Mieloma múltiplo

Mieloma múltiplo
SinónimosMieloma de células plasmática, mielomatose, doença de Kahler
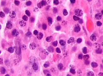
Micrografia de um plasmacitoma (coloração H&E)
EspecialidadeHematologia e oncologia
SintomasDor óssea, hemorragias, infeções frequentes, anemia[1]
ComplicaçõesAmiloidose, insuficiência renal, sangue espesso[1][2]
DuraçãoCrónica[2]
CausasDesconhecidas[3]
Fatores de riscoAlcoolismo, obesidade[4]
Método de diagnósticoAnálises ao sangue ou à urina, mielograma, exames imagiológicos[5]
TratamentoEsteroides, quimioterapia, talidomida, transplante de medula óssea, bifosfonatos, radioterapia[5][2]
PrognósticoTaxa de sobrevivência a 5 anos: 49% (EUA)[6]
Frequência488 200 (afetados durante 2015)[7]
Mortes101 100 (2015)[8]
Classificação e recursos externos
CID-11e 526287100 XH4XA9 e 2A83.1
CID-10C90.0
CID-9203.0
CID-CID-O9732/3
OMIM254500
DiseasesDB8628
MedlinePlus000583
eMedicinemed/1521
MeSHD009101
A Wikipédia não é um consultório médico. Leia o aviso médico 

Mieloma múltiplo é o cancro dos plasmócitos, um tipo de glóbulos brancos normalmente responsável pela produção de anticorpos.[5] Em muitos casos, nos estádios iniciais da doença não se manifestam sintomas.[1] À medida que a doença avança, os possíveis sintomas são dor óssea, infeções frequentes e anemia.[1] Entre as complicações está a amiloidose.[2]

Desconhece-se a causa da doença.[3] Entre os fatores de risco estão o consumo de bebidas alcoólicas, obesidade, exposição a radiação, antecedentes familiares e exposição a determinadas substâncias químicas.[4][9][10] O mecanismo subjacente envolve plasmócitos anormais que produzem anticorpos anormais que podem causar insuficiência renal e sangue excessivamente espesso.[1] Os plasmócitos podem também formar uma massa na medula óssea ou tecidos moles.[1] Quando apenas está presente uma massa, a doença é denominada plasmacitoma. Nos casos em existem várias massas é denominada "mieloma múltiplo".[1] Para o diagnóstico de mieloma múltiplo podem ser realizadas análises ao sangue ou à urina para detectar a presença de anticorpos anormais, mielogramas para detectar plasmócitos cancerosos e exames imagiológicos para detectar lesões nos ossos.[5] Em muitos casos verificam-se níveis elevados de cálcio no sangue.[5]

O mieloma múltiplo é tratável, embora seja geralmente incurável.[2] A remissão da doença é possível com esteroides, quimioterapia, talidomida, lenalidomida ou transplante de medula óssea.[2] Em alguns casos podem ser usados bifosfonatos e radioterapia para diminuir a dor das lesões nos ossos.[5][2]

Em 2015, o mieloma múltiplo afetava 488 000 pessoas em todo o mundo e foi a causa de 101 000 mortes.[7][8] Nos Estados Unidos, a doença desenvolve-se em cerca de 6,5 em cada 100 000 pessoas por ano, afetando 0,7% das pessoas em determinado momento da vida.[6] A idade de diagnóstico mais comum são os 61 anos. A doença é mais comum entre homens do que entre mulheres.[5] Sem tratamento, a sobrevivência é em média de sete meses.[2] Com os tratamentos atuais, a sobrevivência é geralmente de 4–5 anos.[2] A taxa de sobrevivência a cinco anos é de cerca de 49%.[6] O termo "mieloma" tem origem no grego myelo-, que significa "medula", e -oma que significa "tumor".[11]

Sinais e Sintomas

Alterações Ósseas

A destruição óssea acentuada ocasionada pelos plasmócitos neoplásicos leva, com freqüência, a dores ósseas, fraturas patológicas, hipercalcemia e anemia.[12]

Infecções

Podem ocorrer infecções recorrentes, em parte devido à produção diminuída de imunoglobulinas normais, contrastando com o excesso do componente monoclonal anormal.

Insuficiência Renal

As imunoglobulinas monoclonais e proteínas de cadeia leve causam dano aos túbulos renais causando proteinúria e hematúria.

Anemia

A anemia pode ser ocasionada tanto pela infiltração neoplásica da medula óssea quanto pela diminuição dos níveis de eritropoetina em decorrência da insuficiência renal.

Sintomas neurológicos

Radiculopatia, visão borrosa e dor de cabeça são as complicações neurológicas mais comuns, causadas pelo aumento da viscosidade sanguínea. Outros sintomas incluem confusão mental, perda de controle da bexiga, paralisia das pernas e dor na mãos (síndrome do túnel do carpo). A neuropatia também pode ser um efeito adverso da quimioterapia.

