Cordoma

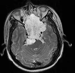
Extenso cordoma de base de crânio (massa branca na imagem) em paciente homem de 17 anos em imagem produzida por ressonância magnética.

Cordomas são tumores malignos de crescimento lento, que se formam como remanescentes da notocorda. Um terço se forma na base do crânio, podendo também se formar na região lombossacral.[1][2] Histologicamente, são benignos, mas apresentam comportamento maligno por serem invasivos e por sua capacidade de metástase.

O cordoma é um tipo raro de câncer. Os cordomas representam 1-4% de todos os tumores malignos dos ossos diagnosticados anualmente e aproximadamente 20% dos tumores primários da espinha dorsal. Com uma incidência aproximada de 1 caso para cada 1.000.000 de pessoas [3], a doença é considerada rara, especialmente quando comparada a outros tipos mais comuns de câncer, como o cancer de mama, que atinge 437,4 mulheres para cada 1.000.000[4], ou o câncer de próstata, que atingirá 269,5 homens em cada 1.000.000.[5]

Diagnóstico

Os cordomas geralmente são localizados por exames de imagem, como tomografia computadorizada ou ressonância magnética, mas somente com exames de imagem é impossível diferenciar o coroam de outras neoplasias, sendo necessária uma biópsia. Dependendo da localização da lesão a biopsia poderá não ser possível ou ser possível apenas após a remoção do tecido em procedimento cirúrgico.[6]

Tratamento

Ainda não existe um protocolo estabelecido para o tratamento do cordoma, mas desde 2015 os profissionais de saúde possuem um conjunto de guias para a eleição do melhor tratamento disponível.[7] Geralmente o curso de tratamento é iniciado com a ressecção cirúrgica da lesão, tendo como meta a remoção completa do tumor com margens. Quando a cirurgia não é possível ou a remoção é subtotal pode ser indicado o uso de radioterapia.

Atualmente não existem drogas aprovadas para o tratamento do cordoma, mas algumas medicações utilizadas para o tratamento de outros tipos de câncer tem sido aplicadas com resultados variados na clínica e em ensaios científicos:

Pemetrexede dissódico (Alimta) - 14% de resposta média e sobrevida livre de progressão de 10.5 meses.[8]

Pembrolizumabe (Keyutuda) - 12% de resposta média e sobrevida livre de progressão de 6.5 meses.[9]

Apatinibe (Trastuzumabe) - 3% de resposta média e sobrevida livre de progressão de 18 meses.[10]

Imatinibe (Gleevec) - 2% de resposta média e sobrevida livre de progressão de 9.2 meses.[11]

Cultura e sociedade

Em fevereiro de 2024 o ator norte-americano Gary Sinise noticiou que seu filho McCanna "Mac" Anthony Sinise, de 33 anos, morreu em decorrência de um cordoma na coluna que se metastizou.[12][13] Em agosto do mesmo ano, o ator anunciou a criação do fundo Moving Ahead for Cures (MAC) em parceria com a organização não governamental Chordoma Foundation para beneficiar até 100 pacientes portadores da doença. O fundo foi inaugurado com uma doação de um milhão de dólares da família Sinise juntamente com seus amigos Terri Yontz Miller, George Joseph, Jim Courter, e a Bob & Dolores Hope Foundation.[14]

Referências

  1. Scielo. Cordoma torácico.
  2. MOORE, Keith L.; PERSAUD, T. V. N. Embriologia Básica. 7ª ed. Pg. 237.
  3. «Chordoma - Symptoms, Causes, Treatment | NORD». rarediseases.org (em inglês). Consultado em 7 de julho de 2024 
  4. Instituto Nacional do Câncer. «Dados e números sobre o câncer de mama.» (PDF) 
  5. «CÂNCER DE PRÓSTATA». Janssen Brasil. Consultado em 7 de julho de 2024 
  6. «Symptoms and diagnosis». Chordoma Foundation (em inglês). Consultado em 7 de julho de 2024 
  7. «The Lancet Oncology. Building a global consensus approach to chordoma: a position paper from the medical and patient community.». Fevereiro de 2015.  Verifique data em: |data= (ajuda)
  8. Kesari, Santosh; Wagle, Naveed; Carrillo, Jose A.; Sharma, Akanksha; Nguyen, Minhdan; Truong, Judy; Gill, Jaya M.; Nersesian, Raffi; Nomura, Natsuko (17 de janeiro de 2024). «Pilot Study of High-Dose Pemetrexed in Patients with Progressive Chordoma». Clinical Cancer Research: An Official Journal of the American Association for Cancer Research (2): 323–333. ISSN 1557-3265. PMID 38047868. doi:10.1158/1078-0432.CCR-23-2317. Consultado em 7 de julho de 2024 
  9. Blay, Jean-Yves; Chevret, Sylvie; Le Cesne, Axel; Brahmi, Mehdi; Penel, Nicolas; Cousin, Sophie; Bertucci, Francois; Bompas, Emmanuelle; Ryckewaert, Thomas (agosto de 2023). «Pembrolizumab in patients with rare and ultra-rare sarcomas (AcSé Pembrolizumab): analysis of a subgroup from a non-randomised, open-label, phase 2, basket trial». The Lancet. Oncology (8): 892–902. ISSN 1474-5488. PMID 37429302. doi:10.1016/S1470-2045(23)00282-6. Consultado em 7 de julho de 2024 
  10. Liu, Chao; Jia, Qi; Wei, Haifeng; Yang, Xinghai; Liu, Tielong; Zhao, Jian; Ling, Yan; Wang, Chenguang; Yu, Hongyu (setembro de 2020). «Apatinib in patients with advanced chordoma: a single-arm, single-centre, phase 2 study». The Lancet. Oncology (9): 1244–1252. ISSN 1474-5488. PMID 32888455. doi:10.1016/S1470-2045(20)30466-6. Consultado em 7 de julho de 2024 
  11. Stacchiotti, Silvia; Longhi, Alessandra; Ferraresi, Virginia; Grignani, Giovanni; Comandone, Alessandro; Stupp, Roger; Bertuzzi, Alexia; Tamborini, Elena; Pilotti, Silvana (20 de março de 2012). «Phase II Study of Imatinib in Advanced Chordoma». Journal of Clinical Oncology (em inglês) (9): 914–920. ISSN 0732-183X. doi:10.1200/JCO.2011.35.3656. Consultado em 7 de julho de 2024 
  12. «Filho de Gary Sinise, estrela de 'Forrest Gump', morre aos 33 anos após luta contra câncer raro». www.correiobraziliense.com.br. Consultado em 13 de agosto de 2024 
  13. «Filho de Gary Sinise, estrela de 'Forrest Gump', morre aos 33 anos após luta contra câncer raro». Estadão. Consultado em 13 de agosto de 2024 
  14. «Moving Ahead for Cures (MAC) Fund: The Mac Sinise Fund to Accelerate…». Chordoma Foundation (em inglês). Consultado em 13 de agosto de 2024