Degeneração ganglionar córtico-basal
A Degeneração ganglionar córtico-basal ou Síndrome corticobasal é uma rara doença neurodegenerativa crónica, caracterizada por distúrbios do movimento, cognição e comportamento com várias possíveis patologias subjacentes, incluindo a degeneração corticobasal. Apresenta-se de forma insidiosa e é lentamente progressiva. Encontra-se classificada na categoria de doença Parkinson plus, ainda que esta designacao esteja a ficar em desuso. Patologicamente falando, considera-se uma tauopatia. De difícil diagnóstico, deve-se considerar em pessoas que apresentem qualquer combinação de características extrapiramidais (com fraca resposta à levodopa), apraxia ou outros sinais parietais, afasia e fenómenos de membros alheios. Os resultados de neuroimagem que mostrem alterações corticais perirrolândicas assimétricas apoiam o diagnóstico, enquanto a neuroimagem avançada pode fornecer informações sobre a patologia subjacente.[1]
A identificação da síndrome corticobasal tem importantes implicações para a gestão da patologia neuropsiquiatrica de maneira atempada (especialmente se surgirem no futuro tratamentos à base de proteínas) e prognóstico.[2] O seu tratamento é maioritariamente sintomático e é melhor efectuado num contexto multidisciplinar, incluindo um neurologista, neuropsiquiatra, um fisioterapeuta, terapeuta ocupacional, terapeuta da fala e da linguagem, psiquiatra e, em fases finais, um clínico de cuidados paliativos.

A síndrome corticobasal pode ser uma entidade confusa para os clínicos, sobretudo porque, ao longo do tempo evoluiu de ser considerada predominantemente como uma perturbação do movimento para uma doença que abrange uma vasta gama de manifestações cognitivas e motoras.Os sintomas são muitas vezes semelhantes aos de outras doenças, como a doença de Parkinson, a paralisia supranuclear progressiva e a demência com corpos de Lewy, o diagnóstico definitivo de CBD só pode ser feito através de um exame neuropatológico.[3]
A síndrome corticobasal afecta principalmente o córtex cerebral (a parte exterior do cérebro) e os gânglios basais (estruturas profundas do cérebro que estão envolvidas no movimento). A doença continua a agravar-se, provoca a morte de células nervosas e o encolhimento de várias áreas do cérebro (atrofia). [2]
Nem todas as pessoas que sofrem de degenerescência corticobasal têm problemas de memória, cognição, linguagem ou comportamento. As pessoas com síndrome corticobasal podem viver até 6-8 anos após o início dos sintomas, por vezes mais tempo.[2]
Em 1967, Rebeiz, Kolodny e Richardson descreveram três pacientes com uma síndrome acinético-rígida assimétrica progressiva e apraxia e rotularam esses casos como "degeneração corticodentatonigral". síndroma acinético-rígido progressivo e apraxia e rotularam estes casos como "degenerescência corticodentatonigral com acromasia neuronal".[4] Relatórios adicionais acerca desta doença foram quase inexistentes até ao início da década de 1990. Nos últimos 10 anos, o interesse por esta doença aumentou significativamente. A nomenclatura também sofreu uma evolução. Os principais aspectos clínicos que têm sido considerados característicos, rigidez assimétrica progressiva e a apraxia, com outros achados que sugerem problemas corticais adicionais (por exemplo, fenómenos de "alien limb", perda sensorial cortical, mioclonias, movimentos em espelho) e ganglionares basais (por exemplo, bradicinésia, distonia, tremor).

