Acromegalia
| Acromegalia | |
|---|---|
| Características faciais de uma pessoa com acromegalia: ossos da bochecha pronunciados, protuberância do osso frontal, alargamento do maxilar e linhas do rosto proeminentes | |
| Especialidade | Endocrinologia |
| Sintomas | Crescimento das mãos, pés, testa, maxilar e nariz, espessamento da pele, voz mais grave[1] |
| Complicações | Diabetes do tipo 2, apneia do sono, hipertensão arterial[1] |
| Início habitual | Meia-idade[1] |
| Causas | Excesso de hormona do crescimento[1] |
| Método de diagnóstico | Análises ao sangue, exames imagiológicos[1] |
| Condições semelhantes | Paquidermoperiostose[2] |
| Tratamento | Cirurgia, medicação, radioterapia[1] |
| Medicação | Análogo da somatostatina, antagonistas dos recetores das hormonas de crescimento[1] |
| Prognóstico | Com tratamento: normal Sem tratamento: <10 anos esperança de vida[3] |
| Frequência | 6 em 100 000 pessoas[1] |
| Classificação e recursos externos | |
| CID-11 | 5A60.0 |
| OMIM | 102200 |
| DiseasesDB | 114 |
| MedlinePlus | 000321 |
| eMedicine | 116366, 1095619 |
| MeSH | D000172 |
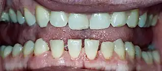
Acromegalia é uma doença que resulta da produção excessiva de hormona do crescimento após o fecho das placas de crescimento.[1] Na maior parte dos casos, o sintoma inicial é o crescimento das mãos e dos pés.[1] Pode também ocorrer crescimento da testa, maxilar e nariz.[1] Entre outros possíveis sintomas estão dores nas articulações, espessamento da pele, agravamento da voz, dores de cabeça e perda de visão.[1] Entre as possíveis complicações estão diabetes do tipo 2, apneia do sono e hipertensão arterial.[1]
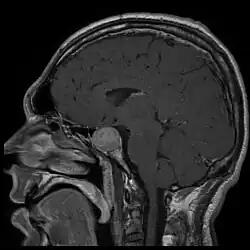
A acromegalia é geralmente causada pela produção excessiva de hormona do crescimento pela hipófise.[1] Em mais de 95% dos casos esta produção excessiva é o resultado de um tumor benigno, como um adenoma de hipófise.[1] A doença não é hereditária.[1] Em casos raros, a acromegalia pode ser causada por um tumor noutra parte do corpo.[1] O diagnóstico consiste em medir os níveis de hormona do crescimento após a ingestão de uma solução de glicose, ou em medir a concentração no sangue do fator de crescimento semelhante à insulina tipo 1.[1] Após o diagnóstico são realizados exames imagiológicos à hipófise para determinar a presença ou não de um adenoma.[1] Quando a produção excessiva de hormona do crescimento ocorre durante a infância, o resultado é uma doença denominada gigantismo, e não acromegalia.[1]
Entre as opções de tratamento estão a cirurgia para remover o tumor, medicação e radioterapia.[1] A cirurgia é geralmente o método preferencial e quanto menor o tumor, maior a possibilidade da cirurgia curar a condição.[1] Nos casos em que a cirurgia é contraindicada ou não proporciona cura, podem ser administrados análogos da somatostatina ou antagonistas dos recetores das hormonas de crescimento.[1] Nos casos em que nem a cirurgia nem a medicação são completamente eficazes pode ser considerada radioterapia.[1] Sem tratamento, a esperança de vida é dez anos menor. Com tratamento, a esperança de vida é normal.[3]
A acromegalia afeta cerca de 6 em cada 100 000 pessoas.[1] É mais frequentemente diagnosticada durante a meia-idade.[1] A frequência é equivalente entre os sexos.[4] A doença foi descrita pela primeira vez por Nicolas Saucerotte em 1772.[5][6] O termo tem origem no grego ἄκρον (akron) que significa "extremidade" e μέγα (mega) que significa "grande".[1]
Imagens
Referências
- ↑ a b c d e f g h i j k l m n o p q r s t u v w x y z aa «Acromegaly». NIDDK. Abril de 2012. Consultado em 20 de agosto de 2016. Cópia arquivada em 27 de agosto de 2016
- ↑ Guglielmi G, Van Kuijk C (2001). Fundamentals of Hand and Wrist Imaging (em inglês). [S.l.]: Springer Science & Business Media. p. 205. ISBN 9783540678540. Cópia arquivada em 8 de setembro de 2017
- ↑ a b Ho K (2011). Growth Hormone Related Diseases and Therapy: A Molecular and Physiological Perspective for the Clinician (em inglês). [S.l.]: Springer Science & Business Media. p. 400. ISBN 9781607613176. Cópia arquivada em 25 de agosto de 2016
- ↑ Pack AI (2016). Sleep Apnea: Pathogenesis, Diagnosis and Treatment (em inglês) 2 ed. [S.l.]: CRC Press. p. 291. ISBN 9781420020885. Cópia arquivada em 25 de agosto de 2016
- ↑ Pearce JM (2003). Fragments of Neurological History (em inglês). [S.l.]: World Scientific. p. 501. ISBN 9781783261109. Cópia arquivada em 25 de agosto de 2016
- ↑ Pearce JM (setembro de 2006). «Nicolas Saucerotte: Acromegaly before Pierre Marie». Journal of the History of the Neurosciences. 15 (3): 269–75. PMID 16887764. doi:10.1080/09647040500471764
Ligações externas
- Gigantismo e acromegalia no Manual Merck



