Criptas de Lieberkühn


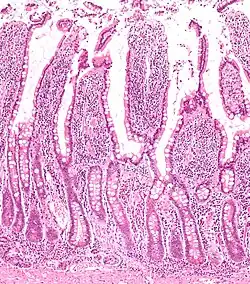
Criptas de Lieberkühn ou criptas intestinais são glândulas tubulares simples encontradas entre as vilosidades da parede do intestino delgado e intestino grosso (colon). Secretam diversas enzimas, como sucrase e maltase, e possuem células especializadas na produção de hormônios e enzimas de defesa.[1]
Possuem epitélio simples colunar e fazem parte da camada mucosa do intestino.
Células
Possuem três tipos de células principais[2]:
- Célula enteroendócrina: Produz hormônios que controlam a atividade e regulam o PH do intestino como secretina, motilina,colecistoquinina e peptídio inibidor gástrico;
- Célula de Paneth: Produz substâncias que matam bactérias e fungos como lisozimas e defensinas alfa. Cerca de 20 por cripta;
- Célula caliciforme: Secretam muco lubrificante com mucina.
Patologias
As criptas podem ser lesionadas em:
- Doenças inflamatórias do intestino (por exemplo, colite ulcerativa, doença de Crohn);
- Colite infecciosa persistente e;
- Colite isquêmica.
Referências
- ↑ «Cópia arquivada». Consultado em 12 de outubro de 2013. Arquivado do original em 1 de agosto de 2013
- ↑ http://medcell.med.yale.edu/histology/gi_tract_lab/crypts_of_lieberkuhn.php