Os achados característicos na autópsia têm sido a atrofia cortical assimétrica, que é tipicamente marcada nas regiões frontoparietais, a degeneração dos gânglios basais e a degeneração nigral. Microscopicamente, encontram-se no córtex neurónios edemaciados que não se coram com a tincao hematoxilina/eosina convencional (os chamados neurónios balonados e acromáticos). Acumulações anormais da proteína da proteína tau associada aos microtúbulos é encontrada tanto nos neurónios como na glia. [1]
A terminologia relativa à degenerescência corticobasal (DCB) tem sido confusa. Têm sido utilizados os seguintes termos: degenerescência corticodentatonigral com acromasia neuronal, degenerescência corticonigral (DCN),[5] degenerescência ganglionar cortical-basal (DCGB),[6] degenerescência ganglionar corticobasal (DCGB)[7] e degenerescência corticobasal (DCB).[8] Análises de vários centros académicos mostraram que a constelação de características clínicas originalmente consideradas características desta doença pode ser observada em várias doenças não relacionadas com a CBD, levando outros a sugerir termos sindrómicos como síndrome corticobasal,[9] síndrome de degeneração corticobasal,[10] complexo de Pick,[11] síndrome de rigidez assimétrica progressiva e apraxia (PARA)[12] e síndrome de degeneração cortical assimétrica - tipo perceptivo-motor.[13] Um consenso sobre a terminologia não foi estabelecido. Neste artigo da Wikipédia, o termo síndrome corticobasal (e a abreviatura CBS) será utilizado para caracterizar a constelação de aspectos clínicos inicialmente considerados característicos da degeneração corticobasal, e o termo degeneração corticobasal (e a abreviatura CBD) será utilizado para designar a doença histopatológica.[14]
Epidemiologia e demografia
Tal como muitas outras doenças neurodegenerativas, os sintomas começam geralmente de forma insidiosa na sexta a oitava década e progridem gradualmente ao longo de 3-15 anos até à morte. Os homens e as mulheres são igualmente afectados.
Uma característica que define a sindrome corticobasal é uma manifestacao assimetrica da patologia nos membros, mas não parece haver qualquer predilecção pelo lado direito ou esquerdo. Uma frequência relativamente elevada de doenças auto-imunes coexistentes foi observada em alguns estudos.[15] Trata-se de uma doença esporádica, embora existam raros relatos de familiares afetados pela mesma condicao.[16]
A incidência e a prevalência da Sindrome corticobasal e da Degeneracao corticobasal não são conhecidas. Bower et al. não identificaram nenhum caso de Sindrome corticobasal e da Degeneracao corticobasal na sua análise do parkinsonismo no Condado de Olmsted, Minnesota.[17]
No entanto, numa revisão dos registos de autópsias da Clínica Mayo de 1970 a 2000, dois residentes de Olmsted County, Minnesota, foram encontrados com patologia de Degeneracao corticobasal, com um apresentando síndrome corticobasal e o outro apresentava demência do tipo Alzheimer. A partir de 2003, verificámos 11 doentes com Degeneracao corticobasal no Centro de Investigação da Doença de Alzheimer da Mayo que residem no estado do Minnesota. Considerando que existem cerca de 5 milhões de residentes no estado, uma prevalência mínima estimada é de pelo menos 2 por milhão. A raridade da Sindrome corticobasal e da Degeneracao corticobasal dificultará estimativas mais definitivas de incidência e prevalência.[18]
Características clínicas da síndrome corticobasal
Rigidez assimétrica progressiva e apraxia
As principais características clínicas são a rigidez assimétrica progressiva e a apraxia. Os sintomas começam normalmente num membro, sem predilecção aparente pelo lado direito ou esquerdo. Os doentes descrevem o seu membro como "desajeitado", "incoordenado" ou "rígido".Durante o exame neurológico, o membro apresenta uma rigidez ligeira a grave e, por vezes, adopta uma postura distónica. Características tanto da rigidez (i.e., aumento do tónus independente da velocidade) como da espasticidade (i.e., aumento do tónus dependente da velocidade) (ou seja, aumento do tónus independente da velocidade) e espasticidade (ou seja, aumento do tónus dependente da velocidade) podem estar presentes nos membros afectados. Os movimentos alternados são marcadamente reduzidas. O membro afectado torna-se frequentemente profundamente apráxico. Inicialmente, a falta de jeito e a quebra de movimentos coordenados complexos podem representar apraxia limbocinética. No entanto, é difícil distinguir completamente esta situação dos efeitos da disfunção dos gânglios basais, incluindo rigidez, bradicinesia e distonia. Mais tarde, desenvolvem-se características claras de apraxia ideomotora, como a incapacidade de executar ou imitar correctamente gestos e actividades simples. Quando solicitados a realizar estas actividades ou gestos com a mao ou mebro afetados, os doentes olham frequentemente para o membro em questão e se debatem e esforcam profusamente a realizar os movimentos pedidos. Com o tempo, o membro torna-se completamente inútil e os outros membros tornam-se afectados de forma semelhante. Tipicamente, a rigidez assimétrica progressiva e a apraxia estão presentes num dos membros superiores durante pelo menos 2 anos, a doenca evlui depois para o membro inferior ipsilateral ou o membro superior contralateral, levando eventualmente a uma incapacidade generalizada grave vários anos mais tarde. Menos frequentemente, pode acontecer que um membro inferior é afectado primeiro,e então a progressão ocorre rapidamente ao longo de poucos meses.[19]
