Apoplexia pituitária

Apoplexia pituitária
Posição da glândula pituitária (ou hipófise)
EspecialidadeEndocrinologia
SintomasHipopituitarismo, visão dupla, insuficiência adrenocortical aguda
CausasEnfarte ou hemorragia súbita da hipófise
Método de diagnósticoHemorragia subaracnoidea, meningite, encefalite, trombose do seio cavernoso, tumores selares e parasselares
TratamentoCirúrgica em médio prazo ou medidas de apoio imediatas e abordagem conservadora
Classificação e recursos externos
CID-10E23.6
CID-9253.8
DiseasesDB10049
MedlinePlus001167
eMedicineoph
MeSHD010899
A Wikipédia não é um consultório médico. Leia o aviso médico 

A apoplexia pituitária é um enfarte ou uma hemorragia súbita da glândula pituitária, na presença dum adenoma pituitário. O sintoma inicial mais comum é uma súbita dor de cabeça, muitas vezes associada a um rápido agravamento do campo de visão e visão dupla causada pela compressão dos nervos que correm em estreita proximidade com a glândula. Normalmente, em muitos casos, pode-se constatar sintomas agudos causados por falta de secreção de hormonas essenciais, predominantemente insuficiência adrenal.[1]

O diagnóstico é feito mediante ressonância magnética sendo o método com maior acuidade, que permite a confirmação do diagnóstico em 90% dos casos. O estudo da tomografia computadorizada do crânio e a análise microbiótica do líquido cefalorraquidiano podem apresentar resultados negativos. O tratamento consiste na correção tempestiva das deficiências hormonais e, em muitos casos, é necessária uma descompressão cirúrgica. Muitos indivíduos que tenham tido apoplexia pituitária desenvolvem deficiência de hormonas hipofisárias, e necessitam de subministração terapêutica para reposição hormonal a longo prazo. O primeiro caso registado da doença data de 1898.[1]

Epidemiologia e contexto histórico

O primeiro caso de apoplexia pituitária descrito tem sido atribuído ao neurologista americano Pearce Bailey, em 1898.[2][3] Em 1905 foi feito um novo relatório por parte do médico alemão Bleibtreu.[4][5] A abordagem cirúrgica foi descrita em 1925.[3][6]

A apoplexia pituitária é rara.[1] Mesmo em pessoas que se saiba terem um tumor pituitário, apenas 0,6%-10% sofrem de apoplexia; o risco é maior nos tumores de grandes dimensões.[7] Com base numa extrapolação dos dados existentes, estima-se que existam 18 casos de apoplexia pituitária para cada milhão de pessoas todos os anos; o número real é provavelmente inferior.[8]

A idade média de insurgência desta condição é de 50 anos, com casos reportados em indivíduos entre os 15 e os 90 anos.[8] Existe maior incidência de casos em homens do que em mulheres,[7] com uma relação masculino/feminino de 1.6.[4]

Antes da introdução do uso de esteroides, a taxa de mortalidade de apoplexia pituitária era de aproximadamente 50%.[4]

Etiologia

Quase todos os casos de apoplexia pituitária surgem a partir de um adenoma hipofisário, um tumor benigno da glândula pituitária. Em 80% dos casos, o paciente tem consciência de padecer desta condição.[1] Dantes pensava-se que alguns tipos específicos de tumores pituitários fossem mais propensos a levar à apoplexia do que outros, mas isto ainda não pôde ser confirmado.[7] Em termos absolutos, apenas uma pequena parte dos tumores hipofisários, influenciaram de facto, o surgimento dum acidente vascular cerebral. Numa meta-análise sobre os tumores pituitários, constatou-se a condição de apoplexia com uma prevalência anual de 0,2%, e o risco era ainda maior em tumores com dimensão superior a 10 mm ("macroadenomas") e em tumores que cresceram mais rapidamente; no entanto, nem todas estas correlações atingiram a significância estatística.[9]

