Alterações fibrocísticas da mama
| Fibrocystic breast changes | |
|---|---|
![]() | |
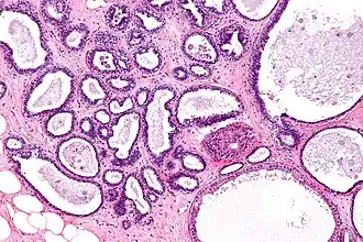
| Micrograph showing fibrocystic breast changes. H&E stain. | |
| Especialidade | Gynaecology |
| Sintomas | Breast pain, breast cysts, breast masses[1] |
| Início habitual | 30 to 50 years old[2] |
| Fatores de risco | Early age at first menstrual period, having children late or not having children[1] |
| Método de diagnóstico | Periodic examination, possibly medical imaging or breast biopsy[2] |
| Condições semelhantes | Breast cancer[2] |
| Tratamento | Education about the condition, a well fitting bra, pain medication[2] |
| Prognóstico | Good[2] |
| Frequência | Up to 60% of women[3] |
| Classificação e recursos externos | |
| CID-11 | GB20.0 |
| CID-10 | N60.1, N60 |
| CID-9 | 610.1 |
| DiseasesDB | 4799 |
| MedlinePlus | 000912 |
| MeSH | D005348 |
As alterações fibrocísticas da mama são uma condição das mamas em que poder haver dor, cistos mamários e massas mamárias.[2] Os seios podem ser descritos como “protuberantes” ou “pegajosos”.[3] Os sintomas podem piorar durante o ciclo menstrual.[2] Não está associada ao câncer.[1]
Os fatores de risco incluem idade precoce no primeiro período menstrual e ter filhos tardiamente ou não ter filhos.[1] Não é uma doença, mas representa alterações normais da mama.[3] O diagnóstico normalmente envolve descartar o câncer de mama.[2] A alteração fibrocística inclui fibroadenomas, fibrose e papilomas da mama.[2]
O tratamento pode envolver educação sobre a condição, um sutiã bem ajustado e analgésicos.[2] Ocasionalmente, danazol ou tamoxifeno podem ser usados para tratar a dor.[2] Estima-se que até 60% das mulheres sejam afetadas.[3] É mais comum entre 30 e 50 anos.[2]
Referências
- ↑ a b c d «Breast Masses (Breast Lumps)». Merck Manuals Professional Edition (em inglês). Consultado em 3 de novembro de 2018. Cópia arquivada em 29 de outubro de 2018
- ↑ a b c d e f g h i j k l Ferri, Fred F. (2018). Ferri's Clinical Advisor 2019: 5 Books in 1 (em inglês). [S.l.]: Elsevier Health Sciences. p. 548. ISBN 9780323550765. Consultado em 3 de novembro de 2018. Cópia arquivada em 4 de novembro de 2018
- ↑ a b c d Santen, RJ; Mansel, R (21 de julho de 2005). «Benign breast disorders.». The New England Journal of Medicine. 353 (3): 275–85. PMID 16034013. doi:10.1056/NEJMra035692
