Trauma abdominal
| Trauma abdominal | |
|---|---|
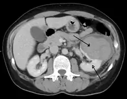
| Trauma abdominal resultando em uma contusão no rim direito (seta aberta) e sangue ao redor do rim (seta fechada), conforme visto em tomografia computadorizada. | |
| Especialidade | Medicina de urgência |
| Classificação e recursos externos | |
| eMedicine | 2036859, 1980980 |
| MeSH | D000007 |
O trauma abdominal é uma lesão no abdômen. Os sinais e sintomas incluem dor abdominal, sensibilidade, rigidez e hematomas no abdômen externo. As complicações podem incluir perda de sangue e infeção.
O diagnóstico pode envolver ultrassonografia, tomografia computadorizada e lavagem peritoneal, e o tratamento pode incluir cirurgia.[1] É dividido em dois tipos: trauma contuso ou trauma penetrante [en], e pode envolver danos aos órgãos abdominais.[2] Lesões na região inferior do tórax podem causar danos ao baço ou ao fígado.[3]
Sinais e sintomas

Os sinais e sintomas não são observados nos primeiros dias, mas após alguns dias, a dor inicial pode ser percebida. Pessoas feridas em colisões de veículos automotores podem apresentar o "sinal do cinto de segurança", hematomas no abdômen ao longo do local da porção do cinto de segurança que cobre o colo; esse sinal está associado a uma alta taxa de lesões nos órgãos abdominais.[4] Os cintos de segurança também podem causar abrasões e hematomas; até 30 por cento das pessoas com esses sinais apresentam lesões internas associadas.[5]
Indicações precoces de trauma abdominal incluem náusea, vômito, sangue na urina e febre.[4][6] A lesão pode gerar dor abdominal, sensibilidade,[7] distensão abdominal, ou rigidez ao toque, e os sons intestinais podem estar diminuídos ou ausentes. A guarda abdominal é uma contração dos músculos abdominais para proteger órgãos inflamados dentro do abdômen. O pneumoperitônio, ar ou gás na cavidade abdominal, pode ser uma indicação de ruptura de um órgão oco. Em lesões penetrantes, uma evisceração (protrusão de órgãos internos para fora de uma ferida) pode estar presente.
Lesões associadas ao trauma intra-abdominal incluem fraturas de costelas, fratura vertebral [en], fraturas pélvicas e lesões na parede abdominal.
Causas
Colisões de veículos automotores são uma fonte comum de trauma abdominal contuso.[5] Os cintos de segurança reduzem a incidência de lesões como traumatismo craniano e lesão torácica, mas representam uma ameaça aos órgãos abdominais, como o pâncreas e os intestinos, que podem ser deslocados ou comprimidos contra a coluna vertebral.[5] Crianças são especialmente vulneráveis a lesões abdominais causadas por cintos de segurança, pois têm regiões abdominais mais macias e os cintos não foram projetados para se ajustarem a elas.[4] Em crianças, acidentes com bicicleta também são uma causa comum de lesão abdominal, especialmente quando o abdômen é atingido pelo guidão.[4] Lesões esportivas podem afetar órgãos abdominais, como o baço e os rins.[7] Quedas e esportes também são mecanismos frequentes de lesão abdominal em crianças.[4] A lesão abdominal pode resultar de maus-tratos infantis e é a segunda principal causa de morte relacionada a abusos infantis, após traumatismo craniano.[6]
Ferimentos por arma de fogo, que têm maior energia do que ferimentos por facada, geralmente são mais danosos. Ferimentos por arma de fogo que penetram o peritônio resultam em danos significativos às estruturas intra-abdominais em cerca de 90 por cento dos casos.
Fisiopatologia
O trauma abdominal pode ser fatal porque os órgãos abdominais, especialmente aqueles no espaço retroperitoneal, podem sangrar profusamente, e o espaço pode conter uma grande quantidade de sangue.[8] Órgãos abdominais sólidos, como o fígado e os rins, sangram profusamente quando cortados ou rasgados, assim como grandes vasos sanguíneos, como a aorta e a veia cava.[8] Órgãos ocos, como o estômago, embora menos propensos a causar choque por sangramento profuso, apresentam um sério risco de infeção,[8] especialmente se tal lesão não for tratada rapidamente.[5] Órgãos gastrointestinais, como o intestino, podem derramar seu conteúdo na cavidade abdominal.[5] A hemorragia e a infeção sistêmica são as principais causas de mortes resultantes de trauma abdominal.[5]
Um ou mais órgãos intra-abdominais podem ser lesionados no trauma abdominal. As características da lesão são determinadas, em parte, por quais órgãos são afetados.
