Neurossarcoidose
.jpg)
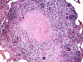
Neurossarcoidose se refere a um tipo de sarcoidose, uma doença imunomediada caracterizada por inflamação granulomatosa dos órgãos afectados.[1] Granulomas epitelioides compactos, bem formados, coalescentes, não necrosantes ou minimamente necrosantes, com linfócitos dispersos, são as características patológicas da doença.[2] Os órgãos mais frequentemente afectados incluem os pulmões (90%), a pele (∼15%), os olhos (10-30%), o fígado (20-30%) e os gânglios linfáticos (10%-20%).[1][3]
O envolvimento neurológico da sarcoidose (neurosarcoidose, NS) pode envolver o Sistema Nervoso Central (SNC) ou o sistema nervoso periférico (SNP) ou ambos e pode causar uma morbilidade substancial. Historicamente, tem sido referido que a NS ocorre em 5%-10% de todos os doentes com sarcoidose, embora este número possa refletir um viés de amostragem de coortes centradas na sarcoidose pulmonar. A NS clinicamente oculta é identificada na autópsia em 15%-25% dos doentes, e um estudo de 2017 identificou a NS em 234/290 (34%) dos doentes com sarcoidose sistémica.[4] As manifestações neurológicas são a síndrome de apresentação em 50%-70% dos doentes com NS, e uma meta-análise de 1088 doentes com NS concluiu que apenas 31% tinham doença sistémica na apresentação, enquanto 84% acabaram por desenvolver manifestações sistémicas.[5] Embora a sarcoidose seja classicamente considerada uma doença multissistémica, incluindo pelos critérios de diagnóstico de sarcoidose da American Thoracic Society,[6] cerca de 10%-20% dos doentes com NS não têm sarcoidose sistémica identificável (designada por NS isolada).[7][8][9]
Epidemiologia
A sarcoidose ocorre a nível mundial, com a incidência mais elevada nas populações de ascendência europeia do norte e africana recente. Nos Estados Unidos, a incidência da sarcoidose varia entre 35 e 80/100.000 entre os afroamericanos e 3-10/100.000 entre os caucasianos; alguns estudos referem uma ligeira predominância feminina.[3][10] No sudoeste de Inglaterra e no sul do País de Gales, entre 1990 e 2002, a incidência de NS foi estimada em 1/100.000.[11] O envolvimento neurológico é um dos vários factores associados ao aumento da mortalidade na sarcoidose.[3]
Patogénese
A sarcoidose é uma doença inflamatória caracterizada por uma resposta granulomatosa mediada por células a antigénios ainda não identificados.[12] Embora não haja consenso sobre se a sarcoidose representa uma doença autoimune,[13] acumulam-se evidências de que pode haver um papel para a autoimunidade em algumas formas de sarcoidose, como a forma autolimitada da síndrome de Lofgren associada a indivíduos portadores do alelo HLA-DRB1*03.[14][15] A compreensão atual da patogénese da sarcoidose deriva principalmente de estudos da sarcoidose pulmonar. Até que ponto estas observações se traduzem na NS e se a imunologia da NS difere da sarcoidose noutros sistemas de órgãos são áreas de investigação ativa.[9]
Genética
Padrões genéticos complexos de hereditariedade contribuem para o risco de sarcoidose e quase todos os genes de suscetibilidade associados identificados até à data são importantes para a função imunitária.[16][15] O risco de sarcoidose é 80 vezes superior em gémeos monozigóticos, 7 vezes superior em gémeos dizigóticos e 2-5 vezes superior em irmãos não gémeos de uma pessoa com sarcoidose, e existe variabilidade de risco de suscetibilidade à sarcoidose por raça e etnia. Os estudos específicos de sistemas de órgãos são escassos e limitados pela pequena dimensão das amostras; no entanto, parece haver haplótipos que aumentam o risco de fenótipos específicos de sarcoidose, como a síndrome de Lofgren.[12] Em contrapartida, parece haver pouca ou nenhuma concordância entre irmãos afectados com sarcoidose nos padrões fenotípicos ou nos resultados.[17]
Factores ambientais
Tem sido postulado que os antigénios ambientais, tanto infecciosos como não infecciosos, influenciam o desenvolvimento da sarcoidose através da indução direta de uma resposta inflamatória granulomatosa ou através do efeito indireto de alterações epigenéticas e imunológicas associadas à sarcoidose.[12] À semelhança de modelos emergentes com outras doenças auto-imunes, é provável que uma combinação de exposições ambientais em indivíduos geneticamente susceptíveis contribua para o risco de sarcoidose. Os antigénios não degradáveis podem tornar-se um nidus para a formação de granulomas,[18] e a acumulação de amiloide A no soro também foi observada como um possível biomarcador de sarcoidose sistémica.[18]
Mecanismos de Inflamação e Formação de Granulomas
A acumulação de granulomas que perturbam a microarquitectura normal dos tecidos e causam disfunção orgânica é uma caraterística central da sarcoidose.[19] Os granulomas são compostos por macrófagos epitelióides e células T auxiliares CD4+ rodeados por um anel de fibroblastos com células B e células T citotóxicas CD8+ dispersas na periferia. Juntamente com outras citocinas inflamatórias, os macrófagos activados expressam avidamente o fator de necrose tumoral (TNF)-α, o qual, através da estimulação de células T CD4+ naive, parece ser fundamental para a formação e manutenção dos granulomas sarcóides.[20] As células T helper produzem IL-2 e interferão gama, que aumentam a proliferação e a citotoxicidade das células imunitárias, respetivamente. Foram detectadas células T efectoras polarizadas Th17 nos granulomas de sarcoidose, no sangue e nos fluidos de lavagem broncoalveolar de doentes com sarcoidose pulmonar, e a resposta efectora Th17 (incluindo a produção de interferão-γ) pode influenciar o curso e a gravidade da sarcoidose.[21][22] A análise do perfil de expressão genética do sangue total de doentes com sarcoidose demonstra a partilha de vias genéticas com respostas inflamatórias à tuberculose ativa,[23] o que pode indicar que existe um aproveitamento de vias inflamatórias semelhantes na sarcoidose e na tuberculose e explicar, em parte, a razão pela qual pode haver alguma sobreposição no fenótipo clínico.[24]
Manifestações clínicas e exame físico
Aproximadamente 75% dos doentes com sarcoidose sistémica que desenvolvem NS desenvolvem-na nos 2 anos seguintes ao diagnóstico de sarcoidose.[25] Na prática clínica, a NS é frequentemente a síndrome clínica de apresentação, sendo a sarcoidose considerada e diagnosticada pela primeira vez como parte da avaliação neurológica. Embora o espetro de manifestações neurológicas da sarcoidose seja amplo, estas podem ser sistematicamente organizadas em padrões reconhecíveis com fenótipos mais comuns. É provável que os padrões de referenciação e de prestação de cuidados entre subespecialistas também influenciem os padrões de manifestações da doença referidos na literatura e observados na prática clínica. Por exemplo, foi observada uma elevada incidência de neurite ótica numa série de doentes de uma clínica de Esclerose Múltiple.[26]
As características comuns do envolvimento do sistema nervoso central ou periférico incluem mononeuropatia craniana que envolve o nervo facial, disfunção neuroendócrina que envolve o hipotálamo (ou seja, diabetes insípida neurogénica), mielopatia ou radiculopatia se a medula espinal for afetada (em casos raros pode ocorrer polirradiculopatia da cauda equina), hidrocefalia, meningite, mononeuropatia, mononeurite múltipla, túnel cárpico e envolvimento muscular que pode causar miopatia proximal e atrofia muscular. Os sintomas da neurossarcoidose podem ser multifocais, sendo normalmente observados primeiro nos nervos cranianos. O nervo facial é o nervo craniano mais frequentemente afetado, o que pode simular a doença de Lyme. O síndroma de Heerfordt é uma manifestação rara de neurosarcoidose que se apresenta com paralisia do nervo facial e presença de aumento da glândula parótida, uveíte anterior e febre.[27] O túnel cárpico pode também ser mais frequente em doentes com sarcoidose do que no resto da população.[28] Outro nervo craniano que pode ser afetado é o nervo vestibulococlear, causando problemas de equilíbrio e de audição.[29] Os sinais cerebelares, como a ataxia, podem estar presentes com o envolvimento do cerebelo.[30] Durante o exame, é importante avaliar o papiledema e o estado mental, uma vez que também podem ocorrer anomalias psiquiátricas. A meningite crónica com envolvimento da meninge basal é uma manifestação comum da neurossarcoidose.
A meningite crónica com envolvimento meníngeo basal é uma manifestação comum da neurosarcoidose. A meningite pode apresentar-se com envolvimento leptomeníngeo ou paquimeníngeo. É uma das várias causas importantes de paquimeningite.
