Tuberculose miliar
| 'Miliary tuberculosis' | |
|---|---|
, , , , , ![]() | |
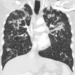
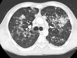
| Seu nome se refere a similaridade dos seus focos de infecção com grãos de milho espalhados pelo pulmão em 90% dos exames de raio-X. | |
| Especialidade | infecciologia |
| Classificação e recursos externos | |
| CID-11 | 1B13 |
| CID-10 | A19 |
| CID-9 | 018 |
| MedlinePlus | 000624 |
| eMedicine | med/1476 |
| MeSH | D014391 |
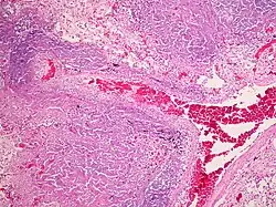
A Tuberculose miliar ou tuberculose cutânea aguda disseminada é uma classificação médica internacional para um agravamento da tuberculose por sua ampla difusão dentro do corpo humano gerando pequenas lesões na pele (de 1 a 5mm).[1]
Causa
Essa infecção bacteriana crônica e contagiosa geralmente causada por Mycobacterium tuberculosis que se espalhou para outros órgãos do corpo, através do sangue ou do sistema linfático. TB miliar pode infectar qualquer número de órgãos, frequentemente afetando os pulmões, as meninges, o fígado e o baço. É uma complicação grave de cerca de 1 a 3% dos casos de tuberculose.
Diagnóstico
Infecções tuberculosas generalizadas frequentemente causam alterações inespecíficas nos exames laboratoriais de rotina, podendo passar despercebidas em uma radiografia de tórax, sendo assim recomendado o exame de material obtido por punções, procedimentos cirúrgicos ou necropsias.[2]
Sintomas
Dentre os sintomas comuns estão[1]
- Febre baixa e persistente por mais de 15 dias;
- Tosse persistente;
- Aumento dos gânglios linfáticos do mediastino;
- Aumento do fígado (40% dos casos) e do baço (15% dos casos);
- Inflamação do pâncreas (<5% dos casos);
- Rigidez na nuca;
- Insuficiência adrenal.
Tratamento
Casos de TB miliar em pacientes que permanecem sem tratamento eficiente são quase 100% fatal. Cerca de 25% dos pacientes com TB miliar também têm meningite tuberculosa. O tratamento padrão recomendado pela OMS é isoniazida e rifampicina durante seis meses, associado com etambutol e pirazinamida durante os primeiros dois meses. Se houver evidência de meningite, o tratamento é prolongado por até doze meses. As diretrizes americanas recomendam o tratamento por nove meses.[3]
Efeitos colaterais que atingem mais de 10% dos pacientes tratados com esses medicamentos incluem inflamação do fígado, dificuldade para respirar e queda de cabelo. É importante ressaltar que o cabelo volta a crescer após o tratamento e abandonar esse tratamento pode ser fatal.
Assim como outras infecções, os sintomas desaparecem conforme a quantidade de bactérias diminui nas primeiras semanas, porém caso o paciente pare de tomar o medicamento o número delas quase sempre volta a aumentar e se torna mais resistente aos medicamentos já usados.[1]
.jpg)
.jpg)



.jpg)