A maioria dos casos (60% a 80%) não estão relacionados a uma causa particular. Um quarto dos pacientes apresenta uma história familiar de hipertensão,[1] mas este é um problema comum na população em geral, pelo que não é claro se de facto aumenta significativamente o risco de apoplexia.[10] Têm sido reportados um determinado número de casos em associação com condições e situações específicas, mas não é certo se são essas a causa.[10] Entre as associações reportadas estão a cirurgia major (em particular, o bypass da artéria coronária), distúrbios de coagulação sanguínea ou toma duma determinada medicação que iniba a coagulação, radioterapia da glândula, um traumatismo crânio-encefálico, gravidez (durante se assiste a uma hipertrofia da hipófise) e terapêutica com estrogénio oral. Outros factores precipitantes de apoplexia hipofisária acredita-se poderem estar correlacionados com testes dinâmicos de função ante‐hipofisária com GnRH, TRH e CRH. Para além disso, a terapêutica dos prolactinomas (adenomas hipofisários que secretam prolactina) com drogas agonistas da dopamina, bem como a interrupção de tal terapia pode também contribuir para uma maior predisposição à hemorragia intramural.[1][4][7]

Clínica

Sintomas agudos

Vista inferior do encéfalo humano com emersão dos nervos cranianos. A compressão dalguns deles, devido à apoplexia pituitária, provoca alguns sintomas

Os sintomas iniciais da apoplexia pituitária estão relacionados com o aumento da pressão interna e externa da glândula pituitária (hipertensão intrasselar). O sintoma mais comum, em mais de 95% dos casos, é a cefaleia súbita retro-orbitária, bifrontal ou difusa (atrás dos olhos ou ao redor das têmporas), geralmente acompanhada por náuseas e vómitos.[1][7][11] Por vezes, a presença de sangue provoca irritação das meninges, que revestem o cérebro, podendo manifestar-se com a rigidez da nuca e intolerância à luz intensa, bem como com uma diminuição do nível de consciência.[1][7][11] Isto ocorre em 24% dos casos.[4]

A pressão sobre a parte do nervo óptico conhecido como o quiasma, que se encontra acima da glândula, pode provocar hemianopsia bitemporal, ou a perda de visão no lado externo do campo de visão de ambos os lados, correspondentes às áreas da retina servidas destas fibras nervosas; isto reflecte-se em 75% dos casos.[1] A acuidade visual é reduzida para metade, e mais de 60% dos casos apresenta um defeito do campo visual. A perda visual depende de qual parte do nervo é afetado. Se a parte do nervo entre o olho e o quiasma for comprimida, dá-se a perda de visão num olho. Se, em vez disso for comprimida a porção posterior do quiasma, pode ocorrer a perda de visão num lado do campo de visão.[7]

Adjacente a glândula pituitária, encontra-se uma parte da base do crânio conhecida como seio cavernoso, que contém uma série de nervos que controlam os músculos do olho. A compressão de um destes nervos é a causa de 70% dos problemas de visão dos afectados pela apoplexia pituitária. Em cerca de metade destes casos, os nervos oculomotores (o terceiro nervo craniano), que controla um determinado número de músculos oculares, são afetados. O seio cavernoso contém também a artéria carótida, que fornece sangue ao cérebro, cuja compressão pode provocar fraqueza muscular unilateral e outros sintomas típicos dum acidente vascular cerebral.[1][7][4]

Principais manifestações clínicas da apoplexia pituitária[12]
Manifestação clínica Percentual
Dor de cabeça 90%-100%
Náusea, vómito 40%-80%
Diminuição da visão 45%-90%
Defeitos do campo de visão 40%-75%
Oftalmoplegia 50%-80%
Alteração do estado de consciência 5%-40%
Febre 10%-25%
Sinais meníngeos 5%-15%
Manifestações clínicas da apoplexia pituitária em relação à compressão de estruturas anatómicas, causada pela expansão do tumor[12]
Sintomas de compressão Estruturas comprimidas Direcção da expansão do tumor
Defeitos no campo de visão, cegueira Percursos ópticos Para cima
Disfunção autonómica Hipotálamo Para cima
Anosmia, Hiposmia Nervo olfativo Para cima
Epistaxe, rinorreia cerebro-espinhal Seio esfenoidal Para cima
Proptose, edema palpebral Seio cavernoso Lateral
Hemiplegia, alteração sensorial Artéria carótida interna Lateral
Ptose, defeito pupilar, oftalmoplegia Nervo patético e nervo abducente Lateral
Dor facial, insensibilidade da córnea Nervo trigémio Lateral

Disfunção endócrina

Disfunção endócrina na apoplexia pituitária[12]
Disfunção endócrina Percentual
Hipopituitarismo 45%-80%
Insuficiência suprarrenal 60%-75%
Hipotiroidismo 50%-80%
Hipogonadismo 40%-80%
Défice da hormona do crescimento 90%
Diabetes insípido 5%-20%
Hiponatremia 40%

