Diagnóstico de COVID-19

Para a detecção do COVID-19 e da coronavírus da Síndrome Respiratória Aguda Grave 2, é necessário exame de coleta de secreções no nariz e na garganta, o teste pode ser feito com base em amostras respiratórias por métodos incluindo a saliva e o esfregaço nasofaríngeo , e também através de testes moleculares e sorológicos.É possível realizar testes com base na reação em cadeia de polimerase (PCR), teste de ácido nucleico e pelo ensaio de imunoabsorção enzimática (ELISA) para a detecção de anticorpos específicos.

Também é feito os exames IgM e IgG são usados para indicar se a pessoa já teve contato com o vírus, eles detectam a presença de anticorpos que são produzidos pelo organismo para combater o vírus presente.[1]

IgG positivo : pode indicar que a pessoa está na fase crônica e já teve contato com o vírus em algum momento da vida.

IgM positivo : significa que a pessoa possui anticorpos do tipo imunoglobulina M, aí se entende que ela já foi exposta e está na fase ativa da doença


Métodos

Um kit de testes da COVID-19 do Centros de Controle e Prevenção de Doenças (ou CDC) dos Estados Unidos.

PCR

Um dos primeiros testes de PCR foi desenvolvido no hospital universitário de Charité, em Berlim, no mês de janeiro de 2020, utilizando reação em cadeia da polimerase em tempo real (RT-PCR) e formou a base de 250 000 kits que a Organização Mundial da Saúde passou a distribuir.[2][1]

Uma empresa sul-coreana chamada de Kogenebiotech desenvolveu um kit de detecção de SARS-CoV-2 com base na PCR chamado PowerCheck Coronavirus, em 28 de janeiro de 2020.[3] Ele procura o gene "E", que é compartilhado por todos os coronavírus´beta e o gene RdRp específico para o SARS-CoV-2. Outras empresas no país, como Solgent e Seegene, também desenvolveram suas versões de kits de detecção chamados de DiaPlexQ e Allplex 2019-nCov Assay, respectivamente, em fevereiro de 2020.[4][5]

Na China, a BGI foi uma das primeiras empresas a receber a aprovação de uso emergencial da Administração Nacional de Produtos Médicos para a organização de um kit de detecção de SARS-CoV-2 baseado na PCR.[6][7]

Nos Estados Unidos, os Centros de Controle e Prevenção de Doenças (CDC) desenvolveram o Painel de Diagnóstico por RT-PCR do Novo Coronavírus (2019-nCoV) que foi disponibilizado a laboratórios de saúde pública pela, International Reagent Resource, agência interna dos CDC.[8] Um dos três testes genéticos em versões mais antigas dos kits projetou resultados inconclusivos e um congestionamento em Atlanta; os testes, que utilizavam dois componentes, foram considerados fiáveis em 28 de fevereiro de 2020, permitindo que os laboratórios estaduais e locais finalizassem as análises de forma rápida. Seguidamente, o teste foi aprovado pela Food and Drug Administration sob uma autorização de uso de emergência.[9][10]

Os laboratórios comerciais dos Estados Unidos também começaram a realizar os testes. Em 5 de março de 2020, a LabCorp anunciou a disponibilidade nacional de testes de COVID-19 com base na RT-PCR.[11][12] A Quest Diagnostics disponibilizou, similarmente, o teste nacional de COVID-19 em 9 de março de 2020. Nenhuma limitação de quantidade de realização dos testes foi estipulada; a coleta e o processamento das amostras devem ser realizadas de acordo com os requisitos dos Centros de Controle de Doenças e Prevenção.[13]

Em 12 de março de 2020, a Mayo Clinic relatou ter desenvolvido um teste para detectar a infecção por COVID-19.[14][15]

Em 13 de março de 2020, a Hoffmann–La Roche recebeu a aprovação da FDA para a criação de um teste que poderia ser realizado dentro de 3,5 horas, permitindo que uma máquina fizesse aproximadamente 4 128 testes em um período de 24 horas.[16][17][18]

Imunoensaio

Em 28 de fevereiro de 2020, outra empresa sul-coreana denominada PCL apresentou uma solicitação ao Ministério de Segurança de Alimentos e Medicamentos da Coreia do Sul para habilitar o uso de seu kit de detecção baseado na RT-PCR. A empresa alega que o material, baseado em anticorpos, pode fazer um diagnóstico em até 10 minutos.[19]

