Leucemia linfocítica crónica
| Leucemia linfocítica crónica | |
|---|---|
| Sinónimos | Leucemia linfocítica crónica de células B (LLC-B)[1] |
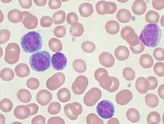
![]() | |
| Amostra de sangue periférico em que se observam células de LLC | |
| Especialidade | Hematologia e oncologia |
| Sintomas | Iniciais: Nenhum[2] Tardios: aumento de volume indolor dos gânglios linfáticos, cansaço, febre, perda de peso[2] |
| Início habitual | >50 anos de idade[3] |
| Fatores de risco | Antecedentes familiares, agente laranja, alguns insecticidas[2][4] |
| Método de diagnóstico | Análises ao sangue[5] |
| Condições semelhantes | Mononucleose, tricoleucemia, leucemia linfoblástica aguda, linfocitose persistente de células B policlonais[5] |
| Tratamento | Vigilância, quimioterapia, imunoterapia[4][5] |
| Prognóstico | Sobrevivência a cinco anos ~83% (EUA)[3] |
| Frequência | 904 000 (2015)[6] |
| Mortes | 60 700 (2015)[7] |
| Classificação e recursos externos | |
| CID-11 | XH15T2 |
| CID-10 | C91.1, C91.10 |
| CID-9 | 204.1 |
| CID-CID-O | 9823, 9823/3 |
| OMIM | 151400, 609630, 109543, 612557, 612559, 612558 |
| DiseasesDB | 2641 |
| MedlinePlus | 000532 |
| eMedicine | 199313 |
| MeSH | D015451 |
Leucemia linfocítica crónica (português europeu) ou crônica (português brasileiro) (LLC) é um tipo de cancro em que a medula óssea produz linfócitos em excesso.[2][8][9]No início da doença geralmente não se manifestam sintomas.[2] À medida que a doença progride pode ocorrer aumento de volume indolor dos gânglios linfáticos, sensação de cansaço, febre, suores noturnos ou perda de peso sem razão aparente.[2][10] Entre outros possíveis sintomas estão o aumento de volume do baço e baixa concentração de glóbulos vermelhos no sangue.[2][4] A doença vai-se geralmente agravando ao longo dos anos.[2]
O fator de risco mais comum são antecedentes familiares da doença.[2] Entre outros possíveis fatores de risco está a exposição ao agente laranja ou a alguns insecticidas.[4] A LLC resulta na acumulação de linfócitos B na medula óssea, nos gânglios linfáticos e no sangue.[4] Estes linfócitos não funcionam corretamente e ocupam o espaço de outras células sanguíneas saudáveis.[2] A LLC pode ser classificada em dois principais tipos, dependendo da presença ou não de uma mutação do gene IGHV.[4] O diagnóstico tem geralmente por base análises ao sangue em que se constante elevada concentração de linfócitos maduros e células manchadas.[5]
Na fase inicial, o tratamento geralmente consiste em vigiar atentamente a evolução da doença.[5] As potenciais infeções devem ser tratadas rapidamente com antibióticos.[4] Em pessoas com sintomas significativos, pode ser considerada quimioterapia ou imunoterapia.[4] À data de 2019, o medicamento recomendado para o início do tratamento é o ibrutinib.[11][12] No passado, o tratamento inicial em pessoas de outra forma saudáveis consistia na administração de fludarabina, ciclofosfamida e rituximab.[13]
Em 2015, a LLC afetava cerca de 904 000 pessoas em todo o mundo e foi a causa de 60 700 mortes.[6][7] A doença é mais comum a partir dos 50 anos de idade e afeta com mais frequência homens do que mulheres.[3] A LLC é muito menos comum em pessoas asiáticas.[4] Nos Estados Unidos, a taxa de sobrevivência a cinco anos após o diagnóstico é de cerca de 83%.[3] A doença corresponde a menos de 1% de todas as mortes por cancro.[7]
Sinais e Sintomas
Muitos pacientes são assintomáticos. O diagnóstico muitas vezes é feito em decorrência da investigação de linfocitose de causa indeterminada presente no hemograma. Quando presentes, os sinais e sintomas não são específicos e podem ocorrer:
- fadiga ou cansaço
- infecção
- febre vespertina
- sudorese noturna
- emagrecimento
- aumento dos linfonodos (linfonodomegalia)
- aumento do baço (esplenomegalia)
- aumento do fígado (hepatomegalia)
Durante a progressão da doença, o paciente pode desenvolver:
- anemia grave devido à produção diminuída de hemácias
- anemia hemolítica autoimune
- sangramentos, em decorrência da plaquetopenia (número baixo de plaquetas)
- infecções, em decorrência da deficiência imunológica.