A glândula pituitária é constituída por duas partes: a parte anterior e a posterior. Ambas as partes libertam hormonas que controlam vários outros órgãos. Na apoplexia pituitária, o principal problema inicial reside numa falta de secreção da hormona adrenocorticotrófica (ACTH, corticotropina), que estimula a secreção do cortisol por parte da glândula supra-renal. Isto ocorre em 70% dos pacientes que sofrem de apoplexia pituitária. A súbita falta de cortisol no organismo leva a uma constelação de sintomas chamada de "crise adrenal" ou "crise de Addison" (após uma complicação da doença de Addison, a principal causa da insuficiência adrenal e níveis baixos de cortisol).[1] Os principais problemas estão na baixa pressão sanguínea (principalmente quando em pé), baixos níveis de açúcar no sangue (o que pode levar ao coma) e dor abdominal. A hipotensão pode ser letal e requer atenção médica imediata.[13]

Em cerca de 40% dos casos, pode-se constatar hiponatremia – um nível invulgarmente baixo de sódio no sangue que pode causar confusão e convulsões. Isto pode ser causado por níveis baixos de cortisol ou pela secreção inapropriada da hormona antidiurética (ADH) da parte posterior da glândula pituitária.[1] Podem desenvolver-se muitas outras deficiências hormonais na fase subaguda: 50% apresenta uma deficiência de hormonas estimulantes da tiroide (TSH), o que envolve sintomas característicos de hipotiroidismo, tais como fadiga, aumento do peso e intolerância ao frio; 75% desenvolvem deficiência de gonadotrofinas (LH e FSH), que controlam as glândulas hormonais e reprodutivas, provocando interrupção do ciclo menstrual, infertilidade e diminuição da libido.[1]

Diagnóstico

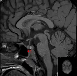
Típica glândula pituitária vista por ressonância magnética (sagital T1 sem meio de contraste). A seta indica a glândula pituitária posterior (sinais fortes) e a ponta da seta a glândula pituitária anterior

O exame comprobatório gold standard para diagnóstico da apoplexia pituitária é a ressonância magnética, que tem uma sensibilidade superior a 90% para detectar a doença, podendo identificar isquemia (dano tecidual devido à redução do suprimento sanguíneo) ou hemorragia.[1] Podem ser utilizadas várias sequências de ressonância magnética para determinar a ocorrência e a proporção da lesão (hemorragia ou isquemia).[7] Se a ressonância magnética não for indicada (por exemplo, se o paciente se encontra gravemente claustrofóbico ou se tiver implantes que contenham metal), a tomografia computadorizada pode demonstrar anomalias na glândula pituitária, não obstante a falta de fiabilidade.[1]Grande parte dos tumores hipofisários (25%) são detectados graças à individualização, na ressonância, das zonas do enfarte hemorrágico, porém a apoplexia não pode ser diagnosticada se não estiver acompanhada de sintomas.[1][4]

Nalguns casos, pode ser necessário recorrer à punção lombar se houver suspeitas de que os sintomas são causados por outros problemas como a meningite ou hemorragia subaracnoidea. Isto permite a análise do líquido céfalo-raquidiano que envolve o cérebro e a medula espinhal, na qual a amostra é possível obter-se com uma agulha inserida na coluna vertebral (a nível lombar), sob anestesia local. Na apoplexia pituitária, geralmente os valores são normais, apesar de poderem ser detectadas anomalias caso o sangue libertado pela hipófise entrar para o espaço subaracnoideo.[7][4] Se não houverem dúvidas sobre a possibilidade de hemorragia subaracnoide, pode ser necessária a realização duma angiografia por ressonância magnética (com meio de contraste) para identificar aneurismas nos vasos sanguíneos do cérebro que representam a causa mais comum de hemorragia subaracnoidea.[14]

Em caso de suspeita ou confirmação de apoplexia pituitária recomenda-se a realização de exame ao sangue, exame hemocromocitométrico completo, exame de uréia (medindo a função renal, geralmente feito em conjunto com a creatinina), de eletrólitos (sódio e potássio), exames à função hepática e exame de coagulograma de rotina. Devem ser também identificados os valores da hormona do crescimento, prolactina, hormona luteinizante, hormona folículo-estimulante, hormona estimulante da tiroide, hormonas da tiroide, testosterona nos homens e estradiol nas mulheres.[1]

