Lesão traqueobrônquica

Lesão traqueobrônquica
Reconstrução da traqueia e brônquios com tomografia computadorizada mostrando o rompimento do brônquio principal direito com lucência anormal (seta)[1]
EspecialidadeMedicina de urgência
Classificação e recursos externos
CID-11NB32.5
eMedicine362315
A Wikipédia não é um consultório médico. Leia o aviso médico 

A lesão traqueobrônquica é um dano à árvore traqueobrônquica (a estrutura das vias respiratórias que envolve a traqueia e os brônquios).[2] Pode resultar de trauma contuso ou trauma penetrante [en] no pescoço ou no tórax,[3] inalação de vapores nocivos ou de fumaça, ou aspiração de líquidos ou objetos.[4]

Embora rara, a lesão traqueobrônquica é uma condição grave; pode causar obstrução das vias respiratórias, resultando em insuficiência respiratória potencialmente fatal.[2] Outras lesões acompanham a lesão traqueobrônquica em cerca de metade dos casos.[5] Entre os pacientes com lesão traqueobrônquica que falecem, a maioria morre antes de receber cuidados emergenciais, devido a obstrução das vias respiratórias, exsanguinação ou lesões em outros órgãos vitais. Entre aqueles que chegam ao hospital, a taxa de mortalidade pode chegar a 30%.[6]

A lesão traqueobrônquica é frequentemente difícil de diagnosticar e tratar.[7] O diagnóstico precoce é crucial para prevenir complicações, como estenose (estreitamento) das vias respiratórias, infecção respiratória e danos ao tecido pulmonar. O diagnóstico envolve procedimentos como broncoscopia, radiografia e tomografia computadorizada para visualizar a árvore traqueobrônquica. Sinais e sintomas variam conforme a localização e gravidade da lesão; incluem comumente dispneia (dificuldade para respirar), disfonia (voz rouca, fraca ou excessivamente ofegante), tosse e sons respiratórios anormais. Em situações de emergência, a intubação endotraqueal pode ser usada para garantir a permeabilidade das vias respiratórias. Em casos graves, pode ser necessária cirurgia para reparar a lesão.[3]

Sinais e sintomas

Pneumotórax bilateral (setas grandes), pneumomediastino (seta pequena) e enfisema subcutâneo em um paciente com ruptura completa do brônquio direito. O vazamento de ar foi contínuo apesar da sucção.[1]

Os sinais e sintomas variam dependendo da parte da árvore traqueobrônquica afetada e da gravidade do dano.[6] Não há sinais diretos de lesão traqueobrônquica, mas certos sinais sugerem a lesão e aumentam a suspeita clínica.[8] Muitos sinais e sintomas também estão presentes em lesões com mecanismos semelhantes, como pneumotórax.[9] Dispneia e dificuldade respiratória ocorrem em 76–100% dos casos, e hemoptise foi observada em até 25%.[10] Contudo, lesões traqueobrônquicas isoladas raramente causam sangramento abundante; se presente, é provável que seja devido a outra lesão, como ruptura de um grande vaso sanguíneo.[2] O paciente pode apresentar disfonia ou redução dos sons respiratórios, e taquipneia é comum.[3] Tosse pode estar presente,[11] assim como estridor, um som respiratório agudo anormal que indica obstrução das vias respiratórias superiores.[12]

Danos às vias respiratórias podem causar enfisema subcutâneo (ar preso na hipoderme da pele) no abdômen, tórax, pescoço e cabeça.[2] O enfisema subcutâneo, presente em até 85% dos casos,[10] é particularmente indicativo da lesão quando ocorre apenas no pescoço.[13] Ar preso na cavidade torácica fora dos pulmões (pneumotórax) ocorre em cerca de 70% dos casos.[4][10] Evidência forte de lesão traqueobrônquica é a falha do pneumotórax em resolver mesmo com a colocação de um sistema coletor de drenagem pleural ou mediastinal para remover o ar; isso indica vazamento contínuo de ar do local da ruptura.[11] Ar também pode ficar preso no mediastino, o centro da cavidade torácica (pneumomediastino).[4] Se o ar escapa por uma lesão penetrante no pescoço, pode-se confirmar o diagnóstico de lesão traqueobrônquica.[10] O sinal de Hamman, um som de crepitação sincronizado com o batimento cardíaco, também pode acompanhar a lesão.[14]

Causas

Lesões na árvore traqueobrônquica no tórax podem ocorrer devido a forças penetrantes, como ferimentos por arma de fogo, mas são mais frequentemente resultado de trauma contuso.[6] Lesões por forças contusas geralmente decorrem de impactos de alta energia, como quedas de altura e acidentes rodoviários; a lesão é rara em mecanismos de baixo impacto.[2] Lesões na traqueia causam cerca de 1% das mortes relacionadas a acidentes de trânsito.[4] Outras causas potenciais incluem quedas de grandes alturas e lesões por esmagamento torácico.[15] Explosões são outra causa.[16]

