um calo ósseo, mas continua fragmentado. Pode ser causado por redução, imobilização ou fixação inadequados. Também pode ser por falta de repouso e fazer muito esforço com o membro lesionado.
- Outras
Embora não seja tão conhecida da população, é um problema bastante comum e alvo de inúmeros estudos na área científica, entre eles, por exemplo, a deficiência femoral proximal, que é dividida em vários tipos. No Tipo A de deficiência femoral proximal, segundo a classificação de Aitken, verificou-se que o osso se encontra acentuadamente angulado, podendo haver uma pseudoartrose. No Tipo B da classificação de Boyd (tíbia - displásica), ocorre com um encurvamento anterior. A fratura ocorre espontaneamente ou após um trauma mínimo antes dos dois anos de idade. As extremidades ósseas no foco da pseudoartrose são atróficas, lembrando uma ampulheta. Podem estar associadas a manchas café-com-leite, parecidas com as de uma neurofibromatose. Em geral, a fíbula também está comprometida. Este tipo é o mais comum e também o de prognóstico menos favorável que em outros tipos de deformidade congênita, entre os quais se encontra o pé torto, este com bom prognóstico.
Causas
A pseudoartrose geralmente ocorre quando as fracturas não foram imobilizadas na posição adequada e por tempo suficiente para consolidação óssea ou quando os ossos não receberam nutrientes suficientes pelos vasos sanguíneos. Também pode ser consequência de uma infecção.
Os fatores de risco relacionado com a pessoa são[1]:
- Idade avançada
- Desnutrição
- Tabagismo
- Alcoolismo
- Diabetes mellitus
- Hiperparatireoidismo
- Predisposição genética
Causas relacionadas à fratura:
- Cicatriz formando entre os ossos (interposição de tecidos moles)
- Ligamentos ou músculos afastando os ossos
- Maior perda óssea na fratura
- Infecção (osteomielite)
- Perda de suprimento de sangue (necrose avascular)
- Danos aos músculos circundantes
Causas relacionado ao tratamento:
- Ossos fora da posição anatômica (Redução inadequada)
- Imobilização insuficiente
- Dispositivos de fixação aplicados indevidamente
- Repouso insuficiente
Diagnóstico
O diagnóstico geralmente é feito nas consultas de seguimento seis a oito semanas depois da fratura com raio X e exame físico. Dor, fragilidade e incapacidade funcional indicam que o osso não se consolidou bem.[2] Em caso de dúvida a consolidação inadequada é melhor vista com tomografia computadorizada ou com radiografia dos movimentos disfuncionais (stress Rx).
Tratamento
O tratamento é cirúrgico e pode ser feito com[3]:
- Remoção de todo o tecido de cicatriz entre os fragmentos da fratura;
- Imobilização da fratura com fixação interna ou externa. Para isso pode-se usar placas de metal, pinos, parafusos ou hastes aparafusadas ao osso para estabilizar os fragmentos ósseos.
- Enxerto ósseo com osso de doador ou osso autólogo (da mesma pessoa). Os pedaços de ossos possuem células produtoras de osso e cartilagem (osteoblastos e condroblastos) necessários para a consolidação óssea. A cartilagem depois se transforma em osso, em vez de mais cicatriz fibrosa. O osso é o único tecido que pode se curar sem uma cicatriz fibrosa antes. O enxerto ósseo autólogo é o tratamento "padrão ouro" da pseudoartrose. Geralmente é obtido da crista ilíaca.
- Estimulação para consolidação óssea pode ser feita com ondas eletromagnéticas ou com ultrassom se não estão consolidando bem 3 meses após a fratura.[4]
Os resultados da consolidação podem ser verificados com raio X após 3 meses, mas demoram muitos meses mais.
Referências
- ↑ McCoy, Thomas H.; Fragomen, Austin T.; Hart, Kamber L.; Pellegrini, Amelia M.; Raskin, Kevin A.; Perlis, Roy H. (January 2019). "Genomewide Association Study of Fracture Nonunion Using Electronic Health Records". JBMR plus. 3 (1): 23–28. doi:10.1002/jbm4.10063. ISSN 2473-4039. PMC 6339539. PMID 30680360.
- ↑ Page 542 in: Rigmor Texhammar, Christopher Colton (2013). AO/ASIF Instruments and Implants: A Technical Manual (2 ed.). Springer Science & Business Media. ISBN 9783662030325.
- ↑ Niedzielski K, Synder M (2000). "The treatment of pseudarthrosis using the Ilizarov method". Ortop Traumatol Rehabil. 2 (3): 46–8. PMID 18034140.
- ↑ Leighton, R.; Watson, J.T; Giannoudis, P.; Papakostidis, C.; Harrison, A.; Steen, R.G. (May 2017). "Healing of fracture nonunions treated with low-intensity pulsed ultrasound (LIPUS): A systematic review and meta-analysis". Injury (7): 1339–1347. PMID 28532896.