Em 8 de março de 2020, a Academia Sinica de Taiwan anunciou que o primeiro anticorpo monoclonal do mundo, que se liga especificamente à proteína nucleocapsídeo (proteína N) do novo coronavírus, foi gerado e testado com sucesso em apenas 19 dias. Se o kit de teste imunológico rápido puder ser desenvolvido e fabricado com sucesso com base nesse anticorpo, ele será de grande utilidade para a detecção do SARS-CoV-2 dentro de 15 a 20 minutos, exatamente como um teste rápido de influenza.[19][20]

Ácido nucleico

O teste Expify Respiratory, pertencente ao IDbyDNA, é um teste de análise de ácido nucleico Metanogenômico que pode identificar mais de 900 patógenos respiratórios, incluindo a cepa do vírus SARS-CoV-2. A análise real dos dados leva menos de uma hora; o tempo de resposta desde o recebimento da amostra até o resultado do teste é de 36 horas. Em contrapartida, o teste é mais caro que a reação em cadeia da polimerase da transcriptase reversa em tempo real.[2][21]

Detecção de anticorpos

É possível, também, pesquisar anticorpos produzidos em resposta à infecção. Os testes de anticorpos usam uma amostra de soro sanguíneo e podem fornecer um resultado positivo, mesmo que a pessoa se recupere e o vírus não esteja mais alocado. O primeiro teste de anticorpos foi demonstrado por uma equipe do Instituto de Virologia de Wuhan, em 17 de fevereiro de 2020.[22][23]

Em 25 de fevereiro, uma equipe da uke–NUS Medical School, de Singapura, anunciou outro teste de anticorpos para COVID-19, que pode fornecer um resultado dentro de dias.[23][24]

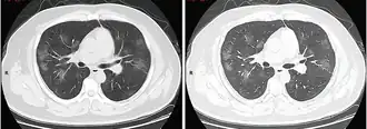
Tomografia computadorizada do tórax

Às vezes, tomografias computadorizadas (TC) do tórax podem ajudar a identificar e caracterizar o estado patológico pulmonar e produzir achados inespecíficos com a infecção por COVID-19. Um estudo descobriu que a sensibilidade da tomografia computadorizada para infecção por COVID-19 era de 98%, em comparação com a sensibilidade da RT-PCR de 71%. No entanto, o teste foi realizado em Wuhan, na China, e, por isso, pode não ser generalizado.[25][26] Grande parte dos achados consistia na presença de opacificação em vidro fosco na região subpleural e pavimentação em mosaico. Esses achados são inespecíficos, pois também são encontrados em outros tipos de pneumonia. Nenhum estudo avaliou, ainda, a precisão e o valor discriminatório das tomografias para distinguir a COVID de outras pneumonias virais.[27][28]

Coleta de amostras

Utilizando a reação em cadeia de polimerase com transcriptase reversa em tempo real (rRT-PCR),[29] o teste pode ser feito com base em amostras respiratórias obtidas por vários métodos, incluindo o esfregaço nasofaríngeo ou a saliva.[30] Geralmente, os resultados estão disponíveis dentro de algumas horas a 2 dias.[31]

Hong Kong estabeleceu um esquema no qual os pacientes suspeitos podem permanecer em suas residências. Para isso, o departamento de emergência oferecerá um tubo de amostra para o paciente no qual ele cuspirá e enviará de volta para a análise.[32] O Serviço Nacional de Saúde do Reino Unido anunciou que começará a testar casos suspeitos em casa, o que elimina o risco de um paciente infectar outras pessoas se for a um hospital.[33] No teste rápido de COVID-19 para casos suspeitos, o profissional de saúde coleta amostras usando as precauções apropriadas para o exame.[34][35]

Números de teste diários feitos nos Estados Unidos

Produção e volume de testes

Na China, a BGI foi uma das primeiras empresas autorizadas pela Administração Nacional de Produtos Médicos da China para criar um kit de detecção do novo coronavírus, com base na PCR.[6] Para aumentar a capacidade de testagem, Wang Jian, fundador da BGI, supervisionou a construção em 5 dias de um laboratório que testa 10 000 amostras diárias em Wuhan.[36]

A China anunciou que estava realizando 1,7 milhão de testes baseados em ácidos nucleicos e 35 000 kits de testes de anticorpos por dia, em 25 fevereiro de 2020.[37] Em 4 de março de 2020, a BGI montou 12 laboratórios em todo o território chinês, que completaram um total de 360 000 amostras de teste, com capacidade para 50 000 análises diárias.[38] Fora da China, o material recebeu a certificação europeia CE-IVD, que lhe concedeu a permissão de estar disponível comercialmente em mercados que conhecem a atribuição fornecida.[39]

