Contusão pulmonar
| Contusão pulmonar | |
|---|---|
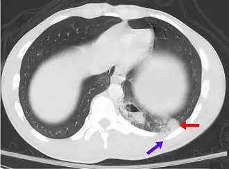
![]() | |
| Uma tomografia computadorizada mostrando uma contusão pulmonar (seta vermelha) acompanhada de uma fratura de costela (seta azul) | |
| Especialidade | medicina de urgência |
| Classificação e recursos externos | |
| CID-11 | NB32.30 |
| CID-10 | S27.3 |
| CID-9 | 861.21, 861.31 |
Uma contusão pulmonar é uma contusão do pulmão causada por um traumatismo de tórax. Como resultado da lesão aos capilares sanguíneos, o sangue e outros fluidos se acumulam no tecido pulmonar. O excesso de fluido interfere com a troca de gases, potencialmente levando a níveis inadequados de oxigenação (hipóxia). Ao contrário da laceração pulmonar, outro tipo de lesão pulmonar, a contusão pulmonar não envolve o corte ou rompimento do tecido do pulmão.
Uma contusão pulmonar, em geral, é causada diretamente por um trauma torácico fechado, mas também pode ser resultado de lesões explosivas ou de ondas de choque associadas ao trauma penetrante. Com o uso de explosivos durante a Primeira e Segunda Guerras Mundiais, as contusões pulmonares resultantes das explosões ganharam reconhecimento. Na década de 1960, a ocorrência em civis, geralmente por acidentes de trânsito, começou a receber maior atenção. O uso do cinto de segurança e airbags reduziu o risco aos ocupantes dos veículos.
O diagnóstico é feito a partir do estudo da causa da lesão, exame físico e radiografia de tórax. Os sinais e sintomas típicos incluem efeitos diretos do trauma físico, como dor torácica e tosse expelindo sangue, assim como sinais de que o corpo não está recebendo oxigênio suficiente, como a cianose. Frequentemente, a contusão melhora sozinha com as medidas de suporte. É comum que sejam necessárias suplementação de oxigênio e monitorização do paciente; contudo, o tratamento em unidade de terapia intensiva pode ser recomendado. A reposição de fluidos pode ser necessária para assegurar um volume sanguíneo adequado, mas os fluidos devem ser dispensados com cuidado, uma vez que a sobrecarga pode piorar o edema pulmonar, o que pode ser letal.
A gravidade varia desde leve a letal – pequenas contusões pode produzir pouco ou nenhum impacto sobre a saúde do paciente. A contusão pulmonar é o tipo mais comum de trauma de tórax potencialmente letal. Ela ocorre em 30–75% das lesões de tórax graves. Com uma mortalidade estimada de 14–40%, a contusão pulmonar exerce um papel importante em determinar se um indivíduo pode morrer ou sofrer efeitos sérios como resultado de um trauma. A contusão pulmonar geralmente vem acompanhada de outras lesões. Embora tais lesões associadas sejam frequentemente a causa de morte, a contusão pulmonar é tida como causa direta do óbito em um quarto a metade dos casos. As crianças, especialmente, estão em maior risco, porque a flexibilidade relativa de seus ossos previne que a parede torácica absorva a força de um impacto, levando-a a ser transmitida para o pulmão. A contusão pulmonar está associada a complicações, como pneumonia e síndrome da angústia respiratória aguda (SARA), e pode causar deficiência respiratória a longo prazo.
Classificação

A contusão ou a laceração pulmonar são lesões do tecido pulmonar. A laceração pulmonar, na qual o tecido é cortado ou rompido, se diferencia da contusão pulmonar, uma vez que ocorre desarranjo da arquitetura macroscópica do pulmão,[1] enquanto na contusão não ocorre.[2] Quando as lacerações são preenchidas com sangue, o resultado é um hematoma pulmonar, uma coleção de sangue dentro do tecido pulmonar.[3] A contusão envolve hemorragia no interior dos alvéolos pulmonares (minúsculos sacos preenchidos com ar responsáveis pela absorção do oxigênio), mas um hematoma discreto, não entremeado ao tecido pulmonar.[4] O colapso pulmonar pode ocorrer quando sangue (hemotórax) ou ar (pneumotórax) se acumulam na cavidade pleural (espaço externo ao pulmão). Essas condições não envolvem necessariamente dano ao tecido pulmonar, mas podem estar associadas a ele. Lesões da parede torácica também ocorrem, mas podem estar associadas a lesões pulmonares. Os danos à parede torácica incluem fratura de costelas e tórax instável, no qual múltiplas fraturas de costela fazem um segmento da caixa torácica se separar do resto da parede torácica, movendo-se independentemente.