Ferimentos por arma de fogo são a forma mais comum de trauma penetrante que causa lesão traqueobrônquica.[15] Menos comumente, ferimentos por faca e estilhaços de acidentes de veículos também podem penetrar as vias respiratórias.[6] A maioria das lesões na traqueia ocorre no pescoço,[3] pois as vias respiratórias no tórax são profundas e bem protegidas; no entanto, até um quarto das lesões traqueobrônquicas por trauma penetrante ocorre no tórax.[10] Lesões na traqueia cervical geralmente afetam a parte anterior (frente) da traqueia.[17]

Certos procedimentos médicos também podem lesionar as vias respiratórias, incluindo intubação traqueal, broncoscopia e traqueotomia.[4] A parte posterior da traqueia pode ser danificada durante a traqueotomia.[18] Lesões traqueobrônquicas por intubação traqueal são raras, e o mecanismo não é claro.[19] Um mecanismo provável envolve um tubo traqueal [en] preso em uma dobra da membrana, rasgando-a ao ser avançado pelas vias respiratórias.[20] Quando um tubo traqueal rasga a traqueia, geralmente o faz na parede membranosa posterior.[17] Diferentemente das lesões por trauma contuso, a maioria das lesões iatrogênicas envolve rasgos longitudinais na parte posterior da traqueia ou rasgos laterais que separam a parte membranosa da cartilagem.[20] Pressão excessiva do balonete de um tubo traqueal pode reduzir o suprimento sanguíneo para os tecidos da traqueia, causando isquemia, potencialmente levando a ulceração, infecção e, posteriormente, estreitamento.[4]

A mucosa da traqueia também pode ser lesionada pela inalação de gases quentes ou vapores nocivos, como cloro.[17] Isso pode causar edema (inchaço), necrose (morte do tecido), formação de cicatrizes e, por fim, estenose.[17] No entanto, lesões traqueobrônquicas por inalação, aspiração de corpos estranhos ou procedimentos médicos são incomuns.[17]

Mecanismo

As estruturas da árvore traqueobrônquica são bem protegidas, exigindo normalmente grande força para lesioná-las.[6] No trauma contuso, a lesão traqueobrônquica geralmente resulta de compressão violenta do tórax.[5][10] A hiperextensão rápida do pescoço, comum em acidentes rodoviários, também pode lesionar a traqueia, e traumas no pescoço podem esmagar a traqueia contra as vértebras.[10] Uma lesão por esmagamento da laringe ou traqueia cervical pode ocorrer em colisões frontais quando o pescoço é hiperextendido e atinge o volante ou painel, conhecida como “lesão de painel”.[10] A laringe e a traqueia cervical também podem ser lesionadas em colisões frontais pelo cinto de segurança.[10]

Embora o mecanismo não seja totalmente compreendido, a lesão traqueobrônquica por trauma contuso é amplamente atribuída a uma combinação de três mecanismos possíveis: aumento da pressão nas vias respiratórias, tensão de cisalhamento e separação. O primeiro tipo, chamado “ruptura explosiva”, pode ocorrer quando o tórax é violentamente comprimido, por exemplo, quando um motorista atinge o volante em um acidente.[4] A pressão nas vias respiratórias, especialmente nas maiores (traqueia e brônquios), aumenta rapidamente devido à compressão,[21] pois a glote se fecha reflexivamente.[2] Quando essa pressão excede a elasticidade dos tecidos, eles se rompem; assim, a parte membranosa da traqueia é mais comumente afetada por esse mecanismo do que as porções cartilaginosas.[22]

O segundo mecanismo ocorre quando o tórax é subitamente desacelerado, como em acidentes rodoviários, produzindo uma força de cisalhamento.[22] Os pulmões são móveis na cavidade torácica, mas seu movimento é mais restrito próximo ao hilo pulmonar.[22] Áreas próximas à cartilagem cricoide e à carina são fixadas à cartilagem tireoide e ao pericárdio, respectivamente; assim, se as vias respiratórias se movem, podem rasgar nesses pontos de fixação.[2]

O terceiro mecanismo ocorre quando o tórax é comprimido de frente para trás, causando alargamento lateral.[10] Os pulmões aderem à parede torácica devido à pressão negativa entre eles e as membranas pleurais; assim, quando o tórax se alarga, eles são separados.[10] Isso cria tensão na carina; a via aérea rasga se essa força de tensão excede sua elasticidade.[10] Esse mecanismo pode ser a causa da lesão quando o tórax é esmagado.[22] A maioria das lesões traqueobrônquicas provavelmente resulta de uma combinação desses três mecanismos.[6]