Ver também

Referências

  1. a b Corman, Victor M; Landt, Olfert; Kaiser, Marco; Molenkamp, Richard; Meijer, Adam; Chu, Daniel KW; Bleicker, Tobias; Brünink, Sebastian; Schneider, Julia; Schmidt, Marie Luisa; et al. (23 de Janeiro de 2020). «Detection of 2019 novel coronavirus (2019-nCoV) by real-time RT-PCR». Eurosurveillance. 25 (3). doi:10.2807/1560-7917.ES.2020.25.3.2000045 
  2. a b Sheridan, Cormac (19 de fevereiro de 2020). «Coronavirus and the race to distribute reliable diagnostics». Nature Biotechnology (em inglês). doi:10.1038/d41587-020-00002-2 
  3. Jeong, Sei-im (28 de fevereiro de 2020). «Korea approves 2 more COVID-19 detection kits for urgent use - Korea Biomedical Review». www.koreabiomed.com (em coreano). Consultado em 12 de março de 2020 
  4. «ABOUT US | NEWS» 
  5. Zhang, Naru; Wang, Lili; Deng, Xiaoqian; Liang, Ruiying; Su, Meng; He, Chen; Hu, Lanfang; Su, Yudan; Ren, Jing; Yu, Fei; et al. (4 de Fevereiro de 2020). «Recent advances in the detection of respiratory virus infection in humans». Journal of Medical Virology. 92 (4): 408–417. doi:10.1002/jmv.25674 
  6. a b «BGI Sequencer, Coronavirus Molecular Assays Granted Emergency Use Approval in China». GenomeWeb (em inglês). Consultado em 9 de março de 2020 
  7. «BGI Distributes More Than 230K Coronavirus Test Kits». GenomeWeb. 14 de fevereiro de 2020. Consultado em 14 de março de 2020 
  8. «International Reagent Resource > Home». www.internationalreagentresource.org 
  9. «Transcript for the CDC Telebriefing Update on COVID-19». Centros de Controle e Prevenção de Doenças. 28 de fevereiro de 2020. Consultado em 14 de março de 2020 
  10. «Hospitals, Companies Race to Develop Tests to Spot Coronavirus-Linked Illness». The Wall Street Journal. 3 de março de 2020. Consultado em 14 de março de 2020 
  11. Pattie Kushner. «LabCorp Launches Test for Coronavirus Disease 2019 (COVID-19)». Consultado em 14 de março de 2020 
  12. Roy, Mrinalika (5 de março de 2020). «LabCorp makes coronavirus test available for ordering in U.S.». Reuters. Consultado em 14 de março de 2020 
  13. «Despite entry of large private labs, coronavirus tests remain scarce in U.S.». Reuters. 12 de março de 2020. Consultado em 14 de março de 2020 
  14. Plumbo, Ginger. «Mayo Clinic develops test to detect COVID-19 infection». Mayo Clinic (em inglês). Consultado em 13 de março de 2020 
  15. Farber, Madeline (13 de março de 2020). «Mayo Clinic develops coronavirus test to 'help ease some of the burden' on CDC, state labs». Fox News. Consultado em 14 de março de 2020 
  16. www.ETHealthworld.com. «US regulators approve Roche's new and faster COVID-19 test - ET HealthWorld». ETHealthworld.com (em inglês). Consultado em 14 de março de 2020 
  17. Mukherjee, Sy (13 de março de 2020). «How Roche's new coronavirus test sped its way to FDA authorization». Fortune. Consultado em 14 de março de 2020 
  18. Tatelbaum, Julianna (13 de março de 2020). «Shares of Swiss drugmaker Roche rise after FDA approval for coronavirus test». CNBC. Consultado em 14 de março de 2020 
  19. a b «中央研究院網站». www.sinica.edu.tw. Sinca. Consultado em 12 de março de 2020 
  20. «Evaluation of Enzyme-Linked Immunoassay and Colloidal Gold- Immunochromatographic Assay Kit for Detection of Novel Coronavirus (SARS-Cov-2) Causing an Outbreak of Pneumonia (COVID-19)». 1 de março de 2020. Consultado em 14 de março de 2020 
  21. «IDbyDNA's Explify Respiratory Test can detect coronavirus». Medical Device Network. 29 de janeiro de 2020. Consultado em 14 de março de 2020 