Causas

Esta doença em geral desenvolve-se a partir de uma condição pré-maligna assintomática chamada gamopatia monoclonal de significado indeterminado (GMSI). A GMSI é identificável em cerca de 3% da população acima dos 50 anos. Esta condição evolui para mieloma múltiplo na taxa de cerca de 1% ao ano.[13]

Em alguns pacientes, é identificável uma condição intermediária, também assintomática, porém num estágio pré-maligno mais avançado, denominada mieloma múltiplo smoldering.[14]

Diagnóstico

Eletroforese de proteínas indicando gamapatia monoclonal, ou seja, superprodução de um único tipo de imunoglobulinas

Deve-se suspeitar mieloma em pacientes com anemia normocítica, insuficiência renal, dor óssea e calcemia elevada. Exames de imagem pode detectar complicações como deformação óssea. A aspiração da medula óssea com agulha longa para biópsia tem valor prognóstico. Electroforese indica um grande aumento nas imunoglobulinas (gamapatia monoclonal) geralmente IgG ou com menos frequência IgA e IgM. A confirmação diagnóstica é feita buscando as proteínas M ou beta-2-microglobulina, ambas produzidas pelas células do mieloma, e que informam sobre a agressividade do mieloma.[15]

Outros exames de sangue úteis incluem[15]:

  • Função renal (síndrome nefrítico),
  • Contagem de células sanguíneas (está elevado),
  • Níveis de cálcio sérico (está elevado),
  • Níveis de ácido úrico (está elevado),
  • Proteína de Bence Jones (proteína M na urina).

Tratamento

O tratamento consiste em quimioterapia, esteroides, imunoterapia, transplante de células-tronco hematopoiéticas e radioterapia. A bioterapia com talidomida, lenalidomida ou pomalidomida tem se tornado muito eficiente na remissão deste tipo de neoplasia. Raramente há cura, sendo o prognóstico frequentemente desfavorável, com sobrevivência de apenas 35% em 5 anos após o começo dos sintomas.[16]

Atualmente, o tratamento do mieloma múltiplo pode ser realizado em uma combinação com várias classes de drogas, tais como:

  • Inibidores de Proteassoma;
  • Imunomoduladores (IMIDs);
  • Inibidores da Histona Desacetilase (HDAC).

Ligações externas

Referências

  1. a b c d e f g «Plasma Cell Neoplasms (Including Multiple Myeloma)—Patient Version». NCI. Consultado em 8 de agosto de 2016. Cópia arquivada em 27 de julho de 2016 
  2. a b c d e f g h i «Plasma Cell Neoplasms (Including Multiple Myeloma) Treatment (PDQ®)–Health Professional Version». NCI. 29 de julho de 2016. Consultado em 8 de agosto de 2016. Cópia arquivada em 4 de julho de 2016 
  3. a b World Cancer Report 2014. [S.l.]: World Health Organization. 2014. pp. Chapter 5.13. ISBN 9283204298 
  4. a b World Cancer Report 2014. [S.l.]: World Health Organization. 2014. pp. Chapter 2.3 and 2.6. ISBN 9283204298 
  5. a b c d e f g Raab MS, Podar K, Breitkreutz I, Richardson PG, Anderson KC (julho de 2009). «Multiple myeloma». Lancet. 374 (9686): 324–39. PMID 19541364. doi:10.1016/S0140-6736(09)60221-X 
  6. a b c «SEER Stat Fact Sheets: Myeloma». NCI Surveillance, Epidemiology, and End Results Program. Consultado em 8 de agosto de 2016. Cópia arquivada em 27 de julho de 2016 
  7. a b GBD 2015 Disease and Injury Incidence and Prevalence, Collaborators. (8 de outubro de 2016). «Global, regional, and national incidence, prevalence, and years lived with disability for 310 diseases and injuries, 1990-2015: a systematic analysis for the Global Burden of Disease Study 2015.». Lancet. 388 (10053): 1545–1602. PMC 5055577Acessível livremente. PMID 27733282. doi:10.1016/S0140-6736(16)31678-6 
  8. a b GBD 2015 Mortality and Causes of Death, Collaborators. (8 de outubro de 2016). «Global, regional, and national life expectancy, all-cause mortality, and cause-specific mortality for 249 causes of death, 1980-2015: a systematic analysis for the Global Burden of Disease Study 2015.». Lancet. 388 (10053): 1459–1544. PMC 5388903Acessível livremente. PMID 27733281. doi:10.1016/s0140-6736(16)31012-1 
  9. «Plasma Cell Neoplasms (Including Multiple Myeloma) Treatment». National Cancer Institute (em inglês). Consultado em 28 de novembro de 2017 
  10. Ferri, Fred F. (2013). Ferri's Clinical Advisor 2014 E-Book: 5 Books in 1 (em inglês). [S.l.]: Elsevier Health Sciences. p. 726. ISBN 0323084311 
  11. Diepenbrock, Nancy H. (2011). Quick Reference to Critical Care (em inglês). [S.l.]: Lippincott Williams & Wilkins. p. 292. ISBN 9781608314645. Cópia arquivada em 21 de agosto de 2016 
  12. «O que é Mieloma Múltiplo? Mieloma é câncer?». Abrale. Consultado em 29 de julho de 2025 
  13. Kyle RA, Therneau TM, Rajkumar SV; et al. (2002). «A long-term study of prognosis of monoclonal gammopathy of undetermined significance». N Eng J Med. 346: 564-569 
  14. Kyle RA, Remstein ED, Therneau TM; et al. (2007). «Clinical course and prognosis of smoldering (asymptomatic) multiple myeloma». N Eng J Med. 346: 564-569 
  15. a b Mayo Clinic Staff. Multiple myeloma - Diagnosis. http://www.mayoclinic.org/diseases-conditions/multiple-myeloma/basics/tests-diagnosis/con-20026607
  16. Seiter, K; Shah, D; Chansky, HA; Gellman, H; Grethlein, SJ; Krishnan, K; Rizvi, SS; Schmitz, MA; Talavera, F; Thomas, LM (23 December 2013). Besa, EC, ed. "Multiple Myeloma Treatment & Management". Medscape Reference.