A apraxia e a rigidez não foram objecto de estudos mais aprofundados. Leiguarda et al. avaliaram a apraxia bucofacial, ideomotora e ideacional em 10 pacientes com a síndrome corticobasal. Os seus resultados sugerem que a apraxia ideomotora era o tipo mais comum de apraxia na síndrome corticobasal, e provavelmente refletia disfunção da área motora suplementar. Os indivíduos que apresentavam apraxia ideacional coexistente correlacionavam-se com um défice cognitivo global, o que sugeria uma disfunção parietal adicional ou uma disfunção cortical mais difusa.[20] Caselli et al. compararam dados cinemáticos pormenorizados em vários doentes com a síndrome corticobasal, incluindo um caso que tinha Degeneracao corticobasal na autópsia e outro que tinha doença de Alzheimer. Anomalias graves no controlo temporal e espacial, na programação motora e na simetria intermanual estavam presentes independentemente da presença ou ausência de demência ou de histologia específica[21]. Boeve et al. estudaram dois irmãos com uma doença neurodegenerativa familiar associada a histopatologia não específica, em que um irmão apresentou a síndrome corticobasal durante a vida, enquanto o outro tinha características clássicas de demência frontotemporal. O caso com as características da síndrome corticobasal não apresentava alterações degenerativas significativas nos gânglios basais e na substância negra, sugerindo que a disfunção extrapiramidal pode existir na ausência de patologia apreciável no sistema nigrostriatal.[22] Assim, são necessários estudos clínicos, radiológicos e patológicos adicionais para definir melhor os substratos anatómicos subjacentes à apraxia e rigidez na síndrome corticobasal.[23]
O Sindrome do membro alheio
A Síndrome do membro alheio é uma característica intrigante da síndrome corticobasal. Os doentes descrevem frequentemente o membro afectado como "alienígena", "incontrolável" ou "com mente própria", e muitas vezes rotulam o membro como "ele" quando descrevem o comportamento do membro. Os movimentos são espontâneos e minimamente afectados pelo esforço mental, exigindo por vezes a contenção aravés do membro contralateral. Este fenómeno dura frequentemente alguns meses até alguns anos, antes que a rigidez progressiva ou distonia se sobreponha.[24]
Tem havido um debate sobre o que constitui um verdadeiro comportamento alienígena, desde a pseudoatetose devida a perda sensorial cortical até à simples levitação de um membro.[25][26] Este fenómeno está provavelmente relacionado com patologia na área motora suplementar e nas conexões eferentes/aferentes.[27][28]
Perda sensorial cortical
A perda sensorial cortical manifesta-se frequentemente de forma sintomática como "dormência" ou "formigueiro". A perda do sentido da posição articular, a discriminação de dois pontos, a agrafastia e a astereognosia, no contexto de modalidades sensoriais primárias intactas, são evidências de perda sensorial cortical. Este facto está provavelmente relacionado a patologia no córtex somotosensorial ± tálamo.[carece de fontes]
Mioclonias
A mioclonia, quando presente, começa geralmente distalmente num membro superior e pode propagar-se proximalmente. A frequência e a amplitude dos espasmos mioclónicos aumentam tipicamente com a estimulação táctil (i.e., mioclonia sensível ao estímulo) e com a acção (i.e., mioclonia de acção). Estudos electrofisiológicos recentes sugerem que a mioclonia nesta perturbação resulta do aumento da entrada sensorial directa nas áreas motoras corticais.[29]
Tipicamente, um estímulo periférico que induza os espasmos mioclónicos não está associado a um potencial evocado somatossensorial aumentado e a latência entre o estímulo e o espasmo é breve, apenas suficiente para atingir o córtex e regressar à periferia (i.e., ~ 40 ms no membro superior). Estas características são distintas da maioria das outras formas de mioclonia reflexa cortical (que está associada a potencial evocado somatossensorial aumentado e uma latência mais longa do estímulo).[30][31]
Movimentos em espelho
Os movimentos em espelho estão presentes quando o membro oposto realiza involuntariamente a mesma actividade que o membro que está a ser examinado. Os movimentos em espelho são muitas vezes suprimíveis, mas quando o indivíduo se distrai e volta a ser desafiado com a mesma manobra alguns minutos mais tarde, eles voltam a ocorrer. Os pacientes também demonstram frequentemente movimentos de transbordamento no mesmo lado do corpo, em que a tentativa de movimento num braço ou numa perna provoca movimentos adicionais no membro ipsilateral, incluindo elevação, espelhamento, etc. Os movimentos de espelho têm sido associados à síndrome do membro estranha,[32] embora muitos doentes os tenham sem características de membros estranhos. Os movimentos em espelho são frequentemente encontrados durante exame, mas raramente são sintomáticos.[33]