  22. Zhang, Wei; Du, Rong-Hui; Li, Bei; Zheng, Xiao-Shuang; Yang, Xing-Lou; Hu, Ben; Wang, Yan-Yi; Xiao, Geng-Fu; Yan, Bing; Shi, Zheng-Li; Zhou, Peng (1 de janeiro de 2020). «Molecular and serological investigation of 2019-nCoV infected patients: implication of multiple shedding routes». Emerging Microbes & Infections. 9 (1): 386–389. doi:10.1080/22221751.2020.1729071 
  23. a b NormileFeb. 27, Dennis; 2020; Pm, 4:30 (27 de fevereiro de 2020). «Singapore claims first use of antibody test to track coronavirus infections». Science | AAAS (em inglês). Consultado em 2 de março de 2020 
  24. «Duke-NUS used COVID-19 antibody tests to establish link between church clusters in a world-first». CNA (em inglês). Consultado em 2 de março de 2020 
  25. Tao Ai; Zhenlu Yang (26 de fevereiro de 2020). «Correlation of Chest CT and RT-PCR Testing in Coronavirus Disease 2019 (COVID-19) in China: A Report of 1014 Cases». Radiological Society of North America. Radiology. 200642 páginas. doi:10.1148/radiol.2020200642 
  26. Li, Yan; Xia, Liming (4 de Março de 2020). «Coronavirus Disease 2019 (COVID-19): Role of Chest CT in Diagnosis and Management». American Journal of Roentgenology: 1–7. doi:10.2214/AJR.20.22954 
  27. Lee, Elaine Y. P.; Ng, Ming-Yen; Khong, Pek-Lan (24 de fevereiro de 2020). «COVID-19 pneumonia: what has CT taught us?». The Lancet Infectious Diseases (em inglês). 0 (0). ISSN 1473-3099. doi:10.1016/S1473-3099(20)30134-1. Consultado em 13 de março de 2020 
  28. Zhou, Shuchang; Wang, Yujin; Zhu, Tingting; Xia, Liming (5 de Março de 2020). «CT Features of Coronavirus Disease 2019 (COVID-19) Pneumonia in 62 Patients in Wuhan, China». American Journal of Roentgenology: 1–8. doi:10.2214/AJR.20.22975 
  29. «2019 Novel Coronavirus (2019-nCoV) Situation Summary». Centers for Disease Control and Prevention. 26 de janeiro de 2020. Consultado em 30 de janeiro de 2020. Cópia arquivada em 30 de janeiro de 2020 
  30. «Real-Time RT-PCR Panel for Detection 2019-nCoV». Centers for Disease Control and Prevention. 29 de janeiro de 2020. Consultado em 1 de fevereiro de 2020. Cópia arquivada em 26 de janeiro de 2020 
  31. «Curetis Group Company Ares Genetics and BGI Group Collaborate to Offer Next-Generation Sequencing and PCR-based Coronavirus (2019-nCoV) Testing in Europe». GlobeNewswire News Room. 30 de janeiro de 2020. Consultado em 1 de fevereiro de 2020. Cópia arquivada em 31 de janeiro de 2020 
  32. «In Age of COVID-19, Hong Kong Innovates To Test And Quarantine Thousands». NPR.org (em inglês) 
  33. «NHS pilots home testing for coronavirus». MobiHealthNews (em inglês). 24 de fevereiro de 2020 
  34. jkiger@postbulletin.com, Jeff Kiger. «Mayo Clinic starts drive-thru testing for COVID-19». PostBulletin.com (em inglês). Consultado em 13 de março de 2020 
  35. Hawkins, Andrew J. (11 de março de 2020). «Some states are offering drive-thru coronavirus testing». The Verge (em inglês). Consultado em 13 de março de 2020 
  36. «BGI's Coronavirus Response? Build a Lab in Wuhan». GEN - Genetic Engineering and Biotechnology News (em inglês). 12 de fevereiro de 2020. Consultado em 9 de março de 2020 
  37. «China Makes Over 1.7 Million Covid-19 Testing Kits per Day, Official Says». Yicai Global 
  38. «BGI Local Laboratory Solution for Non-invasive Prenatal Testing». BGI - Global (em inglês). Consultado em 9 de março de 2020 
  39. «BGI Coronavirus Molecular Diagnostic Test Garners CE Mark». GenomeWeb (em inglês). Consultado em 9 de março de 2020