Depois do diagnóstico recomenda-se que seja feito um exame ao campo visual o mais rápido possível.[1][4] Se se constatar coenvolvimento do nervo óptico, pode-se considerar a possibilidade dum tratamento cirúrgico.[1]

Diagnóstico diferencial

Existem algumas condições médicas que podem ser diagnosticadas equivocadamente como apoplexia da glândula pituitária. Entre as principais cabe citar a meningite e a hemorragia subaracnoidea (causada pela ruptura dum aneurisma intra-craniano).[15][16]

O aparecimento súbito da dor de cabeça, paralisia ocular e alterações do estado mental, são os sintomas que na maioria das vezes fazem com que a apoplexia pituitária se pareça com a ruptura dum aneurisma intra-craniano, embora estes tendam a se desenvolver mais rapidamente neste último caso. O exame clínico mostra-se, por si só, insuficiente para realizar um diagnóstico correto.[17]

Outras doenças que se inserem no diagnóstico diferencial podem incluir a encefalopatia hipertensiva, cisto ou abscesso cerebral, estenose da artéria basilar, encefalite, neurite óptica, arterite temporal, trombose do seio cavernoso, enxaqueca oftalmoplégica e a presença duma hemorragia intra-cerebral.[18]

Tratamento

A primeira prioridade, quando é suspeita ou confirmada a apoplexia pituitária, é a estabilização do sistema circulatório . O défice de cortisol pode provocar hipotensão grave.[1][13] Dependendo da gravidade da doença, pode ser necessário recorrer a uma unidade de terapia intensiva.[1]

O tratamento da insuficiência adrenal aguda requer administração intravenosa da solução salina ou soluções de dextrose, com volumes superiores a dois litros para um adulto. Isto é seguido pela administração de hidrocortisona, que é um medicamento substituto do cortisol, por via intravenosa ou intramuscular.[4][13] A dexametasona tem propriedades semelhantes,[13] mas o seu uso não é recomendado, a menos que seja necessário reduzir o edema cerebral ao redor da zona da hemorragia.[1] Alguns pacientes não requerem a administração imediata de cortisol: neste caso, os níveis hemáticos de cortisol são determinados pelas 9:00 da manhã, pois os níveis variam ao longo do dia. Um nível abaixo de 550 nmol/l indica a necessidade de administração do medicamento.[1]

A decisão de descomprimir a glândula pituitária é complexa e depende principalmente da gravidade da perda visual e distorção no campo visual. Se a acuidade visual for muito reduzida, se existem deficiências importantes no campo visual ou o nível de consciência diminui constantemente, as directrizes recomendam intervenção cirúrgica.[1] Na maioria dos casos, as intervenções na glândula pituitária são realizadas através de cirurgia transesfenoidal. Neste processo, os instrumentos cirúrgicos são passados através do nariz para o osso esfenoide que é perfurado para dar acesso à cavidade que contém a glândula pituitária.[1][4] A cirurgia é geralmente a melhor estratégia para melhorar a capacidade visual.[4] A probabilidade de sucesso é maior se a cirurgia for realizada dentro de uma semana do início dos sintomas.[4][19]

Os pacientes com perda relativamente baixa do campo de visão podem ser controlados de forma moderada, com a observação cuidada do nível de consciência, do campo visual e com monitoramento constante dos resultados dos exames de sangue de rotina. Em caso de deterioração, ou se a melhora prevista não ocorrer, pode ser indicada cirurgia.[1][4] Se ocorrer apoplexia num tumor produtor de prolactina, pode ser necessário tratamento com agonistas dopaminérgicos.[4][19]

No fim do tratamento, os pacientes são inseridos num programa de acompanhamento a longo prazo por um endocrinologista. Se alguns tecidos cancerígenas permanecerem após a cirurgia, pode ter que ser indicada um nova cirurgia ou radioterapia com uma faca gama.[4]

Prognóstico

Numa ampla série de casos analisados, a taxa de mortalidade foi de 1,6%. No grupo de pacientes que necessitaram de intervenção cirúrgica, a taxa de mortalidade foi de 1,9%.[10]