Diagnóstico
Mais de 25% dos pacientes são assintomáticos. A suspeita de LLC surge em casos de linfadenopatia e uma inexplicável linfocitose. A presença de linfocitose em pacientes adultos aumenta a suspeita de LLC e uma confirmação, em particular pela citometria de fluxo, pode ser realizada a menos que clinicamente isso não seja necessário.
- Hemograma: Número de leucócitos aumentados, com grande número de linfócitos aparentemente maduros (mais de 70% dos leucócitos totais). Pode também ocorrer a visualização de restos celulares no sangue periférico (chamados de "Smudge Cells" ou "manchas de Gumprecth") que nada mais são do que artefatos produzidos por danos aos linfócitos durante a confecção do esfregaço de sangue. Os linfócitos tem alta relação núcleo/citoplasma, cromatina densa e nucléolo pouco evidente. Podem aparecer pró-linfócitos (com nucléolo evidente) mas sua presença é menor que 10%. Pacientes podem desenvolver anemia secundária a infiltração medular, efeito mielossupressivo da quimioterapia, inibição de citocinas, autoimunidade dirigida contra antígenos dos glóbulos vermelhos (ou hemácias), hiperesplenismo (aumento do baço) e por uma má alimentação que leva a deficiência de ferro e ácido fólico. Aproximadamente 15% dos pacientes tem anemia normocítica e normocrômica. Plaquetopenia surge em casos de hiperesplenismo, por substituição medular e por trombocitopenia imune (anticorpos antiplaquetários).
- Mielograma: A medula óssea apresenta-se infiltrada de linfócitos pequenos e bem diferenciados. Células mieloides e eritroides apresentam-se em número diminuído. Devido a imunofenotipagem, tornou-se um exame nem tanto usual no diagnóstico da LLC.
- Citometria de fluxo: O exame diferencia a LLC de outras leucemias células B e das leucemias células T. É um estudo com marcadores de superfície. A LLC usual é uma proliferação de linfócitos B (CD19+, CD20+, CD22+ e CD 23+) e ainda apresentam coexpressão de um marcador linfoide T , o CD5+. O CD5+ é comum em células T e em um subgrupo de células B. A LLC apresenta um antígeno de superfície (SIg) fraco.
- Citogenética: Têm sido demonstrados a deleção do cromossomo 13 (del 13q) em 50% dos casos, a trissomia do cromossomo 12 em 10-30% dos casos, deleção no cromossomo 11 em 10-20% dos casos, deleção do cromossomo 17 em aproximadamente 10% dos casos. Além de deleções no cromossomo 6 e translocações no cromossomo 14.
- Proteínas séricas: No início da doença apresentam-se normais. Mas com o avanço, os pacientes apresentam hipogamaglobulinemia devido a síntese prejudicada de anticorpos.
- Teste de Coombs: Apresenta-se positivo em casos de presença de anemia hemolítica autoimune.
Diagnóstico diferencial
Doenças hematológicas que podem lembrar a LLC quanto a apresentação clínica, comportamento e aparência microscópica incluem linfoma de célula do manto, linfoma da zona marginal, leucemia prolinfocítica B, e linfoma linfoplasmacítico.
- Leucemia pró-linfocítica B, é mais agressiva que a LLC, tem fenótipo celular similar mas as células são maiores que os linfócitos normais e têm nucléolo proeminente. A distinção é importante pois o prognóstico e terapia são diferentes da LLC.
- Leucemia de células cabeludas é também uma neoplasia de linfócitos B mas a análise microscópica demonstra morfologia diferente dos linfócitos, neste caso, as células tem projeções citoplasmáticas e expressam marcador celular único.
Todas neoplasias células B do sangue e da medula óssea podem ser diferenciadas uma das outras pela combinação da morfologia celular, expressão marcador celular.
