Hemorragia intracerebral
.jpg)
Hemorragia intracerebral ou simplesmente hemorragia cerebral é um tipo de sangramento intracraniano que ocorre no tecido cerebral ou nos ventrículos.[1] Sintomas podem incluir dor de cabeça, fraqueza unilateral, vômitos, convulsões, diminuição do nível de consciência e rigidez no pescoço.[2] Muitas vezes, os sintomas pioram ao longo do tempo. A febre também é comum. Em muitos casos, o sangramento está presente tanto no tecido cerebral quanto nos ventrículos.[3]
As causas incluem o traumatismo cerebral, aneurismas, malformações arteriovenosas e tumores cerebrais.[3] Os maiores fatores de risco para hemorragia espontânea são a pressão arterial elevada e a amiloidose. Outros fatores de risco incluem alcoolismo, colesterol baixo, anticoagulantes e cocaína.[2] O diagnóstico é tipicamente por tomografia computadorizada. Outras condições que podem ocorrer de forma semelhante incluem o acidente vascular cerebral isquêmico.[3]
O tratamento normalmente deve ser realizado em uma unidade de terapia intensiva. Orientações recomendadas diminuem a pressão arterial para uma pressão sistólica inferior a 140 mmHg. Os diluentes de sangue devem ser revertidos, se possível, e o açúcar no sangue mantém-se no intervalo normal. A cirurgia para colocar uma drenagem ventricular pode ser usada para tratar a hidrocefalia, mas os corticosteroides não devem ser utilizados. A cirurgia para remover o sangue é útil em certos casos.[3]
A hemorragia intracerebral afeta cerca de 2,5 a cada 10 000 pessoas por ano. Ocorre mais frequentemente em homens e em pessoas mais velhas. Cerca de 44% dos afetados morrem no prazo de um mês. Um bom resultado ocorre em cerca de 20% das pessoas afetadas.[2] Os acidentes vasculares cerebrais foram primeiro divididos em seus dois principais tipos, sangramento e fluxo sanguíneo insuficiente, em 1823.[4]
Sinais e sintomas
Pacientes com hemorragias intraparenquimatosas apresentam sintomas que correspondem às funções controladas pela área do cérebro que é danificada pelo sangramento.[5] Outros sintomas incluem aqueles que indicam um aumento da pressão intracraniana causada por uma grande massa que pressiona o cérebro.[5] As hemorragias intracerebrais são frequentemente diagnosticadas erroneamente como hemorragias subaracnóides devido à semelhança nos sintomas e nos sinais. Uma dor de cabeça severa seguida de vômito é um dos sintomas mais comuns de hemorragia intracerebral. Um outro sintoma comum é o que o paciente pode entrar em colapso. Algumas pessoas podem sofrer sangramento contínuo da orelha. Alguns pacientes também podem entrar em coma antes do sangramento ser notado.
Causas


Sangramentos intracerebrais são a segunda causa mais comum de AVC, representando 10% das internações hospitalares pela doença.[7] A pressão arterial elevada aumenta os riscos de hemorragia intracerebral espontânea de duas a seis vezes.[6] Mais comum em adultos do que em crianças, sangramentos intraparenquimatosos geralmente são devidos a traumatismo craniano penetrante, mas também podem ser decorrentes de fraturas de crânio deprimido. O trauma de aceleração-desaceleração,[8][9][10] ruptura de um aneurisma ou malformação arteriovenosa (MAV) e sangramento dentro de um tumor são causas adicionais. A angiopatia amiloide é uma causa não comum de hemorragia intracerebral em pacientes com idade superior a 55 anos. Uma proporção muito pequena é devida a trombose do seio venoso cerebral.
Fatores de risco para esta doença incluem:[11]
- Hipertensão arterial
- Diabetes mellitus
- Menopausa
- Tabagismo
- Consumo excessivo de álcool
- Enxaqueca grave
Hematomas intracerebrais traumáticos são divididos em agudos e atrasados. Os hematomas intracerebrais agudos ocorrem no momento da lesão, enquanto os atrasados foram relatados desde 6 horas após a lesão até várias semanas.