Quando as vias respiratórias são danificadas, o ar pode escapar e ficar preso nos tecidos circundantes no pescoço (enfisema subcutâneo) e mediastino (pneumomediastino); se a pressão aumenta significativamente, pode comprimir as vias respiratórias.[2] Vazamentos massivos de ar de uma via aérea rompida também podem comprometer a circulação, impedindo o retorno de sangue ao coração, causando redução potencialmente fatal no volume de sangue bombeado.[7] Sangue e outros fluidos podem se acumular nas vias respiratórias, e a lesão pode interferir na permeabilidade e continuidade da via aérea.[2] No entanto, mesmo se a traqueia for completamente transeccionada, os tecidos ao redor podem mantê-la unida o suficiente para permitir troca de ar adequada, pelo menos inicialmente.[4]

Anatomia

Diagrama da laringe, traqueia e brônquios

A traqueia e os brônquios formam a árvore traqueobrônquica. A traqueia está localizada entre o extremo inferior da laringe e o centro do tórax, onde se divide em dois brônquios em uma crista chamada carina da traqueia. A traqueia é estabilizada e mantida aberta por anéis de cartilagem que envolvem a frente e os lados; esses anéis não são fechados e não cercam a parte posterior, composta por membrana.[21] Os brônquios se dividem em ramos menores e depois em bronquíolos que fornecem ar aos alvéolos, pequenos sacos cheios de ar nos pulmões responsáveis pela absorção de oxigênio. Uma divisão arbitrária pode ser feita entre a traqueia intratorácica e cervical na abertura torácica superior [en], uma abertura no topo da cavidade torácica.[17] Estruturas anatômicas que cercam e protegem a árvore traqueobrônquica incluem os pulmões, o esôfago, grandes vasos sanguíneos, a caixa torácica, a coluna torácica e o esterno.[17] Crianças têm traqueias mais macias e árvores traqueobrônquicas mais elásticas que adultos; essa elasticidade, que protege as estruturas de lesões por compressão, pode contribuir para a menor incidência de lesões traqueobrônquicas em crianças.[21]

Diagnóstico

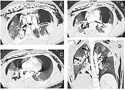
Paciente com ruptura completa traumática do brônquio direito. Tomografia computadorizada após drenagem torácica de emergência. Seções axiais de 1,25 mm com janela pulmonar. (a) Pneumotórax bilateral persistente, pneumomediastino e enfisema subcutâneo extenso. (b) Múltiplas lucências ao redor da árvore brônquica direita (seta curva) dificultando o reconhecimento da ruptura brônquica. (c) Efeito Macklin ao redor da veia pulmonar inferior direita (seta branca). (d) Vista coronal mostrando áreas de consolidação alveolar nos lobos superior e inferior direitos: lucências intraparenquimatosas resultantes de lacerações pulmonares são visíveis à direita (setas grossas).

O diagnóstico rápido e o tratamento são essenciais no cuidado da lesão traqueobrônquica;[6] se a lesão não for diagnosticada logo após o trauma, o risco de complicações aumenta.[11] A broncoscopia é o método mais eficaz para diagnosticar, localizar e determinar a gravidade da lesão,[6][10] sendo geralmente o único que permite um diagnóstico definitivo.[23] O diagnóstico com broncoscópio flexível, que permite visualizar diretamente a lesão, é a técnica mais rápida e confiável.[8] Na lesão traqueobrônquica, a broncoscopia pode revelar rasgo na via aérea, obstrução por sangue ou colapso de um brônquio, obscurecendo brônquios mais distais.[3]

A radiografia de tórax é a técnica inicial de imagem usada para diagnosticar a lesão traqueobrônquica.[17] A imagem pode não mostrar sinais em pacientes assintomáticos.[15] Indicações de lesão traqueobrônquica em radiografias incluem deformidade na traqueia ou defeito na parede traqueal.[17] Radiografias também podem mostrar enfisema cervical, ar nos tecidos do pescoço.[2] Raios X podem revelar lesões associadas e sinais como fraturas e enfisema subcutâneo.[2] Se o enfisema subcutâneo ocorre e o osso hioide aparece em uma radiografia posicionado anormalmente alto na garganta, pode indicar que a traqueia foi seccionada.[4] A lesão traqueobrônquica também é suspeita se um tubo traqueal aparece deslocado em uma radiografia, ou se seu balonete parece mais cheio que o normal ou protrai através de um rasgo na via aérea.[17] Se um brônquio é completamente rasgado, o pulmão pode colapsar para fora, em direção à parede torácica (em vez de para dentro, como no pneumotórax usual), pois perde a fixação ao brônquio que o mantém centralizado.[6] Em uma pessoa deitada de costas, o pulmão colapsa em direção ao diafragma e às costas.[23] Esse sinal, descrito em 1969, chamado sinal do pulmão caído, é patognomônico [en] da lesão traqueobrônquica (diagnóstico exclusivo, pois não ocorre em outras condições); no entanto, é raro.[6] Em até um em cinco casos de trauma contuso com lesão traqueobrônquica, não há sinais na radiografia torácica.[23] A tomografia computadorizada detecta mais de 90% das lesões traqueobrônquicas por trauma contuso,[3] mas nem raios X nem tomografia substituem a broncoscopia.[6]