Distonia
A postura distónica de um membro é uma manifestação inicial comum, afectando geralmente um membro superior. Frequentemente, a postura da mão assume um aspecto de "punho cerrado", embora possa ocorrer hiperextensão de um ou mais dedos. Inicialmente, a distonia pode ser evidente apenas durante a marcha. Nas pessoas com sintomas que começam num membro inferior, o pé está frequentemente invertido e a deambulação é severamente limitada. A dor acompanha frequentemente, mas nem sempre, a distonia. O "sinal da mão em punho" pode representar uma das características clínicas mais específicas para a síndrome corticobasal.[34]
Tremor
O tremor é outra característica comum, e os doentes descrevem normalmente a extremidade afectada como "sacudida". Um tremor postural e de acção evolui frequentemente para um tremor mais brusco e depois para mioclonia. Ao contrário do tremor da doença de Parkinson, que é mais proeminente em repouso e diminui com a acção, o tremor no síndrome corticobasal é amplificado com a actividade e mínimo em repouso. O tremor de repouso parkinsoniano clássico de 4 a 6 Hz raramente, ou nunca, é evidente nesta doença.[35]
Ausência de resposta à Levodopa
Não existem casos publicados em que se tenha registado uma melhoria clínica significativa e sustentada com a terapêutica com levodopa.[36] Muitos consideram a falta de melhoria objectiva durante a terapêutica com pelo menos 750 mg de levodopa diária (doses divididas, com o estômago vazio) como uma característica diagnóstica da síndrome corticobasal (tendo em conta que outras síndromes acinético-rígidas também não respondem à levodopa).[37]
Demência
A demência clinicamente significativa não é um achado precoce típico nos doentes com síndrome corticobasal, mas é frequente o comprometimento de um ou mais domínios cognitivos. No entanto, deve ser enfatizado que a ausência de demência precoce clinicamente significativa está relacionada em grande parte com a aplicação de critérios de diagnóstico que tentaram excluir outras doenças, como a demencia de Alzheimer e a demência com corpos de Lewy. De facto, embora a patologia da degeneração corticobasal possa ser a causa mais comum da síndrome corticobasal, alguns estudos concluíram que esta se apresenta mais frequentemente como uma síndrome demencial.[38]
Reversões Sim/Não
Uma característica muito intrigante na degeneração corticobasal (bem como noutras perturbações) é a tendência dos doentes para balançar a cabeça e responder "sim" quando na verdade querem dizer "não", e vice-versa.[39] Enquanto alguns doentes e familiares descrevem este fenómeno espontaneamente, isto requer muitas vezes questionamento específico por parte do clínico. Os familiares e amigos dos doentes afectados tendem a repetir as suas perguntas, ou perguntar "quer mesmo dizer sim ou não?" e, portanto, esta questão pode afectar significativamente a comunicação em alguns doentes. Este fenómeno deve-se provavelmente a uma disfunção frontosubcortical, em que a flexibilidade mental e o controlo inibitório estão comprometidos.[39]
Características Cognitivas Focais
A afasia (que é tipicamente não fluente), a apraxia ideomotora, a heminegligência lateral, etc., são características cognitivas tão frequentes como as características motoras. A apraxia da fala e/ou a apraxia oral não-verbal são bastante comuns; de facto, um caso publicado apresentava apraxia da fala e não desenvolveu outras características "típicas" até pelo menos 5 anos mais tarde.[40] Embora raramente sintomáticos, os doentes demonstram frequentemente dispraxia de construção em tarefas de desenho, particularmente se o lobo parietal do hemisfério não dominante estiver suficientemente afectado. Outras patologias relacionadas com o lobo parietal não dominante, tais como a heminegligência lateral e má orientação espacial, tem particular influencia nas actividades da vida diária. A agrafia apráxica pode surgir se a região homóloga do hemisfério dominante for disfuncional. A ausência ou raridade destas patologias focais na literatura sobre a síndrome corticobasal deve-se provavelmente ao facto de os clínicos não incluírem nas suas provvas clínicas a avaliação do funcionamento visuo-espacial/visuoperceptual e da negligência lateral.[41][42]
Características neuropsiquiátricas
A depressão, a sintomatologia obsessivo-compulsiva, as perturbações comportamentais "frontais" entre outras patoogias neuropsiquiatricas podem podem ocorrer na síndrome síndrome corticobasal.[43] As alucinações visuais e os delírios são muito raros. A presença de alucinações visuais no contexto de défice cognitivo e/ou parkinsonismo pode pode favorecer o diagnóstico de demência com corpos de Lewy em vez de síndrome corticobasal.[44][45]
Apraxia motora ocular
A apraxia motora ocular ocorre, em certa medida, em quase todos os doentes com síndrome corticobasal.[40] Isto inclui dificuldade dificuldade em iniciar sacadas e fixar a mirada, mas a perseguição e o nistagmo optocinético estão tipicamente preservados.