Fígado
O fígado, o órgão abdominal mais vulnerável a todos os tipos de lesão devido ao seu tamanho e localização (no quadrante superior direito do abdômen), é lesionado em cerca de cinco por cento de todas as pessoas internadas em um hospital por trauma.[9] Lesões hepáticas apresentam um sério risco de choque porque o tecido hepático é delicado e tem uma grande capacidade de suprimento de sangue.[8] O fígado pode sofrer laceração ou contusão, e pode desenvolver um hematoma.[10] Ele pode vazar bile, geralmente sem consequências graves.[10] Se gravemente lesionado, o fígado pode causar exsanguinação (sangramento até a morte), exigindo cirurgia de emergência para estancar o sangramento.
Baço
O baço é a causa mais comum de sangramento maciço em trauma abdominal contuso a um órgão sólido. O baço é o órgão mais comumente lesionado. Uma laceração do baço pode estar associada a hematoma.[10] Devido à capacidade do baço de sangrar profusamente, um baço rompido pode ser fatal, resultando em choque. No entanto, ao contrário do fígado, o trauma penetrante ao baço, pâncreas e rins não apresenta tanto risco imediato de choque, a menos que lacere um grande vaso sanguíneo que os abastece, como a artéria renal.[5] Fraturas das costelas inferiores esquerdas estão associadas a lacerações do baço em 20 por cento dos casos.
Pâncreas
O pâncreas pode ser lesionado em trauma abdominal, por exemplo, por laceração ou contusão.[4] Lesões pancreáticas, mais comumente causadas por acidentes de bicicleta (especialmente por impacto com o guidão) em crianças e acidentes de veículos em adultos, geralmente ocorrem isoladamente em crianças e acompanhadas por outras lesões em adultos.[4] Indicações de que o pâncreas está lesionado incluem aumento e a presença de fluido ao redor do pâncreas.[4]
Rins

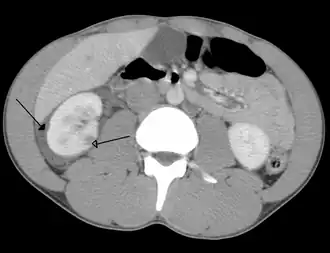
Os rins também podem ser lesionados; eles são parcialmente, mas não completamente, protegidos pelas costelas.[6] Lacerações e contusões renais também podem ocorrer.[11] Lesões renais, um achado comum em crianças com trauma abdominal contuso, podem estar associadas a sangue na urina.[10] Lacerações renais podem estar associadas a urinoma ou vazamento de urina para o abdômen.[4] Um rim fragmentado é aquele com múltiplas lacerações e uma fragmentação associada do tecido renal.[4]
Intestino
O intestino delgado ocupa uma grande parte do abdômen e é provável que seja danificado em lesões penetrantes.[5] O intestino pode ser perfurado.[4] Gás na cavidade abdominal visto na tomografia computadorizada é entendido como um sinal diagnóstico de perfuração intestinal; no entanto, ar intra-abdominal também pode ser causado por pneumotórax (ar na cavidade pleural fora dos pulmões que escapou do sistema respiratório) ou pneumomediastino (ar no mediastino, o centro da cavidade torácica).[4] A lesão pode não ser detectada na tomografia.[4] A lesão intestinal pode estar associada a complicações como infeção, abscesso, obstrução intestinal e formação de uma fístula.[4] A perfuração intestinal requer cirurgia.[4]
Diagnóstico

Dez por cento das pessoas com politrauma que não apresentavam sinais de lesão abdominal apresentaram evidências de tais lesões usando imagens radiológicas.[1] As técnicas diagnósticas usadas incluem tomografia computadorizada, ultrassonografia,[1] e raio-X.[7] O raio-X pode ajudar a determinar o trajeto de um objeto penetrante e localizar qualquer material estranho deixado na ferida, mas pode não ser útil em traumas contusos.[7] A laparoscopia diagnóstica ou a laparotomia exploratória também pode ser realizada se outros métodos diagnósticos não fornecerem resultados conclusivos.[5]