Ao recolher a história, o primeiro sinal de neurossarcoidose pode ser a ocorrência de convulsões, o que geralmente confere um mau prognóstico. Os doentes com convulsões parciais simples ou parciais complexas podem ter um melhor prognóstico em comparação com as convulsões tónico-clónicas generalizadas.
Dependendo da localização da doença no cérebro, o doente pode também apresentar
- Síndrome de secreção inapropriada da hormona antidiurética (SIADH);
- Alterações do apetite;
- Sonolência;
- Comprometimento autonómico;
- Aumento de peso;
- Impotência;
- Galactorreia;
- Demência;
- Cognição prejudicada.
Neurosarcoidose do SNC
Meningite
Quando a SN afecta as paqui ou leptomeninges, pode desenvolver-se uma síndrome de meningite subaguda que pode persistir e tornar-se meningite crónica. A leptomeningite por sarcoidose tem uma predileção pela base do crânio (meningite basilar) e pode estender-se às meninges da medula espinal. O realce leptomeníngeo na sarcoidose, frequentemente com um componente nodular, pode parecer desproporcionadamente pior na RM do que os sintomas clínicos poderiam sugerir. A doença leptomeníngea responde tipicamente bem ao tratamento imunossupressor, mas pode ser complicada por disfunção dos nervos cranianos ou convulsões; a hidrocefalia comunicante também é caraterística, ocorrendo geralmente secundária a meningite crónica. A sarcoidose causa menos frequentemente paquimeningite que deve ser distinguida de outras causas de paquimeningite hipertrófica.[31]
Neuropatia craniana
A infiltração granulomatosa dos núcleos, fascículos ou nervos dos nervos cranianos pode produzir neuropatia craniana, que se encontra entre as manifestações mais frequentemente relatadas de SN. Múltiplas neuropatias cranianas simultâneas ou em série devem levantar a suspeita de SN. A evolução subaguda e progressiva é típica. A maioria dos doentes (>80%) com neuropatia craniana causada por SN apresenta manifestações neurológicas adicionais e a RMN revela frequentemente realce com gadolínio das leptomeninges adjacentes.[32] A frequência notificada de neuropatias cranianas individuais varia de série para série, mas as mais frequentemente afectadas são os nervos ótico, facial e vestibulococlear.[25][32]
A NS pode causar neurite ótica ou perineurite, que pode envolver o quiasma ótico, ou pode produzir neuropatia ótica compressiva a partir de uma lesão infiltrativa ou semelhante a uma massa. O envolvimento do quiasma está frequentemente associado ao envolvimento da sela, dada a proximidade anatómica.[33] A neurite ótica é ligeiramente mais provável de ser bilateral do que unilateral na NS e a recuperação visual, mesmo com tratamento, pode ser fraca.[26] A paralisia do nervo facial recorrente, bilateral (simultânea ou sequencial em 30%-40% na NS) ou acompanhada de outras neuropatias cranianas próximas deve levantar a suspeita de NS, assim como o realce leptomeníngeo pelo contraste e/ou achados neurológicos adicionais.[8] A síndrome de Heerfordt (parotidite, paralisia do nervo facial, uveíte anterior e febre baixa) é uma manifestação rara de paralisia do nervo facial na NS. O envolvimento do nervo vestibulococlear com disfunção vestibular e/ou perda de audição desenvolve-se tipicamente a partir de leptomeningite na base do cérebro. Outras neuropatias cranianas da NS ocorrem menos frequentemente.
Mielopatia
A sarcoidose pode afetar a medula espinhal através de vários mecanismos, incluindo a infiltração do parênquima medular, das leptomeninges, do espaço extradural ou de tecidos extra-espinhais com compressão da medula espinhal. Embora historicamente relatada como rara, estudos contemporâneos documentaram mielopatia em cerca de 19%-26% dos doentes com SN, tornando-a uma das manifestações neurológicas mais comuns.[4][26] Os achados imagiológicos característicos incluem realce nodular e linear do contraste leptomeníngeo associado a hiperintensidade T2 intraparenquimatosa.[34][35] A mielite extensa longitudinalmente (LETM; ≥3 segmentos vertebrais) da sarcoidose é relativamente comum (75% da mielite da NS numa série)[34] e deve ser distinguida de outras causas de LETM. As pistas de ressonância magnética que favorecem o diagnóstico de mielite por sarcoidose incluem um padrão subpial da medula dorsal de realce de gadolínio ≥2 segmentos espinhais e persistência de realce por >2 meses apesar do tratamento.[36] O canal central e o realce subpial dorsal semelhante a um tridente na ressonância magnética axial da medula espinhal também aumentam a suspeita para o diagnóstico de NS em pacientes com mielite subaguda.[37]Numa série de 2020, foram identificados 4 padrões principais de mielite sarcoidótica na RM: mielite extensa longitudinalmente (45%), mielite tumefactiva curta (23%), meningite/meningorradiculite (23%) e mielite anterior adjacente a degeneração discal (10%).[38] Foi observado um realce anormal na RM após a administração de gadolínio em todos os doentes dessa série, exceto em 1. Tal como no cérebro, podem ocorrer lesões durais espinais semelhantes a massas. Apesar de as patologias da medula cervical e torácica serem comummente discutidas na literatura como locais habituais de envolvimento da NS, o envolvimento do cone medular e/ou da cauda equina também ocorre.
Doença pituitária
O envolvimento hipotalâmico/pituitário com consequente disfunção neuroendócrina ocorre em 10%-25% dos casos. A disfunção endócrina inclui mais frequentemente hipopituitarismo anterior (LH/FSH 89%; TSH 67%; GH 50%; e ACTH 49%), hiperprolactinemia (49%) e diabetes insípida (65%) e pode ser o sinal de apresentação de SN em cerca de metade dos doentes com doença selar.[39] Os achados de RM incluem espessamento e realce pelo contraste da glândula pituitária ou do pedúnculo, por vezes com extensão ao hipotálamo e frequentemente multifocal.[40]
Doença parenquimatosa
A NS do parênquima cerebral pode surgir como consequência de disseminação meníngea ou de doença vascular. As lesões intraparenquimatosas semelhantes a massas desenvolvem-se em cerca de 15% dos casos e podem produzir convulsões e défices focais. Os achados característicos da RM incluem lesões com realce pelo contraste ou lesões T2 hiperintensas e T1 isointensas que podem ou não realçar (6%-37%). Também pode ocorrer doença cerebrovascular diretamente relacionada com a NS, incluindo vasculite ou venulite de pequenos, médios ou grandes vasos, compressão vascular por inflamação granulomatosa ou lesão de massa, ou trombose do seio venoso,[41] mas o AVC isquémico ou hemorrágico típico em doentes com sarcoidose conhecida pode ter muitas causas potenciais e pode não ser diretamente atribuível à NS.
Encefalopatia
A encefalopatia subcortical, incluindo demência, pode ser observada em doentes com NS. As lesões hiperintensas T2/FLAIR inespecíficas da substância branca sem realce pelo gadolínio são comuns e podem ser pequenas e focais ou lesões maiores e mais difusas que se assemelham a doença vascular crónica; a sua relação com a NS é incerta, uma vez que são comuns mesmo na ausência de NS, não se correlacionam com a incapacidade clínica na NS, nem diminuem com o tratamento imunossupressor. Na ausência de realce com gadolínio, é pouco provável que estas lesões representem uma NS ativa e podem, por vezes, refletir patologia comórbida, como a doença isquémica de pequenos vasos.
Doença neuropsiquiátrica
A depressão e outras manifestações neuropsiquiátricas são inespecíficas e podem ou não estar diretamente relacionadas com a NS. A depressão é relatada em 60%-66% dos doentes com NS, e outras manifestações neuropsiquiátricas, incluindo psicose, desenvolvem-se em até 20%.[25] As causas podem incluir a NS parenquimatosa, a convivência com doenças crónicas, complicações do tratamento (por exemplo, glucocorticóides) ou outras comorbilidades.
