Próstata

Próstata

Anatomia masculina

Próstata com vesículas seminais e ductos seminais, vistas de frente e por baixo.
Detalhes
Vascularização artéria pudenda interna, artéria vesical inferior e artéria retal média
Drenagem venosa veia ilíaca interna
Inervação plexo hipogástrico inferior
Drenagem linfática linfonodos ilíacos externos, linfonodos ilíacos internos
Precursor Evaginações endodérmicas da uretra
Identificadores
Latim prostata
Gray pág.1251
MeSH Prostate

A próstata é uma glândula exócrina do sistema reprodutor masculino encontrada apenas em alguns mamíferos. Ela difere entre as espécies anatomicamente, quimicamente e fisiologicamente. Anatomicamente, a próstata encontra-se abaixo da bexiga, com a uretra passando por ela. É descrito na anatomia geral como consistindo de lóbulos e na microanatomia por zona. É circundado por uma cápsula fibromuscular e contém tecido glandular, bem como tecido conjuntivo.

As glândulas da próstata produzem e contêm fluido que faz parte do sêmen, a substância que é emitida durante a ejaculação como parte da resposta sexual masculina. Este fluido prostático é ligeiramente alcalino, leitoso ou de aparência branca. A alcalinidade do sêmen ajuda a neutralizar a acidez do trato vaginal, prolongando a vida útil do esperma. O fluido prostático é expelido na primeira parte da ejaculação, junto com a maior parte do esperma, por causa da ação do tecido músculo liso dentro da próstata. Em comparação com os poucos espermatozóides expelidos juntamente com o fluido vesicular seminal principalmente, aqueles no fluido prostático têm melhor motilidade, sobrevida mais longa e melhor proteção do material genético.

Transtornos da próstata incluem alargamento, inflamação, infecção, e câncer. A palavra próstata vem do grego antigo προστάτης, prostátēs, significando "aquele que está diante de", "protetor", "guardião", com o termo originalmente usado para descrever as vesículas seminais.

Estrutura

A próstata é uma glândula exócrina do sistema reprodutor masculino. Em adultos, é do tamanho de uma noz,[1] e tem um peso médio de cerca de 11 gramas, normalmente variando entre 7 e 16 gramas.[2] A próstata está localizada na pelve. Ele fica abaixo da bexiga urinária e envolve a uretra. A parte da uretra que passa por ela é chamada de uretra prostática, que se une aos dois ductos ejaculatórios.[1] A próstata é coberta por uma superfície chamada cápsula prostática ou fáscia prostática.[3]

A estrutura interna da próstata foi descrita usando lóbulos e zonas.[4][1] Por causa da variação nas descrições e definições dos lóbulos, a classificação da zona é usada com maior predominância.[1] A próstata foi descrita como consistindo de três ou quatro zonas.[1][3] As zonas normalmente podem ser vistas em histologia, ou em imagiologia médica, como ultrassom ou IRM.[1][4] As zonas são:

Nome Fração da glândula adulta[1] Descrição
Zona periférica (ZP) 70% Parte posterior da glândula que circunda a uretra distal e fica abaixo da cápsula. Cerca de 70–80% dos cânceres de próstata originam-se desta zona da glândula.[5][6]
Zona central (ZC) 20% Esta zona circunda os ductos ejaculatórios.[1] A zona central é responsável por cerca de 2,5% dos cânceres de próstata; esses cânceres tendem a ser mais agressivos e mais propensos a invadir as vesículas seminais.[7]
Zona de transição (ZT) 5% A zona de transição circunda a uretra proximal.[1] ~10–20% dos cânceres de próstata se originam nesta zona. É a região da próstata que cresce ao longo da vida e causa a doença de hiperplasia benigna da próstata.[5][6]
Zona fibromuscular anterior (ou estroma) N/A Esta área, nem sempre considerada uma zona,[3] é geralmente desprovido de componentes glandulares e composto apenas, como o nome sugere, de músculo e tecido fibroso.[1]

A classificação de "lóbulo" descreve lóbulos que, embora originalmente definidos no feto, também são visíveis na anatomia macroscópica, incluindo dissecção e quando visualizados endoscopicamente.[4][3] Os cinco lóbulos são o anterior ou istmo, o posterior, os laterais direito e esquerdo e o médio ou mediano.[8]