A infecção pelo sorotipo k de Streptococcus mutans também pode ser um fator de risco, pois é mais comum em pessoas que tiveram um acidente vascular cerebral e produzem proteína de ligação ao colágeno.[12]
Diagnóstico

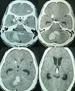
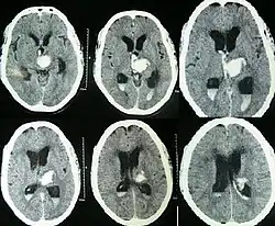
Tanto a angiografia por tomografia computadorizada (ATC) como a angiografia por ressonância magnética (ARM) demonstraram ser efetivas no diagnóstico de malformações vasculares intracranianas após a hemorragia intracerebral.[13] Com tanta frequência, um angiograma de tomografia computadorizada será realizado para excluir uma causa secundária de hemorragia[14] ou para detectar um "sinal local".
A hemorragia intraparenquimatosa pode ser reconhecida na tomografia computadorizada porque o sangue aparece mais brilhante do que outro tecido e é separado da mesa interna do crânio por tecido cerebral. O tecido que envolve um sangramento é muitas vezes menos denso do que o resto do cérebro por causa do edema e, portanto, aparece mais escuro na tomografia computadorizada.[14]
Localização
Quando devido à pressão arterial elevada, eles geralmente ocorrem no putâmen ou no tálamo (60%), no cérebro (20%), no cerebelo (13) ou na ponte (7%).[15]
Tratamento
O tratamento depende substancialmente do tipo de hemorragia intracerebral. A tomografia computadorizada rápida e outras medidas de diagnóstico são usadas para determinar o tratamento adequado, que pode incluir medicamentos e cirurgia.
- A intubação traqueal é indicada em pessoas com diminuição do nível de consciência ou outro risco de obstrução das vias aéreas.[16]
- Líquidos intravenosos são administrados para manter o equilíbrio dos fluidos, utilizando fluidos isotônicos e não hipotônicos.[16]
Medicação
- Uma revisão descobriu que a terapia anti-hipertensiva para reduzir a pressão arterial em fases agudas parece melhorar os resultados.[17] Outras avaliações encontraram uma diferença pouco clara entre controle de pressão arterial intensivo e menos intensivo.[18][19] Diretrizes da Associação Americana do Coração e Associação Americana de AVC em 2015 recomendaram a redução da pressão arterial para uma PAS de 140 mmHg.[3]
- Dando o Fator VII dentro de 4 horas, limita o sangramento e a formação de um hematoma. No entanto, também aumenta o risco de tromboembolismo.[16] Isso, portanto, não resulta em melhores resultados naqueles sem hemofilia.[20]
- O plasma congelado, a vitamina K, a protamina ou as transfusões de plaquetas são administradas no caso de uma coagulopatia.[16]
- Fosfenitoína ou outro anticonvulsivante é dado em caso de convulsões ou hemorragia lobar.[16]
- Antagonistas de H2 ou inibidores da bomba de prótons são comumente administrados para tentar prevenir úlceras de estresse, uma condição associada à doença.[16]
- Acreditava-se que corticosteroides reduziam o inchaço. No entanto, em grandes estudos controlados, os corticosteroides foram descobertos aumentando as taxas de mortalidade e não são mais recomendados.[21][22]
Cirurgia
A cirurgia é necessária se o hematoma for superior a 3 cm, se houver uma lesão vascular estrutural ou hemorragia lobar em um paciente jovem.[16]
- Um cateter pode ser passado para a vasculatura do cérebro para fechar ou dilatar vasos sanguíneos, evitando procedimentos cirúrgicos invasivos.[23]
- Aspiração por cirurgia estereotáxica ou drenagem endoscópica pode ser utilizada nas hemorragias dos gânglios basais, embora os relatórios bem sucedidos sejam limitados.[16]