Sarcoidose do Sistema Nervoso Periférico (SNP)
O espetro da sarcoidose do SNP inclui polineuropatias de fibras grandes e pequenas ou polirradiculoneuropatia com características motoras puras, sensoriais ou mistas, incluindo uma síndrome do tipo Guillain-Barré. A neuropatia periférica é registada em cerca de 15%-20% dos doentes, embora a verdadeira incidência possa ser mais elevada. A vasculite dos nervos periféricos pode produzir mononeurite múltipla com características axonais. A neuropatia sensório-motora crónica simétrica com características axonais na EMG é considerada a neuropatia periférica mais comum dos nervos não cranianos. A associação da neuropatia com a sarcoidose é mais bem sustentada com a confirmação por biópsia, ao passo que a causalidade é menos clara nas polineuropatias axonais ligeiras, dada a miríade de causas potenciais. Quando se efectua uma biópsia, devem ser colhidas amostras do músculo e do nervo, sempre que possível, uma vez que isto permite o exame de ambos os tecidos e, provavelmente, melhora o rendimento do diagnóstico, uma vez que pode haver envolvimento muscular subclínico em até 90% das biópsias de nervos[42] (e isto também pode ajudar a distinguir a sarcoidose da lepra, uma vez que esta última apenas envolve os nervos periféricos e não o músculo).[43]
Neuropatia de Pequenas Fibras
A neuropatia de pequenas fibras é comum na sarcoidose sistémica, embora a sua patogénese não seja clara.[44] Por esta razão, os critérios de diagnóstico de consenso actuais para a NS conceptualizam a neuropatia de pequenas fibras como uma manifestação de paraneurosarcoidose que ocorre em associação com a sarcoidose, mas que pode não resultar necessariamente de infiltração granulomatosa direta.[45] Outras etiologias da neuropatia de pequenas fibras devem também ser consideradas antes de se concluir que a neuropatia de pequenas fibras em indivíduos com sarcoidose está necessariamente relacionada com a sarcoidose.[46]
Um grande estudo de 2017 concluiu que cerca de 25% dos doentes com sarcoidose com fibras pequenas confirmadas tinham uma possível etiologia alternativa ou adicional.[44] A EMG com estudos de condução nervosa é geralmente normal na neuropatia de fibras pequenas, a não ser que exista também uma neuropatia de fibras grandes concomitante; o teste quantitativo do axónio sudomotor ou a biópsia da pele com diminuição da densidade da camada de fibras nervosas podem fornecer provas objectivas de patologia do nervo de fibras pequenas, mas esses testes não são específicos da sarcoidose ou de outras causas.[46]
Doença muscular
Um estudo de 2018 de 48 pacientes com sarcoidose muscular sintomática identificou 4 padrões com base na apresentação clínica, EMG e patologia.
Estes incluem: nodular (27%); smoldering (29%); miopático agudo, subagudo ou progressivo (35%); e padrão miopático e neurogénico combinado (10%). O curso clínico diferiu dependendo do fenótipo - o padrão nodular foi recidivante e remitente, enquanto o padrão miopático pode ter um curso progressivo.[47]
Diagnóstico diferencial
Outros diferenciais a considerar para a neurosarcoidose incluem tumores cerebrais primários, ingestão de toxinas, neuropatias secundárias a proliferação monoclonal ou neuropatia paraproteinémica, neuropatia paraneoplásica, deficiência vitamínica, carcinomatose leptomeníngea, esclerose múltipla, linfoma do sistema nervoso central ou doenças auto-imunes como lúpus eritematoso sistémico.
Critérios de diagnóstico da neurossarcoidose
Os critérios de diagnóstico de NS de consenso actualizados foram publicados em 2018 e categorizam os pacientes com base na certeza diagnóstica em NS definitiva, provável e possível com base em características patológicas e clínicas, enfatizando o fenótipo clínico e a confirmação da biópsia.[45]
Testes séricos
Uma vez que até à data não existem testes séricos sensíveis nem específicos para o diagnóstico de sarcoidose, o principal valor dos testes séricos é a avaliação de etiologias alternativas e de marcadores de manifestações de sarcoidose noutros sistemas orgânicos. Os reagentes de fase aguda podem estar elevados, mas não são específicos. A hipervitaminose D e a hipercalcemia estão ocasionalmente presentes e devem levar a uma avaliação para hiperparatiroidismo. Os níveis séricos da enzima conversora da angiotensina (ECA) estão elevados em até 60% dos doentes com sarcoidose pulmonar, mas são insensíveis e inespecíficos.[48] Um estudo de 2019 identificou que os níveis séricos do recetor solúvel de IL-2 são 88% sensíveis e 85% específicos para a sarcoidose, em comparação com 62% e 76%, respetivamente, para a ECA.[49]
Análise do Líquido Cefalorraquídeo (LCR)
A análise do LCR deve ser considerada na avaliação diagnóstica de pacientes com NS do SNC para avaliar a evidência de inflamação intratecal e excluir etiologias alternativas, particularmente quando a leptomeningite é identificada na RM. Muitos doentes com sarcoidose do SNC apresentam exames anormais do LCR, mas nenhum teste é específico para a NS. É típica uma pleocitose ligeira a moderada (geralmente <100 células/μL), com predomínio de linfócitos e proteína elevada; podem também estar presentes neutrófilos, particularmente de forma aguda; os eosinófilos no LCR são raros. A elevação isolada das proteínas no LCR pode ser um marcador de inflamação, mas é inespecífica, especialmente na ausência de evidência de sarcoidose no SNC por RM. A NS é uma das poucas etiologias não infecciosas que pode causar hipoglicorraquia, particularmente no contexto de leptomeningite, mas níveis inferiores a 20 mg/dL devem suscitar a preocupação de uma etiologia fúngica, micobacteriana ou maligna não diagnosticada.[50] As bandas oligoclonais e o índice elevado de imunoglobulina G (IgG) podem ser observados em ∼20%-40% dos casos de NS, mas são inespecíficos.[26][51] Os níveis de ECA no LCR têm uma sensibilidade e especificidade fracas para a NS.[52]
Um estudo que incluiu 43 doentes com NS, 14 com esclerose múltipla e 48 com outras doenças inflamatórias concluiu que, em comparação com a EM e outras doenças inflamatórias, o rácio CD4/CD8 no LCR e a concentração de IL-6 estavam elevados na neurossarcoidose.[53] A concentração de IL-6 no LCR >50 pg/mL também foi associada à progressão ou recidiva da SN.[53] A sequenciação profunda metagenómica de nova geração do LCR para deteção de agentes patogénicos pode ser útil para avaliar a infeção, para além da cultura e de estudos moleculares mais específicos.[54][55] A citologia do LCR e a citometria de fluxo devem ser consideradas para avaliar a malignidade. Os estudos do LCR também podem ser úteis para monitorizar a atividade da doença da NS ao longo do tempo, como em resposta ao tratamento, em particular a pressão de abertura, a contagem de células, as proteínas totais, a glicose, o índice de IgG e as bandas oligoclonais.
Neuroimagem
Na avaliação de um doente com suspeita de NS do SNC, a RM com e sem gadolínio é a modalidade de imagem mais adequada. O realce com gadolínio carece de especificidade, mas é um marcador útil de sarcoidose ativa do SNC, e a não inclusão de sequências com contraste é um problema comum no diagnóstico e monitorização da sarcoidose do SNC. Para além dos padrões de RM, o ingurgitamento da veia medular profunda e o realce perivenular radial também foram descritos na SN.[56] A RM tem valor como biomarcador para a resposta à terapêutica e informa de forma crítica a tomada de decisões clínicas.
Avaliação sistémica
Parte da estratégia de diagnóstico precoce para apoiar o diagnóstico de NS consiste em procurar evidências de sarcoidose sistémica, com o objetivo de estabelecer a confirmação histopatológica da doença subjacente. Isto inclui um exame físico exaustivo. Um exame ocular dilatado também pode identificar evidências de sarcoidose ocular que podem apoiar o diagnóstico. Cerca de metade dos doentes com sarcoidose predominante no SNC têm uma radiografia torácica anormal na altura da apresentação neurológica.[11][26] A TC torácica, abdominal e pélvica com contraste intravenoso pode ser valiosa para identificar a sarcoidose quando a radiografia torácica é normal e a suspeita clínica de sarcoidose é elevada. Quando a imagiologia estrutural não revela um alvo de biópsia, a combinação de fluorodeoxiglucose PET (FDG-PET)/CT pode revelar gânglios linfáticos metabolicamente activos ou lesões ocultas que podem parecer normais na TC.[57] A FDG-PET/CT combinada de corpo inteiro documentou anomalias consistentes com sarcoidose em 15/19 (78%) doentes numa série[5] e em 22% dos doentes com suspeita de sarcoidose noutra série.[58] A FDG-PET também pode revelar lesões metabolicamente activas no cérebro ou na medula espinal, mas estas são quase sempre melhor visualizadas na RM.
