Esclerose lateral amiotrófica
| Esclerose lateral amiotrófica | |
|---|---|
| Sinônimos | Doença de Lou Gehrig, Doença de Charcot,[1] doença do neurônio motor |
![]() | |
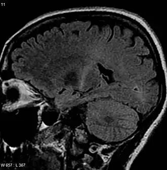
| Uma MRI com sinal aumentado na parte posterior da cápsula interna que pode rastrear o córtex motor que é consistente com o diagnóstico de ELA | |
| Especialidade | Neurologia |
| Sintomas | Rigidez muscular, contração muscular, piora gradual do movimento[2] |
| Complicações | Dificuldade de falar, engolir, respirar[2][3] |
| Método de diagnóstico | Baseado nos sintomas[4] |
| Tratamento | Ventilação não invasiva[5] |
| Medicação | Riluzol, edaravona[6][7] |
| Prognóstico | Expectativa de vida de 2 a 4 anos[8] |
| Frequência | 2 por 100.000 por ano[9] |
| Classificação e recursos externos | |
| CID-11 | 8B60.0 |
| CID-10 | G12.2 |
| CID-9 | 335.20 |
| OMIM | 105400 |
| DiseasesDB | 29148 |
| MedlinePlus | 000688 |
| eMedicine | neuro/14 emerg/24 pmr/10 |
| MeSH | D000690 |
A esclerose lateral amiotrófica (ELA), também conhecida como doença do neurónio motor e doença de Lou Gehrig, é uma doença que causa a morte dos neurónios de controlo dos músculos voluntários.[4][10] Alguns também usam o termo doença do neurónio motor para um grupo de condições de que ELA é o mais comum. ELA é caracterizada por rigidez muscular, espasmos musculares, e, gradualmente, aumento da fraqueza, devido aos músculos diminuindo de tamanho. Isto resulta em dificuldade de fala, deglutição, e, por fim, da respiração.[2][3]
A causa não é conhecida em 90% a 95% dos casos.[4] Cerca de 5-10% dos casos são herdados a partir dos pais da pessoa.[9] Cerca de metade destes casos genéticos são devido a um dos dois genes específicos. O diagnóstico é baseado nos sinais e sintomas com testes feitos para descartar outras causas possíveis.[4]
Não há cura conhecida para a esclerose lateral amiotrófica.[4] Um medicamento chamado Riluzol pode prolongar a vida por cerca de dois a três meses.[6] Ventilação não-invasiva pode resultar na melhoria da qualidade e duração da vida.[5] A doença pode afetar pessoas de qualquer idade, mas geralmente começa em torno dos 60 anos de idade e em casos herdados, em torno de 50 anos de idade.[9] A sobrevivência média de início para a morte é de dois a quatro anos.[8] Cerca de 10% sobrevivem mais de 10 anos.[4] A maioria morre de insuficiência respiratória. Em grande parte do mundo, as taxas de ELA são desconhecidas. Na Europa e Estados Unidos, a doença afeta cerca de duas pessoas por 100 mil habitantes por ano.[11]
Descrições da doença datam de pelo menos 1824, por Charles Bell.[12] Em 1869, a conexão entre os sintomas e os fatores de problemas neurológicos foram descritos pela primeira vez por Jean-Martin Charcot, que, em 1874, começou a usar o termo esclerose lateral amiotrófica.[12] Ela tornou-se conhecida nos Estados Unidos no século XX, quando, em 1939, afetou o jogador de beisebol Lou Gehrig e mais tarde em todo o mundo ao afetar o astrofísico Stephen Hawking.[13][14] Em 2014, vídeos do Desafio do Balde de Gelo tornou-se viral na internet e aumentou a conscientização pública sobre a condição.[15]
Etimologia
A palavra amiotrófica vem do grego: a que significa "não", mio se refere a "músculo" e trófica significa "alimento". "Amiotrófica" significa, portanto, "ausência de nutrição muscular", o que descreve a característica atrófica do tecido muscular em desuso. O termo "lateral" se refere à topografia das lesões na medula espinhal, onde as células nervosas afetadas estão localizadas. Como essa área se degenera, forma-se cicatriz ou endurecimento (esclerose) na região.
Etiologia
Quase 10% dos casos desta doença degenerativa tem um caráter genético, mas na maioria dos casos não se conhece a sua causa. Vários estudos científicos[16][17][18][19] mostraram correlações estatísticas entre certos pesticidas agrícolas e Esclerose Lateral Amiotrófica.
Causa
Atualmente, existem diversos genes envolvidos na Esclerose Lateral Amiotrófica, sendo o mais comum o: SOD1, que converte o Co, Znc2 SOD, esta proteína desenvolve um aglomerado temporário de 3 moléculas, conhecido pelo nome de Trímero. Essas moléculas são altamentes tóxicas aos neurônios motores, resultando na morte dessas células nervosas.
Devido à variabilidade fenotípica[20] e genética[21], hoje sabe-se que existem vários subtipos de ELA. No Brasil, uma forma especial, a ELA subtipo 8 (ELA8), tem sido discutida por suas características peculiares [22].