Prognóstico
O risco de morte por sangramento intraparenquimatoso na lesão cerebral traumática é especialmente alto quando a lesão ocorre no tronco encefálico.[24] Os sangramentos intraparenquimatosos na medula oblongada são quase sempre fatais, porque causam danos ao nervo craniano X, ao nervo vago, que desempenha um papel importante na circulação sanguínea e na respiração.[8] Este tipo de hemorragia também pode ocorrer no córtex ou áreas subcorticais, geralmente nos lobos frontal ou temporal quando devido a lesão na cabeça e às vezes no cerebelo.[8][25]
Para hemorragia intracerebral espontânea vista na tomografia computadorizada, a taxa de mortalidade é de 34-50% em 30 dias após o dano,[6] e metade das mortes ocorrem nos primeiros 2 dias.[26] Embora a maioria das mortes ocorra nos primeiros dias após a doença, os sobreviventes têm um excesso de mortalidade em longo prazo de 27% em comparação com a população em geral.[27]
A resposta inflamatória desencadeada pelo AVC foi vista como prejudicial no estágio inicial, com foco em leucócitos transmitidos por sangue, neutrófilos e macrófagos, e micróglia residente e astrócitos.[28] Um estudo pós-morte humano mostra que a inflamação ocorre cedo e persiste por vários dias após a doença.[29] Uma nova área de interesse são os mastócitos.[30]
Epidemiologia
Isso representa 20% de todos os casos de doença cerebrovascular nos Estados Unidos, por trás de trombose cerebral (40%) e embolia cerebral (30%).[31]
É duas ou mais vezes mais comum em pessoas negras do que em brancas.[32]
Referências
- ↑ Naidich, Thomas P.; Castillo, Mauricio; Cha, Soonmee; Smirniotopoulos, James G. (2012). Imaging of the Brain ,Expert Radiology Series,1: Imaging of the Brain. [S.l.]: Elsevier Health Sciences. p. 387. ISBN 1416050094
- ↑ a b c Caceres, JA; Goldstein, JN (Agosto de 2012). «Intracranial hemorrhage». Emergency medicine clinics of North America. 30 (3): 771–94. PMC 3443867
. PMID 22974648. doi:10.1016/j.emc.2012.06.003
- ↑ a b c d e Hemphill JC, 3rd; Greenberg, SM; Anderson, CS; Becker, K; Bendok, BR; Cushman, M; Fung, GL; Goldstein, JN; Macdonald, RL; Mitchell, PH; Scott, PA; Selim, MH; Woo, D; American Heart Association Stroke, Council; Council on Cardiovascular and Stroke, Nursing; Council on Clinical, Cardiology (Julho de 2015). «Guidelines for the Management of Spontaneous Intracerebral Hemorrhage: A Guideline for Healthcare Professionals From the American Heart Association/American Stroke Association». Stroke; a journal of cerebral circulation. 46 (7): 2032–60. PMID 26022637. doi:10.1161/str.0000000000000069
- ↑ Hennerici, Michael (2003). Imaging in Stroke. [S.l.]: Remedica. p. 1. ISBN 9781901346251
- ↑ a b Vinas FC and Pilitsis J. 2006. "Penetrating Head Trauma." Emedicine.com.
- ↑ a b c d Yadav YR, Mukerji G, Shenoy R, Basoor A, Jain G, Nelson A (2007). «Endoscopic management of hypertensive intraventricular haemorrhage with obstructive hydrocephalus». BMC Neurol. 7 (1). PMC 1780056
. PMID 17204141. doi:10.1186/1471-2377-7-1
- ↑ Go AS, Mozaffarian D, Roger VL (Janeiro de 2013). «Heart disease and stroke statistics--2013 update: a report from the American Heart Association». Circulation. 127 (1): e6–e245. PMID 23239837. doi:10.1161/CIR.0b013e31828124ad
- ↑ a b c McCaffrey P. 2001. "The Neuroscience on the Web Series: CMSD 336 Neuropathologies of Language and Cognition." California State University, Chico. Retrieved on June 19, 2007.