Biópsia
A confiança no diagnóstico da NS é maior quando há confirmação por biópsia de sarcoidose no sistema nervoso (o que é designado por neurosarcoidose definitiva nos critérios de diagnóstico de consenso de 2018); no entanto, em alguns casos, a localização neuroanatómica pode impedir a biópsia devido a preocupações com a morbilidade ou com a oportunidade de assegurar um diagnóstico por meios menos invasivos. Nesses casos, pode ser preferível estabelecer o diagnóstico de sarcoidose sistémica no contexto de uma síndrome neurológica consistente com NS (provável neurossarcoidose). Quando há evidência de sarcoidose pulmonar concomitante, pode normalmente ser obtida uma amostra de tecido através de biópsia transbrônquica guiada por ecografia endobrônquica de linfadenopatia mediastínica ou hilar com um elevado rendimento diagnóstico; a mediastinoscopia pode ser necessária em alguns casos, dependendo da anatomia afetada.[59] Deve ser efectuado um exame exaustivo da pele e dos olhos, uma vez que ambos podem revelar evidência sistémica de sarcoidose através de biópsia relativamente não invasiva. Deve ter-se cuidado ao confiar na biopsia cutânea como única base patológica para apoiar o diagnóstico de sarcoidose, dado o amplo diagnóstico diferencial de granulomas cutâneos e dermatite granulomatosa, bem como ao confiar apenas na biopsia de gânglios linfáticos superficiais. Nos casos em que a imagiologia corporal não é reveladora, pode ser necessária a biopsia de um alvo neurológico para excluir malignidade ou outras etiologias.
Embora os granulomas da sarcoidose não sejam geralmente necrotizantes e quaisquer granulomas necrotizantes ou granulomas mal formados devam suscitar cautela em relação à sarcoidose como diagnóstico final, na sarcoidose genuína podem por vezes existir áreas raras de necrose na biopsia, particularmente em amostras maiores.[60] Os granulomas da sarcoidose não são histologicamente distintos de outras condições granulomatosas e a coloração especial para bacilos álcool-ácido resistentes, fungos e culturas é importante para excluir etiologias infecciosas.[2]
Tratamento
O objetivo do tratamento da NS modificadora da doença é reduzir ou prevenir a lesão do sistema de órgãos devido aos efeitos nocivos da inflamação granulomatosa. Nalgumas circunstâncias, como na doença ligeira ou transitória, a imunossupressão pode não ser necessária, mas para a maioria dos doentes com sarcoidose do SNC e para muitos com envolvimento da NS do sistema nervoso periférico de grandes fibras, a imunossupressão está indicada precocemente para minimizar a lesão neurológica e a incapacidade. Os tratamentos centrados no controlo dos sintomas e na reabilitação são também importantes nos cuidados globais dos doentes com NS. Quando há envolvimento multissistémico, uma abordagem interdisciplinar pode ser útil para coordenar os cuidados e a tomada de decisões, que são frequentemente complexos. Ainda não existem ensaios aleatórios para orientar o tratamento da NS; por conseguinte, o tratamento baseia-se na opinião de especialistas e em observações de séries de casos e relatórios únicos.
O tratamento na NS deve ser individualizado, ponderando os riscos e os benefícios, com aconselhamento adequado para orientar a tomada de decisão partilhada sobre o tratamento modificador da doença, incorporando também considerações sobre o tratamento da sarcoidose que envolve outros sistemas orgânicos, conforme aplicável. Em geral, os glucocorticóides são o tratamento padrão de primeira linha. Para os doentes mais gravemente afectados, a consideração de uma dosagem inicial por pulso IV ou PO bioequivalente (por exemplo, 1 g de metilprednisolona IV durante 3-5 dias) seguida de uma redução gradual dos glucocorticóides orais durante alguns meses (por exemplo, prednisona 1 mg/kg/d e redução gradual) seria típica, ajustando a velocidade e a duração da redução gradual com base na gravidade, risco, tolerabilidade, resposta clínica e imagiológica. Para os doentes com doença menos grave, pode ser suficiente um ciclo moderado e mais curto de glucocorticóides, com uma monitorização rigorosa. Dadas as preocupações com a segurança e a toxicidade associadas à exposição aos glucocorticóides, deve ser considerada uma terapêutica precoce poupadora de esteróides com metotrexato ou azatioprina (reservando normalmente o micofenolato de mofetil, dados os dados sobre a menor eficácia comparativa em estudos retrospectivos), embora estes possam demorar vários meses a atingir a eficácia clínica. Nos casos mais graves, quando há uma resposta incompleta aos glucocorticóides, ou quando há uma preocupação particular com o risco de toxicidade dos glucocorticóides, é cada vez mais considerada a utilização precoce de inibidores do TNF.
Tratamento agudo
Os glucocorticóides são amplamente considerados como a terapêutica de primeira linha para a SN e actuam rapidamente na maioria dos doentes.[7][25][26] Os doentes com apresentações graves podem necessitar de metilprednisolona IV em dose pulsada, 1 g por dia durante 3-5 dias, seguida de uma redução gradual prolongada dos glucocorticóides orais. Para apresentações menos graves, a prednisona 0,5-1 mg/kg/d ou doses bioequivalentes noutras formulações de glucocorticóides podem ser eficazes. Para os doentes com apresentações ligeiras ou moderadas, a monoterapia com prednisona pode ser suficiente e, quando a resposta clínica e imagiológica for adequada, a prednisona pode ser reduzida gradualmente ao longo de vários meses. Deve ter-se o cuidado de considerar e avaliar a recorrência ou o agravamento quando se reduzem os glucocorticóides na SN.
Uma meta-análise de 2016 observou um resultado favorável com os glucocorticóides em 71% dos doentes com SN.[5] No entanto, uma parte significativa dos doentes com SN será refractária aos glucocorticóides ou sofrerá recorrência da atividade da doença ao tentar reduzir para doses mais toleráveis ou mais seguras.[7][26] As doses de glucocorticóides necessárias para atingir e manter a remissão também podem, por vezes, ser proibitivas devido à toxicidade dos esteróides.[61] Por conseguinte, os agentes poupadores de esteróides devem, em geral, ser administrados a doentes com NS com apresentações moderadas a graves ou em doentes que não conseguem atingir os objectivos do tratamento equilibrados com os riscos dos esteróides orais.
Agentes poupadores de esteróides
Vários agentes poupadores de esteróides têm sido utilizados no tratamento da NS, incluindo azatioprina, metotrexato, micofenolato de mofetil, hidroxicloroquina, ciclofosfamida e inibidores do TNF. A escolha entre estas opções baseia-se no julgamento clínico, nas comorbilidades e na literatura disponível, incluindo observações do tratamento da sarcoidose sistémica. Um estudo retrospetivo de 2016 de 40 pacientes com SN sugeriu maior eficácia do metotrexato em relação ao micofenolato.e1 Outro estudo retrospetivo de 234 pacientes com SN em 2017 observou menor risco de recidiva entre os pacientes tratados com metotrexato, ciclofosfamida ou infliximabe e maior risco de recidiva com micofenolato.[4] Agentes como a azatioprina, o metotrexato e o micofenolato de mofetil podem demorar vários meses a atingir os seus efeitos imunossupressores totais do ponto de vista clínico, período durante o qual pode ser útil continuar a utilizar glucocorticóides orais. É importante um acompanhamento clínico e radiológico rigoroso durante a redução gradual dos glucocorticóides, dada a frequente recorrência da atividade da doença após a retirada dos esteróides.