Classificação e prognóstico
Estágio clínico
Estagiamento, que determina a extensão da doença, é dado pela Classificação Binet ou Rai-Sawitski.[14]
| Classificação de Binet | ||||
| Estágio | Prognóstico | Critérios de definição | % de casos | Sobrevida média (em meses) |
| Estágio A | Bom prognóstico | Linfocitose, taxa de hemoglobina > 10,0 g/l e plaquetas > 100.000/mm3, menos de três linfonodos acometidos |
63 % | > 120 |
| Estágio B | Prognóstico intermediário | Linfocitose, taxa de hemoglobina > 10,0 g/l e plaquetas > 100.000/mm3, mais de três linfonodos acometidos |
30 % | 70 |
| Estágio C | Prognóstico ruim | Linfocitose, taxa de hemoglobina < 10,0 g/l ou plaquetas < 100.000/mm3, qualquer que seja o número de linfonodos acometidos |
7 % | 40 |
Os linfonodos podem ser cervicais, axilares, inguinais (unilaterais ou bilaterais), baço ou fígado. Essas anomalias são determinadas por palpação durante o exame clínico.
| Classificação de RAI (publicada em 1975 e revisada em 1980) | |||
| Estágios | Critérios de definição | Prognóstico | Sobrevida média (em meses) |
| Estágio 0 | Linfocitose no sangue (>5.100/l) e medular isolada sem adenopatia e esplenomegalia | Bom prognóstico | >120 |
| Estágio I | Estágio 0 ( hiperleucocitose) e adenopatias sem esplenomegalia nem hepatomegalia | prognóstico intermediário | >100 |
| Estágio II | Estágio 0 e esplenomegalia e/ou adenopatias e/ou hepatomegalia | 70 | |
| Estágio III | Estágio 0 e anemia (Hb<11g/dl) com ou sem adenopatias ou esplenomegalia ou hepatomegalia | Prognóstico ruim | 24 |
| Estágio IV | Estágio 0 e trombocitopenia (Plaquetas<100.000/mm3 ) com ou sem adenopatias ou esplenomegalia ou hepatomegalia | ||
Mutação Genética
Recentes publicações sugerem que dois[15] ou três[16] grupos prognósticos de LLC existem baseados no estado na maturação da célula. Esta distinção é baseada na maturidade dos linfócitos identificados pela mutação genética na cadeia pesada da imunoglobulina-região variável (IgVH).[17] Pacientes com alto risco têm um padrão imaturo de células com poucas mutações no DNA no anticropo IgVH ao passo que pacientes com baixo risco mostram considerável mutação no DNA na região do anticorpo que indica linfócitos maduros.
Desde que a avaliação das mutações do DNA do anticorpo IgVH é difícil de ser realizada, a presença tanto do CD38 (CD do inglês cluster of differentiation ou "grupamento de diferenciação"), como da cadeia Z associada a proteína quinase-70 (ZAP-70) pode substituir os marcadores de alto risco do subtipo de LLC.[17] A expressão destes marcadores correlaciona-se com estado celular mais imaturo e uma rápida progressão da doença.
FISH
O prognóstico de pacientes com LLC é dependente das mudanças citogenéticas entre a população celular neoplásica. Estas mudanças genéticas podem ser identificadas por pesquisas fluorescentes em partes cromossômicas usando a técnica chamada de FISH (do inglês "fluorescent in situ hybridization").[17] Quatro principais aberrações genéticas são reconhecidas nas células de LLC com maior impacto no comportamento da doença.
- Deleção do braço longo do cromossomo 13 (del 13q): É a anormalidade mais comum na LLC ocorrendo em aproximadamente 50% dos pacientes. Estes pacientes têm o melhor prognóstico e muitos vivem por anos, até décadas, sem precisar de terapia.
- Trissomia 12: Um cromossomo adicional 12, ocorre em 10-30% dos pacientes e tem um prognóstico intermediário.
- Deleções do braço longo do cromossomo 11 (del 11q): Esta anormalidade é encontrada em 10-20% dos pacientes com LLC com prognóstico desfavorável mas não no mesmo grau do del 17p.
- Deleções de parte do braço curto do cromossomo 17 (del 17p): Esta anormalidade é encontrada em 5-10% dos pacientes com LLC e estes têm curta sobrevida.
Complicações
Em raros casos, a LLC pode se transformar em uma doença mais agressiva:
- Transformação prolinfocitoide (LLC/PL): aparecem linfócitos circulantes maiores com características de prolinfócitos. Os prolinfócitos aparecem no sangue periférico em um valor que varia entre 10-55% da contagem geral.
- Síndrome de Richter: a característica do linfócito circulante não altera mas o tumor atinge um ou mais grupos de linfonodos e pode atingir outros órgãos e tecidos (fígado, pele, osso, trato gastrointestinal).
