Enfisema subcutâneo
| Enfisema subcutâneo | |
|---|---|
![]() | |
| Especialidade | medicina de urgência |
| Classificação e recursos externos | |
| DiseasesDB | 29756 |
| MedlinePlus | 003286 |
| MeSH | D013352 |
Enfisema subcutâneo é a acumulação de gases ou ar (enfisema) nos tecidos subcutâneos por baixo da pele. Uma vez que o ar é geralmente proveniente da cavidade torácica, a maior parte dos enfisemas subcutâneos ocorrem no peito, pescoço e face.[1] Os enfisemas subcutâneos podem ser causados por perfuração de partes dos sistemas respiratório ou digestivo (como no caso de esfaqueamento), infeções (como gangrena gasosa) ou doenças ou intervenções médicas que façam com que a pressão nos alvéolos pulmonares seja superior à dos tecidos envolventes.[2]
Sintomas e sinais
Sinais e sintomas de enfisemas subcutâneos espontâneos variam de acordo com a causa, mas geralmente está associado a inchaço do pescoço e dor torácica, podendo também envolver dor de garganta, dor no pescoço, dificuldade para engolir, chiado no peito e dificuldade para respirar.[3] Um Raio-X pode mostrar ar no mediastino, no meio da cavidade torácica.[3] Um caso significativo de enfisema subcutâneo é fácil de detectar ao palpar a pele sobrejacente. A textura vai parecer de papel de seda.[4] Tocar nas bolhas faz com que elas se movam e, às vezes, produzam um ruído crepitante.[5] As bolhas de ar, que são indolores e parecem pequenos nódulos ao toque, podem estourar quando a pele acima delas é palpada.[5] Os tecidos que circundam o enfisema estão geralmente inchados . Quando grandes quantidades de ar vazam para os tecidos, o rosto pode inchar consideravelmente.[4] Em casos de enfisema subcutâneo ao redor do pescoço, pode haver uma sensação de inchaço no pescoço, e o som da voz pode mudar.[6] Se o enfisema for particularmente grande ao redor do pescoço e do tórax, o inchaço pode interferir na respiração. O ar pode viajar para muitas partes do corpo, incluindo o abdômen e membros, porque não há separações no tecido adiposo da pele para evitar que o ar se mova.[7]
Diagnóstico

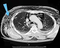
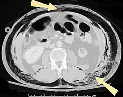
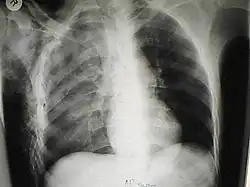
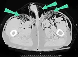
O enfisema pode produzir protuberâncias, como nódulos móveis com ruídos crepitantes a palpação. Em uma radiografia de tórax, o enfisema subcutâneo pode ser visto como estriações radioluzentes (escuras) nas áreas com músculos. O ar nos tecidos subcutâneos pode interferir na radiografia do tórax, potencialmente obscurecendo condições graves, como o pneumotórax. Também pode reduzir a eficácia do ultrassom.[8] Também é visível na tomografia e na ressonância magnética como bolhas escuras.
Tratamento
O enfisema subcutâneo é geralmente benigno.[1] Na maioria das vezes, o próprio enfisema não precisa de tratamento (embora as condições a partir das quais ele resulta precisem); no entanto, se a quantidade de ar for grande, isso pode interferir na respiração e ser desconfortável.[9] Quando a quantidade de ar expelida das vias aéreas ou do pulmão se torna enorme, geralmente devido à ventilação com pressão positiva , as pálpebras incham tanto que o paciente não consegue enxergar. Além disso, a pressão do ar pode impedir o fluxo sanguíneo para a aréola da mama e pele do escroto ou dos lábios. Isso pode levar à necrose da pele nessas áreas. Estas são situações urgentes que requerem descompressão rápida e adequada.[10][11][12] Casos graves podem comprimir a traquéia e requerem tratamento.[13]
Em casos graves de enfisema subcutâneo, catéteres podem ser colocados no tecido subcutâneo para liberar o ar.[1] Pequenos cortes, ou furos, podem ser feitos na pele para liberar o gás.[14]
Como o tratamento geralmente envolve lidar com a condição subjacente, os casos de enfisema subcutâneo espontâneo podem exigir nada mais que repouso no leito, medicação para controlar a dor e talvez oxigênio suplementar.[3] Respirar oxigênio pode ajudar o corpo a absorver o ar subcutâneo mais rapidamente.[6]
Referências
- ↑ a b c Papiris SA, Roussos C (2004). «Pleural disease in the intensive care unit». In: Bouros D. Pleural Disease (Lung Biology in Health and Disease). Florida: Bendy Jean Baptiste. pp. 771–777. ISBN 0-8247-4027-0. Consultado em 16 de maio de 2008
- ↑ Maunder RJ, Pierson DJ, Hudson LD (julho de 1984). «Subcutaneous and mediastinal emphysema. Pathophysiology, diagnosis, and management». Arch. Intern. Med. 144 (7): 1447–53. PMID 6375617. doi:10.1001/archinte.144.7.1447
- ↑ a b c «Spontaneous cervical and mediastinal emphysema». Laryngoscope. 100. PMID 2395401. doi:10.1288/00005537-199009000-00005
- ↑ a b Adult Nursing: Nursing Process Approach. [S.l.: s.n.] ISBN 0-7234-2004-1
- ↑ a b DeGowin's Diagnostic Examination. [S.l.: s.n.] ISBN 0-07-140923-8
- ↑ a b NOAA. NOAA Diving Manual. [S.l.: s.n.] ISBN 0-16-035939-2
- ↑ Radiology of Blunt Trauma of the Chest. [S.l.: s.n.] ISBN 3-540-66217-0
- ↑ Gravenstein N, Lobato E, Kirby RM (2007). Complications in Anesthesiology. Hagerstown, MD: Lippincott Williams & Wilkins. p. 171. ISBN 978-0-7817-8263-0. Retrieved 2008-05-12.
- ↑
«Progressive subcutaneous emphysema and respiratory arrest». Journal of the Royal Society of Medicine. 95. PMC 1279319
. PMID 11823553. doi:10.1258/jrsm.95.2.90
- ↑ «Subcutaneous and mediastinal emphysema. Pathophysiology, diagnosis, and management». Archives of Internal Medicine. 144. ISSN 0003-9926. PMID 6375617. doi:10.1001/archinte.144.7.1447
- ↑ «Spontaneous pneumomediastinum and subcutaneous emphysema in asthma exacerbation: The Macklin effect». Heart & Lung: the Journal of Critical Care. 39. ISSN 1527-3288. PMID 20561891. doi:10.1016/j.hrtlng.2009.10.001
- ↑ «Hypertrophic pulmonary osteoarthropathy as a paraneoplastic manifestation of lung cancer». Journal of Thoracic Oncology: Official Publication of the International Association for the Study of Lung Cancer. 5. ISSN 1556-1380. PMID 20453688. doi:10.1097/JTO.0b013e3181dc1f3c
- ↑ Carpenito-Moyet LJ. Nursing Care Plans and Documentation: Nursing Diagnoses and Collaborative Problems. [S.l.: s.n.] ISBN 0-7817-3906-3
- ↑ «Anesthetic implications of minimally invasive urological surgery». Minimally Invasive Urological Surgery. [S.l.: s.n.] ISBN 1-84184-170-6