Inibidores do TNF
O TNF-alfa tem sido utilizado como alvo no tratamento da sarcoidose e da NS.[9] O antagonista do TNF-alfa mais bem estudado na NS é o infliximab, um anticorpo monoclonal quimérico contra o TNF-alfa, que parece ser capaz de inibir a formação de granulomas na sarcoidose e induzir a apoptose através de citotoxicidade dependente do complemento e de anticorpos. Relatos de casos e pequenas séries sugeriram a eficácia do infliximab na NS.[62] Em 2017, um estudo multi-institucional relatou benefícios com infliximab para a sarcoidose do SNC.[62] Uma resposta clínica favorável foi observada em 77% (29% dos quais alcançaram remissão completa) e uma resposta favorável de RM em 82% (remissão completa em 44%). Foram relatados resultados favoráveis com infliximab noutras séries, incluindo 87% com estabilidade ou melhoria clínica numa série da Utahe8 e estabilidade ou melhoria clínica em 96% (remissão em 21%, melhoria em 50% e estabilidade em 25%) numa série da Holanda.[62]
O tratamento é geralmente direcionado para a remissão e frequentemente continuado durante alguns ou vários anos em doentes com história de doença grave. Ao descontinuar um inibidor do TNF na NS, é importante monitorizar o doente clinicamente e por RMN para detetar recidivas, que podem ocorrer logo 3-6 meses após a interrupção. Num estudo multi-institucional, a doença recidivou em 56% dos doentes que descontinuaram a terapêutica após terem atingido a remissão, tipicamente na mesma localização neuroanatómica.[62] Taxas de recidiva semelhantes na descontinuação do infliximab na SN foram relatadas numa série francesa,[62] enquanto 31% dos doentes recidivaram com a redução gradual ou descontinuação do infliximab numa coorte dos Países Baixos.[62] Outros antagonistas do TNF, como o adalimumab, também podem ser eficazes na neurossarcoidose.[62]
Os efeitos adversos da inibição do TNF-alfa incluem leucopenia, elevação das enzimas hepáticas, reacções relacionadas com a infusão, infeção (incluindo reativação do herpes zoster e tuberculose latente, bem como novas infecções por fungos como a histoplasmose),[62] reacções de hipersensibilidade, malignidade, desmielinização inflamatória do SNC,[62] e, raramente, leucoencefalopatia multifocal progressiva. Existem também relatos raros de reacções granulomatosas paradoxais associadas aos antagonistas do TNF, em particular ao etanercept.[62] A imunogenicidade dos anticorpos neutralizantes do infliximab ocorre numa minoria de doentes e está associada a reacções de infusão e a uma redução da eficácia relacionada com o aumento da depuração ou da neutralização do infliximab.[62] É comum na NS a continuação de um imunossupressor citotóxico de dose mais baixa, como o metotrexato ou a azatioprina, em simultâneo com o infliximab, para atenuar a formação de anticorpos contra o infliximab, para além dos potenciais benefícios imunossupressores sinérgicos, embora existam também dados emergentes que sugerem resultados favoráveis com a monoterapia com inibidores do TNF na NS.[62]
Terapia direccionada para as células B
Foi relatado que o rituximab tem alguma eficácia na sarcoidose sistémica e na provável SN.[63] No entanto, o papel da terapia de depleção de células B anti-CD20 na neurossarcoidose e na sarcoidose de forma mais ampla não é claro, e pode existir um viés de publicação.[63] Dois pacientes incluídos em um estudo multicêntrico de 2017 progrediram apesar do rituximabe, mas responderam ao infliximabe subsequente,[63] e observou-se que o rituximabe foi um dos tratamentos menos eficazes em uma série de 2020 de Utah.[63]
Abordagens imunossupressoras emergentes
Observou-se que o tofacitinib (um inibidor da JAK) é favorável à sarcoidose cutânea refractária ao tratamento, com a análise molecular das lesões cutâneas pré e pós-tratamento a sugerir um papel para a sinalização JAK-STAT,[63] e esta abordagem também conduziu a melhorias na sarcoidose de sistemas multiorgânicos. Há também relatos emergentes de benefícios na sarcoidose de múltiplos órgãos com baricitinib.[63] A melhoria clínica com tocilizumab (uma terapêutica anti-IL-6) foi também observada na sarcoidose refractária ao tratamento com envolvimento pulmonar, sinusal e cutâneo.[63] Resta saber se estas estratégias terão um papel na neurossarcoidose.
Monitorização da resposta ao tratamento
O objetivo da imunossupressão na NS é minimizar o risco de lesão neurológica provocada pela inflamação granulomatosa. Em muitos doentes, o objetivo pode ser a remissão completa da resposta neuroinflamatória. Noutros, a supressão da resposta inflamatória, mesmo que não se consiga uma remissão completa, pode ser o equilíbrio adequado do risco terapêutico. A monitorização da resposta ao tratamento inclui a história, o exame físico e, normalmente, a RM com e sem contraste, que pode ser capaz de detetar o agravamento ou a recorrência da doença antes do desenvolvimento de sintomas clínicos novos ou recorrentes. Num doente com achados anormais de RMN atribuíveis à SN e que esteja a evoluir bem do ponto de vista clínico, a repetição da imagiologia 2 a 4 meses após o início do tratamento é uma abordagem razoável. A frequência de monitorização da RM pode então ser gradualmente espaçada ao longo do tempo com base na resposta ao tratamento. Quando não existem achados anormais na RM, alterações na RM de etiologia incerta ou quando existe incongruência entre os sintomas clínicos e os achados da RM (particularmente quando o exame do LCR demonstrou inflamação intratecal anteriormente na evolução da doença), a repetição do exame do LCR pode ser útil do ponto de vista clínico para monitorizar a atividade da doença e confirmar a remissão.
A resposta clínica pode atrasar-se em relação à resposta da RM - se houver uma lesão subjacente ao processo inflamatório, o comprometimento neurológico pode não melhorar necessariamente, mas não deve piorar. Embora a doença possa remitir e alguns doentes possam interromper a terapêutica, existe o risco de recorrência com a interrupção do tratamento. Quando há um agravamento aparente da NS, também é importante evitar o encerramento prematuro do diagnóstico, e os médicos devem considerar complicações infecciosas (como a infeção por VZV ou infeção fúngica) no diagnóstico diferencial, mesmo em doentes com SN conhecida.
Resultados
Os resultados clínicos variam substancialmente entre os doentes com neurosarcoidose, dependendo da gravidade, extensão e localização neuroanatómica da doença subjacente. Por exemplo, historicamente, tem sido relatado que os pacientes com paralisia do nervo facial relacionada à NS recuperam os movimentos faciais em 80% dos casos.[63] Em estudos contemporâneos, a recuperação neurológica completa foi observada em apenas 29-33% dos pacientes com SN grave e refratária ao tratamento que, em última análise, levou ao tratamento com inibidores de TNF.[32] Um estudo de 2021 sobre a neuropatia ótica da SN concluiu que apenas 24% dos doentes apresentavam uma acuidade visual inferior a 20/200 no olho afetado no último seguimento. Um estudo de 2020 sobre a mielopatia sarcoide concluiu que 52% dos doentes apresentavam uma pontuação na Escala de Rankin modificada de 3 ou superior (indicando um nível moderado de incapacidade) e cerca de 30% utilizavam uma bengala ou um andarilho ou mais para apoio ambulatório no seguimento um ano depois.[38]
Prognóstico
A neurossarcoidose pode apresentar-se como uma doença monofásica, um curso recorrente-remitente, ou como uma doença progressiva com episódios de deterioração. Não se sabe bem quais são os efeitos a longo prazo da neurossarcoidose. Normalmente, os doentes com paralisia do nervo facial ou outras mononeuropatias cranianas melhoram. Em contrapartida, os casos com meningite asséptica ou lesões de massa meníngea/parenquimatosa têm uma evolução mais longa. Os sintomas vegetativos hipotalâmicos raramente desaparecem, embora possam responder ao tratamento.
A encefalopatia/vasculopatia tende a ter uma evolução recidivante-remitente com deterioração. Os casos com hidrocefalia podem ser assintomáticos ou causar uma deterioração rápida. A paralisia facial tende a melhorar ao longo de 4-6 semanas. A neuropatia ótica pode melhorar ao longo de algumas semanas mas, noutros casos, pode levar à cegueira. É possível haver remissões nos casos de neuropatia periférica e miopatia, no entanto, a evolução é geralmente crónica e progressiva.
Melhorar os resultados da equipa de cuidados de saúde
Recomenda-se uma abordagem interprofissional da neurosarcoidose.