Tratamento
Embora geralmente considerada incurável, a LLC progride lentamente na maioria dos casos. Muitas pessoas com LLC levam uma vida normal e ativa por muitos anos e em alguns casos por décadas. Por causa da evolução lenta, no estágio prematuro geralmente a doença não é tratada desde que a intervenção nestes casos não tragam uma sobrevida maior e nem melhorem a qualidade de vida. Ao invés disto, o monitoramento da condição da doença é feita para detectar qualquer mudança no padrão da doença. A LLC pode evoluir para Síndrome de Richter (um termo usado para descrever o desenvolvimento em linfoma não-Hodgkin de alto grau, leucemia prolinfocítica, doença de Hodgkin, ou leucemia aguda). Esta incidência, em transformação para Síndrome de Ritcher, é estimada em aproximadamente 5% dos casos de pacientes com LLC em fase terminal.[18]
A decisão de iniciar o tratamento é tomada quando o paciente tem sintomas clínicos ou o hemograma indica que a doença progrediu para o ponto em que pode afetar a qualidade de vida do paciente.
O tratamento da LLC é focado no controle da doença e seus sintomas ao invés da cura. LLC é tratada pela quimioterapia, radioterapia, imunoterapia, ou transplante de medula óssea. Os sintomas são às vezes tratados cirurgicamente por exemplo no caso do aumento do baço pode-se fazer a esplenectomia.
O estagiamento da doença pela classificação Rai e Binet podem auxiliar na determinação de quando e como tratar o paciente.[14]
Determinar quando começar o tratamento e por que meios é frequentemente difícil; estudos devem mostrar se há vantagem no tratamento da doença inicial. O National Cancer Institute Working Group tem publicado diretrizes para o tratamento, marcadores específicos da doença devem ser conhecidos antes de iniciar o tratamento.[19]
O tratamento inicial da LLC varia dependendo do diagnóstico exato e da progressão da doença, e até com a preferência e experiência do hematologista. Há dúzias de agentes usados na terapia da LLC, e há que se considerar o estudo destes agentes individualmente e em combinação entre si.[20]
Análogos da Purina
Embora o análogo da purina fludarabina tenha mostrado resposta superior ao do clorambucil como terapia primária,[21][22] não há evidência que o uso inicial da fludarabina melhora totalmente a sobrevida, e alguns médicos preferem reservar a fludarabina na reincidência da doença.
Anticorpo monoclonal
Anticorpos monoclonais usados são o alemtuzumab (contra CD52) e rituximab (contra CD20).
Quimioterapia combinada
Opcções de quimioterapia combinada são eficazes contra a recém diagnóstica doença e a LLC em recaída. Recentemente, testes têm demonstrado que combinações com análogos da purina (fludarabina) com agentes alquilantes (ciclofosfamida) produz melhores indíces de resposta e uma sobrevida maior que outros simples agentes:
- fludarabina com ciclofosfamida[23]
- fludarabina com rituximab[24]
- Protocolo FCR: fludarabina, ciclofosfamida, e rituximab[25]
- Protocolo CHOP: ciclofosfamida, doxorubicina, vincristina e prednisolona
Transplante de medula óssea
O transplante de medula óssea alogênico é raramente usado como primeira linha de tratamento para LLC devido a seu risco. Há um interesse aumentado na redução do uso de transplante de medula óssea alogênico, que oferece uma probalidade de cura para seletos pacientes com doadores compatíveis.[26]
LLC refratária
"LLC refratária" é uma doença que não tem longa resposta favorável ao tratamento. Nestes casos terapias mais agressivas, incluindo lenalidomida, flavopiridol, e transplante de medula são consideradas.[27] Anticopro monoclonal, alemtuzumab (contra CD52), pode ser usada em pacientes com refratária, doença baseada na medula óssea.[28]
Referências
