Radiografia de tórax

O Tórax é a parte superior do tronco entre o pescoço e o abdome. A anatomia radiologica do tórax é dividida em três seções: a caixa torácica, o sistema respiratório.
A caixa torácica compreende um esterno (subdividido em manúbrio, corpo e processo xifóide), duas claviculas, duas escapulas, doze pares de vértebras torácicas posteriormente.
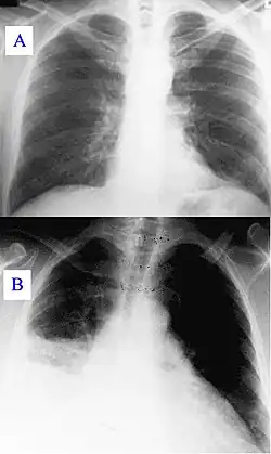
Na medicina, uma radiografia de tórax, comumente chamada de raio-x de tórax, é uma radiografia do tórax usada para diagnosticar doenças que afetem o tórax, seu conteúdo e suas estruturas próximas. As radiografias de tórax estão entre os filmes diagnósticos mais realizados, sendo úteis no diagnóstico de muitas doenças.
Como todos os métodos de radiografia, a radiografia de tórax emprega radiação ionizante na forma de raios x para gerar imagens do tórax. A dose de radiação típica para um adulto em uma radiografia de tórax é de cerca de 0,06 mSv.
Com a radiografia de tórax avalia-se os pulmões, tamanho e contornos do coração, mediastino, pleura, diafragma e os ossos da caixa torácica (costelas, esterno e vértebras).
Existem incidências básicas e especiais: Básicas - PA e Lateral; Especiais - AP em decúbito dorsal ou posição semi-ortostática, decúbito lateral, AP Lordótica, Oblíqua anterior e Oblíqua posterior.