Corante tricromo de Masson

Corante ou coloração tricromo ou tricrômica de Masson é uma combinação de corantes usados em um protocolo de coloração de três cores em histologia.
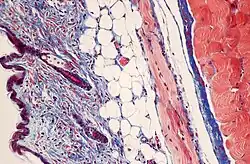
As formulações desta coloração envolvem a formulação original de Masson para diferentes aplicações, mas todas tem como finalidade distinguir células do tecido conjuntivo circundante.
Muitas da formulações produzem cor verde na queratina e fibras musculares, azul ou verde em colágeno e tecido ósseo, vermelho brilhante ou rosa no citoplasma, e castanho escuro a preto nos núcleos das células.[1]
Uma variante comum é o corante tricromo de Lillie. Este é frequentemente chamado tricromo de Masson. Difere nos corantes usados, suas concentrações, e os tempos de imersão.
Descrição da técnica e das soluções componentes
O tricromo é aplicado por imersão da amostra fixada em hematoxilina férrica de Weigert, e então três soluções diferentes, rotuladas A, B, e C:
- A hematoxilina de Weigert é a sequência de três soluções: cloreto férrico em ácido clorídrico diluído, hematoxilina em etanol a 95%, e solução de ferricianeto de potássio alcalinizada por borato de sódio. É usada para colorir os núcleos.
- A solução A, também chamada corante de plasma, contém fucsina ácida, Xilidina Ponceau, ácido acético glacial, e água destilada. Outro corante vermelho ácido pode ser usado, eg. o escarlate de Biebrich no tricromo de Lillie.
- A solução B contém ácido fosfomolíbdico em água destilada.
- A solução C, também chamada corante de fibra, contém verde luz amarelado, ou alternativamente verde rápido FCF. É usado para colorir colágeno. Se azul é preferível ao verde, azul de metila, azul água ou azul anilina podem ser substitutos.
Ver também
Referências
- ↑ «Masson trichrome - Histalim». web.archive.org. 2 de setembro de 2018. Consultado em 11 de abril de 2022
Ligações externas