Vasos sanguíneos e linfáticos

A próstata recebe sangue através das artérias vesical inferior, pudenda interna e retal média. Esses vasos entram na próstata em sua superfície posterior externa, onde se encontram com a bexiga, e seguem em direção ao ápice da próstata. Tanto a vesícula inferior quanto a artéria retal média frequentemente surgem juntas, diretamente das artérias ilíacas internas. Ao entrar na bexiga, a artéria vesical inferior se divide em um ramo uretral, irrigando a próstata uretral; e um ramo capsular, que percorre a cápsula e tem ramos menores que perfuram a próstata.[3]

As veias da próstata formam uma rede: o plexo venoso prostático, principalmente em torno de sua superfície frontal e externa. Esta rede também recebe sangue da veia dorsal profunda do pênis e é conectada por meio de ramos ao plexo vesical e às veias pudendas internas. As veias drenam para as vesicais e depois para as ilíacas internas.[3]

A drenagem linfática da próstata depende do posicionamento da área. Vasos ao redor do Ducto deferente, alguns dos vasos da vesícula seminal, e um vaso da superfície posterior da próstata drena para os linfonodos ilíacos externos. Alguns dos vasos da vesícula seminal, vasos prostáticos e vasos da próstata anterior drenam para os linfonodos ilíacos internos. Os vasos da próstata também drenam para o obturador e sacral.[3]


Microanatomia

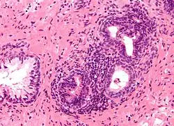
Microfotografia de glândulas prostáticas benignas com corpos amiláceos. Coloração H&E.

A próstata consiste em tecido glandular e conjuntivo. Células altas em forma de coluna formam o revestimento (o epitélio) das glândulas.[1] Estas formam uma camada ou podem ser pseudoestratificadas.[3] O epitélio é altamente variável e áreas de células cuboidais baixas ou planas também podem estar presentes, com epitélio transicional nas regiões externas dos ductos mais longos.[9] As glândulas são formadas como muitos folículos, que drenam para os canais e, subsequentemente, para 12–20 ductos principais. Estes, por sua vez, drenam para a uretra à medida que passa pela próstata.[3] Há também uma pequena quantidade de células planas, que ficam próximas às membranas basais das glândulas e agem como células-tronco.[1]

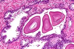
O tecido conjuntivo da próstata é composto de tecido fibroso e músculo liso. O tecido fibroso separa a glândula em lóbulos.[1] Ele também fica entre as glândulas e é composto por feixes de músculos lisos orientados aleatoriamente que são contínuos com a bexiga.[10] Com o tempo, secreções espessadas chamadas corpora amylacea se acumulam na glândula.[1]

Expressão de genes e proteínas

Cerca de 20.000 genes codificadores de proteínas são expressos em células humanas e quase 75% desses genes são expressos na próstata normal.[11][12] Cerca de 150 desses genes são mais especificamente expressos na próstata, sendo cerca de 20 genes altamente específicos da próstata.[13] As proteínas específicas correspondentes são expressas nas células glandulares e secretoras da glândula prostática e têm funções que são importantes para as características do sêmen.[14]

Desenvolvimento

No embrião em desenvolvimento, na extremidade posterior encontra-se uma bolsa interna chamada cloaca. Esta, da quarta à sétima semana, divide-se em um seio urogenital e o início do canal anal, com uma parede se formando entre essas duas bolsas, chamada de septo urorretal.[15] O seio urogenital se divide em três partes, com a parte do meio formando a uretra; a parte superior é maior e se torna a bexiga urinária, e a parte inferior muda dependendo do sexo biológico do embrião.[15]

A parte prostática da uretra desenvolve-se a partir da parte do meio, pélvica, do seio urogenital, que é de origem endodérmica.[16] Por volta do final do terceiro mês de vida embrionária, as protuberâncias surgem da parte prostática da uretra e crescem para o mesênquima circundante. As células que revestem essa parte da uretra se diferenciam no epitélio glandular da próstata.[16] O mesênquima associado se diferencia em tecido conjuntivo denso e músculo liso da próstata.[17]

A condensação de mesênquima, uretra e ducto de Wolff dá origem à próstata adulta, um órgão composto formado por vários componentes glandulares e não glandulares fortemente fundidos. Para funcionar adequadamente, a próstata precisa dos hormônios (andrógenos) masculinos, que são responsáveis pelas características do sexo masculino. O principal hormônio masculino é a testosterona, que é produzida principalmente pelos testículos. É a di-hidrotestosterona (DHT), um metabólito da testosterona, que regula predominantemente a próstata. A próstata aumenta com o tempo, até a quarta década de vida.[3]