Os casos de neurossarcoidose requerem um esforço interprofissional porque a doença tem diversas apresentações e não existe um teste específico para fazer o diagnóstico. Dado o envolvimento sistémico associado à neurossarcoidose, devem ser consultados vários especialistas, como a reumatologia, a endocrinologia e a pneumologia. A neurocirurgia também pode ser consultada para a ressecção de massas do SNC. No entanto, os procedimentos de biópsia/excisão que envolvem o SNC podem estar associados a consequências graves e continuam a ser um tratamento de última escolha. Assim, a ressecção deve ser adiada, a menos que a massa continue a aumentar após a imunossupressão. Nos casos com hidrocefalia, pode ser colocado um shunt ventrículo-peritoneal, apesar do risco de infeção. Os doentes em tratamento prolongado com corticosteróides podem beneficiar de uma consulta de dietética para controlar o aumento de peso e para desenvolver um programa de exercício e reduzir a perda óssea. Todos os doentes que começam a tomar corticosteróides devem ser monitorizados quanto a efeitos adversos pelo farmacêutico. Logo que os sintomas diminuam, recomenda-se a redução rápida do medicamento.[64]
Referências
- ↑ a b Valeyre, Dominique; Prasse, Antje; Nunes, Hilario; Uzunhan, Yurdagul; Brillet, Pierre-Yves; Müller-Quernheim, Joachim (março de 2014). «Sarcoidosis». The Lancet (9923): 1155–1167. ISSN 0140-6736. doi:10.1016/s0140-6736(13)60680-7. Consultado em 5 de julho de 2023
- ↑ a b Rossi, Giulio; Cavazza, Alberto; Colby, Thomas V. (12 de março de 2015). «Pathology of Sarcoidosis». Clinical Reviews in Allergy & Immunology (1): 36–44. ISSN 1080-0549. doi:10.1007/s12016-015-8479-6. Consultado em 5 de julho de 2023
- ↑ a b c Ungprasert, Patompong; Carmona, Eva M.; Utz, James P.; Ryu, Jay H.; Crowson, Cynthia S.; Matteson, Eric L. (fevereiro de 2016). «Epidemiology of Sarcoidosis 1946-2013». Mayo Clinic Proceedings (2): 183–188. ISSN 0025-6196. doi:10.1016/j.mayocp.2015.10.024. Consultado em 5 de julho de 2023
- ↑ a b c Joubert, Bastien; Chapelon-Abric, Catherine; Biard, Lucie; Saadoun, David; Demeret, Sophie; Dormont, Didier; Resche-Rigon, Matthieu; Cacoub, Patrice (1 de novembro de 2017). «Association of Prognostic Factors and Immunosuppressive Treatment With Long-term Outcomes in Neurosarcoidosis». JAMA Neurology (11). 1336 páginas. ISSN 2168-6149. doi:10.1001/jamaneurol.2017.2492. Consultado em 5 de julho de 2023
- ↑ a b c Fritz, Daan; van de Beek, Diederik; Brouwer, Matthijs C. (15 de novembro de 2016). «Clinical features, treatment and outcome in neurosarcoidosis: systematic review and meta-analysis». BMC Neurology (1). ISSN 1471-2377. doi:10.1186/s12883-016-0741-x. Consultado em 5 de julho de 2023
- ↑ Costabel, U.; Hunninghake, G.W.; on behalf of the Sarcoidosis Statement Committee (outubro de 1999). «ATS/ERS/WASOG statement on sarcoidosis». European Respiratory Journal (4). 735 páginas. ISSN 0903-1936. doi:10.1034/j.1399-3003.1999.14d02.x. Consultado em 5 de julho de 2023
- ↑ a b c Scott, Thomas F.; Yandora, Kristin; Valeri, April; Chieffe, Carol; Schramke, Carol (1 de maio de 2007). «Aggressive Therapy for Neurosarcoidosis». Archives of Neurology (5). 691 páginas. ISSN 0003-9942. doi:10.1001/archneur.64.5.691. Consultado em 5 de julho de 2023
- ↑ a b Carlson, Matthew L.; White, James R.; Espahbodi, Mana; Haynes, David S.; Driscoll, Colin L. W.; Aksamit, Allen J.; Pawate, Siddharama; Lane, John I.; Link, Michael J. (janeiro de 2015). «Cranial Base Manifestations of Neurosarcoidosis». Otology & Neurotology (1): 156–166. ISSN 1531-7129. doi:10.1097/mao.0000000000000501. Consultado em 5 de julho de 2023
- ↑ a b c Bradshaw, Michael J.; Gelfand, Jeffrey M.; Pawate, Siddharama (2 de julho de 2018). «Author response: Infliximab for the treatment of CNS sarcoidosis: A multi-institutional series». Neurology (1): 51.3–52. ISSN 0028-3878. doi:10.1212/wnl.0000000000005725. Consultado em 5 de julho de 2023
- ↑ Baughman, Robert P.; Field, Shelli; Costabel, Ulrich; Crystal, Ronald G.; Culver, Daniel A.; Drent, Marjolein; Judson, Marc A.; Wolff, Gerhard (agosto de 2016). «Sarcoidosis in America. Analysis Based on Health Care Use». Annals of the American Thoracic Society (8): 1244–1252. ISSN 2329-6933. doi:10.1513/annalsats.201511-760oc. Consultado em 5 de julho de 2023
- ↑ a b Joseph, F G; Scolding, N J (1 de março de 2009). «Neurosarcoidosis: a study of 30 new cases». Journal of Neurology, Neurosurgery & Psychiatry (3): 297–304. ISSN 0022-3050. doi:10.1136/jnnp.2008.151977. Consultado em 5 de julho de 2023
- ↑ a b c Moller, David R.; Rybicki, Ben A.; Hamzeh, Nabeel Y.; Montgomery, Courtney G.; Chen, Edward S.; Drake, Wonder; Fontenot, Andrew P. (dezembro de 2017). «Genetic, Immunologic, and Environmental Basis of Sarcoidosis». Annals of the American Thoracic Society (Supplement_6): S429–S436. ISSN 2329-6933. doi:10.1513/annalsats.201707-565ot. Consultado em 5 de julho de 2023
- ↑ Rose, Noel R.; Bona, Constantin (setembro de 1993). «Defining criteria for autoimmune diseases (Witebsky's postulates revisited)». Immunology Today (9): 426–430. ISSN 0167-5699. doi:10.1016/0167-5699(93)90244-f. Consultado em 5 de julho de 2023
- ↑ BERLIN, MARY; FOGDELL-HAHN, ANNA; OLERUP, OLLE; EKLUND, ANDERS; GRUNEWALD, JOHAN (1 de novembro de 1997). «HLA-DR Predicts the Prognosis in Scandinavian Patients with Pulmonary Sarcoidosis». American Journal of Respiratory and Critical Care Medicine (5): 1601–1605. ISSN 1073-449X. doi:10.1164/ajrccm.156.5.9704069. Consultado em 5 de julho de 2023
- ↑ a b Fingerlin, Tasha E.; Hamzeh, Nabeel; Maier, Lisa A. (dezembro de 2015). «Genetics of Sarcoidosis». Clinics in Chest Medicine (4): 569–584. ISSN 0272-5231. doi:10.1016/j.ccm.2015.08.002. Consultado em 5 de julho de 2023
- ↑ van Moorsel, Coline H. M.; Christiani, David C. (1 de novembro de 2012). «Genetic Susceptibility to Sarcoidosis, a Chronic Inflammatory Disorder». American Journal of Respiratory and Critical Care Medicine (9): 816–818. ISSN 1073-449X. doi:10.1164/rccm.201209-1582ed. Consultado em 5 de julho de 2023
- ↑ Judson, Marc A.; Hirst, Kathryn; Iyengar, Sudha K.; Rybicki, Benjamin A.; El Ghormli, Laure; Baughman, Robert P.; Donohue, James F.; Elston, Robert C.; Kavuru, Mani S. (setembro de 2006). «Comparison of Sarcoidosis Phenotypes Among Affected African-American Siblings». Chest (3): 855–862. ISSN 0012-3692. doi:10.1378/chest.130.3.855. Consultado em 5 de julho de 2023
- ↑ a b Chen, Edward S.; Moller, David R. (15 de março de 2015). «Etiologies of Sarcoidosis». Clinical Reviews in Allergy & Immunology (1): 6–18. ISSN 1080-0549. doi:10.1007/s12016-015-8481-z. Consultado em 5 de julho de 2023
- ↑ Iannuzzi, Michael C. (26 de janeiro de 2011). «Sarcoidosis». JAMA (4). 391 páginas. ISSN 0098-7484. doi:10.1001/jama.2011.10. Consultado em 5 de julho de 2023
- ↑ Lower, Elyse E.; Strohofer, Susan; Baughman, Robert P. (março de 1988). «Bleomycin Causes Alveolar Macrophages from Cigarette Smokers to Release Hydrogen Peroxide». The American Journal of the Medical Sciences (3): 193–197. ISSN 0002-9629. doi:10.1097/00000441-198803000-00006. Consultado em 5 de julho de 2023
- ↑ Ramstein, Joris; Broos, Caroline E.; Simpson, Laura J.; Ansel, K. Mark; Sun, Sara A.; Ho, Melissa E.; Woodruff, Prescott G.; Bhakta, Nirav R.; Christian, Laura (1 de junho de 2016). «IFN-γ–Producing T-Helper 17.1 Cells Are Increased in Sarcoidosis and Are More Prevalent than T-Helper Type 1 Cells». American Journal of Respiratory and Critical Care Medicine (11): 1281–1291. ISSN 1073-449X. doi:10.1164/rccm.201507-1499oc. Consultado em 5 de julho de 2023
- ↑ Broos, Caroline E.; Koth, Laura L.; van Nimwegen, Menno; in ‘t Veen, Johannes C.C.M.; Paulissen, Sandra M.J.; van Hamburg, Jan Piet; Annema, Jouke T.; Heller-Baan, Roxane; Kleinjan, Alex (15 de fevereiro de 2018). «Increased T-helper 17.1 cells in sarcoidosis mediastinal lymph nodes». European Respiratory Journal (3). 1701124 páginas. ISSN 0903-1936. doi:10.1183/13993003.01124-2017. Consultado em 5 de julho de 2023
- ↑ Berry, Matthew P. R.; Graham, Christine M.; McNab, Finlay W.; Xu, Zhaohui; Bloch, Susannah A. A.; Oni, Tolu; Wilkinson, Katalin A.; Banchereau, Romain; Skinner, Jason (agosto de 2010). «An interferon-inducible neutrophil-driven blood transcriptional signature in human tuberculosis». Nature (7309): 973–977. ISSN 0028-0836. doi:10.1038/nature09247. Consultado em 5 de julho de 2023
- ↑ Koth, Laura L.; Solberg, Owen D.; Peng, Jeffrey C.; Bhakta, Nirav R.; Nguyen, Christine P.; Woodruff, Prescott G. (15 de novembro de 2011). «Sarcoidosis Blood Transcriptome Reflects Lung Inflammation and Overlaps with Tuberculosis». American Journal of Respiratory and Critical Care Medicine (10): 1153–1163. ISSN 1073-449X. doi:10.1164/rccm.201106-1143oc. Consultado em 5 de julho de 2023
- ↑ a b c d Krumholz, Allan; Stern, Barney J. (2014). «Neurologic manifestations of sarcoidosis». Elsevier: 305–333. Consultado em 5 de julho de 2023
- ↑ a b c d e f g Pawate, S.; Moses, H.; Sriram, S. (20 de abril de 2009). «Presentations and outcomes of neurosarcoidosis: a study of 54 cases». QJM: An International Journal of Medicine (7): 449–460. ISSN 1460-2393. doi:10.1093/qjmed/hcp042. Consultado em 5 de julho de 2023
- ↑ Denny, M. Carter; Fotino, A. Domnica (outubro de 2013). «The Heerfordt-Waldenström Syndrome as an Initial Presentation of Sarcoidosis». Baylor University Medical Center Proceedings (4): 390–392. ISSN 0899-8280. doi:10.1080/08998280.2013.11929014. Consultado em 5 de julho de 2023
- ↑ Yanardag, Halil; Tetikkurt, Cuneyt; Bilir, Muammer (10 de setembro de 2019). «Carpal tunnel syndrome associated with sarcoidosis in identical twin patients». Monaldi Archives for Chest Disease (3). ISSN 2532-5264. doi:10.4081/monaldi.2019.1089. Consultado em 5 de julho de 2023
- ↑ Colvin, I B. (janeiro de 2006). «Audiovestibular Manifestations of Sarcoidosis: A Review of the Literature». The Laryngoscope (1): 75–82. ISSN 0023-852X. doi:10.1097/01.mlg.0000184580.52723.9f. Consultado em 5 de julho de 2023
- ↑ Reda, Haatem M.; Taylor, Sean W.; Klein, Christopher J.; Boes, Christopher J. (23 de maio de 2011). «A case of sensory ataxia as the presenting manifestation of neurosarcoidosis». Muscle & Nerve (6): 900–905. ISSN 0148-639X. doi:10.1002/mus.22045. Consultado em 5 de julho de 2023
- ↑ Mekinian A, Maisonobe L, Boukari L, et al.. Characteristics, outcome and treatments with cranial pachymeningitis: a multicenter French retrospective study of 60 patients. Medicine (Baltimore). 2018;97(30):e11413.