- ↑ Orlando Regional Healthcare, Education and Development. 2004. "Overview of Adult Traumatic Brain Injuries." Arquivado em 2008-02-27 no Wayback Machine Retrieved on 2008-01-16.
- ↑ Shepherd S. 2004. "Head Trauma." Emedicine.com. Retrieved on June 19, 2007.
- ↑ Feldmann, Edward; Broderick, Joseph P.; Kernan, Walter N.; Viscoli, Catherine M.; Brass, Lawrence M.; Brott, Thomas; Morgenstern, Lewis B.; Lee Wilterdink, Janet; Horwitz, Ralph I. (2005). «Major Risk Factors for Intracerebral Hamorrhage in the Young Are Modifiable». Stroke. 36. 1881 páginas. doi:10.1161/01.str.0000177480.62341.6b
- ↑ Nakano, Kazuhiko. «The collagen-binding protein of Streptococcus mutans is involved in haemorrhagic stroke». Nature Communications. 2. 485 páginas. doi:10.1038/ncomms1491
- ↑ Josephson, Colin B; White, Philip M; Krishan, Ashma; Al-Shahi Salman, Rustum (1 de setembro de 2014). «Computed tomography angiography or magnetic resonance angiography for detection of intracranial vascular malformations in patients with intracerebral haemorrhage». The Cochrane Library. 9: CD009372. PMID 25177839. doi:10.1002/14651858.CD009372.pub2
- ↑ a b Yeung R, Ahmad T, Aviv RI, Noel de Tilly L, Fox AJ, Symons SP (2009). «Comparison of CTA to DSA in determining the etiology of spontaneous ICH». Canadian Journal of Neurological Sciences. 32 (2): 176–180. doi:10.1017/s0317167100006533
- ↑ Prayson, Richard A. (2012). Neuropathology. [S.l.]: Elsevier Health Sciences. p. 49. ISBN 1437709494
- ↑ a b c d e f g h eMedicine Specialties > Neurology > Neurological Emergencies > Intracranial Haemorrhage: Treatment & Medication. By David S Liebeskind, MD. Updated: Aug 7, 2006
- ↑ Tsivgoulis; Katsanos, AH; Butcher, KS; Boviatsis, E; Triantafyllou, N; Rizos, I; Alexandrov, AV (21 de outubro de 2014). «Intensive blood pressure reduction in acute intracerebral hemorrhage: A meta-analysis». Neurology. 83 (17): 1523–9. PMID 25239836. doi:10.1212/wnl.0000000000000917
- ↑ Ma, J; Li, H; Liu, Y; You, C; Huang, S; Ma, L (2015). «Effects of Intensive Blood Pressure Lowering on Intracerebral Hemorrhage Outcomes: A Meta-Analysis of Randomized Controlled Trials». Turkish neurosurgery. 25 (4): 544–51. PMID 26242330. doi:10.5137/1019-5149.JTN.9270-13.0
- ↑ Boulouis, Gregoire; Morotti, Andrea; Goldstein, Joshua N.; Charidimou, Andreas (1 de abril de 2015). «Intensive blood pressure lowering in patients with acute intracerebral haemorrhage: clinical outcomes and haemorrhage expansion. Systematic review and meta-analysis of randomised trials». Journal of Neurology, Neurosurgery, and Psychiatry. 88 (4): 339–345. ISSN 1468-330X. PMID 28214798. doi:10.1136/jnnp-2016-315346
- ↑ Yuan, ZH; Jiang, JK; Huang, WD; Pan, J; Zhu, JY; Wang, JZ (Junho de 2010). «A meta-analysis of the efficacy and safety of recombinant activated factor VII for patients with acute intracerebral hemorrhage without hemophilia». Journal of Clinical Neuroscience. 17 (6): 685–93. PMID 20399668. doi:10.1016/j.jocn.2009.11.020