Função

A próstata secreta fluido que se torna parte do sêmen. Sêmen é o fluido emitido (ejaculado) pelos machos durante a resposta sexual. Quando o esperma é emitido, ele é transmitido do ducto deferente para a uretra masculina através dos ductos ejaculatórios, que ficam dentro da próstata. A ejaculação é a expulsão do sêmen da uretra. O sêmen é movido para a uretra após as contrações do músculo liso dos vasos deferentes e vesículas seminais, após a estimulação, principalmente da glande do pênis. A estimulação envia sinais nervosos através dos nervos pudendos internos para a parte superior da vértebra lombar; os sinais nervosos que causam a contração agem através dos nervos hipogástricos. Depois de ir para a uretra, o fluido seminal é ejaculado pela contração do músculo bulbocavernoso.[18] As secreções da próstata incluem enzimas proteolíticas, fosfatase ácida prostática, fibrinolisina, zinco, e antígeno prostático específico.[3] Junto com as secreções das vesículas seminais, formam a parte mais fluida do sêmen.[3] É possível que alguns homens alcancem orgasmo somente através da estimulação da próstata, como massagem da próstata ou relação anal.[19][20]

Significância clínica

Inflamação

Microfotografia mostrando uma próstata inflamada, encontrada na prostatite. Uma grande quantidade de células mais escuras, representando leucócitos, pode ser vista. Uma área sem inflamação é vista à esquerda da imagem. Coloração H&E.

Prostatite é a inflamação da próstata. Pode ser causada por infecção por bactérias ou outras causas não infecciosas. A inflamação da próstata pode causar dor ao urinar ou ao ejacular, dor na virilha, dificuldade em urinar ou sintomas constitucionais, como febre ou canseira. Quando inflamada, a próstata aumenta de tamanho e fica sensível ao toque durante o exame retal. Uma bactéria culpada pode crescer em uma cultura de urina.[21]

Prostatite aguda e prostatite bacteriana crônica são tratadas com antibióticos. Prostatite não bacteriana crônica ou síndrome da dor pélvica crônica masculina é tratada por medicamentos como bloqueadores alfa-adrenérgicos, anti-inflamatórios não esteroides e amitriptilina,[21] anti-histamínicos, e outros ansiolíticos.[22] Outros tratamentos que não são medicamentos podem incluir fisioterapia,[23] psicoterapia, neuromodelação, e cirurgia. Uma combinação de pontos de gatilho e terapia psicológica também se mostrou eficaz para prostatite de categoria III.[22]

Aumento da próstata

Um exame retal digital pode ser realizado para investigar o tamanho da próstata, ou se a próstata está sensível, podendo indicar inflamação.
Um diagrama do câncer de próstata pressionando a uretra, o que pode causar sintomas
Microfotografia mostrando câncer de próstata normal no aspecto superior direito da imagem. Coloração HPS. Biópsia de próstata.

Uma próstata aumentada é chamada de prostatomegalia, com a hiperplasia prostática benigna (HPB) sendo a causa mais comum. HPB refere-se a um aumento da próstata devido a um aumento no número de células que constituem a próstata (hiperplasia) de uma causa que não é uma doença maligna. É muito comum em homens mais velhos. Frequentemente é diagnosticada quando a próstata aumenta a ponto de tornar a urinação difícil. Os sintomas incluem necessidade de urinar com frequência (polaquiúria) ou demorar um pouco para começar (hesitação urinária). Se a próstata ficar muito grande, ela pode contrair a uretra e impedir o fluxo de urina, tornando a urinação dolorosa e difícil ou, em casos extremos, completamente impossível, causando retenção urinária. Com o tempo, a retenção crônica pode fazer com que a bexiga cresça e cause um refluxo da urina para os rins (hidronefrose).[21]

HPB pode ser tratada com medicação, um procedimento minimamente invasivo ou, em casos extremos, uma cirurgia para remover a próstata. Em geral, o tratamento geralmente começa com uma medicação receptora adrenérgica alfa 1 como a tansulosina, que reduz o tônus do músculo liso encontrado na uretra que passa pela próstata, facilitando a passagem da urina. Para pessoas com sintomas persistentes, procedimentos podem ser considerados. A cirurgia mais frequentemente usada nesses casos é a ressecção transuretral da próstata,[21] no qual um instrumento é inserido através da uretra para remover o tecido da próstata que pressiona a parte superior da uretra e restringe o fluxo de urina. Os procedimentos minimamente invasivos incluem ablação transuretral da próstata com agulha e termoterapia transuretral por microondas.[24] Esses procedimentos ambulatoriais podem ser seguidos pela inserção de um stent temporário, para permitir a urinação voluntária normal, sem exacerbar os sintomas irritativos.[25]