Em contraste com os doentes com paralisia supranuclear progressiva, os doentes com síndrome corticobasal têm uma velocidade e amplitude normais das sacadas. Por outro lado, eventualmente os doentes podem desenvolver uma paresia supranuclear do olhar que pode ser indistinguível da observada na paralisia supranuclear progressiva. A apraxia da abertura/fecho das pálpebras também é frequente. [46]
Outras características patoloógicas
Podem também ocorrer vários outras características menos específicos, mas nunca patognomónicas. Sinais de libertação frontal, disartria hipocinética,
hiperreflexia assimétrica, e/ou respostas extensoras dos dedos dos pés (sinais de enfermedade piramidal) também ocorrem com alguma frequência. A instabilidade postural é muito comum numa fase mais tardia da doença e pode estar relacionada com apraxia da marcha, parkinsonismo bilateral dos membros inferiores, distonia ou, menos frequentemente, envolvimento vestibular. Se os problemas de equilíbrio estiverem presentes numa fase precoce, são geralmente secundários ao envolvimento dos membros inferiores no início da doença. Ataxia apendicular,, a coreia e o blefaroespasmo são manifestações pouco frequentes. A disfagia começa insidiosamente nas fases mais tardias da doença, em contraste com o que ocorre habitualmente na paralisia supranuclear progressiva, e, tal como nessa doença, acaba por conduzir a pneumonia por aspiração e a morte na maioria dos casos. [47]
Critérios de diagnóstico
Foram publicados quatro conjuntos de critérios de diagnóstico clínico (Quadros 1-4).[48][49][50][49] Os critérios de Maraganore et al., Lang et al. e Kumar et al. são semelhantes a outros conjuntos de critérios em que as características clínicas que se pensa serem as melhores para prever a síndrome corticobasal subjacente são listadas e qualificadas. No entanto, vários investigadores demonstraram uma considerável heterogeneidade clinicopatológica em doentes clinicamente suspeitos de terem síndrome corticobasal. [51][52] Os critérios propostos por Boeve et al. tem em conta esta heterogeneidade e enumera as características clínicas da síndrome, que é conceptualmente semelhante às síndromes de demência frontotemporal, afasia progressiva não fluente e demência semântica.[53] Nenhum destes conjuntos de critérios foi rigorosamente validado, e é provável que sejam necessários aperfeiçoamentos.
Chegou-se a um consenso relativamente aos critérios neuropatológicos para o diagnóstico de síndrome corticobasal.[54] As características principais estão listadas na Tabela 5. Um ponto crítico é que as técnicas de coloração apropriadas (ou seja, coloração com prata de Gallyas, imunocitoquímica com tau, e fosfo-neurofilamento ou F-B-cristalina), devem ser realizadas em casos apropriados, em particular nos casos de demência e/ou parkinsonismo em que não haja patologia significativa de Alzheimer ou de demencia com corpos de Lewy.
