Lesão axonal difusa
A lesão axonal difusa (LAD) é uma lesão cerebral na qual ocorrem lesões dispersas em uma área ampla nos tratos da substância branca e da substância cinzenta.[1][2][3][4][5][6][7] A LAD é um dos tipos mais comuns e devastadores de lesão cerebral traumática[8] e é uma das principais causas de inconsciência e estado vegetativo persistente após o traumatismo craniano grave.[9] Ocorre em cerca de metade dos casos de traumatismo cranioencefálico grave e pode ser o dano primário que ocorre na concussão. O resultado é frequentemente coma, com mais de 90% dos pacientes com LAD grave nunca recuperando a consciência.[9] Aqueles que acordam do coma muitas vezes permanecem significativamente debilitados.[10]
A lesão axonal difusa pode ocorrer em todo o espectro de gravidade da lesão cerebral traumática (LCT), cuja severidade da lesão aumenta de leve a grave.[11][12] A concussão pode ser um tipo mais brando de LAD.[12][13]
Mecanismo
A LAD é o resultado de forças traumáticas de cisalhamento que ocorrem quando a cabeça é acelerada ou desacelerada rapidamente, como em acidentes de carro, quedas e agressões.[14] Os acidentes com veículos são a causa mais frequente da LAD, que pode ocorrer também como resultado de abuso infantil[15] como na síndrome do bebê sacudido.[16]
A desconexão imediata dos axônios pode ser observada em lesões cerebrais graves, mas os principais danos da LAD são as desconexões axônicas secundárias, que desenvolvem-se lentamente ao longo de um período prolongado.[2] Traços de axônios, que aparecem brancos devido à mielinização, são referidos como substância branca. Lesões em ambas as substâncias cinzenta e branca são encontradas em cérebros post mortem nos exames de tomografia computadorizada (TC) e de ressonância magnética (RM).[9]
Além da quebra mecânica do citoesqueleto axonal, a patologia da LAD também inclui alterações fisiológicas secundárias, como transporte axonal interrompido, inchaço progressivo e degeneração.[17] Estudos recentes associam essas alterações à torção e degeneração de microtúbulos axônicos quebrados, bem como ao depósito de proteína Tau e proteína precursora do amilóide (de sigla em inglês APP).[17][18]
Características
As lesões normalmente são encontradas na substância branca dos cérebros lesionados pela LAD, variando em tamanho em cerca de 1 a 15 mm e sendo distribuídas em um padrão característico.[9] A LAD afeta mais comumente a substância branca em áreas que incluem o tronco cerebral, o corpo caloso e os hemisférios cerebrais .
Os lobos cerebrais com maior probabilidade de serem lesionados são os lobos frontal e temporal.[19] Outros locais comuns para a LAD são a substância branca no córtex cerebral, os pedúnculos cerebrais superiores,[16] os gânglios da base, o tálamo e os núcleos hemisféricos profundos.[20] Essas áreas podem ser danificadas com mais facilidade devido à diferença de densidade entre elas e as outras regiões do cérebro.[20]
Características histológicas
A LAD é caracterizada por separação axonal, na qual o axônio é rompido no local do estiramento e a parte distal à ruptura se degrada. Embora se pensasse que a principal causa da separação axonal fosse a ruptura devido a forças mecânicas durante o evento traumático, agora se entende que os axônios não são tipicamente rompidos com o impacto. Ao invés disso, cascatas bioquímicas secundárias à lesão primária, que ocorrem como resultado de forças mecânicas no momento do trauma e se processam horas a dias após a lesão inicial, são amplamente responsáveis pelos danos aos axônios.[21][22][23]
Embora os processos envolvidos na lesão cerebral secundária sejam ainda pouco elucidados, hoje se aceita que o estiramento dos axônios durante a lesão cause ruptura física e degradação proteolítica do citoesqueleto[24] e abertura os canais de sódio no axolema, o que faz com que os canais de cálcio dependentes de voltagem se abram e o Ca2+ flua para dentro da célula.[24] Então, a presença intracelular de Ca2+ desencadeia várias reações diferentes, incluindo a ativação de fosfolipases e enzimas proteolíticas, danificando as mitocôndrias e o citoesqueleto e ativando mensageiros secundários, o que pode levar à separação do axônio e à morte da célula.[21]
Ruptura do citoesqueleto

Os axônios são normalmente elásticos, mas quando esticados rapidamente tornam-se quebradiços e o citoesqueleto axonal pode ser rompido, podendo o desalinhamento dos elementos do citoesqueleto após a lesão por estiramento levar à ruptura do axônio e à morte do neurônio. O transporte axonal continua apenas até o local de ruptura do citoesqueleto, levando a um acúmulo de produtos de transporte e inchaço nesse ponto.[25] Quando tal inchaço torna-se grande o suficiente, pode ocorrer ruptura do axônio, fazendo com que ele se retraia em direção ao corpo celular e forme um bulbo.[11] Este é denominado "bola de retração", a marca histológica da LAD.[9]
