Osteogénese imperfeita
| Osteogénese imperfeita | |
|---|---|
![]() | |
| Esclerótica azul característica. | |
| Especialidade | genética médica |
| Classificação e recursos externos | |
| CID-11 | LD24.K0 |
| CID-10 | Q78.0 |
| CID-9 | 756.51 |
| OMIM | 166200 |
| DiseasesDB | 9342 |
| MedlinePlus | 001573 |
| eMedicine | ped/1674 |
| MeSH | D010013 |
Osteogénese imperfeita (português europeu) ou Osteogênese imperfeita (português brasileiro), osteogenesis imperfecta ou doença de Ekman-Lobstein (do latim, osteo- osso; -genesis formação; imperfecta, imperfeita) ou Ossos de vidro é um grupo de doenças genéticas raras caracterizadas por ossos e dentes frágeis. A severidade da doença depende dos genes afetados. Existem 9 tipos identificados dessa doença. As formas severa e moderada da doença podem ser diagnosticadas logo no nascimento, ou mesmo antes do nascimento, e são encontradas em cerca de 5 por 100.000 recém-nascidos.[1][2][3]
Os pacientes com esta enfermidade nascem com um problema (mutação ou ausência de uma das enzimas necessárias) na formação de colágeno tipo 1. Esse colágeno é um importante componente da estrutura dos ossos. Muitas crianças com osteogênese imperfeita nascem com fraturas, sofrem deformidades e não sobrevivem a idade adulta. Aquelas que sobrevivem, sofrem diversas fraturas, têm baixa estatura, problemas respiratórios, auditivos e odontológicos. As fraturas podem ocorrer mesmo sem causa aparente. Porém a capacidade cognitiva, sensitiva e emocional é normal.
Causas
Em 90% dos casos a doença é autossômica dominante, causada por uma mutações nos genes COL1A1 ou COL1A2 (tipos I, II, III ou IV). Esses genes regulam as enzimas que produzem colágeno tipo 1 ou ações osteoblástica que são componentes necessários para a formação dos ossos.[4] Outras cinco mutações genéticas diferentes causam as variedades V, VI, VII, VIII e IX de osteogênese imperfeita, transmitidas de forma autossômica recessiva.[5]
Sinais e sintomas
Os sintomas dependem do tipo. O tipo I é o mais comum e seus sintomas incluem:[6]
- Esclerótica ocular azulada;
- Rosto em formato triangular;
- Dentes acinzentados e frágeis (dentinogênese imperfeita);
- Diminuição da acuidade auditiva;
- Baixa estatura;
- Múltiplas fraturas, mesmo sem causa aparente;
- Encurvamento dos ossos mesmo sem fraturas evidentes;
- Aumento da flexibilidade;
- Sudorese aumentada;
- Hipotonia muscular.
É importante salientar que existe uma grande variedade de sinais e sintomas, sendo que nem todos os pacientes possuem todas as características, pois a doença tem graus de gravidade diferentes. Em casos leves, pode ocorrer uma grande melhora dos sintomas durante a puberdade, porém, ocorre agravamento na menopausa.
As crianças gravemente atingidas pelo tipos mais severos já nascem com fraturas múltiplas e o crânio mole e geralmente não sobrevivem mais que alguns minutos.
Tipos

A doença pode ser classificada como:[7][8][9]
- Tipo I: Inclui pessoas aparentemente normais com poucas fraturas e deformação nos ossos longos. Caracterizada por nenhuma ou poucas fraturas e deformidades ósseas discretas, portanto considerada leve.
- Tipo II: É o tipo mais grave da doença, há fragilidade óssea extrema, levando à morte no período neonatal.
- Tipo III: Inclui pessoas com um grau variando de moderado a grave, caracterizado pelo formato do rosto, baixa estatura e deformidade nos ossos longos.
- Tipo IV: Com grande variabilidade clínica, quantidade de colágeno é suficiente, porém não é de qualidade suficiente. Há deformações ósseas, problemas auditivos, baixa estatura, ossos e dentes frágeis (ocasionando fraturas).
- Tipo V: Apresentam uma forma moderada da doença com algumas características clínicas e radiológicas distintas, como calcificação da membrana interóssea entre rádio e ulna e/ou tíbia e fíbula, formação de calos hiperplásicos em ossos longos, deslocamento da cabeça do rádio e ausência de dentinogênese imperfeita (DI), mas por mutação do gene IFITM5.
- Tipo VI: Similar ao tipo IV, mas é autossômico recessivo por mutação do gene SERPINF1.
- Tipo VII: Similar ao tipo II, severo com alta mortalidade, é autossômico recessivo por mutação do gene CRTAP.
- Tipo VIII: Autossômico recessivo por mutação do gene LEPRE1.