- ↑ Roberts, Ian; Yates, David; Sandercock, Peter; Farrell, Barbara; Wasserberg, Jonathan (9 de outubro de 2016). «Effect of intravenous corticosteroids on death within 14 days in 10008 adults with clinically significant head injury (MRC CRASH trial): randomised placebo-controlled trial». Lancet (Londres, Inglês). 364 (9442): 1321–1328. ISSN 1474-547X. PMID 15474134. doi:10.1016/S0140-6736(04)17188-2
- ↑ Edwards, P; Arango, M; Balica, L; Cottingham, R; El-Sayed, H. «Final results of MRC CRASH, a randomised placebo-controlled trial of intravenous corticosteroid in adults with head injury-outcomes at 6 months». Lancet (Londres, England). 365 (9475): 1957-9. PMID 15936423
- ↑ Cedars-Sinai Health System - Cerebral Hemorrhages Retrieved on 02/25/2009
- ↑ Sanders MJ and McKenna K. 2001. Mosby's Paramedic Textbook, 2nd revised Ed. Chapter 22, "Head and Facial Trauma." Mosby.
- ↑ Graham DI and Gennareli TA. Chapter 5, "Pathology of Brain Damage After Head Injury" Cooper P and Golfinos G. 2000. Head Injury, 4th Ed. Morgan Hill, New York.
- ↑ Guidelines for the Management of Spontaneous Intracerebral Hemorrhage in Adults
- ↑ Hansen, B.M.; Nilsson, O.G.; Anderson, H (Outubro de 2013). «Long term (13 years) prognosis after primary intracerebral haemorrhage: a prospective population based study of long term mortality, prognostic factors and causes of death». Journal of Neurology, Neurosurgery & Psychiatry. 84 (10): 1150–1155. doi:10.1136/jnnp-2013-305200
- ↑ Wang, J (Dezembro de 2010). «Preclinical and clinical research on inflammation after intracerebral hemorrhage». Prog. Neurobiol. 92 (4): 463–77. PMC 2991407
. PMID 20713126. doi:10.1016/j.pneurobio.2010.08.001
- ↑ Wu H, Zhang Z, Hu X, Zhao R, Song Y, Ban X, Qi J, Wang J (2010). «Dynamic changes of inflammatory markers in brain after hemorrhagic stroke in humans: a postmortem study». Brain Research. 1342 (1342): 111–1117. PMC 2885522
. PMID 20420814. doi:10.1016/j.brainres.2010.04.033
- ↑ [1] Lindsberg e.a.: Mast cells as early responders in the regulation of acute blood–brain barrier changes after cerebral ischemia and hemorrhage
- ↑ Página 117 in: Schutta, Henry S.; Lechtenberg, Richard (1998). Neurology practice guidelines. Nova Iorque: M. Dekker. ISBN 0-8247-0104-6
- ↑ Copenhaver BR, Hsia AW, Merino JG (Outubro de 2008). «Racial differences in microbleed prevalence in primary intracerebral hemorrhage». Neurology. 71 (15): 1176–82. PMC 2676986
. PMID 18838665. doi:10.1212/01.wnl.0000327524.16575.ca
Leitura adicional
- Hemphill JC, 3rd; Greenberg, SM; Anderson, CS; Becker, K; Bendok, BR; Cushman, M; Fung, GL; Goldstein, JN; Macdonald, RL; Mitchell, PH; Scott, PA; Selim, MH; Woo, D (28 de maio de 2015). «Guidelines for the Management of Spontaneous Intracerebral Hemorrhage: A Guideline for Healthcare Professionals From the American Heart Association/American Stroke Association». Stroke; a journal of cerebral circulation. 46: 2032–60. PMID 26022637. doi:10.1161/STR.0000000000000069
Ligações externas
- «Hemorragia intracerebral». no Healthline