Pelo menos 30% das lesões traqueobrônquicas não são descobertas inicialmente;[4] esse número pode chegar a 50%.[24] Em cerca de 10% dos casos, a lesão traqueobrônquica não apresenta sinais específicos clinicamente ou na radiografia torácica, e sua detecção pode ser complicada por lesões concomitantes, já que a lesão tende a ocorrer após acidentes de alta energia.[2] Semanas ou meses podem passar antes do diagnóstico, embora a lesão seja mais conhecida hoje.[22]

Classificação

As lesões podem ser transversais, entre os anéis da traqueia, longitudinais ou espirais. Podem ocorrer na parte membranosa da traqueia, nos brônquios principais ou em ambos.[2] Em 8% das rupturas, as lesões são complexas, ocorrendo em mais de um local, com mais de um tipo de lesão, ou em ambos os brônquios principais e na traqueia.[2] Rasgos transversais são mais comuns que longitudinais ou complexos.[17] A laceração pode transeccionar completamente a via aérea ou apenas parcialmente. Rasgos parciais que não circundam toda a circunferência não permitem que a via aérea lacerada se desprenda completamente; rasgos que envolvem toda a circunferência podem causar separação.[23] As lacerações também podem ser classificadas como completas ou incompletas.[4] Em lesões incompletas, uma camada de tecido ao redor do brônquio permanece intacta, mantendo o ar na via aérea e evitando vazamento para as áreas circundantes.[14] Lesões incompletas podem exigir maior escrutínio para detecção[24] e podem não ser diagnosticadas imediatamente.[14]

Lesões brônquicas são divididas entre aquelas acompanhadas por ruptura da pleura e aquelas sem ruptura; na primeira, o ar pode vazar pelo orifício na via aérea, formando um pneumotórax.[15] O segundo tipo está associado a sinais mais leves; o pneumotórax, se ocorre, é pequeno, e embora a função seja perdida na parte do pulmão suprida pelo brônquio lesionado, partes não afetadas podem compensar.[15]

A maioria das lesões traqueobrônquicas por trauma contuso ocorre no tórax.[10] A lesão traqueal mais comum é um rasgo próximo à carina ou na parede membranosa da traqueia.[15] Em traumas torácicos contusos, a lesão traqueobrônquica ocorre dentro de 2,5 cm da carina em 40–80% dos casos.[2] A lesão é mais comum no brônquio principal direito que no esquerdo, possivelmente porque o primeiro está próximo às vértebras, que podem lesioná-lo.[2] Além disso, a aorta e outros tecidos no meio do tórax que cercam o brônquio principal esquerdo podem protegê-lo.[22] Outra possibilidade é que pacientes com lesões no brônquio principal esquerdo tenham maior probabilidade de apresentar outras lesões fatais e morram antes de chegar ao hospital, reduzindo sua inclusão em estudos.[6]

Prevenção

Ocupantes de veículos que usam cintos de segurança têm menor incidência de lesão traqueobrônquica após acidentes.[25] No entanto, se a faixa do cinto estiver posicionada sobre a frente do pescoço (em vez do tórax), aumenta o risco de lesão traqueal.[10] O design de instrumentos médicos pode ser modificado para prevenir lesões iatrogênicas, e os profissionais podem usar técnicas que reduzem o risco durante procedimentos como traqueotomia.[18]

Tratamento

Um tubo traqueal pode ser usado para contornar uma interrupção na via aérea

O tratamento da lesão traqueobrônquica varia com base na localização e gravidade da lesão e se o paciente está estável ou com dificuldade para respirar,[2] mas garantir a permeabilidade da via aérea para que o paciente possa respirar é sempre prioritário.[10] Garantir uma via aérea aberta e ventilação adequada pode ser difícil em pacientes com lesão traqueobrônquica.[3] A intubação, um método para assegurar a via aérea, pode ser usada para contornar uma interrupção, enviando ar aos pulmões.[3] Se necessário, um tubo pode ser colocado no brônquio não lesionado, ventilando um único pulmão.[3] Se há uma lesão penetrante no pescoço por onde o ar escapa, a traqueia pode ser intubada através da ferida.[10] Múltiplas tentativas frustradas de laringoscopia convencional podem ameaçar a via aérea, então técnicas alternativas, como laringoscopia fiberóptica ou de vídeo, podem ser usadas para facilitar a intubação traqueal.[10] Se a traqueia superior está lesionada, uma incisão pode ser feita na traqueia (traqueotomia) ou na membrana cricotireóideo (cricotireoidotomia) para garantir uma via aérea aberta.[6] No entanto, a cricotireoidotomia pode não ser útil se a traqueia estiver lacerada abaixo do local da via aérea artificial.[10] A traqueotomia é usada com parcimônia, pois pode causar complicações como infecções e estreitamento da traqueia e laringe.[26] Quando é impossível estabelecer uma via aérea suficiente, ou quando uma cirurgia complexa é necessária, a circulação extracorpórea pode ser usada—o sangue é bombeado para fora do corpo, oxigenado por uma máquina e retornado.[26] Se ocorre pneumotórax, um tubo torácico pode ser inserido na cavidade pleural para remover o ar.[12]

Laceração do brônquio principal esquerdo, resultando em pneumotórax. O ar é evacuado da cavidade torácica com um sistema coletor de drenagem pleural ou mediastinal.