- Tipo IX: Autossômico recessivo por mutação do gene TMEM38B
Outros tipos, causados por mutação de outro gene, ainda estão sendo descobertos e classificados.
Diagnóstico
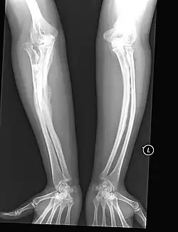
As formas mais graves dessa doença podem ser diagnosticada, ainda na gravidez, por meio do exame de ecografia. Pode-se detectar fraturas intrauterinas. Assim que detectada, os pais devem fazer uma orientação genética para saber sobre a possibilidade de recorrência da doença, numa nova gestação. Os casos mais leves podem só ser detectados na adolescência ou ainda mais tarde.
Nos casos menos graves, vão sofrendo várias fraturas ao longo da infância, às vezes por traumatismos muito ligeiros. O médico, perante um destes casos de fraturas múltiplas, pode ter dificuldade em determinar se a causa é uma osteogênese imperfeita ou se a criança, sendo normal, teria sido vítima de maus tratos. Podem só ser diagnosticados corretamente na adolescência ou ainda mais tarde. Uma biópsia de pele pode ser realizada para determinar a estrutura e quantidade de colágeno tipo I. Um teste de DNA pode determinar o tipo de osteogênese.
Um sinal característico que acompanha esta doença é o tom azulado da esclerótica, a qual, mais fina do que o normal, se torna mais transparente, deixando ver a tonalidade da retina. Detectar surdez devida a uma osteosclerose, baixa estatura e rosto com tendências triangulares devem fazer o médico suspeitar dessa doença.
Por ser uma doença que conseguimos ver no fenótipo do portador, há caracteristicas da doença como a esclera azul, dentinogênse imperfeita, déficit auditivo, frouxidão ligamentar, baixa estatura, fragilidade cutânea, cicatrizes hiperplásicas, constipação intestinal, calcificações vasculares e prematuras e doenças na válvula mitral e aórtica, ossos wormianos. No diagnóstico diferencial devem ser consideradas outras doenças como Loyes-Dietz, De Barsy, Marshall-Mitch, e Russel-Silver, em casos clínicos podem ser em casos de alcaptonúria ocronose, síndrome da córnea frágil e malformações múltiplas[4] doença metabólica óssea da prematuridade, osteoporose juvenil idiopática, síndrome de Ehlers‑Danlos, hipofosfatasia, hiperfosfatasia idiopática, síndrome osteoporose pseudoglioma, deficiência de vitamina D e de cálcio[10][11]causas secundárias de osteoporose, incluindo deficiências hormonais, osteoporose induzida por glicocorticoides e leucemia linfoblástica aguda devem ser investigados.[10]Pode também ser confundida com abuso, por conta das fraturas, por isso a importância da avaliação da criança, dos familiares em relação a genética e história clínica para afastar as hipóteses de maus tratos. Fraturas completas ou incompletas da diáfise de ossos longos ou fraturas da coluna vertebral são mais frequentes nos portadores da OI.[4]
Tratamento
O tratamento é feito através de vários produtos onde os bifosfonatos e a calcitonina se destacam, por inibirem a reabsorção óssea, mas os melhores efeitos são obtidos através da fisioterapia e da alimentação. Deve-se fazer exercícios independente do local e da hora, além de comer alimentos naturais e saudáveis evitando álcool, alimentos gordurosos, cafeína e refrigerantes.
As fraturas são tratadas de maneira habitual (redução e imobilização), como em pessoas não portadoras da doença. Ou seja, faz-se a redução do osso e imobilização para regeneração celular. Porém, quando ocorre fratura de crânio pode ocorrer lesão cerebral e morte. Nos portadores de osteogênese imperfeita, ocorre regeneração mais rápida do osso e encurtamento destes, além de angulações dos membros, resultando em crescimento anormal e atrofiado.
Não há cura para essa doença. As fraturas do crânio podem provocar lesões cerebrais e fraturas nas costelas podem perfurar os pulmões sendo potencialmente fatais.
Os pais que tenham um filho com osteogénese imperfeita devem procurar aconselhamento genético, a fim de poderem avaliar a possibilidade de recorrência da doença numa futura gravidez.
