Síndrome XXXYY
| Síndrome XXXYY | |
|---|---|
| Especialidade | Genética Médica |
| Início habitual | Concepção |
| Duração | Ao longo de toda a vida |
| Método de diagnóstico | Cariótipo |
| Classificação e recursos externos | |
| CID-10 | Q98.8 |
.png)
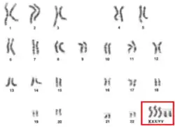
A síndrome XXXYY, também conhecida como 49,XXXYY, é uma variação intersexo e uma anomalia cromossômica na qual um indivíduo nascido masculino tem dois cromossomos X extras e um cromossomo Y extra. É uma variação muito rara entre homens sem raridade estimada.[1]
Os sintomas disso incluem uma forma facial anormal, uma testa proeminente, hipertelorismo (olhos amplamente espaçados), dobras epicânticas, ponte nasal larga, prognatismo, orelhas rotativas de baixo conjunto, uma mandíbula pequena, pés tortos, impressões de pés anormais, hipogonadismo, ginecomastia, deficiência intelectual moderada a severa, crescimento mamário, maturação esquelética retardada, microrquia, criptorquia, um micropênis e/ou genitália ambígua.[2]
Aqueles com essa variação tendem a também ser autistas ou ser de alguma forma neurodivergente. Esta condição é considerada semelhante à síndrome de Klinefelter, e pode ou não ser considerada uma variação dela também, com elementos sugestivos de acromegalia.[3]
Referências
- ↑ «49, XXXYY syndrome | Genetic and Rare Diseases Information Center (GARD) – an NCATS Program». rarediseases.info.nih.gov. Consultado em 31 de agosto de 2021
- ↑ RESERVED, INSERM US14-- ALL RIGHTS. «Orphanet: 49,XXXYY syndrome». www.orpha.net (em inglês). Consultado em 31 de agosto de 2021
- ↑ Sensory 5. «49, XXXYY syndrome | Rare Diseases». RareGuru (em inglês). Consultado em 31 de agosto de 2021