Pacientes com lesão traqueobrônquica recebem oxigênio suplementar e podem precisar de ventilação mecânica.[13] Medidas como pressão expiratória final positiva (PEEP) e ventilação com pressões acima do normal podem ajudar a manter oxigenação adequada.[3] No entanto, tais medidas podem aumentar o vazamento de ar através de um rasgo e estressar as suturas de uma lesão reparada cirurgicamente; assim, as menores pressões possíveis que mantêm a oxigenação são usadas.[3] O uso de ventilação de alta frequência foi relatado.[27] A ventilação mecânica também pode causar barotrauma pulmonar quando alta pressão é necessária para ventilar os pulmões.[3] Técnicas como limpeza pulmonar (remoção de secreções), manejo de fluidos e tratamento de pneumonia são usadas para melhorar a complacência pulmonar (elasticidade dos pulmões).[26]

Embora a lesão traqueobrônquica possa ser manejada sem cirurgia, o reparo cirúrgico do rasgo é considerado padrão na maioria dos casos.[3][28] É necessário se o rasgo interfere na ventilação; se ocorre mediastinite (inflamação dos tecidos no meio do tórax); ou se o enfisema subcutâneo ou mediastinal progride rapidamente;[3] ou se o vazamento de ar ou pneumotórax persistente ocorre apesar do tubo torácico.[12] Outras indicações para cirurgia incluem rasgo superior a um terço da circunferência da via aérea, rasgos com perda de tecido e necessidade de ventilação com pressão positiva.[26] Tecido danificado ao redor de uma ruptura (ex.: tecido rasgado ou cicatrizado) pode ser removido para obter bordas limpas que podem ser reparadas cirurgicamente.[22] Desbridamento de tecido danificado pode encurtar a traqueia em até 50%.[29] Reparos de rasgos extensos podem incluir a sutura de um retalho de tecido retirado das membranas ao redor do coração ou pulmões (pericárdio e pleura, respectivamente) sobre as suturas para protegê-las.[2] Quando o tecido pulmonar é destruído devido a complicações, pneumonectomia ou lobectomia (remoção de um pulmão ou de um lobo, respectivamente) pode ser necessária.[30] A pneumonectomia é evitada sempre possível devido à alta taxa de mortalidade associada.[3] A cirurgia para reparar um rasgo na árvore traqueobrônquica pode ser bem-sucedida mesmo meses após o trauma, como ocorre se o diagnóstico é tardio.[3] Quando ocorre estenose da via aérea após diagnóstico tardio, a cirurgia é semelhante à realizada após diagnóstico precoce: a seção estenótica é removida e a via aérea cortada é reparada.[29]

Prognóstico e complicações

Estenose brônquica (seta) duas semanas após cirurgia para laceração traqueobrônquica.[1]

A maioria dos pacientes com lesão traqueobrônquica que vem a óbito o faz minutos após a lesão, devido a complicações como pneumotórax, insuficiência da via aérea ou outras lesões concomitantes.[5] A maioria das mortes tardias é atribuída a sepse ou síndrome da disfunção de múltiplos órgãos (SDMO).[2] Se a condição não é reconhecida e tratada precocemente, complicações graves são mais prováveis;[30] pneumonia e bronquiectasia podem ocorrer como complicações tardias.[3] Anos podem passar antes que a condição seja reconhecida.[9][30] Algumas lesões traqueobrônquicas são tão pequenas que não apresentam manifestações clínicas significativas; podem nunca ser notadas ou diagnosticadas e curar sem intervenção.[30]

Se tecido de granulação cresce sobre o local lesionado, pode causar estenose da via aérea após uma semana a um mês.[4] O tecido de granulação deve ser excisado cirurgicamente.[26] O diagnóstico tardio de uma ruptura brônquica aumenta o risco de infecção e prolonga a internação.[29] Pacientes com via aérea estreitada podem desenvolver dispneia, tosse, sibilo, infecção respiratória e dificuldade para eliminar secreções.[10] Se o bronquíolo está completamente obstruído, ocorre atelectasia: os alvéolos do pulmão colapsam.[4] O tecido pulmonar distal a um bronquíolo completamente obstruído frequentemente não é infectado. Como está cheio de muco, esse tecido permanece funcional.[22] Quando as secreções são removidas, a porção afetada do pulmão geralmente funciona quase normalmente.[30] No entanto, infecção é comum em pulmões distais a um bronquíolo parcialmente obstruído.[22] O tecido pulmonar infectado distal a uma estenose pode ser danificado, e sibilos e tosse podem surgir devido ao estreitamento.[15] Além da pneumonia, a estenose pode causar bronquiectasia, com dilatação dos brônquios.[22] Mesmo após a restauração de uma via aérea com estenose, a perda de função pulmonar pode ser permanente.[22]