- ↑ a b c Carlson, Matthew L.; White, James R.; Espahbodi, Mana; Haynes, David S.; Driscoll, Colin L. W.; Aksamit, Allen J.; Pawate, Siddharama; Lane, John I.; Link, Michael J. (janeiro de 2015). «Cranial Base Manifestations of Neurosarcoidosis». Otology & Neurotology (1): 156–166. ISSN 1531-7129. doi:10.1097/mao.0000000000000501. Consultado em 5 de julho de 2023
- ↑ Koczman, Jacob J.; Rouleau, Jacinthe; Gaunt, Morgan; Kardon, Randy H.; Wall, Michael; Lee, Andrew G. (janeiro de 2008). «Neuro-ophthalmic Sarcoidosis: The University of Iowa Experience». Seminars in Ophthalmology (3): 157–168. ISSN 0882-0538. doi:10.1080/08820530802007382. Consultado em 5 de julho de 2023
- ↑ a b Durel, Cécile-Audrey; Marignier, Romain; Maucort-Boulch, Delphine; Iwaz, Jean; Berthoux, Emilie; Ruivard, Marc; André, Marc; Le Guenno, Guillaume; Pérard, Laurent (23 de março de 2016). «Clinical features and prognostic factors of spinal cord sarcoidosis: a multicenter observational study of 20 BIOPSY-PROVEN patients». Journal of Neurology (5): 981–990. ISSN 0340-5354. doi:10.1007/s00415-016-8092-5. Consultado em 5 de julho de 2023
- ↑ Soni, Neetu; Bathla, Girish; Pillenahalli Maheshwarappa, Ravishankar (12 de outubro de 2018). «Imaging findings in spinal sarcoidosis: a report of 18 cases and review of the current literature». The Neuroradiology Journal (1): 17–28. ISSN 1971-4009. doi:10.1177/1971400918806634. Consultado em 5 de julho de 2023
- ↑ Flanagan, Eoin P.; Kaufmann, Timothy J.; Krecke, Karl N.; Aksamit, Allen J.; Pittock, Sean J.; Keegan, B. Mark; Giannini, Caterina; Weinshenker, Brian G. (12 de fevereiro de 2016). «Discriminating long myelitis of neuromyelitis optica from sarcoidosis». Annals of Neurology (3): 437–447. ISSN 0364-5134. doi:10.1002/ana.24582. Consultado em 5 de julho de 2023
- ↑ Zalewski, Nicholas L.; Krecke, Karl N.; Weinshenker, Brian G.; Aksamit, Allen J.; Conway, Brittani L.; McKeon, Andrew; Flanagan, Eoin P. (15 de agosto de 2016). «Central canal enhancement and the trident sign in spinal cord sarcoidosis». Neurology (7): 743–744. ISSN 0028-3878. doi:10.1212/wnl.0000000000002992. Consultado em 5 de julho de 2023
- ↑ a b Murphy, Olwen C.; Salazar-Camelo, Andrea; Jimenez, Jorge A.; Barreras, Paula; Reyes, Maria I.; Garcia, Maria A.; Moller, David R.; Chen, Edward S.; Pardo, Carlos A. (8 de abril de 2020). «Clinical and MRI phenotypes of sarcoidosis-associated myelopathy». Neurology - Neuroimmunology Neuroinflammation (4): e722. ISSN 2332-7812. doi:10.1212/nxi.0000000000000722. Consultado em 5 de julho de 2023
- ↑ Anthony, Jeremy; Esper, Gregory J.; Ioachimescu, Adriana (13 de agosto de 2015). «Hypothalamic–pituitary sarcoidosis with vision loss and hypopituitarism: case series and literature review». Pituitary (1): 19–29. ISSN 1386-341X. doi:10.1007/s11102-015-0678-x. Consultado em 5 de julho de 2023
- ↑ Langrand, C.; Bihan, H.; Raverot, G.; Varron, L.; Androdias, G.; Borson-Chazot, F.; Brue, T.; Cathebras, P.; Pinede, L. (30 de junho de 2012). «Hypothalamo-pituitary sarcoidosis: a multicenter study of 24 patients». QJM (10): 981–995. ISSN 1460-2725. doi:10.1093/qjmed/hcs121. Consultado em 5 de julho de 2023
- ↑ Bathla, G.; Watal, P.; Gupta, S.; Nagpal, P.; Mohan, S.; Moritani, T. (28 de dezembro de 2017). «Cerebrovascular Manifestations of Neurosarcoidosis: An Underrecognized Aspect of the Imaging Spectrum». American Journal of Neuroradiology (7): 1194–1200. ISSN 0195-6108. doi:10.3174/ajnr.a5492. Consultado em 5 de julho de 2023
- ↑ Kupersmith, Mark J.; Alban, Therese; Zeiffer, Barbara; Lefton, Daniel (abril de 2002). «Contrast‐enhanced MRI in acute optic neuritis: relationship to visual performance». Brain (4): 812–822. ISSN 1460-2156. doi:10.1093/brain/awf087. Consultado em 5 de julho de 2023
- ↑ Vital, Anne; Vital, Claude (1 de maio de 2014). «Clinical Neuropathology practice guide 3-2014: Combined nerve and muscle biopsy in the diagnostic workup of neuropathy â the Bordeaux experience». Clinical Neuropathology (05): 172–178. ISSN 0722-5091. doi:10.5414/np300740. Consultado em 5 de julho de 2023 C1 control character character in
|título=at position 121 (ajuda) - ↑ a b Tavee, Jinny O.; Karwa, Karen; Ahmed, Zubair; Thompson, Nicolas; Parambil, Joseph; Culver, Daniel A. (maio de 2017). «Sarcoidosis-associated small fiber neuropathy in a large cohort: Clinical aspects and response to IVIG and anti-TNF alpha treatment». Respiratory Medicine: 135–138. ISSN 0954-6111. doi:10.1016/j.rmed.2017.03.011. Consultado em 5 de julho de 2023
- ↑ a b Stern, Barney J.; Royal, Walter; Gelfand, Jeffrey M.; Clifford, David B.; Tavee, Jinny; Pawate, Siddharama; Berger, Joseph R.; Aksamit, Allen J.; Krumholz, Allan (1 de dezembro de 2018). «Definition and Consensus Diagnostic Criteria for Neurosarcoidosis». JAMA Neurology (12). 1546 páginas. ISSN 2168-6149. doi:10.1001/jamaneurol.2018.2295. Consultado em 5 de julho de 2023
- ↑ a b Heij, Lara; Dahan, Albert; Hoitsma, Elske (5 de dezembro de 2012). «Sarcoidosis and Pain Caused by Small-Fiber Neuropathy». Pain Research and Treatment: 1–6. ISSN 2090-1542. doi:10.1155/2012/256024. Consultado em 5 de julho de 2023
- ↑ Cohen Aubart, Fleur; Abbara, Salam; Maisonobe, Thierry; Cottin, Vincent; Papo, Thomas; Haroche, Julien; Mathian, Alexis; Pha, Micheline; Gilardin, Laurent (16 de março de 2018). «Symptomatic muscular sarcoidosis». Neurology - Neuroimmunology Neuroinflammation (3): e452. ISSN 2332-7812. doi:10.1212/nxi.0000000000000452. Consultado em 5 de julho de 2023
- ↑ Ungprasert, Patompong; Carmona, Eva M.; Crowson, Cynthia S.; Matteson, Eric L. (13 de novembro de 2015). «Diagnostic Utility of Angiotensin-Converting Enzyme in Sarcoidosis: A Population-Based Study». Lung (1): 91–95. ISSN 0341-2040. doi:10.1007/s00408-015-9826-3. Consultado em 5 de julho de 2023