Paleopatologia
A paleopatologia remonta a doença através de vestígios arqueológicos. Há achados de um não adulto com a patologia Osteogénica Imperfeita (OI) datando de 1000 a.c. no. Antes de passar pelas mãos de paleontologistas, os restos mortais com a doença fora considerados de macaco devido sua forma atípica. A OI consta como uma patologia de cunho genético recessivo (raro) com alterações, por vezes, da estatura, mas com principal característica a fratura dos ossos, distúrbios dentários e auditivos. Os achados do crânio na OI incluem uma calvária membranosa com múltiplos ossos wormianos, impressão basilar e invaginação basilar como anormalidades combinadas ou isoladas, possui eixo vertical achatado e transversal alargado; além de apresentar dentição deformada com dentinogénise imperfeita e ossos mais finos que o normalmente encontrados.[12]
Em exames clínicos os não adultos com OI possuem rosto triangular, protuberância no frontal, progmatismo e crânio com proporção maior que o corpo. DI pode ser um fator associado, porém não se deve levar como método exclusivo para a patologia. A diagnose diferencial deve levar em consideração outros fatores como por exemplo fraturas dos ossos do ouvido (possível perda de audição em vida), compressão das vértebras causando cifoescoliose, que gera problemas cardiovasculares em vida , espondilolistese secundária, ou seja, deve-se levar em consideração a idade do indivíduo e a gravidade da doença.[13]
Há fontes materiais em arqueologia para fetos intrauterinos com a patologia OI, datando de apenas 38 semanas de gestação. Datado do periodo Bizantino, foi encontrado em Oásis Dakhleh, Egito. Através de uma análise macroscópica e radiológica o esqueleto apresenta uma característica própria de OI com o arqueamento severo dos ossos longos. Este arqueamento é o elemento que resulta na baixa estatura dos indivíduo, é um fator gradual e geralmente apresentado no tipo IV. desta forma, a expectativa de vida de crianças mais gravemente afetadas com OI (tipo II) geralmente não sobrevivem ao período neonatal. Entretando para os tipos I e IV há desenvolvimento pós-nascimento. No tipo III, a expectativa média de vida pode ser encurtada por causa da cifoescoliose grave e formato torácico anormal com doença pulmonar restritiva concomitante e insuficiência cardíaca.[14]
[1] Dentinogénise Imperfeita causa manchas ou dentes translúcidos, com fraqueza (gerando fraturas) e alterando a aparência dentária (Gray, 1970)[12]
Referências
- ↑ Osteogenesis imperfecta Genetics Home Reference. 11 October 2016.
- ↑ RESERVADOS, INSERM US14-- TODOS OS DIREITOS. «Orphanet: Osteogénese imperfeita». www.orpha.net. Consultado em 21 de junho de 2021
- ↑ «Osteogenesis imperfecta». Socialstyrelsen (em sueco). Consultado em 21 de junho de 2021
- ↑ a b c Brizolaa, E (2017). «Características clínicas e padrão de fraturas no momento do diagnóstico de osteogênese imperfeita em crianças». Revista Paul Pediatra. Revista Paul Pediatra: 171-177
- ↑ Steiner RD, Pepin MG, Byers PH, Pagon RA, Bird TD, Dolan CR, Stephens K, Adam MP (January 28, 2005). "Osteogenesis Imperfecta". PMID 20301472
- ↑ Fuller E, Lin V, Bell M, Bharatha A, Yeung R, Aviv RI, Symons SP (2011). "Case of the month #171: osteogenesis imperfecta of the temporal bone". Can Assoc Radiol J. 62 (4): 296–8. doi:10.1016/j.carj.2010.04.002. PMID 22018338.
- ↑ Genetics Home Reference Archived 2008-12-19 at the Wayback Machine: Genetic Conditions - Osteogenesis imperfecta
- ↑ Brizolaa, E.; et al. (2017). «Características clínicas e padrão de fraturas no momento do diagnóstico de osteogênese imperfeita em crianças». Revista Paul Pediatra. Revista Paul Pediatra
- ↑ Duarte, A. L.W. P.; Terra, H.B.G et. al (1999). «Osteogênese Imperfeita». Revista Médica HSPV. Revista Médica HSPV: 59-61
- ↑ a b Harrington, J; Sochett, E (2014). «Update on the evaluation and treatment of osteogenesis imperfecta». Pediatra ClinNorth Am: 43‑57
- ↑ Greeley, CH; Donaruma‑Kwoh, M, et. al (2013). «Fractures at Diagnosis in Infants and Children with Osteogenesis Imperfecta». J Pediatr Orthop.: 32-36
- ↑ a b Lowenstein, Eve (2009). «Osteogenesis imperfecta in a 3,000-year-old mummy». Child's Nervous System: 515–516
- ↑ Basel, Donald; Steiner, Robert D (2009). «Osteogenesis imperfecta: Recent findings shed new light on this once well-understood condition». Genetics in Medicine: 6
- ↑ Cope, Darcy J.; Dupras, Tosha L. (2011). «Osteogenesis imperfecta in the archeological record: An example from the Dakhleh Oasis, Egypt». International Journal of Paleopathology: 188-199
Ligações externas
- ANOI - Associação Nacional de Osteogênese Imperfeita, que reúne portadores, familiares e médicos no Brasil.
