Corpo de psammoma

Corpo de psammoma ou corpo psammoma (do grego ψάμμος psámmos, areia) é um termo médico para calcificações microscópicas encontradas em alguns tumores benignos e malignos(câncer) e em alguns processos inflamatórios crônicos. [1]
Aparência
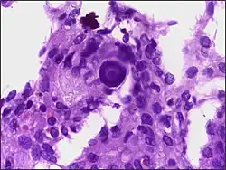
Formam anéis concêntricos arredondados com variação de cor (como um alvo de tiro) de 20–100-µm de diâmetro, calcificados, que podem ser vistos com microscópio óptico.[2]
Função diagnóstica

Pode ser encontrado nos seguintes tumores[2]:
- Carcinoma papilar de tireoide
- Carcinoma de células papilares renais
- Subtipo micropapilar de adenocarcinoma pulmonar
- Cistoadenocarcinoma de ovário seroso papilífero
- Adenocarcinomas do endométrio
- Meningioma, no sistema nervoso central
- Mesotelioma pleural ou peritoneal
- Somatostatinoma no pâncreas
- Prolactinoma na hipófise
- Fibroma ossificante juvenil