- ↑ O'Brien, Susan; Gribben, John G. (2008). Chronic Lymphocytic Leukemia (em inglês). [S.l.]: CRC Press. p. 19. ISBN 9781420068962
- ↑ a b c d e f g h i j «Chronic Lymphocytic Leukemia Treatment». National Cancer Institute (em inglês). 26 de outubro de 2017. Consultado em 19 de dezembro de 2017
- ↑ a b c d «Chronic Lymphocytic Leukemia - Cancer Stat Facts». seer.cancer.gov (em inglês). Consultado em 20 de dezembro de 2017
- ↑ a b c d e f g h i Kipps, Thomas J.; Stevenson, Freda K.; Wu, Catherine J.; Croce, Carlo M.; Packham, Graham; Wierda, William G.; O'Brien, Susan; Gribben, John; Rai, Kanti (19 de janeiro de 2017). «Chronic lymphocytic leukaemia». Nature Reviews Disease Primers (em inglês). 3: 16096. ISSN 2056-676X. PMC 5336551
. PMID 28102226. doi:10.1038/nrdp.2016.96
- ↑ a b c d e Ferri, Fred F. (2017). Ferri's Clinical Advisor 2018 E-Book: 5 Books in 1 (em inglês). [S.l.]: Elsevier Health Sciences. p. 750. ISBN 9780323529570
- ↑ a b GBD 2015 Disease and Injury Incidence and Prevalence, Collaborators. (8 de outubro de 2016). «Global, regional, and national incidence, prevalence, and years lived with disability for 310 diseases and injuries, 1990-2015: a systematic analysis for the Global Burden of Disease Study 2015.». Lancet. 388 (10053): 1545–1602. PMC 5055577
. PMID 27733282. doi:10.1016/S0140-6736(16)31678-6
- ↑ a b c GBD 2015 Mortality and Causes of Death, Collaborators. (8 de outubro de 2016). «Global, regional, and national life expectancy, all-cause mortality, and cause-specific mortality for 249 causes of death, 1980-2015: a systematic analysis for the Global Burden of Disease Study 2015.». Lancet. 388 (10053): 1459–1544. PMC 5388903
. PMID 27733281. doi:10.1016/s0140-6736(16)31012-1
- ↑ Boelens, J; Lust, S; Vanhoecke, B; Offner, F (fevereiro de 2009). «Chronic lymphocytic leukaemia.». Anticancer Research. 29 (2): 605–15. PMID 19331210
- ↑ Yamamoto, Mihoko; Figueiredo, Vera L. P. (dezembro de 2005). «Epidemiologia da leucemia linfocítica crônica e leucemia linfocítica crônica familiar». Revista Brasileira de Hematologia e Hemoterapia: 229–232. ISSN 1516-8484. doi:10.1590/S1516-84842005000400002. Consultado em 5 de agosto de 2025
- ↑ Hallek, Michael; Shanafelt, Tait D; Eichhorst, Barbara (abril de 2018). «Chronic lymphocytic leukaemia». The Lancet. 391 (10129): 1524–1537. PMID 29477250. doi:10.1016/S0140-6736(18)30422-7
- ↑ «Chronic Lymphocytic Leukemia Treatment». National Cancer Institute (em inglês). 1 de janeiro de 1980. Consultado em 19 de fevereiro de 2019
- ↑ Khan, M; Siddiqi, T (dezembro de 2018). «Targeted Therapies in CLL: Monotherapy Versus Combination Approaches.». Current Hematologic Malignancy Reports. 13 (6): 525–533. PMID 30535947. doi:10.1007/s11899-018-0481-7
- ↑ Hallek, M (setembro de 2017). «Chronic lymphocytic leukemia: 2017 update on diagnosis, risk stratification, and treatment.». American Journal of Hematology. 92 (9): 946–965. PMID 28782884. doi:10.1002/ajh.24826
- ↑ a b National Cancer Institute. «Chronic Lymphocytic Leukemia (PDQ®) Treatment: Stage Information». Consultado em 4 de setembro de 2007
- ↑ Rosenwald A, Alizadeh AA, Widhopf G,; et al. (2001). «Relation of gene expression phenotype to immunoglobulin mutation genotype in B cell chronic lymphocytic leukemia». J. Exp. Med. 194 (11): 1639-47. PMID 11733578
- ↑ Ghia P, Guida G, Stella S,; et al. (2003). «The pattern of CD38 expression defines a distinct subset of chronic lymphocytic leukemia (CLL) patients at risk of disease progression». Blood. 101 (4): 1262-9. PMID 12406914. doi:10.1182/blood-2002-06-1801
- ↑ a b c Shanafelt TD, Byrd JC, Call TG, Zent CS, Kay NE (2006). «Narrative review: initial management of newly diagnosed, early-stage chronic lymphocytic leukemia». Ann. Intern. Med. 145 (6): 435-47. PMID 16983131