Quando o axônio é rompido, a Degeneração Walleriana, na qual a parte do axônio distal à ruptura se degrada, ocorre dentro de um a dois dias após a lesão.[26] Há desintegração do axolema,[26] a mielina se decompõe e começa a se desprender da célula em uma direção anterógrada (do corpo da célula em direção ao final do axônio)[27] e as células próximas iniciam a atividade fagocitária, englobando os detritos celulares .[28]
Influxo de cálcio
Embora às vezes apenas o citoesqueleto esteja comprometido, frequentemente também ocorre a ruptura do axolema, causando o influxo de cálcio|Ca2+ para dentro da célula e desencadeando uma variedade de processos de degradação.[26][29] O aumento nos níveis de Ca2+ e Na+ e a queda nos níveis de potássio|K+ são encontrados no axônio imediatamente após a lesão.[21][26] Possíveis vias de entrada de Ca2+ incluem canais de sódio, poros formados na membrana durante o estiramento e falha de transportadores dependentes de ATP devido ao bloqueio mecânico ou à falta de energia metabólica disponível.[21] Níveis elevados de Ca2+ intracelular, a principal causa de dano celular após a lesão,[30] destroem as mitocôndrias[11] e causam a liberação de fosfolipases e enzimas proteolíticas, que danificam os canais de Na+ e degradam ou alteram o citoesqueleto e o axoplasma .[31][26] O excesso de Ca 2+ também pode levar a danos à barreira hematoencefálica e ao inchaço do cérebro.[30]
Uma das proteínas ativadas pela presença de cálcio na célula é acalpaína, uma protease não lisossômica dependente de Ca2+.[31] Cerca de 15 minutos a meia hora após o início da lesão, um processo chamado proteólise da espectrina mediada pela calpaína (de tradução livre), ou CMSP (sigla em inglês), se inicia.[32] A calpaína quebra uma molécula chamada espectrina, que mantém a membrana no citoesqueleto, causando a formação de bolhas, a quebra do citoesqueleto e da membrana e, por fim, a morte da célula.[31][32] Outras moléculas que podem ser degradadas pelas calpaínas são as subunidades de microtúbulos, as proteínas associadas a microtúbulos e os neurofilamentos .[31]
A presença de cálcio na célula ocorre geralmente de uma a seis horas no processo de lesão pós-estiramento e inicia a cascata da caspase, processo de injúria celular que normalmente leva à apoptose, ou "morte celular programada".[32]
Mitocôndrias, dendritos e partes do citoesqueleto danificadas na lesão têm uma capacidade limitada de cura e regeneração, processos que ocorrem ao longo de duas ou mais semanas.[33] Após a lesão, os astrócitos podem encolher, o que provoca atrofia de partes do cérebro.[9]

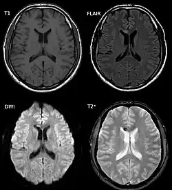
A lesão axonal difusa é difícil de ser detectada, já que não aparece bem em tomografias computadorizadas ou outras técnicas de imagem macroscópicas, embora apareça microscopicamente.[9] No entanto, existem características típicas da LAD que podem ou não aparecer em TCs. A lesão difusa tem mais lesões microscópicas do que lesões macroscópicas e é difícil de detectar com TC e Ressonância Magnética, mas pode haver suspeita quando pequenos sangramentos são visíveis no corpo caloso ou no córtex cerebral.[34] A RM é mais útil do que a TC para detectar características de LAD nos períodos subagudo e crônico.[35] Estudos mais recentes, como em imagens do Tensor de Difusão, são capazes de demonstrar o grau de lesão do trato de fibras da substância branca, mesmo quando a ressonância magnética padrão é negativa. Como o dano axonal na LAD é em grande parte resultado de cascatas bioquímicas secundárias, ele tem um início tardio, podendo uma pessoa com LAD que inicialmente parece bem piorar mais tarde. Dessa forma, a lesão é com frequência mais grave do que se prevê inicialmente, e os médicos devem suspeitar de LAD em qualquer paciente cujas TCs pareçam normais, mas que apresentem sintomas como perda de consciência.[9]
Mesmo a ressonância magnética sendo mais sensível do que a tomografia computadorizada, ainda está sujeita a falsos negativos porque a LAD é identificada pela procura de sinais de edema, que nem sempre estão presentes.[33]
A LAD é classificada em três graus com base na gravidade da lesão. No Grau I, está presente o dano axonal generalizado, porém nenhuma anormalidade focal é observada. No Grau II, o dano encontrado no Grau I está presente, além de anormalidades focais, em especial no corpo caloso. Os danos do grau III englobam os dos graus I e II, além de lesão rostral do tronco cerebral e, muitas vezes, rupturas no tecido.[36]
Tratamento
A LAD necessita de tratamento específico, além daquele para qualquer tipo de traumatismo craniano, o que inclui a estabilização do paciente e a tentativa de limitar aumentos da pressão intracraniana (PIC).