Depois de um episódio de apoplexia pituitária, 80% das pessoas desenvolvem hipopituitarismo e requerem alguma forma de terapia de reposição hormonal. O problema mais comum é a deficiência da hormona do crescimento, que muitas vezes não é tratada; isso pode causar perda de massa e força muscular, obesidade e fadiga.[20] 60-80% requerem a administração de hidrocortisona (permanentemente ou quando necessário), 50-60% requerem substitutos da hormona da tireoide e 60-80% dos pacientes do sexo masculino necessitam de suplementos de testosterona. Finalmente, 10-25% desenvolvem diabetes insipidus, o que implica, devido à falta da hormona antidiurética hipofisária, a incapacidade do rim de concentrar a urina e se manifestar com poliúria. Este último problema pode ser tratado com o fármaco desmopressina, que pode ser aplicada na forma de um spray nasal ou tomado por via oral.[21]

Follow-up

Após a recuperação, as pessoas que sofreram de apoplexia pituitária requerem acompanhamento continuado (follow-up[nt 1]). Uma vez que muitos pacientes podem manter deficits endócrinos ao longo do tempo, é-lhes geralmente proposto realizar uma avaliação da função pituitária entre 4 e 8 semanas após a ocorrência, bem como um exame oftalmológico. Esta avaliação deve então ser repetida anualmente.[23]

Depois de 3 a 6 meses do episódio apoplético, recomenda-se a realização dum exame de ressonância magnética, que deve ser repetido anualmente nos primeiros 5 anos e que posteriormente pode então ser reduzido para a elaboração de exame bienalmente. Em qualquer caso, é altamente recomendável a todos os pacientes uma consulta especializada, preferencialmente endocrinológica e neurocirúrgica, a ser realizada anualmente.[23]

Notas

  1. O controlo clínico e radiográfico pós-tratamento tem recebido, entre os profissionais, as mais diversas denominações, inclusive a expressão inglesa follow-up que significa em português seguimento, acompanhamento. A junção do prefixo pro ("adiante") com o infinitivo servare (observar) daria o verbo proservare (proservar em português), que não se encontra registado, mas que poderia ser a fonte etimológica do substantivo proservação, que substitui, com muita propriedade, as demais expressões.[22]