Ultrassonografia
A ultrassonografia pode detectar fluidos como sangue ou conteúdo gastrointestinal na cavidade abdominal,[1] sendo um procedimento médico não invasivo e relativamente seguro.[4] A tomografia computadorizada é a técnica preferida para pessoas que não estão em risco imediato de choque, mas, como a ultrassonografia pode ser realizada diretamente na sala de emergência, ela é recomendada para pessoas que não estão estáveis o suficiente para serem transferidas para a tomografia.[1] Um ultrassom normal não descarta todas as lesões.[12]
Tomografia computadorizada
Pessoas com trauma abdominal frequentemente precisam de tomografias computadorizadas para outros traumas (por exemplo, tomografia de cabeça ou tórax); nesses casos, a tomografia abdominal pode ser realizada ao mesmo tempo sem desperdiçar tempo no atendimento ao paciente.[4]
A tomografia computadorizada é capaz de detectar 76% das lesões de vísceras ocas, então pessoas com exames negativos são frequentemente observadas e reavaliadas se deteriorarem.[13] No entanto, a tomografia computadorizada demonstrou ser útil na triagem de pessoas com certas formas de trauma abdominal para evitar laparotomias desnecessárias, que podem aumentar significativamente o custo e a duração das internações.[14] Uma meta-análise do uso de tomografia computadorizada em traumas abdominais penetrantes demonstrou sensibilidade, especificidade e precisão significativas.[15]
Lavagem peritoneal
A lavagem peritoneal [en] diagnóstica é uma técnica controversa, mas pode ser usada para detectar lesões em órgãos abdominais: um cateter é colocado na cavidade peritoneal, e se houver fluido, ele é aspirado e examinado para sangue ou evidência de ruptura de órgãos.[1] Se isso não revelar evidências de lesão, uma solução salina estéril é infundida na cavidade e evacuada, sendo examinada para sangue ou outro material.[1] Embora a lavagem peritoneal seja uma maneira precisa de testar sangramentos, ela apresenta risco de lesionar os órgãos abdominais, pode ser difícil de realizar e pode levar a cirurgias desnecessárias; assim, foi amplamente substituída pela ultrassonografia na Europa e na América do Norte.[1]
Classificação
O trauma abdominal é dividido em tipos contuso e penetrante. Embora o trauma abdominal penetrante seja geralmente diagnosticado com base em sinais clínicos, o diagnóstico de trauma abdominal contuso é mais propenso a ser atrasado ou completamente perdido porque os sinais clínicos são menos óbvios.[1] Lesões contusas predominam em áreas rurais, enquanto as penetrantes são mais frequentes em ambientes urbanos.[5] O trauma penetrante é subdividido em ferimentos por facada e ferimento por arma de fogo, que requerem diferentes métodos de tratamento.[7]
Tratamento
O trauma abdominal requer atenção médica urgente e, às vezes, internação. O tratamento inicial envolve estabilizar a pessoa para garantir vias aéreas, respiração e circulação adequadas, além de identificar outras lesões.[7] A cirurgia pode ser necessária para reparar órgãos lesionados. A exploração cirúrgica pode ser necessária para pessoas com lesões penetrantes e sinais de peritonite ou choque.[5] A laparotomia é frequentemente realizada em trauma abdominal contuso e é urgentemente necessária se uma lesão abdominal causar um sangramento grande e potencialmente fatal.[1][5] O principal objetivo é estancar qualquer fonte de sangramento antes de prosseguir para encontrar e reparar quaisquer lesões identificadas.[16] Devido à natureza sensível ao tempo, esse procedimento também enfatiza a rapidez em termos de acesso e controle do sangramento, favorecendo uma incisão longa na linha média.[17]