História
A ideia da LAD surgiu a partir dos estudos de Sabina Strich sobre lesões na substância branca em indivíduos que sofreram traumatismo craniano anos antes,[37] propondo a ideia pela primeira vez em 1956 e chamando a lesão de Degeneração Difusa da Substância Branca.[38] Ela estava pesquisando a relação entre quadros demenciais e traumatismos cranianos[37] e afirmou que tal degeneração desempenha papel integral no eventual desenvolvimento dos primeiros devido aos segundos.[15] Já o termo lesão axonal difusa foi introduzido somente no início dos anos 1980.[39]
Exemplos notáveis
- O ex-coapresentador doTop Gear, Richard Hammond, sofreu LAD resultante do acidente com o dragster Vampire em 2006.
- O piloto da Champ Car World Series Roberto Guerrero sofreu LAD como resultado de um acidente durante os testes no Indianapolis Motor Speedway em 1987.[40]
- O piloto de Fórmula 1 Jules Bianchi sofreu LAD como resultado de um acidente no Grande Prêmio do Japão de 2014 [41] e veio a óbito 9 meses depois, em 17 de julho de 2015,[42] sem recuperar a consciência.
- O ator e narrador de audiolivros Frank Muller, que narrou A Torre Negra de Stephen King, sofreu uma LAD em 2001 resultante de um acidente motociclístico . Ele faleceu em 2008.[43]
- O piloto da NASCAR Adam Petty, neto do sete vezes campeão da Cup Series Richard Petty, sofreu LAD secundária a uma fratura basal craniana fatal em maio de 2000 no New Hampshire Motor Speedway durante os treinos para sua próxima corrida.
Veja também
Referências
- ↑ Strich SJ (agosto 1956). «Diffuse degeneration of the cerebral white matter in severe dementia following head injury». Journal of Neurology, Neurosurgery, and Psychiatry. 19 (3): 163–85. PMC 497203
. PMID 13357957. doi:10.1136/jnnp.19.3.163
- ↑ a b Povlishock JT, Becker DP, Cheng CL, Vaughan GW (maio 1983). «Axonal change in minor head injury». Journal of Neuropathology and Experimental Neurology. 42 (3): 225–42. PMID 6188807. doi:10.1097/00005072-198305000-00002
- ↑ Adams JH (março 1982). «Diffuse axonal injury in non-missile head injury». Injury. 13 (5): 444–5. PMID 7085064. doi:10.1016/0020-1383(82)90105-X
- ↑ Christman CW, Grady MS, Walker SA, Holloway KL, Povlishock JT (abril 1994). «Ultrastructural studies of diffuse axonal injury in humans». Journal of Neurotrauma. 11 (2): 173–86. PMID 7523685. doi:10.1089/neu.1994.11.173
- ↑ Povlishock JT, Christman CW (agosto 1995). «The pathobiology of traumatically induced axonal injury in animals and humans: a review of current thoughts». Journal of Neurotrauma. 12 (4): 555–64. PMID 8683606. doi:10.1089/neu.1995.12.555
- ↑ Vascak M, Jin X, Jacobs KM, Povlishock JT (maio 2018). «Mild Traumatic Brain Injury Induces Structural and Functional Disconnection of Local Neocortical Inhibitory Networks via Parvalbumin Interneuron Diffuse Axonal Injury». Cerebral Cortex. 28 (5): 1625–1644. PMC 5907353
. PMID 28334184. doi:10.1093/cercor/bhx058
- ↑ Smith DH, Hicks R, Povlishock JT (março 2013). «Therapy development for diffuse axonal injury». Journal of Neurotrauma. 30 (5): 307–23. PMC 3627407
. PMID 23252624. doi:10.1089/neu.2012.2825
- ↑ Povlishock JT, Katz DI (janeiro 2005). «Update of neuropathology and neurological recovery after traumatic brain injury». The Journal of Head Trauma Rehabilitation. 20 (1): 76–94. PMID 15668572. doi:10.1097/00001199-200501000-00008
- ↑ a b c d e f g h Wasserman J. and Koenigsberg R.A. (2007). Diffuse axonal injury. Emedicine.com. Retrieved on 2008-01-26.
