Hérnia cerebral
| Hérnia cerebral | |
|---|---|
![]() | |
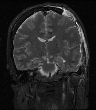
| Imagem por ressonância magnética de lesões causadas por uma hérnia cerebral | |
| Especialidade | neurologia, neurocirurgia |
| Classificação e recursos externos | |
| CID-11 | 8D60.0 |
| CID-10 | G93.5 |
| CID-9 | 348.4 |
| MedlinePlus | 001421 |
| eMedicine | radio/98 |
Hérnia cerebral é um efeito secundário potencialmente mortal de pressão intracraniana muito elevada, que ocorre quando parte do cérebro é pressionada contra as estruturas do crânio. O cérebro pode atravessar estas estruturas, como o falx cerebri, o tentorium cerebelli e até mesmo o foramen magnum (o orifício na base do cérebro pelo qual a espinal medula se liga ao cérebro).[1] Em muitos casos a hérnia cerebral apresenta-se com postura anormal, indicativa de lesões no cérebro.[2] Pode também ocorrer alteração do estado de consciência, com Escala de coma de Glasgow entre 3 e 5.[2] As pupilas podem-se apresentar dilatadas e não reagir à luz.[2]
Uma hérnia cerebral pode ser causada por diversos factores que causam um efeito de massa e aumentam a pressão intracraniana (PIC), entre os quais traumatismo cranioencefálico, hemorragia intracraniana ou tumor cerebral.[1] Pode também ocorrer na ausência de PIC elevada na sequência da ocorrência de lesões de massa, como hematomas, nas margens dos compartimentos do cérebro. Nestes casos, a pressão local encontra-se aumentada no local da hérnia, mas a pressão não é transmitida para o resto do cérebro, pelo que não se regista um aumento da PIC.[2]
O tratamento consiste na remoção cirúrgica da massa etiológica e craniectomia descompressiva. Uma hérnia cerebral pode causar deficiência grave ou morte. Quando a hérnia é visível numa TAC, o prognóstico neurológico é geralmente desfavorável.[2]
Referências
- ↑ a b Barr RM, Gean AD, Le TH (2007). «Craniofacial trauma». In: Brant WE, Helms CA. Fundamentals of Diagnostic Radiology. Philadelphia: Lippincott, Williams & Wilkins. p. 69. ISBN 0-7817-6135-2. Consultado em 17 de novembro de 2008
- ↑ a b c d e Gruen P (maio de 2002). «Surgical management of head trauma». Neuroimaging Clinics of North America. 12 (2): 339–43. PMID 12391640. doi:10.1016/S1052-5149(02)00013-8