Glândula de Skene

A glândula de Skene, também conhecida como próstata feminina, é encontrada em mulheres e coelhos. Historicamente, pensava-se que era um órgão vestigial, mas foi descoberto que ele produz os mesmos marcadores de proteína, antígeno prostático específico e proteína de ligação a poli(A), como a próstata masculina.[26] Ele funciona como um homólogo histológico para a próstata masculina.[27][28] Também foi descrito em roedores, morcegos, e cachorros.[29] O campo de estudo relacionado à glândula de Skene foi descrito como controverso.[29]

Curiosidades

  • A próstata tem o tamanho, o formato e o peso exato de uma noz média.
  • Muitas pessoas que possuem próstata, principalmente homens cis, negligenciam os cuidados com o órgão por acharem o exame vexatório. Entretanto, o exame de próstata é essencial para a manutenção da saúde, podendo detectar doenças em estágio inicial e tratável.

Nomes populares

  • Cerejinha
  • Botão
  • Botãozinho
  • Tanquinho
  • Miolo do Velho
  • Motorzinho do Homem
  • Botão do Avô
  • Carocinho do Macho
  • Bebê de Cu
  • Sensor de Ré
  • Bexiguinha do coroa

Referências

  1. a b c d e f g h i j k l m n Young, Barbara; O'Dowd, Geraldine; Woodford, Phillip (2013). Wheater's functional histology: a text and colour atlas. 6th ed. Philadelphia: Elsevier. pp. 347–8. ISBN 9780702047473 
  2. Leissner KH, Tisell LE (1979). «The weight of the human prostate». Scand. J. Urol. Nephrol. 13 (2): 137–42. PMID 90380. doi:10.3109/00365597909181168 
  3. a b c d e f g h i j k l Standring, Susan, ed. (2016). Gray's anatomy : the anatomical basis of clinical practice 41st ed. Philadelphia: [s.n.] pp. 1266–1270. ISBN 9780702052309. OCLC 920806541 
  4. a b c Goddard, Jonathan Charles (janeiro de 2019). «The history of the prostate, part one: say what you see». Trends in Urology & Men's Health (em inglês). 10 (1): 28–30. doi:10.1002/tre.676 
  5. a b "Basic Principles: Prostate Anatomy" Arquivado em 2010-10-15 no Wayback Machine. Urology Match. www.urologymatch.com. Web. 14 de junho de 2010.
  6. a b "Prostate Cancer Information from the Foundation of the Prostate Gland." Prostate Cancer Treatment Guide. Web. 14 de junho de 2010.
  7. Cohen RJ, Shannon BA, Phillips M, Moorin RE, Wheeler TM, Garrett KL (2008). «Central zone carcinoma of the prostate gland: a distinct tumor type with poor prognostic features». The Journal of Urology. 179 (5): 1762–7; discussion 1767. PMID 18343454. doi:10.1016/j.juro.2008.01.017 
  8. Thomas, Liji (escritor); Logan, Jennifer (revisora) (20 de março de 2019). «Prostate Gland Anatomy». News-Medical.net (em inglês). Consultado em 25 de agosto de 2020 
  9. «Prostate Gland Development». ana.ed.ac.uk. Consultado em 3 de agosto de 2011. Cópia arquivada em 30 de abril de 2003 
  10. «Prostate». webpath.med.utah.edu. Consultado em 17 de novembro de 2019 
  11. «The human proteome in prostate – The Human Protein Atlas». www.proteinatlas.org. Consultado em 26 de setembro de 2017 
  12. Uhlén, Mathias; Fagerberg, Linn; Hallström, Björn M.; Lindskog, Cecilia; Oksvold, Per; Mardinoglu, Adil; Sivertsson, Åsa; Kampf, Caroline; Sjöstedt, Evelina (23 de janeiro de 2015). «Tissue-based map of the human proteome». Science. 347 (6220). 1260419 páginas. ISSN 0036-8075. PMID 25613900. doi:10.1126/science.1260419 
  13. O'Hurley, Gillian; Busch, Christer; Fagerberg, Linn; Hallström, Björn M.; Stadler, Charlotte; Tolf, Anna; Lundberg, Emma; Schwenk, Jochen M.; Jirström, Karin (3 de agosto de 2015). «Analysis of the Human Prostate-Specific Proteome Defined by Transcriptomics and Antibody-Based Profiling Identifies TMEM79 and ACOXL as Two Putative, Diagnostic Markers in Prostate Cancer». PLOS ONE. 10 (8): e0133449. Bibcode:2015PLoSO..1033449O. ISSN 1932-6203. PMC 4523174Acessível livremente. PMID 26237329. doi:10.1371/journal.pone.0133449 