Complicações também podem ocorrer com o tratamento; por exemplo, um granuloma pode se formar no local da sutura.[2] Além disso, a ferida suturada pode rasgar novamente, como ocorre quando há pressão excessiva nas vias respiratórias pela ventilação.[2] No entanto, para aqueles que recebem cirurgia logo após a lesão para reparar a lesão, o prognóstico é geralmente bom; o resultado a longo prazo é positivo para mais de 90% dos pacientes que têm a lesão reparada cirurgicamente no início do tratamento.[10] Mesmo quando a cirurgia é realizada anos após a lesão, o prognóstico é bom, com baixas taxas de mortalidade e incapacidade e boas chances de preservar a função pulmonar.[30]

Epidemiologia

A ruptura da traqueia ou brônquio é o tipo mais comum de lesão contusa na via aérea.[22] É difícil determinar a incidência da lesão traqueobrônquica: em até 30–80% dos casos, a morte ocorre antes do paciente chegar ao hospital, e esses casos podem não ser incluídos em estudos.[3] Por outro lado, algumas lesões são tão pequenas que não causam sintomas significativos e nunca são notadas.[30] Além disso, a lesão pode não estar associada a sintomas até que complicações se desenvolvam, dificultando a estimativa da verdadeira incidência.[6] No entanto, estudos de autópsia revelaram lesão traqueobrônquica em 2,5–3,2% das pessoas que morreram após trauma.[3] De todos os traumas de pescoço e tórax, incluindo aqueles que morreram imediatamente, estima-se que a lesão traqueobrônquica ocorra em 0,5–2%.[30] Estima-se que 0,5% dos pacientes com politrauma [en] tratados em centros de trauma tenham lesão traqueobrônquica.[10] A incidência é estimada em 2% em traumas torácicos e cervicais contusos e 1–2% em traumas torácicos penetrantes.[10] Lesões laringotraqueais ocorrem em 8% dos pacientes com lesão penetrante no pescoço, e a lesão traqueobrônquica ocorre em 2,8% das mortes por trauma torácico contuso.[6] Em pacientes com trauma contuso que chegam vivos ao hospital, estudos encontraram incidências de 2,1% e 5,3%.[2] Outro estudo de trauma torácico contuso revelou uma incidência de apenas 0,3%, mas uma taxa de mortalidade de 67% (possivelmente devido, em parte, a lesões associadas).[6] A incidência de lesões traqueobrônquicas iatrogênicas (causadas por procedimentos médicos) está aumentando, e o risco pode ser maior para mulheres e idosos.[31] A lesão traqueobrônquica ocorre cerca de uma vez a cada 20.000 intubações orais, mas em intubações emergenciais, a incidência pode chegar a 15%.[31]

A taxa de mortalidade para pacientes que chegam vivos ao hospital foi estimada em 30% em 1966;[2] estimativas mais recentes indicam 9%.[22] O número de pacientes que chegam vivos ao hospital aumentou, possivelmente devido a melhorias no atendimento pré-hospitalar ou centros de tratamento especializados.[10] Dos que chegam vivos mas morrem, a maioria o faz nas primeiras duas horas após a chegada.[9] Quanto mais cedo a lesão traqueobrônquica é diagnosticada, maior a taxa de mortalidade; isso provavelmente se deve a outras lesões concomitantes fatais.[22]

Lesões associadas frequentemente desempenham um papel crucial no desfecho.[10] Lesões que podem acompanhar a lesão traqueobrônquica incluem contusão pulmonar e laceração pulmonar [en]; e fratura de esterno, costelas e clavículas.[2] Lesão medular, trauma facial, ruptura aórtica traumática, trauma abdominal, lesões pulmonares e traumatismo craniano estão presentes em 40–100% dos casos.[17] A lesão associada mais comum é a perfuração ou ruptura esofágica (conhecida como síndrome de Boerhaave), que ocorre em até 43% das lesões penetrantes no pescoço que causam lesão traqueal.[6]