Sintomas e evolução da doença

Trata-se de uma doença que acomete o sistema nervoso, até o momento irreversível, que incapacita o portador à medida que avança. A pessoa sente dificuldades de se locomover, comer, falar; perde habilidade dos movimentos, inclusive das próprias mãos, não consegue ficar de pé por muito tempo pois a doença acaba por afetar toda a musculatura. Geralmente atinge pessoas mais idosas, mas há casos de pessoas que apresentaram a doença na faixa dos 20 anos de idade.
À medida que a doença progride, geralmente depois da perda das habilidades de locomoção, fala e deglutição, o doente acaba por falecer, se não for submetido a tratamento, de incapacidade respiratória quando os músculos associados à respiração são afetados. A maioria dos movimentos como caminhar e respirar, são gerados na medula espinhal.[23]
É preciso que o paciente a partir de um determinado estágio da doença, seja acompanhado de perto por outra pessoa em função da incapacidade de executar as suas tarefas rotineiras. Como a doença não afeta as suas capacidades intelectuais, o paciente percebe tudo que acontece a sua volta, vivencia por isso, lucidamente, a doença e a sua progressão, havendo porém dificuldades de comunicação com outras pessoas caso já exista comprometimento dos músculos da fala.
Tratamento e prognóstico
Ainda não existe tratamento eficaz ou cura. Porém, o riluzol (nome comercial: Rilutek), um medicamento de alto custo, pode retardar a evolução da doença e aumentar a sobrevida em alguns meses.
Por isso os cuidados paliativos são muito importantes para a melhoria da qualidade de vida dos doentes.
A esperança de vida varia de indivíduo para indivíduo, mas, em termos estatísticos, mais de 60% dos doentes só sobrevivem entre 2 a 5 anos. Mas, casos raros de pessoas diagnosticadas com esta síndrome aos 20 até os 21 anos de idade sobrevivem por mais tempo.
Ice Bucket Challenge
A ALS Association (ALSA) criou um movimento nas redes sociais, denominado Ice Bucket Challenge (Desafio do Balde de Gelo, em português), com o objetivo de angariar fundos para ajudar os doentes com ELA.
O desafio consiste da pessoa publicar um vídeo de si própria a tomar um banho de água gelada, desafiando depois outras pessoas a fazê-lo. Os desafiados têm 24 horas para aceitar o desafio ou doar para a instituição.
O movimento #icebucketchallenge tornou-se viral nas redes sociais após um ex-capitão de beisebol norte-americano Pete Frates, portador da doença, postar na rede um vídeo na qual desafia algumas pessoas a contribuir com a ALS Association. O fenômeno foi replicado em todo o mundo, angariando fundos para as associações homólogas de outros países.[24]
Ver também
- Famosos acometidos por ELA
- Ice Bucket Challenge
Referências
- ↑ Koehler, Peter J.; Bruyn, George W.; Pearce, John (2000). Neurological Eponyms (em inglês). [S.l.]: Oxford University Press, USA. p. 275. ISBN 9780195133660. Cópia arquivada em 8 de setembro de 2017
- ↑ a b c «Motor Neuron Diseases Fact Sheet». National Institute of Neurological Disorders and Stroke. Consultado em 7 de novembro de 2010. Cópia arquivada em 13 de abril de 2014
- ↑ a b Zarei, Sara; Carr, Karen; Reiley, Luz; Diaz, Kelvin; Guerra, Orleiquis; Altamirano, Pablo Fernandez; Pagani, Wilfredo; Lodin, Daud; Orozco, Gloria (16 de novembro de 2015). «A comprehensive review of amyotrophic lateral sclerosis». Surgical Neurology International. 6. 171 páginas. ISSN 2229-5097. PMC 4653353
. PMID 26629397. doi:10.4103/2152-7806.169561
- ↑ a b c d e f «Amyotrophic Lateral Sclerosis (ALS) Fact Sheet». National Institute of Neurological Disorders and Stroke. 19 de setembro de 2014. Consultado em 2 de janeiro de 2015. Cópia arquivada em 5 de janeiro de 2017
- ↑ a b McDermott, CJ; Shaw, PJ (22 de março de 2008). «Diagnosis and management of motor neurone disease.». BMJ (Clinical research ed.). 336 (7645): 658–62. PMC 2270983
. PMID 18356234. doi:10.1136/bmj.39493.511759.be
- ↑ a b Miller, RG; Mitchell, JD; Moore, DH (14 de março de 2012). «Riluzole for amyotrophic lateral sclerosis (ALS)/motor neuron disease (MND).». The Cochrane Database of Systematic Reviews. 3: CD001447. PMID 22419278. doi:10.1002/14651858.CD001447.pub3
- ↑ «FDA approves drug to treat ALS». U.S. Food and Drug Administration. 5 de maio de 2017. Cópia arquivada em 8 de maio de 2017.