Lesões intra-abdominais também são frequentemente tratadas com sucesso sem cirurgia, pois há pouco benefício se não houver sangramento ativo conhecido ou potencial para infeção.[7][4][18] O uso de tomografia computadorizada permite que os prestadores de cuidados usem menos cirurgias porque podem identificar lesões que podem ser gerenciadas de forma conservadora e descartar outras lesões que necessitariam de cirurgia.[7] Dependendo das lesões, uma pessoa pode ou não precisar de cuidados intensivos.[4]
Para lesões que penetram a cavidade peritoneal, antibióticos profiláticos são frequentemente administrados com o objetivo de reduzir o risco de sepse e complicações sépticas, incluindo septicemia, abscessos no abdômen e infecções de feridas.[19][20] A eficácia do uso de antibióticos profiláticos para trauma abdominal penetrante não foi bem estudada, e não há evidências fortes para apoiar um tipo ou dose de antibiótico em particular sobre outro.[20] A duração do uso desses antibióticos também não é clara.[20]
Prognóstico
Se a lesão abdominal não for diagnosticada prontamente, o resultado será pior.[1] O tratamento tardio está associado a uma morbidade e mortalidade especialmente altas se houver perfuração do trato gastrointestinal.[11]
Epidemiologia
No Reino Unido, o trauma abdominal causado por acidentes de trânsito e agressões é o mais comum. Essa situação é inversa na África do Sul e nos Estados Unidos, onde os traumas relacionados a armas de fogo são os mais comuns.[21]
A maioria das mortes resultantes de trauma abdominal é evitável;[5] o trauma abdominal é uma das causas mais comuns de mortes evitáveis relacionadas a trauma.[7]
Referências
- ↑ a b c d e f g h i j k Jansen JO, Yule SR, Loudon MA (abril de 2008). «Investigação do trauma abdominal contuso» 7650 ed. BMJ. 336: 938–42. PMC 2335258
. PMID 18436949. doi:10.1136/bmj.39534.686192.80
- ↑ Fitzgerald, J.E.F.; Larvin, Mike (2009). «Capítulo 15: Manejo do Trauma Abdominal». In: Baker, Qassim; Munther, Munther. Clinical Surgery: A Practical Guide. [S.l.]: CRC Press. pp. 192–204. ISBN 9781444109627
- ↑ Wyatt, Jonathon; Illingworth, RN; Graham, CA; Clancy, MJ; Robertson, CE (2006). Oxford Handbook of Emergency Medicine. [S.l.]: Oxford University Press. p. 346. ISBN 978-0-19-920607-0
- ↑ a b c d e f g h i j k l m n o p q r s Bixby SD, Callahan MJ, Taylor GA (janeiro de 2008). «Imagem em trauma abdominal contuso pediátrico» 1 ed. Semin Roentgenol. 43: 72–82. PMID 18053830. doi:10.1053/j.ro.2007.08.009
- ↑ a b c d e f g h i j k l m Hemmila MR, Wahl WL (2005). «Manejo do Paciente Ferido». In: Doherty GM. Current Surgical Diagnosis and Treatment. [S.l.]: McGraw-Hill Medical. pp. 227–8. ISBN 978-0-07-142315-1. Consultado em 1 de setembro de 2025. Arquivado do original em 6 de novembro de 2017
- ↑ a b c Lichtenstein R, Suggs AH (2006). «Abuso/assalto infantil». In: Olshaker JS, Jackson MC, Smock WS. Forensic Emergency Medicine: Mechanisms and Clinical Management (Board Review Series). Hagerstown, MD: Lippincott Williams & Wilkins. pp. 157–9. ISBN 978-0-7817-9274-5. Consultado em 1 de setembro de 2025. Arquivado do original em 6 de novembro de 2017
- ↑ a b c d e f g h i Yeo A (2004). «Abdominal trauma». In: Chih HN, Ooi LL. Acute Surgical Management. [S.l.]: World Scientific Publishing Company. pp. 327–33. ISBN 978-981-238-681-6. Consultado em 21 de junho de 2008