- ↑ Eurelings, Laura E. M.; Miedema, Jelle R.; Dalm, Virgil A. S. H.; van Daele, Paul L. A.; van Hagen, P. Martin; van Laar, Jan A. M.; Dik, Willem A. (17 de outubro de 2019). «Sensitivity and specificity of serum soluble interleukin-2 receptor for diagnosing sarcoidosis in a population of patients suspected of sarcoidosis». PLOS ONE (10): e0223897. ISSN 1932-6203. doi:10.1371/journal.pone.0223897. Consultado em 5 de julho de 2023
- ↑ Baud, Maxime O.; Vitt, Jeffrey R.; Robbins, Nathaniel M.; Wabl, Rafael; Wilson, Michael R.; Chow, Felicia C.; Gelfand, Jeffrey M.; Josephson, S. Andrew; Miller, Steve (26 de dezembro de 2017). «Pleocytosis is not fully responsible for low CSF glucose in meningitis». Neurology - Neuroimmunology Neuroinflammation (1): e425. ISSN 2332-7812. doi:10.1212/nxi.0000000000000425. Consultado em 5 de julho de 2023
- ↑ Leonhard, Sonja E.; Fritz, Daan; Eftimov, Filip; van der Kooi, Anneke J.; van de Beek, Diederik; Brouwer, Matthijs C. (abril de 2016). «Neurosarcoidosis in a Tertiary Referral Center». Medicine (14): e3277. ISSN 0025-7974. doi:10.1097/md.0000000000003277. Consultado em 5 de julho de 2023
- ↑ Bridel, Claire; Courvoisier, Delphine S.; Vuilleumier, Nicolas; Lalive, Patrice H. (agosto de 2015). «Cerebrospinal fluid angiotensin-converting enzyme for diagnosis of neurosarcoidosis». Journal of Neuroimmunology: 1–3. ISSN 0165-5728. doi:10.1016/j.jneuroim.2015.05.020. Consultado em 5 de julho de 2023
- ↑ a b Chazal, T.; Costopoulos, M.; Maillart, E.; Fleury, C.; Psimaras, D.; Legendre, P.; Pineton de Chambrun, M.; Haroche, J.; Lubetzki, C. (24 de junho de 2019). «The cerebrospinal fluid <scp>CD</scp> 4/ <scp>CD</scp> 8 ratio and interleukin‐6 and ‐10 levels in neurosarcoidosis: a multicenter, pragmatic, comparative study». European Journal of Neurology (10): 1274–1280. ISSN 1351-5101. doi:10.1111/ene.13975. Consultado em 5 de julho de 2023 line feed character character in
|título=at position 24 (ajuda) - ↑ Wilson, Michael R.; Naccache, Samia N.; Samayoa, Erik; Biagtan, Mark; Bashir, Hiba; Yu, Guixia; Salamat, Shahriar M.; Somasekar, Sneha; Federman, Scot (19 de junho de 2014). «Actionable Diagnosis of Neuroleptospirosis by Next-Generation Sequencing». New England Journal of Medicine (25): 2408–2417. ISSN 0028-4793. doi:10.1056/nejmoa1401268. Consultado em 5 de julho de 2023
- ↑ Salzberg, Steven L.; Breitwieser, Florian P.; Kumar, Anupama; Hao, Haiping; Burger, Peter; Rodriguez, Fausto J.; Lim, Michael; Quiñones-Hinojosa, Alfredo; Gallia, Gary L. (13 de junho de 2016). «Next-generation sequencing in neuropathologic diagnosis of infections of the nervous system». Neurology - Neuroimmunology Neuroinflammation (4): e251. ISSN 2332-7812. doi:10.1212/nxi.0000000000000251. Consultado em 5 de julho de 2023
- ↑ Zamora, C.; Hung, S.-C.; Tomingas, C.; Atkinson, C.; Castillo, M. (20 de setembro de 2018). «Engorgement of Deep Medullary Veins in Neurosarcoidosis: A Common-Yet-Underrecognized Cerebrovascular Finding on SWI». American Journal of Neuroradiology (11): 2045–2050. ISSN 0195-6108. doi:10.3174/ajnr.a5783. Consultado em 5 de julho de 2023
- ↑ Treglia, Giorgio; Annunziata, Salvatore; Sobic-Saranovic, Dragana; Bertagna, Francesco; Caldarella, Carmelo; Giovanella, Luca (maio de 2014). «The Role of 18F-FDG-PET and PET/CT in Patients with Sarcoidosis». Academic Radiology (5): 675–684. ISSN 1076-6332. doi:10.1016/j.acra.2014.01.008. Consultado em 5 de julho de 2023
- ↑ Fritz, Daan; van de Beek, Diederik; Brouwer, Matthijs C.; Booij, Jan (maio de 2020). «Whole-Body 18F-FDG PET-CT in the Diagnosis of Neurosarcoidosis». Mayo Clinic Proceedings (5): 1082–1084. ISSN 0025-6196. doi:10.1016/j.mayocp.2020.01.032. Consultado em 5 de julho de 2023
- ↑ Nakajima,, Takahiro; Yasufuku,, Kazuhiro; Fujiwara,, Taiki; Yoshino,, Ichiro (julho de 2016). «Recent advances in endobronchial ultrasound-guided transbronchial needle aspiration». Respiratory Investigation (4): 230–236. ISSN 2212-5345. doi:10.1016/j.resinv.2016.02.002. Consultado em 5 de julho de 2023
- ↑ Kleinschmidt-DeMasters, B.K.; Rodríguez, Fausto J.; Tihan, Tarik (2016). «Preface». Elsevier: xi. Consultado em 5 de julho de 2023
- ↑ Miloslavsky, Eli M; Naden, Ray P; Bijlsma, Johannes W J; Brogan, Paul A; Brown, E Sherwood; Brunetta, Paul; Buttgereit, Frank; Choi, Hyon K; DiCaire, Jean-Francois (29 de julho de 2016). «Development of a Glucocorticoid Toxicity Index (GTI) using multicriteria decision analysis». Annals of the Rheumatic Diseases (3): 543–546. ISSN 0003-4967. doi:10.1136/annrheumdis-2016-210002. Consultado em 5 de julho de 2023
- ↑ a b c d e f g h i j k l Bradshaw, Michael J.; Gelfand, Jeffrey M.; Pawate, Siddharama (2 de julho de 2018). «Author response: Infliximab for the treatment of CNS sarcoidosis: A multi-institutional series». Neurology (1): 51.3–52. ISSN 0028-3878. doi:10.1212/wnl.0000000000005725. Consultado em 5 de julho de 2023
- ↑ a b c d e f g h Bradshaw, Michael J.; Gelfand, Jeffrey M.; Pawate, Siddharama (2 de julho de 2018). «Author response: Infliximab for the treatment of CNS sarcoidosis: A multi-institutional series». Neurology (1): 51.3–52. ISSN 0028-3878. doi:10.1212/wnl.0000000000005725. Consultado em 5 de julho de 2023
- ↑ Tana, Claudio; Wegener, Susanne; Borys, Ewa; Pambuccian, Stefan; Tchernev, Georgi; Tana, Marco; Adele Giamberardino, Maria; Silingardi, Mauro (3 de outubro de 2015). «Challenges in the diagnosis and treatment of neurosarcoidosis». Annals of Medicine (7): 576–591. ISSN 0785-3890. doi:10.3109/07853890.2015.1093164. Consultado em 5 de julho de 2023