  14. Kong, HY; Byun, J (janeiro de 2013). «Emerging roles of human prostatic Acid phosphatase.». Biomolecules & therapeutics. 21 (1): 10-20. PMID 24009853. doi:10.4062/biomolther.2012.095 
  15. a b Sadley, TW (2019). Langman's medical embryology 14th ed. Philadelphia: Wolters Kluwer. pp. 263–66. ISBN 9781496383907 
  16. a b Sadley, TW (2019). Langman's medical embryology 14th ed. Philadelphia: Wolters Kluwer. pp. 265–6. ISBN 9781496383907 
  17. Moore, Keith L.; Persaud, T. V. N.; Torchia, Mark G. (2008). Before We are Born: Essentials of Embryology and Birth Defects 7th ed. [S.l.: s.n.] ISBN 978-1-4160-3705-7 
  18. Barrett, Kim E. (2019). Ganong's review of medical physiology. Barman, Susan M.,, Brooks, Heddwen L.,, Yuan, Jason X.-J. 26th ed. New York: [s.n.] pp. 411,415. ISBN 9781260122404. OCLC 1076268769 
  19. Rosenthal, Martha (2012). Human Sexuality: From Cells to Society. [S.l.]: Cengage Learning. pp. 133–135. ISBN 978-0618755714. Consultado em 17 de setembro de 2012 
  20. Komisaruk, Barry R.; Whipple, Beverly; Nasserzadeh, Sara & Beyer-Flores, Carlos (2009). The Orgasm Answer Guide. [S.l.]: JHU Press. pp. 108–109. ISBN 978-0-8018-9396-4. Consultado em 6 de novembro de 2011 
  21. a b c d Davidson's 2018, pp. 437–9.
  22. a b Anderson RU, Wise D, Sawyer T, Chan CA (2006). «Sexual dysfunction in men with chronic prostatitis/chronic pelvic pain syndrome: improvement after trigger point release and paradoxical relaxation training». J. Urol. 176 (4 Pt 1): 1534–8; discussion 1538–9. CiteSeerX 10.1.1.383.7495Acessível livremente. PMID 16952676. doi:10.1016/j.juro.2006.06.010 
  23. «Physical Therapy Treatment for Prostatitis/chronic pelvic pain syndrome». 2014. Consultado em 22 de outubro de 2014 
  24. Christensen, TL; Andriole, GL (fevereiro de 2009). «Benign Prostatic Hyperplasia: Current Treatment Strategies». Consultant. 49 (2) 
  25. Dineen MK, Shore ND, Lumerman JH, Saslawsky MJ, Corica AP (2008). «Use of a Temporary Prostatic Stent After Transurethral Microwave Thermotherapy Reduced Voiding Symptoms and Bother Without Exacerbating Irritative Symptoms». J. Urol. 71 (5): 873–877. PMID 18374395. doi:10.1016/j.urology.2007.12.015 
  26. Zaviačič, Milan (1999). The Human Female Prostate: From Vestigial Skene's Paraurethral Glands and Ducts to Woman's Functional Prostate. [S.l.: s.n.] ISBN 9788088908500 
  27. Santos, F C A; Taboga, S R (2006). «Female prostate: a review about the biological repercussions of this gland in humans and rodents» (PDF). Animal Reproduction. 3 (1): 3–18 
  28. Knobil and Neill's Physiology of Reproduction. [S.l.: s.n.] 12 de dezembro de 2005. p. 1165. ISBN 9780080535272 
  29. a b Biancardi, Manoel F.; dos Santos, Fernanda C. A.; de Carvalho, Hernandes F.; Sanches, Bruno D. A.; Taboga, Sebastião R. (novembro de 2017). «Female prostate: historical, developmental, and morphological perspectives: Female prostate revisited». Cell Biology International. 41 (11): 1174–1183. doi:10.1002/cbin.10759 
Bibliografia
  • Partes do texto deste artigo originam-se da publicação NIH nº 02-4806, um recurso de domínio público. «What I need to know about Prostate Problems». 1 de junho de 2002. Consultado em 24 de janeiro de 2011. Cópia arquivada em 1 de junho de 2002 
  • Ralston, Stuart H.; Penman, Ian D.; Strachan, Mark W.; Hobson, Richard P. (eds.) (2018). Davidson's principles and practice of medicine 23rd ed. [S.l.]: Elsevier. ISBN 978-0-7020-7028-0