Círculo arterial cerebral
Círculo arterial cerebral | |
|---|---|
![]() | |
![]() | |
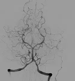
| O cérebro e as artérias da base do cérebro. | |
| Nome em Latim | circulus arteriosus cerebri |
| Gray's | subject # 574 |
| MeSH | A07.231.114.228.351 |
O polígono de Willis ou círculo de Willis (também chamado de círculo arterial cerebral ou círculo arterial de Willis) é um círculo de artérias que suprem o cérebro. Foi nomeado em homenagem a Thomas Willis (1621-1673), médico inglês.[1]
Componentes
- Artéria cerebral anterior (esquerda e direita)
- Artéria comunicante anterior
- Artéria carótida interna (esquerda e direita)
- Artéria cerebral posterior (esquerda e direita)
- Artéria comunicante posterior (esquerda e direita)
A artéria basilar e a artéria cerebral média, apesar de irrigarem o cérebro, não são consideradas parte do polígono.[2]
Importância fisiológica
O arranjo das artérias no Polígono de Willis cria uma redundância na circulação cerebral. Se uma parte do círculo estiver bloqueada ou estreitada (estenose), ou se uma das artérias que suprem o polígono está estreitada ou bloqueada, o fluxo sanguíneo dos outros vasos sanguíneos pode muitas vezes preservar a perfusão cerebral o suficiente para evitar sintomas de isquemia.[3]
Variação anatômica
Existe considerável variação anatômica no Polígono de Willis. A versão encontrada nos livros, baseada numa série de 1413 cérebros, só é vista em 34,5% dos casos.[4]
Origem das artérias
As carótidas internas direita e esquerda originam-se das artérias carótidas direita e esquerda. As artérias cerebrais anteriores e médias e as artérias comunicantes posteriores originam-se na trifurcação da artéria carótida interna. As artérias cerebrais posteriores direita e esquerda originam-se da artéria basilar, que é formada pelas artérias vertebrais direita e esquerda. As artérias vertebrais, por sua vez, origina-se nas artérias subclávias. A artéria comunicante anterior conecta as duas artérias cerebrais anteriores.
Imagens adicionais
Representação esquemática do círculo de Willis.
Referências
- ↑ Uston C. Dr. Thomas Willis' famous eponym: the circle of Willis. J Hist Neurosci. 2005 Mar;14(1):16-21. PMID 15804755. Free Full Text.
- ↑ Moore KL, Dalley AR. Clinically Oriented Anatomy, 4th Ed., Lippincott Williams & Wilkins, Toronto. Copyright 1999. ISBN 0-683-06141-0.
- ↑ «Spect measurements of regional cerebral perfusion and carbondioxide reactivity: Correlation with cerebral collaterals in internal carotid artery occlusive disease.». J Neurol. PMID 17063318
- ↑ Bergman RA, Afifi AK, Miyauchi R, Circle of Willis. Illustrated Encyclopedia of Human Anatomic Variation Arquivado em 1 de janeiro de 2006, no Wayback Machine., URL: http://www.anatomyatlases.org/AnatomicVariants/Cardiovascular/Text/Arteries/CircleofWillis.shtml. Accessed on November 6, 2005.