Sinais e sintomas
A apresentação pode ser súbita; pessoas com contusão leve podem não apresentar nenhum sintoma.[5] Contudo, a contusão pulmonar frequentemente está associada a sinais (indicações objetivas) e sintomas (estados subjetivos), incluindo aqueles que indicam a injúria do tecido pulmonar propriamente dito ou das lesões associadas. Como há problemas na troca gasosa, os sinais de redução da saturação de oxigênio, tais como menor concentração de oxigênio na gasometria arterial e cianose (coloração azulada da pele e das membranas mucosas), estão comumente associadas.[6] A dispneia (dor à respiração ou dificuldade de respirar) geralmente é observada[6] e a tolerância ao esforço pode estar reduzida.[7] Respiração rápida e ritmo cardíaco acelerado são outros sinais.[8][9] Em contusões mais graves, os ruídos pulmonares ouvidos através de um estetoscópio podem estar diminuídos ou podem ser ouvidas crepitações (um som anormal que acompanha a respiração).[6][10] Indivíduos com contusões graves podem ter broncorreia (produção de expectoração aquosa).[11] Sibilância e tosse são outros sinais.[12] Tosse com sangue ou expectoração sanguinolenta está presente em mais da metade dos casos.[12] O débito cardíaco (volume de sangue bombeado pelo coração) pode estar reduzido[11] e hipotensão (baixa pressão arterial) está frequentemente presente.[6] A área da parede torácica próxima à contusão pode estar sensível[13] ou dolorida devido à lesão associada à parede torácica.
Os sinais e sintomas levam tempo para se desenvolver e, por isso, até metade dos casos é assintomática à apresentação inicial.[5] Quanto mais grave a lesão, mais rapidamente os sintomas se tornam aparentes. Em casos graves, os sintomas podem ocorrer rapidamente, entre 3 e 4 horas após o trauma.[11] A hipoxemia (baixa concentração de oxigênio no sangue arterial), em geral, se torna progressivamente pior depois de 24–48 horas desde a lesão.[14] Geralmente, a contusão pulmonar tende a piorar lentamente após poucos dias,[4] mas também pode haver rápida deterioração ou óbito se não tratada.[6]
Causas

A contusão pulmonar é a injúria mais comum nos traumas fechados de tórax,[15] ocorrendo em 25–35% dos casos.[16] Ela geralmente é causada pela rápida desaceleração que ocorre quando o tórax em movimento se choca com um objeto fixo.[12] Cerca de 70% dos casos resultam de colisões de veículos,[17] mais frequentemente quando o tórax se choca no interior do carro.[6] Quedas,[17] agressões[18] e lesões esportivas são outras causas.[19] A contusão pulmonar também pode ser causada por explosões; os órgãos mais vulneráveis a lesões explosivas são aqueles que contêm gás, como os pulmões.[20] A lesão pulmonar por explosão é grave, apresentando-se com contusão, hemorragia ou edema, com danos aos alvéolos e vasos sanguíneos, ou combinando esses achados.[21] Esta é a principal causa de morte entre as pessoas que sobrevivem inicialmente a uma explosão.[22] Ao contrário dos outros mecanismos de lesão nos quais a contusão pulmonar é encontrada paralelamente a outras lesões, a explosão pode causar contusão pulmonar sem dano à parede torácica.[15]
Além do trauma fechado, o trauma penetrante pode causar contusão pulmonar.[23] A contusão resultante da penetração por um projétil de alta velocidade geralmente envolve o caminho percorrido pelo projétil através do tecido.[24] A onda de pressão força o tecido para fora do trajeto, criando uma cavitação temporária; o tecido prontamente retorna para o seu lugar, mas está danificado. As contusões pulmonares que acompanham as feridas por armas de fogo ou cortantes geralmente não são graves o suficiente para apresentar efeitos maiores;[25] o trauma penetrante causa lesão pulmonar menos extensa do que o trauma fechado.[17] Exceção é a ferida por espingarda, a qual pode lesar seriamente grandes áreas de tecido pulmonar pelo mecanismo da lesão explosiva.[25]
Mecanismos
Os processos físicos por trás da contusão pulmonar são pouco compreendidos. Entretanto, sabe-se que o tecido pulmonar pode ser comprimido quando a parede torácica se dobra para dentro durante o impacto.[26] Três outros possíveis mecanismos foram sugeridos: o efeito da inércia, o fenômeno spalling e o efeito da implosão.