- ↑ Tsimberidou AM, Keating MJ. Cancer. 2005 Jan 15;103(2):216-28. "Richter syndrome: biology, incidence, and therapeutic strategies. PMID 15578683 "
- ↑ Cheson BD, Bennett JM, Grever M,; et al. (1996). «National Cancer Institute-sponsored Working Group guidelines for chronic lymphocytic leukemia: revised guidelines for diagnosis and treatment». Blood. 87 (12): 4990-7. PMID 8652811
- ↑ National Cancer Institute. «Chronic Lymphocytic Leukemia (PDQ®) Treatment: Stage I, II, III, and IV Chronic Lymphocytic Leukemia». Consultado em 4 de setembro de 2007
- ↑ Rai KR, Peterson BL, Appelbaum FR,; et al. (2000). «Fludarabine compared with chlorambucil as primary therapy for chronic lymphocytic leukemia». N. Engl. J. Med. 343 (24): 1750-7. PMID 11114313
- ↑ Steurer M, Pall G, Richards S, Schwarzer G, Bohlius J, Greil R (2006). «Purine antagonists for chronic lymphocytic leukaemia». Cochrane database of systematic reviews (Online). 3: CD004270. PMID 16856041. doi:10.1002/14651858.CD004270.pub2
- ↑ Eichhorst BF, Busch R, Hopfinger G, Pasold R, Hensel M, Steinbrecher C, Siehl S, Jäger U, Bergmann M, Stilgenbauer S, Schweighofer C, Wendtner CM, Döhner H, Brittinger G, Emmerich B, Hallek M, German CLL Study Group. (2006). «Fludarabine plus cyclophosphamide versus fludarabine alone in first-line therapy of younger patients with chronic lymphocytic leukemia». Blood. 107: 885-91.|pmid16219797
- ↑ Byrd JC, Peterson BL, Morrison VA,; et al. (2003). «Randomized phase 2 study of fludarabine with concurrent versus sequential treatment with rituximab in symptomatic, untreated patients with B-cell chronic lymphocytic leukemia: results from Cancer and Leukemia Group B 9712 (CALGB 9712)». Blood. 101 (1): 6-14. PMID 12393429. doi:10.1182/blood-2002-04-1258
- ↑ Keating MJ, O'Brien S, Albitar M,; et al. (2005). «Early results of a chemoimmunotherapy regimen of fludarabine, cyclophosphamide, and rituximab as initial therapy for chronic lymphocytic leukemia». J. Clin. Oncol. 23 (18): 4079-88. PMID 15767648. doi:10.1200/JCO.2005.12.051
- ↑ Dreger P, Brand R, Hansz J, Milligan D, Corradini P, Finke J, Deliliers GL, Martino R, Russell N, Van Biezen A, Michallet M, Niederwieser D; Chronic Leukemia Working Party of the EBMT (2003). «Treatment-related mortality and graft-versus-leukemia activity after allogeneic stem cell transplantation for chronic lymphocytic leukemia using intensity-reduced conditioning». Leukemia. 17 (5): 841-8. PMID 12750695
- ↑ National Cancer Institute. «Chronic Lymphocytic Leukemia (PDQ®) Treatment: Refractory Chronic Lymphocytic Leukemia». Consultado em 4 de setembro de 2007
- ↑ Keating MJ, Flinn I, Jain V, Binet JL, Hillmen P, Byrd J, Albitar M, Brettman L, Santabarbara P, Wacker B, Rai KR (2002). «Therapeutic role of alemtuzumab (Campath-1H) in patients who have failed fludarabine: results of a large international study». Blood. 99 (10): 3554-61. PMID 11986207
Ligações externas
- Leucemia Linfocítica Crónica no Manual Merck (em português)
- CLL Topics - Non-profit educational and patient-advocacy organization (excellent resource.) (em inglês)
- CLL Research Consortium - NCI funded program project of leading clinician and scientists trying to cure CLL.(em inglês)
- CLL Canada - Repository of CLL research in laymen's terms. (em inglês)
- Leukemia & Lymphoma Society - General CLL information.(em inglês)
- Lymphomation.org - Lymphoma website with a CLL resource page.(em inglês)
- US National Cancer Institute - General information about CLL. (em inglês)
- Cephalon Receives FDA Approval for TREANDA, a Novel Chemotherapy for Chronic Lymphocytic Leukemia. (em inglês)
- Abrale - Associação Brasileira de Linfoma e Leucemia (em português)