História

Ao longo da maior parte da história, a taxa de mortalidade da lesão traqueobrônquica era considerada 100%.[5] No entanto, em 1871, uma lesão traqueobrônquica cicatrizada foi notada em um pato morto por um caçador, demonstrando que a lesão poderia ser sobrevivida, pelo menos em geral.[6] Esse relato, feito por Winslow, foi o primeiro registro na literatura médica de uma lesão brônquica.[22] Em 1873, Seuvre fez um dos primeiros relatos de lesão traqueobrônquica na literatura médica: uma mulher de 74 anos cujo tórax foi esmagado por uma roda de carroça apresentou, na autópsia, uma amputação do brônquio direito.[22] A sobrevivência a longo prazo em humanos era desconhecida até um relato em 1927.[5][6] Em 1931, um relato de Nissen descreveu a remoção bem-sucedida de um pulmão em uma menina de 12 anos com estreitamento do brônquio devido à lesão.[22] O reparo da lesão traqueobrônquica provavelmente foi tentado pela primeira vez em 1945, quando o primeiro caso documentado de sutura bem-sucedida de um brônquio lacerado foi relatado.[6] Antes de 1950, a taxa de mortalidade era 36%; em 2001, caiu para 9%;[3][22] essa melhoria provavelmente se deve a avanços nos tratamentos e técnicas cirúrgicas, incluindo aquelas para lesões comumente associadas à lesão traqueobrônquica.[3]