- No efeito da inércia, o tecido alveolar mais leve é esmagado pelas estruturas hilares mais pesadas, um efeito similar à lesão axonal difusa no trauma encefálico.[5] Ele resulta do fato de diferentes tecidos apresentarem diferentes densidades e, por conseguinte, diferentes valores de aceleração ou desaceleração.[10]
- No efeito spalling, o tecido pulmonar se arrebenta ou é esmagado quando uma onda de choque o atinge, na interface entre gás e líquido.[20] As paredes alveolares formam esta interface gás-líquido com o ar do interior dos alvéolos.[5][27] O efeito spalling ocorre em áreas com grandes diferenças de densidade; partículas do tecido mais denso são arremessadas sobre as partículas menos densas.[28]
- O efeito da implosão ocorre quando uma onda de pressão passa através de um tecido contendo bolhas de gás: as bolhas primeiro implodem, então se recompõem e se expandem para um volume maior do que original.[29] As bolhas de ar causam inúmeras pequenas explosões, resultando em dano ao tecido;[29] a expansão das bolhas de gás esticam e rompem os alvéolos.[30][31] Acredita-se que este efeito ocorre microscopicamente enquanto a pressão nas vias aéreas aumenta bruscamente.[26]
A contusão geralmente ocorre na parte do pulmão logo abaixo da área que sofreu o impacto, mas, assim como no traumatismo cranioencefálico, uma contusão a contragolpe ("trauma em chicote") pode ocorrer em região oposta ao impacto.[24] Uma explosão em frente ao tórax pode causar contusão na parte posterior dos pulmões porque a onda de choque atravessa o tórax e acerta a curva dorsal da parede torácica; isto produz uma reflexão da energia sobre a parte posterior dos pulmões, concentrando-a. Um mecanismo similar pode ocorrer na parte anterior dos pulmões quando as costas são golpeadas.[31]
A quantidade de energia transferida para os pulmões é determinada em grande parte pela complacência (flexibilidade) da parede torácica.[24] O tórax de crianças é mais flexível porque suas costelas são mais elásticas e há menor ossificação da cartilagem intercostal.[13] Portanto, a caixa torácica das crianças se curva, absorvendo menos força, transmitindo-a em maior quantidade para os órgãos subjacentes.[13][32] A parede torácica de um adulto contém mais tecido ósseo e absorve mais força ao invés de transmiti-la.[32] Logo, as crianças comumente apresentam contusões pulmonares sem muitas fraturas, enquanto pessoas mais velhas são mais suscetíveis a sofrerem fraturas do que contusões.[14][24] Segundo um estudo, as contusões pulmonares são acompanhadas de fraturas em 62% das vezes em crianças e em 80% em adultos.[31]
Referências
- ↑ Collins J, Stern EJ (2007). Chest Radiology: The Essentials. [S.l.]: Lippincott Williams & Wilkins. p. 120. ISBN 0-7817-6314-2
- ↑ Erro de citação: Etiqueta
<ref>inválida; não foi fornecido texto para as "refs" nomeadasWicky00 - ↑ Stern EJ, White C (1999). Chest Radiology Companion. Hagerstown, MD: Lippincott Williams & Wilkins. 103 páginas. ISBN 0-397-51732-7
- ↑ a b Livingston DH, Hauser CJ (2003). «Trauma to the chest wall and lung». In: Moore EE, Feliciano DV, Mattox KL. Trauma. Fifth Edition. [S.l.]: McGraw-Hill Professional. pp. 525–528. ISBN 0-07-137069-2
- ↑ a b c d Costantino M, Gosselin MV, Primack SL (julho de 2006). «The ABC's of thoracic trauma imaging». Seminars in Roentgenology. 41 (3): 209–225. PMID 16849051. doi:10.1053/j.ro.2006.05.005
- ↑ a b c d e f Erro de citação: Etiqueta
<ref>inválida; não foi fornecido texto para as "refs" nomeadasmlr07 - ↑ Erro de citação: Etiqueta
<ref>inválida; não foi fornecido texto para as "refs" nomeadasWanek04 - ↑ Mick NW, Peters JR, Egan D, Nadel ES, Walls R, Silvers S (2006). «Chest trauma». Blueprints Emergency Medicine. Second edition. Philadelphia, PA: Lippincott Williams & Wilkins. 76 páginas. ISBN 1-4051-0461-9
- ↑ Coyer F, Ramsbotham J (2004). «Respiratory health breakdown». In: Chang E, Daly J, Eliott D. Pathophysiology Applied to Nursing. Marrickville, NSW: Mosby Australia. pp. 154–155. ISBN 0-7295-3743-9
