Condrocalcinose
| Condrocalcinose | |
|---|---|
![]() | |
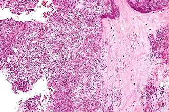
| Microfotografia mostrando a deposição de cristais em um disco intervertebral. Coloração H&E. | |
| Especialidade | reumatologia |
| Classificação e recursos externos | |
| CID-11 | FA26.2 |
| CID-10 | M11.1-M11.2 |
| CID-9 | 712.3 |
| OMIM | 118610, 118600, 600668 |
| DiseasesDB | 10832 |
| MedlinePlus | 000421 |
| eMedicine | med/1938 radio/125 orthoped/382 emerg/221 |
| MeSH | D002805 |
A condrocalcinose, também conhecida como doença da deposição de pirofosfato de cálcio di-hidratado e pseudo-gota, é uma desordem reumatológica com manifestações clínicas variadas devido à precipitação de cristais de pirofosfato de cálcio dihidratado nos tecidos conjuntivos.
Aspectos clínicos
A doença Deposição De Pirofosfato De Cálcio Diidratado é uma artrite de poliarticular (conduz a uma inflamação de várias articulções no corpo), embora pode apresentar-se inicialmente como monoarticular( limitou a só uma articulação).
Cristais de Deposição De Pirofosfato De Cálcio Diidratado tendem a formar dentro de tecidos articulares. O diagnóstico é feito por microscópio, com a análise do fluido de uma junta. Radiografias da junta podem mostrar sinais de Condrocalcinose. Depósitos Assintomáticos podem se formar na cartilagem, articulações, discos intervertebrais, tendões e ligamentos. A deposição de cristais dentro da cartilagem (hialina e fibrocartilagem) é conhecido como condrocalcinose. É inicialmente só visível no microscópio, mas se houver bastante calcificação, pode ser visto com a ajuda da radiografia também. Locais comuns de condrocalcinose incluem os joelhos, punhos, cotovelos, e quadris.
Condições associadas à condrocalcinose
- Hiperparatiroidismo
- Hemocromatose
- Hipofosfatemia
- Osteodistrofia Renal
Tratamento
Tratamento de Deposição De Pirofosfato De Cálcio Diidratado é principalmente apontado à prevenção da formação cristalina adicional e à redução de sintomas. A deposição de cristais não pode ser invertida. Se a DPCD é o resultado de anormalidades metabólicas (hiperparatiroidismo, hemocromatose, hipofosfatasia), estes podem ser tratados diretamente.
Para juntas sintomáticas, o tratamento é semelhante ao da Gota. Quando uma única junta é envolvida, a injeção intra-articular de corticoesteróide é freqüentemente usada, além de Colchicina. Quando juntas múltiplas são envolvidas, injeção na junta não é prático e é limitada para casos mais severos, e o tratamento sistêmico oral é escolhido.
Devido ao fato de o complexo de pirofosfato com magnésio ser prévio à sua degradação, e DPCD pode ser o resultado patológico de baixos níveis de magnésio, suplementação de magnésio podem ser de ajuda, particularmente em alguns pacientes com hipomagnesemia subjacente. Pode ser possível terminar ataques ingerindo grandes doses de suplemento de magnésio acompanhadas por vitamina B6 para ajudar a absorção.
Referências
- Calcium pyrophosphate deposition disease by Marla Sammer, M.D. and Rob Gutierrez, M.D., University of Washington Department of Radiology
- Steinbach LS, Resnick D. Calcium pyrophosphate dihydrate crystal deposition disease: imaging perspectives. Curr Probl Diagn Radiol. 2000 Nov-Dec;29(6):209-29.
- Chew FS, Maldijian C, Leffler SG. Musculoskeletal Imaging: A Teaching File, Lippincott Williams & Williams, 1999.