Ver também

Referências

  1. a b c Le Guen M, Beigelman C, Bouhemad B, Wenjïe Y, Marmion F, Rouby JJ (2007). «Chest computed tomography with multiplanar reformatted images for diagnosing traumatic bronchial rupture: a case report». Critical Care. 11 (5): R94. PMC 2556736Acessível livremente. PMID 17767714. doi:10.1186/cc6109Acessível livremente 
  2. a b c d e f g h i j k l m n o p q r s t u v w x Chu CP, Chen PP (abril de 2002). «Tracheobronchial injury secondary to blunt chest trauma: diagnosis and management». Anaesthesia and Intensive Care. 30 (2): 145–52. PMID 12002920. doi:10.1177/0310057X0203000204Acessível livremente 
  3. a b c d e f g h i j k l m n o p q r s t u Johnson SB (2008). «Tracheobronchial injury». Seminars in Thoracic and Cardiovascular Surgery. 20 (1): 52–7. PMID 18420127. doi:10.1053/j.semtcvs.2007.09.001 
  4. a b c d e f g h i j k l m Stark P (1995). «Imaging of tracheobronchial injuries». Journal of Thoracic Imaging. 10 (3): 206–19. PMID 7674433. doi:10.1097/00005382-199522000-00006 
  5. a b c d e Barmada H, Gibbons JR (julho de 1994). «Tracheobronchial injury in blunt and penetrating chest trauma». Chest. 106 (1): 74–8. PMID 8020323. doi:10.1378/chest.106.1.74 
  6. a b c d e f g h i j k l m n o p q r s t Riley et al. (2004). pp. 544–7.
  7. a b Tovar JA (fevereiro de 2008). «The lung and pediatric trauma». Seminars in Pediatric Surgery. 17 (1): 53–9. PMID 18158142. doi:10.1053/j.sempedsurg.2007.10.008 
  8. a b Rico FR, Cheng JD, Gestring ML, Piotrowski ES (abril de 2007). «Mechanical ventilation strategies in massive chest trauma». Critical Care Clinics. 23 (2): 299–315, xi. PMID 17368173. doi:10.1016/j.ccc.2006.12.007 
  9. a b c Nakayama DK, Rowe MI (1988). «Intrathoracic tracheobronchial injuries in childhood». International Anesthesiology Clinics. 26 (1): 42–9. PMID 3283046. doi:10.1097/00004311-198802610-00009 
  10. a b c d e f g h i j k l m n o p q r s t u v w x y Karmy-Jones R, Wood DE (fevereiro de 2007). «Traumatic injury to the trachea and bronchus». Thoracic Surgery Clinics. 17 (1): 35–46. PMID 17650695. doi:10.1016/j.thorsurg.2007.03.005 
  11. a b c Hwang JC, Hanowell LH, Grande CM (1996). «Peri-operative concerns in thoracic trauma». Baillière's Clinical Anaesthesiology. 10 (1): 123–153. doi:10.1016/S0950-3501(96)80009-2 
  12. a b c Wilderman MJ, Kaiser LR (2005). «Thoracic malignancy and pathophysiology». In: Atluri P, Karakousis GC, Porrett PM, Kaiser LR. The Surgical Review: An Integrated Basic and Clinical Science Study Guide. Hagerstown, MD: Lippincott Williams & Wilkins. p. 376. ISBN 0-7817-5641-3 
  13. a b Paidas CN. (15 de setembro de 2006) Thoracic Trauma. Acessado em 13 de junho de 2007.
  14. a b c Wong EH, Knight S (maio de 2006). «Tracheobronchial injuries from blunt trauma». ANZ Journal of Surgery. 76 (5): 414–5. PMID 16768706. doi:10.1111/j.1445-2197.2006.03738.x 
  15. a b c d e f g Smith M, Ball V (1998). «Thoracic trauma». Cardiovascular/respiratory physiotherapy. St. Louis: Mosby. p. 217. ISBN 0-7234-2595-7. Consultado em 12 de junho de 2008 
  16. Gabor S, Renner H, Pinter H, Sankin O, Maier A, Tomaselli F, Smolle Jüttner FM (agosto de 2001). «Indications for surgery in tracheobronchial ruptures». European Journal of Cardio-Thoracic Surgery. 20 (2): 399–404. PMID 11463564. doi:10.1016/S1010-7940(01)00798-9Acessível livremente 
  17. a b c d e f g h i j k l Euathrongchit J, Thoongsuwan N, Stern EJ (março de 2006). «Nonvascular mediastinal trauma». Radiologic Clinics of North America. 44 (2): 251–8, viii. PMID 16500207. doi:10.1016/j.rcl.2005.10.001 
  18. a b Trottier SJ, Hazard PB, Sakabu SA, Levine JH, Troop BR, Thompson JA, McNary R (maio de 1999). «Posterior tracheal wall perforation during percutaneous dilational tracheostomy: an investigation into its mechanism and prevention». Chest. 115 (5): 1383–9. PMID 10334157. doi:10.1378/chest.115.5.1383 
  19. Miñambres E, González-Castro A, Burón J, Suberviola B, Ballesteros MA, Ortiz-Melón F (junho de 2007). «Management of postintubation tracheobronchial rupture: our experience and a review of the literature». European Journal of Emergency Medicine. 14 (3): 177–9. PMID 17473617. doi:10.1097/MEJ.0b013e3280bef8f0 
  20. a b Conti M, Pougeoise M, Wurtz A, Porte H, Fourrier F, Ramon P, Marquette CH (agosto de 2006). «Management of postintubation tracheobronchial ruptures». Chest. 130 (2): 412–8. PMID 16899839. doi:10.1378/chest.130.2.412 
  21. a b c Granholm T, Farmer DL (março de 2001). «The surgical airway». Respiratory Care Clinics of North America. 7 (1): 13–23. PMID 11584802. doi:10.1016/S1078-5337(05)70020-4 
  22. a b c d e f g h i j k l m n o p q r Kiser AC, O'Brien SM, Detterbeck FC (junho de 2001). «Blunt tracheobronchial injuries: treatment and outcomes». The Annals of Thoracic Surgery. 71 (6): 2059–65. PMID 11426809. doi:10.1016/S0003-4975(00)02453-XAcessível livremente 
  23. a b c d Wintermark M, Schnyder P, Wicky S (2001). «Blunt traumatic rupture of a mainstem bronchus: spiral CT demonstration of the "fallen lung" sign». European Radiology. 11 (3): 409–11. PMID 11288843. doi:10.1007/s003300000581 
  24. a b Scaglione M, Romano S, Pinto A, Sparano A, Scialpi M, Rotondo A (setembro de 2006). «Acute tracheobronchial injuries: Impact of imaging on diagnosis and management implications». European Journal of Radiology. 59 (3): 336–43. PMID 16782296. doi:10.1016/j.ejrad.2006.04.026 
  25. Atkins BZ, Abbate S, Fisher SR, Vaslef SN (janeiro de 2004). «Current management of laryngotracheal trauma: case report and literature review». The Journal of Trauma. 56 (1): 185–90. PMID 14749588. doi:10.1097/01.TA.0000082650.62207.92 
  26. a b c d e Riley et al. (2004). pp. 548–9.
  27. Porro GA, Roche CD, Banderker E, van As AB (2014). «Bronchial rupture in a young child: A case report». Injury Extra. 45 (3): 25–27. doi:10.1016/j.injury.2014.01.009Acessível livremente 
  28. Mussi A, Ambrogi MC, Ribechini A, Lucchi M, Menoni F, Angeletti CA (julho de 2001). «Acute major airway injuries: clinical features and management». European Journal of Cardio-Thoracic Surgery. 20 (1): 46–51, discussion 51–2. PMID 11423273. doi:10.1016/S1010-7940(01)00702-3Acessível livremente 
  29. a b c Riley et al. (2004). pp. 550–51.
  30. a b c d e f g h Glazer ES, Meyerson SL (2008). «Delayed presentation and treatment of tracheobronchial injuries due to blunt trauma». Journal of Surgical Education. 65 (4): 302–8. PMID 18707665. doi:10.1016/j.jsurg.2008.06.006 
  31. a b Gómez-Caro Andrés A, Moradiellos Díez FJ, Ausín Herrero P, Díaz-Hellín Gude V, Larrú Cabrero E, de Miguel Porch E, Martín De Nicolás JL (junho de 2005). «Successful conservative management in iatrogenic tracheobronchial injury». The Annals of Thoracic Surgery. 79 (6): 1872–8. PMID 15919275. doi:10.1016/j.athoracsur.2004.10.006Acessível livremente 

Bibliografia adicional