- ↑ a b Boyd AD (1989). «Lung injuries». In: Hood RM, Boyd AD, Culliford AT. Thoracic Trauma. Philadelphia: Saunders. pp. 153–155. ISBN 0-7216-2353-0
- ↑ a b c Gavelli G, Canini R, Bertaccini P, Battista G, Bnà C, Fattori R (junho de 2002). «Traumatic injuries: Imaging of thoracic injuries». European Radiology. 12 (6): 1273–1294. PMID 12042932. doi:10.1007/s00330-002-1439-6
- ↑ a b c Yamamoto L, Schroeder C, Morley D, Beliveau C (2005). «Thoracic trauma: The deadly dozen». Critical Care Nursing Quarterly. 28 (1): 22–40. PMID 15732422. doi:10.1097/00002727-200501000-00004
- ↑ a b c Erro de citação: Etiqueta
<ref>inválida; não foi fornecido texto para as "refs" nomeadasTovar08 - ↑ a b Peitzman AB, Rhoades M, Schwab CW, Yealy DM, Fabian TC (2007). The Trauma Manual: Trauma and Acute Care Surgery (Spiral Manual Series). Third Edition. Hagerstown, MD: Lippincott Williams & Wilkins. 223 páginas. ISBN 0-7817-6275-8
- ↑ a b Erro de citação: Etiqueta
<ref>inválida; não foi fornecido texto para as "refs" nomeadasBruce12 - ↑ Moloney JT, Fowler SJ, Chang W (fevereiro de 2008). «Anesthetic management of thoracic trauma». Current Opinion in Anesthesiology. 21 (1): 41–46. PMID 18195608. doi:10.1097/ACO.0b013e3282f2aadc
- ↑ a b c Ullman EA, Donley LP, Brady WJ (2003). «Pulmonary trauma emergency department evaluation and management». Emergency Medicine Clinics of North America. 21 (2): 291–313. PMID 12793615. doi:10.1016/S0733-8627(03)00016-6
- ↑ Haley K, Schenkel K (2003). «Thoracic trauma». In: Thomas DO, Bernardo LM, Herman B. Core curriculum for pediatric emergency nursing. Sudbury, Mass: Jones and Bartlett Publishers. 446 páginas. ISBN 0-7637-0176-9
- ↑ France R (2003). «The chest and abdomen». Introduction to Sports Medicine and Athletic Training. [S.l.]: Thomson Delmar Learning. pp. 506–507. ISBN 1-4018-1199-X
- ↑ a b Erro de citação: Etiqueta
<ref>inválida; não foi fornecido texto para as "refs" nomeadasCohnSM - ↑ Sasser SM, Sattin RW, Hunt RC, Krohmer J (2006). «Blast lung injury». Prehospital Emergency Care. 10 (2): 165–72. PMID 16531371. doi:10.1080/10903120500540912
- ↑ Born CT (2005). «Blast trauma: The fourth weapon of mass destruction» (PDF). Scandinavian Journal of Surgery. 94 (4): 279–285. PMID 16425623. Consultado em 20 de dezembro de 2014. Arquivado do original (PDF) em 25 de fevereiro de 2009
- ↑ Lucid WA, Taylor TB (2002). «Thoracic trauma». In: Strange GR. Pediatric Emergency Medicine: A Comprehensive Study Guide. New York: McGraw-Hill, Medical Publishing Division. pp. 92–100. ISBN 0-07-136979-1
- ↑ a b c d Sattler S, Maier RV (2002). «Pulmonary contusion». In: Karmy-Jones R, Nathens A, Stern EJ. Thoracic Trauma and Critical Care. Berlin: Springer. pp. 159–160 and 235–243. ISBN 1-4020-7215-5
- ↑ a b Erro de citação: Etiqueta
<ref>inválida; não foi fornecido texto para as "refs" nomeadasWhite99 - ↑ a b Hwang JCF, Hanowell LH, Grande CM (1996). «Peri-operative concerns in thoracic trauma». Baillière's Clinical Anaesthesiology. 10 (1): 123–153. doi:10.1016/S0950-3501(96)80009-2
- ↑ Allen GS, Coates NE (novembro de 1996). «Pulmonary contusion: A collective review». The American Surgeon. 62 (11): 895–900. PMID 8895709
- ↑ Maxson TR (2002). «Management of pediatric trauma: Blast victims in a mass casualty incident». Clinical Pediatric Emergency Medicine. 3 (4): 256–261. doi:10.1016/S1522-8401(02)90038-8
- ↑ a b Bridges EJ (setembro de 2006). «Blast injuries: From triage to critical care». Critical Care Nursing Clinics of North America. 18 (3): 333–348. PMID 16962455. doi:10.1016/j.ccell.2006.05.005
- ↑ Erro de citação: Etiqueta
<ref>inválida; não foi fornecido texto para as "refs" nomeadasMatthay05 - ↑ a b c Allen GS, Cox CS (dezembro de 1998). «Pulmonary contusion in children: Diagnosis and management». Southern Medical Journal. 91 (12): 1099–1106. PMID 9853720. doi:10.1097/00007611-199812000-00002
- ↑ a b Sartorelli KH, Vane DW (maio de 2004). «The diagnosis and management of children with blunt injury of the chest». Seminars in Pediatric Surgery. 13 (2): 98–105. PMID 15362279. doi:10.1053/j.sempedsurg.2004.01.005