- ↑ a b c d Blank-Reid C (setembro de 2006). «Uma revisão histórica do trauma abdominal penetrante» 3 ed. Crit Care Nurs Clin North Am. 18: 387–401. PMID 16962459. doi:10.1016/j.ccell.2006.05.007
- ↑ Fabian TC, Bee TK (2004). «Trauma hepático e biliar». In: Moore EJ, Feliciano DV, Mattox KL. Trauma. New York: McGraw-Hill, Medical Pub. Division. 637 páginas. ISBN 978-0-07-137069-1. Consultado em 1 de setembro de 2025. Arquivado do original em 6 de novembro de 2017
- ↑ a b c d Visrutaratna P, Na-Chiangmai W (abril de 2008). «Computed tomography of blunt abdominal trauma in children» (PDF). Singapore Med J. 49 (4): 352–8; quiz 359. PMID 18418531. Cópia arquivada (PDF) em 7 de setembro de 2008
- ↑ a b Visrutaratna P, Na-Chiangmai W (Abril de 2008). «Computed tomography of blunt abdominal trauma in children» (PDF). Singapore Med J. 49 (4): 352–8; quiz 359. PMID 18418531. Cópia arquivada (PDF) em 7 de setembro de 2008
- ↑ Stengel, D; Leisterer, J; Ferrada, P; Ekkernkamp, A; Mutze, S; Hoenning, A (12 de dezembro de 2018). «Ultrassonografia no local de atendimento para diagnóstico de lesões toracoabdominais em pacientes com trauma contuso» 12 ed. The Cochrane Database of Systematic Reviews. 12: CD012669. PMC 6517180
. PMID 30548249. doi:10.1002/14651858.CD012669.pub2
- ↑ Amal Mattu; Deepi Goyal; Barrett, Jeffrey W.; Joshua Broder; DeAngelis, Michael; Peter Deblieux; Gus M. Garmel; Richard Harrigan; David Karras; Anita L'Italien; David Manthey (2007). Emergency medicine: avoiding the pitfalls and improving the outcomes. Malden, Mass: Blackwell Pub./BMJ Books. pp. 61. ISBN 978-1-4051-4166-6. Consultado em 1 de setembro de 2025
- ↑ Demetriades D, Velmahos G, Cornell E 3rd, et al. Manejo não operatório seletivo de ferimentos por arma de fogo no abdômen anterior. Arch Surg 1997; 132:178–183
- ↑ Goodman CS, Hur JY, Adajar MA, Coulam CH. Como a tomografia computadorizada prevê a necessidade de laparotomia em pacientes hemodinamicamente estáveis com lesão abdominal penetrante? Uma revisão e meta-análise. AJR Am J Roentgenol. 2009 ago;193(2):432-7.
- ↑ Feliciano, David V.; Mattox, Kenneth L.; Moore, Ernest J. (2012). Trauma, Seventh Edition (Trauma (Moore)). [S.l.]: McGraw-Hill Professional. 517 páginas. ISBN 978-0-07-166351-9
- ↑ Feliciano, David V.; Mattox, Kenneth L.; Moore, Ernest J. (2012). Trauma, Seventh Edition (Trauma (Moore)). [S.l.]: McGraw-Hill Professional. 516 páginas. ISBN 978-0-07-166351-9
- ↑ Oyo-Ita, Angela; Chinnock, Paul; Ikpeme, Ikpeme A. (13 de novembro de 2015). «Manejo cirúrgico versus não cirúrgico de lesão abdominal» 11 ed. The Cochrane Database of Systematic Reviews: CD007383. ISSN 1469-493X. PMC 11179156
. PMID 26568111. doi:10.1002/14651858.CD007383.pub3
- ↑ Brand, Martin; Grieve, Andrew (12 de dezembro de 2019). «Antibióticos profiláticos para trauma abdominal penetrante» 12 ed. The Cochrane Database of Systematic Reviews. 2019: CD007370. ISSN 1469-493X. PMC 6907398
. PMID 31830316. doi:10.1002/14651858.CD007370.pub4
- ↑ a b c Herrod, Philip J.; Boyd-Carson, Hannah; Doleman, Brett; Blackwell, James; Williams, John P.; Bhalla, Ashish; Nelson, Richard L.; Tou, Samson; Lund, Jon N. (12 de dezembro de 2019). «Antibióticos profiláticos para trauma abdominal penetrante: duração do uso e escolha do antibiótico» 12 ed. The Cochrane Database of Systematic Reviews. 12: CD010808. ISSN 1469-493X. PMC 6953295
. PMID 31830315. doi:10.1002/14651858.CD010808.pub2
- ↑ Garner, Jeff (Junho de 2005). «Blunt and penetrating trauma to the abdomen». Surgery (Oxford) (em inglês). 23 (6): 223–228. doi:10.1383/surg.23.6.223.66552