Referências

  1. a b c d e f g h i j k l m n o p q r s t u v w x y z Rajasekaran S, Vanderpump M, Baldeweg S, et al. (janeiro de 2011). «UK guidelines for the management of pituitary apoplexy». Clin Endocrinol. 74 (1): 9–20. PMID 21044119. doi:10.1111/j.1365-2265.2010.03913.x 
  2. Bailey P (1898). «Pathological report of a case of akromegaly, with special reference to the lesions in the hypophysis cerebri and in the thyroid gland; and a case of haemorrhage into the pituitary». Phila Med J. 1: 789–92 
  3. a b Russell SJ, Klahr Miller K (2008). «Pituitary apoplexy». In: Swearingen B, Biller BM. Diagnosis and management of pituitary disorders. Totowa, NJ: Humana Press. p. 354. ISBN 1-58829-922-8 
  4. a b c d e f g h i j k l m n o p Nawar RN, AbdelMannan D, Selman WR, Arafah BM (março–abril de 2008). «Pituitary tumor apoplexy: a review». J. Intens. Care Med. 23 (2): 75–90. PMID 18372348. doi:10.1177/0885066607312992 
  5. Bleibtreu L (1905). «Ein Fall von Akromegalia (Zerstorung der Hypophysis durch Blutung)». Munch Med Wochenschr (em alemão). 41: 2079–80 
  6. Dott NM, Bailey P, Cushing H (1925). «A consideration of the hypophyseal adenomata». Br J Surg. 13: 314–66. doi:10.1002/bjs.1800135009 
  7. a b c d e f g h i j Murad-Kejbou S, Eggenberger E (novembro de 2009). «Pituitary apoplexy: evaluation, management, and prognosis». Current Opinion in Ophthalmology. 20 (6): 456–61. PMID 19809320. doi:10.1097/ICU.0b013e3283319061 
  8. a b Russell SJ, Miller K (2008). «Pituitary apoplexy». In: Swearingen B, Biller BM. Diagnosis and management of pituitary disorders. Totowa, NJ: Humana Press. 356 páginas. ISBN 1-58829-922-8 
  9. Fernández-Balsells MM, Murad MH, Barwise A, et al. (abril de 2011). «Natural history of nonfunctioning pituitary adenomas and incidentalomas: a systematic review and metaanalysis». J. Clin. Endocrinol. Metab. 96 (4): 905–12. PMID 21474687. doi:10.1210/jc.2010-1054 
  10. a b c Russell SJ, Miller K (2008). «Pituitary apoplexy». In: Swearingen B, Biller BM. Diagnosis and management of pituitary disorders. Totowa, NJ: Humana Press. 368 páginas. ISBN 1-58829-922-8 
  11. a b Melmed S, Jameson JL (2005). «Disorders of the anterior pituitary and hypothalamus». In: Kasper DL, Braunwald E, Fauci AS, et al. Harrison's Principles of Internal Medicine 16th ed. Nova Iorque: McGraw-Hill. pp. 2076–97. ISBN 0-07-139140-1 
  12. a b c Ranabir S. Baruah MP (2011). «Pituitary apoplexy». Indian J Endocrinol Metab (em inglês). PMID 22029023 
  13. a b c d de Herder WW, van der Lely AJ (maio de 2003). «Addisonian crisis and relative adrenal failure». Rev Endocr Metab Disord. 4 (2): 143–7. PMID 12766542. doi:10.1023/A:1022938019091 
  14. Post KD, Shiau JS, Walsh J; Loftus CM (2008). «Pituitary apoplexy». Neurosurgical Emergencies 2nd edition ed. [S.l.]: Thieme Publishing Group. p. 78–83. ISBN 3-13-135052-0. Nova Iorque 
  15. {citar publicação|autor=Lewin IG, Mohan J, Norman PF, Gibson RA, Francis JR|título=Pituitary apoplexy|revista=BMJ|ano=1998|pmid=3147059|língua=inglês}}
  16. Sergides IG, Minhas PS, Anotun N, Pickard JD (2009). «Pituitary apoplexy can mimic subarachnoid haemorrhage clinically and radiologically» (em inglês). PMID 21686571 
  17. Rolih CA, Ober KP (1993). «Pituitary apoplexy». Endocrinol Metab Clin North Am (em inglês). PMID 8325288 
  18. Chang CV, Felicio AC, Toscanini AC, Teixeira MJ, Cunha-Neto MB (2009). «Pituitary tumor apoplexy». Arq Neuropsiquiatr (em inglês). PMID 19547836 
  19. a b Adams CB; Wass JA, Shalet SM (2003). «The surgery of pituitary tumours». Oxford Textbook of Endocrinology and Diabetes. Oxford: Oxford University Press. p. 161–2. ISBN 0-19-263045-8 
  20. van Aken MO, Lamberts SW (2005). «Diagnosis and treatment of hypopituitarism: an update». Pituitary (em inglês). 8 (3-4): 183–91. PMID 16508719. doi:10.1007/s11102-006-6039-z 
  21. Jane JA Jr, Vance ML, Laws ER (2006). «Neurogenic diabetes insipidus». Pituitary (em inglês). 9 (4): 327–9. PMID 17080264. doi:10.1007/s11102-006-0414-7 
  22. SARAIVA, F.R.S. Dicionario latino-português, 9.ed. Rio de Janeiro, Liv. Garnier, 1993.
  23. a b Rajasekaran S, Vanderpump M, Baldeweg S, Drake W, Reddy N, Lanyon M, Markey A, Plant G, Powell M, Sinha S, Wass J (2011). «UK guidelines for the management of pituitary apoplexy». Clin endocrinol (em inglês). PMID 21044119 

Bibliografia

  • Russell SJ, Klahr Miller K; Swearingen B, Biller BM (2008). «Pituitary apoplexy». Diagnosis and management of pituitary disorders (em inglês). Totowa, NJ: Humana Press. p. 354. ISBN 1-58829-922-8 
  • Melmed S, Jameson JL; Kasper DL, Braunwald E, Fauci AS, et al. (2005). «Disorders of the anterior pituitary and hypothalamus». Harrison's Principles of Internal Medicine (em inglês) 16ª ed. Nova Iorque: McGraw-Hill. p. 2076–97. ISBN 0-07-139140-1 
  • Post KD, Shiau JS, Walsh J; Loftus CM (2008). «Pituitary apoplexy». Neurosurgical Emergencies (em inglês) 2ª ed. Nova Iorque: Thieme Publishing Group. p. 78–83. ISBN 3-13-135052-0 
  • Harrison (2005). Principi di medicina interna 16ª ed. Milão: McGraw-Hill. ISBN 88-386-2999-4 
  • Robbins & Cotran (2006). La basi patologiche delle malattie. Milão: Elsevier Italia. ISBN 88-85675-53-0 

Ver também