The efficacy of edaravone for the treatment of ALS was demonstrated in a six-month clinical trial conducted in Japan. At Week 24, individuals receiving edaravone declined less on a clinical assessment of daily functioning compared to those receiving a placebo
- ↑ a b Hobson, EV; McDermott, CJ (Setembro de 2016). «Supportive and symptomatic management of amyotrophic lateral sclerosis.». Nature Reviews. Neurology. 12 (9): 526–38. PMID 27514291. doi:10.1038/nrneurol.2016.111
- ↑ a b c Kiernan, MC; Vucic, S; Cheah, BC; Turner, MR; Eisen, A; Hardiman, O; Burrell, JR; Zoing, MC (12 de março de 2011). «Amyotrophic lateral sclerosis.». Lancet. 377 (9769): 942–55. PMID 21296405. doi:10.1016/s0140-6736(10)61156-7
- ↑ «Motor neurone disease». NHS Choices. Consultado em 2 de janeiro de 2015. Cópia arquivada em 29 de dezembro de 2014
- ↑ «Epidemiology of Sporadic ALS». Consultado em 2 de janeiro de 2015. Cópia arquivada em 3 de janeiro de 2015
- ↑ a b Rowland LP (Março de 2001). «How amyotrophic lateral sclerosis got its name: the clinical-pathologic genius of Jean-Martin Charcot». Arch. Neurol. 58 (3): 512–5. PMID 11255459. doi:10.1001/archneur.58.3.512
- ↑ Kelly, Evelyn B. (2013). Encyclopedia of human genetics and disease. Santa Barbara, Calif.: Greenwood. pp. 79–80. ISBN 978-0-313-38713-5. Cópia arquivada em 8 de setembro de 2017
- ↑ Youngson, David B. Jacoby, Robert M. (2004). Encyclopedia of family health 3rd ed. Tarrytown, NY: Marshall Cavendish. p. 1256. ISBN 978-0-7614-7486-9. Cópia arquivada em 8 de setembro de 2017
- ↑ Song, P (Agosto de 2014). «The Ice Bucket Challenge: The public sector should get ready to promptly promote the sustained development of a system of medical care for and research into rare diseases.». Intractable & rare diseases research. 3 (3): 94–6. PMC 4214244
. PMID 25364651. doi:10.5582/irdr.2014.01015
- ↑ Exposure to pesticides and risk of amyotrophic lateral sclerosis: a population-based case-control study.By Bonvicini F, Marcello N, Mandrioli J, Pietrini V, Vinceti M. In Ann Ist Super Sanita. 2010; 46(3):284-7.Link PubMed
- ↑ Pesticide exposure as a risk factor for amyotrophic lateral sclerosis: A meta-analysis of epidemiological studies: Pesticide exposure as a risk factor for ALS. By Malek AM, Barchowsky A, Bowser R, Youk A, Talbott EO. In Environ Res. 2012 Aug; 117:112-9. Link PubMed
- ↑ Are environmental exposures to selenium, heavy metals, and pesticides risk factors for amyotrophic lateral sclerosis?. By Vinceti M, Bottecchi I, Fan A, Finkelstein Y, Mandrioli J. In Rev Environ Health. 2012; 27(1):19-41. Link PubMed
- ↑ Pesticide exposure and amyotrophic lateral sclerosis. By Kamel F, Umbach DM, Bedlack RS, Richards M, Watson M, Alavanja MC, Blair A, Hoppin JA, Schmidt S, Sandler DP. In Neurotoxicology. 2012 Jun; 33(3):457-62. Link PubMed
- ↑ Swinnen, Bart; Robberecht, Wim (novembro de 2014). «The phenotypic variability of amyotrophic lateral sclerosis». Nature Reviews Neurology (em inglês). 10 (11): 661–670. ISSN 1759-4758. doi:10.1038/nrneurol.2014.184
- ↑ Brenner, David; Weishaupt, Jochen H. (outubro de 2019). «Update on amyotrophic lateral sclerosis genetics:». Current Opinion in Neurology (em inglês). 32 (5): 735–739. ISSN 1350-7540. doi:10.1097/WCO.0000000000000737
- ↑ Trilico, Matheus Luis Castelan; Lorenzoni, Paulo José; Kay, Cláudia Suemi Kamoi; Ducci, Renata Dal Pra; Fustes, Otto Jesus Hernandez; Werneck, Lineu Cesar; Scola, Rosana Herminia (2 de abril de 2020). «Characterization of the amyotrophic lateral sclerosis-linked P56S mutation of the VAPB gene in Southern Brazil». Amyotrophic Lateral Sclerosis and Frontotemporal Degeneration (em inglês). 21 (3-4): 286–290. ISSN 2167-8421. doi:10.1080/21678421.2020.1738495
- ↑ «Most movements are actually generated in the spinal cord». Tech Explorist (em inglês). 22 de setembro de 2019. Consultado em 23 de setembro de 2019
- ↑ O que é a doença rara que provocou o desafio do balde de gelo, Observador (20-08-2014), página visitada a 21 de agosto 2014