- ↑ Vinas F.C. and Pilitsis J. (2006). Penetrating head trauma. Emedicine.com. Retrieved on 2008-01-14.
- ↑ a b c Smith DH, Meaney DF (dezembro 2000). «Axonal damage in traumatic brain injury.». The Neuroscientist. 6 (6): 483–95. doi:10.1177/107385840000600611
- ↑ a b Blumbergs PC, Scott G, Manavis J, Wainwright H, Simpson DA, McLean AJ (agosto 1995). «Topography of axonal injury as defined by amyloid precursor protein and the sector scoring method in mild and severe closed head injury». Journal of Neurotrauma. 12 (4): 565–72. PMID 8683607. doi:10.1089/neu.1995.12.565
- ↑ Bazarian JJ, Blyth B, Cimpello L (fevereiro 2006). «Bench to bedside: evidence for brain injury after concussion--looking beyond the computed tomography scan». Academic Emergency Medicine. 13 (2): 199–214. PMID 16436787. doi:10.1197/j.aem.2005.07.031
- ↑ Gennarelli TA (1993). «Mechanisms of brain injury». The Journal of Emergency Medicine. 11 Suppl 1: 5–11. PMID 8445204
- ↑ a b Hardman JM, Manoukian A (maio 2002). «Pathology of head trauma». Neuroimaging Clinics of North America. 12 (2): 175–87, vii. PMID 12391630. doi:10.1016/S1052-5149(02)00009-6
- ↑ a b Smith D. and Greenwald B. 2003.Management and staging of traumatic brain injury. Emedicine.com. Retrieved through web archive on 17 January 2008.
- ↑ a b Johnson VE, Stewart W, Smith DH (agosto 2013). «Axonal pathology in traumatic brain injury». Experimental Neurology. Special Issue: Axonal degeneration. 246: 35–43. PMC 3979341
. PMID 22285252. doi:10.1016/j.expneurol.2012.01.013
- ↑ Tang-Schomer MD, Patel AR, Baas PW, Smith DH (maio 2010). «Mechanical breaking of microtubules in axons during dynamic stretch injury underlies delayed elasticity, microtubule disassembly, and axon degeneration». FASEB Journal. 24 (5): 1401–10. PMC 2879950
. PMID 20019243. doi:10.1096/fj.09-142844
- ↑ Boon R. and de Montfor G.J. 2002. Brain injury. Learning Discoveries Psychological Services. Retrieved through web archive on 17 January 2008.
- ↑ a b Singh J and Stock A (September 25, 2006). Head Trauma. Emedicine.com. Retrieved on 2008-01-17.
- ↑ a b c d Wolf J.A., Stys P.K., Lusardi T., Meaney D., and Smith, D.H. (2001). Traumatic axonal injury induces calcium influx modulated by tetrodotoxin-sensitive sodium channels. Journal of Neuroscience. 21 (6): 1923–1930
- ↑ Arundine M, Aarts M, Lau A, Tymianski M (setembro 2004). «Vulnerability of central neurons to secondary insults after in vitro mechanical stretch». J. Neurosci. 24 (37): 8106–23. PMC 6729801
. PMID 15371512. doi:10.1523/JNEUROSCI.1362-04.2004
- ↑ a b Mouzon B, Chaytow H, Crynen G, Bachmeier C, Stewart J, Mullan M, Stewart W, Crawford F (dezembro 2012). «Repetitive mild traumatic brain injury in a mouse model produces learning and memory deficits accompanied by histological changes» (PDF). Journal of Neurotrauma. 29 (18): 2761–73. PMID 22900595. doi:10.1089/neu.2012.2498
- ↑ a b Iwata A., Stys P.K., Wolf J.A., Chen X.H., Taylor, A.G., Meaney D.F., and Smith D.H. (2004). Traumatic axonal injury induces proteolytic cleavage of the voltage-gated sodium channels modulated by tetrodotoxin and protease inhibitors. The Journal of Neuroscience. 24 (19): 4605—4613.
- ↑ Staal JA, Dickson TC, Chung RS, Vickers JC (2007). «Cyclosporin-A treatment attenuates delayed cytoskeletal alterations and secondary axotomy following mild axonal stretch injury». Dev Neurobiol. 67 (14): 1831–42. PMID 17702000. doi:10.1002/dneu.20552
- ↑ a b c d e LoPachin RM, Lehning EJ (1997). «Mechanism of calcium entry during axon injury and degeneration». Toxicology and Applied Pharmacology. 143 (2): 233–244. PMID 9144441. doi:10.1006/taap.1997.8106
- ↑ Cowie R.J. and Stanton G.B. (2005). Axoplasmic transport and neuronal responses to injury Arquivado em 2005-10-29 no Wayback Machine. Howard University College of Medicine. Retrieved on 2008-01-17.
- ↑ Hughes PM, Wells GM, Perry VH, Brown MC, Miller KM (2002). «Comparison of matrix metalloproteinase expression during wallerian degeneration in the central and peripheral nervous systems». Neuroscience. 113 (2): 273–287. PMID 12127085. doi:10.1016/s0306-4522(02)00183-5
- ↑ Povlishock JT, Pettus EH (1996). «Traumatically induced axonal damage: Evidence for enduring changes in axolemmal permeability with associated cytoskeletal change». Acta Neurochirurgica. 66: 81–86. ISBN 978-3-7091-9467-6. PMID 8780803. doi:10.1007/978-3-7091-9465-2_15
- ↑ a b Zhou F, Xiang Z, Feng WX, Zhen LX (2001). «Neuronal free Ca2+ and BBB permeability and ultrastructure in head injury with secondary insult». Journal of Clinical Neuroscience. 8 (6): 561–563. PMID 11683606. doi:10.1054/jocn.2001.0980
- ↑ a b c d Castillo MR, Babson JR (1998). «Ca2+-dependent mechanisms of cell injury in cultured cortical neurons». Neuroscience. 86 (4): 1133–1144. PMID 9697120. doi:10.1016/s0306-4522(98)00070-0
- ↑ a b c Büki A, Okonkwo DO, Wang KK, Povlishock JT (abril 2000). «Cytochrome c release and caspase activation in traumatic axonal injury». primary. The Journal of Neuroscience. 20 (8): 2825–34. PMC 6772193
. PMID 10751434. doi:10.1523/JNEUROSCI.20-08-02825.2000
- ↑ a b Corbo J, Tripathi P (2004). «Delayed presentation of diffuse axonal injury: A case report». Trauma. 44 (1): 57–60. PMID 15226709. doi:10.1016/j.annemergmed.2003.11.010
- ↑ Crooks CY, Zumsteg JM, Bell KR (novembro 2007). «Traumatic brain injury: a review of practice management and recent advances». Physical Medicine and Rehabilitation Clinics of North America. 18 (4): 681–710, vi. PMID 17967360. doi:10.1016/j.pmr.2007.06.005
- ↑ Maas AI, Stocchetti N, Bullock R (agosto 2008). «Moderate and severe traumatic brain injury in adults». The Lancet. Neurology. 7 (8): 728–41. PMID 18635021. doi:10.1016/S1474-4422(08)70164-9
- ↑ Lees-Haley PR, Green P, Rohling ML, Fox DD, Allen LM (agosto 2003). «The lesion(s) in traumatic brain injury: implications for clinical neuropsychology». Archives of Clinical Neuropsychology. 18 (6): 585–94. PMID 14591433. doi:10.1016/S0887-6177(02)00155-5
- ↑ a b
Pearce JM (2007). «Observations on concussion. A review». European Neurology. 59 (3–4): 113–9. PMID 18057896. doi:10.1159/000111872
- ↑ «Neuropathology». Textbook Of Traumatic Brain Injury. Washington, DC: American Psychiatric Association. 2005. 34 páginas. ISBN 978-1-58562-105-7
- ↑ Traumatic Brain Injury: Methods for Clinical & Forensic Neuropsychiatric Assessment, Second Edition. Boca Raton: CRC. 2007. pp. 26–32. ISBN 978-0-8493-8138-6. Consultado em 6 de julho de 2008
- ↑ «The story of Roberto Guerrero»
- ↑ «Jules Bianchi: Family confirms Formula One driver sustained traumatic brain injury in Japanese GP crash». Consultado em 8 de outubro de 2014
- ↑ «F1 driver Jules Bianchi dies from crash injuries». BBC Sport. BBC. 18 de julho de 2015. Consultado em 18 julho de 2015
- ↑ «Frank Muller, The Fight of his Life». 2006. Consultado em 14 de dezembro de 2017
Ligações externas
Predefinição:Medical resources