Quadro 1:
Diagnóstico Clínico da Degenerescência Corticobasal: Critérios de Maraganore et al.[55] |
| Síndrome corticobasal clinicamente possível:
Sem causa identificável (por exemplo, tumor, enfarte), pelo menos três dos seguintes: - Curso progressivo - Distribuição assimétrica Síndrome "PARA“ - Rigidez - Apraxia |
| Síndrome corticobasal clinicamente provável:
Todos os quatro critérios clinicamente possíveis, sem causa identificável, pelo menos dois dos seguintes: - Distonia apendicular focal ou assimétrica - Mioclonias apendiculares focais ou assimétricas - Tremor de acção/postura apendicular focal ou assimétrico - Ausência de resposta à levodopa |
| Síndrome corticobasal clinicamente definitiva:
Preenche os critérios para CBD clinicamente provável, pelo menos um dos seguintes: - Fenómeno do membro estranho - Perda sensorial cortical - Movimentos em espelho |
| Outras análises que suportam o diagnóstico:
- Amplitude assimétrica no EEG - Atrofia frontoparietal focal ou assimétrica na TC ou RM - Hipoperfusão frontoparietal focal ou assimétrica ± gânglios basais em SPECT - Hipometabolismo focal ou assimétrico frontoparietal ± gânglios basais em PET |
Quadro 2:
Diagnóstico Clínico da Degenerescência Corticobasal: Critérios de Lang et al.[56] |
| Critérios de inclusão:
- Rigidez mais um sinal cortical (apraxia, perda sensorial cortical, ou fenómeno do membro estranho) alienígena) ou - Rigidez assimétrica, distonia e mioclonias reflexas focais |
| Qualificações das características clínicas:
- Rigidez: facilmente detectável sem reforço - Apraxia: mais do que a simples utilização do membro como objecto; ausência clara de défice cognitivo ou ausência clara de défice cognitivo ou motor suficiente para explicar a perturbação - Perda sensorial cortical: sensação primária preservada; assimétrica - Fenómeno do membro estranho: mais do que uma simples levitação - Distonia: focal no membro; presente em repouso no início - Mioclonia: a mioclonia reflexa estende-se para além dos dígitos estimulados |
| Critérios de exclusão:
- Demência precoce - Paralisia precoce do olhar vertical - Tremor de repouso - Distúrbios autonómicos graves - Reactividade sustentada à levodopa - Lesões em estudos imagiológicos que indicam que outro processo patológico é responsável |
Quadro 3:
Diagnóstico Clínico da Degenerescência Corticobasal: Critérios de Kumar et al.[56] |
| Características principais:
- Evolução crónica progressiva - Assimétrico no início (inclui dispraxia da fala, disfasia) |
| Presença de:
- Disfunção cortical "superior" (apraxia, perda sensorial cortical ou membro alheio) e - Perturbações do movimento (síndroma acinético-rígido resistente à levodopa, e distonia dos membros distonia ou mioclonias focais espontâneas e reflexas) |
| Qualificações das características clínicas:
Idênticos aos critérios de Lang et al. |
| Critérios de exclusão:
Os mesmos que os critérios de Lang et al. |
Quadro 4:
Critérios propostos para o diagnóstico da Síndrome Corticobasal[57] |
| Características principais:
- Início insidioso e curso progressivo - Sem causa identificável (por exemplo, tumor, enfarte) - Disfunção cortical reflectida por pelo menos um dos seguintes aspectos - apraxia ideomotora focal ou assimétrica - fenómeno do membro estranho - perda sensorial cortical - heminegligência visual ou sensorial - apraxia de construção - mioclonia focal ou assimétrica - apraxia da fala/afasia não fluente - Disfunção extrapiramidal, reflectida por pelo menos uma das seguintes características - Rigidez apendicular focal ou assimétrica, sem resposta proeminente e sustentada à levodopa resposta à levodopa - Distonia apendicular focal ou assimétrica |
| Análisis laboratoriais e outras exploracoes:
- Graus variáveis de disfunção cognitiva focal ou lateralizada, com relativa relativa preservação da aprendizagem e da memória, em testes neuropsicométricos; - Atrofia focal ou assimétrica na TC ou RM, tipicamente máxima no córtex parietofrontal, - Hipoperfusão focal ou assimétrica na SPECT e hipometabolismo na PET, tipicamente máxima no córtex parietofrontal ± gânglios basais ± tálamo. |
Características Neuropsiquiatricas
Os testes neuropsicométricos revelam normalmente uma perturbação nos domínios abrangidos pelas redes cognitivas frontais/redes cognitivas frontais/ frontostriatais e parietais: atenção/concentração, funções executivas, fluência verbalbfluência verbal, praxia e funcionamento visuoespacial.[58][59] O perfil da perturbação depende em parte do hemisfério cerebral que é afectado ao máximo. O desempenho em testes de aprendizagem e memória tende a ser ligeiramente afectado, se é que está de todo afectado. Devem ser considerados diagnósticos alternativos, nomeadamente a demência do tipo Alzheimer, se o desempenho nas medidas de recordação tardia e reconhecimento for marcadamente anormal.
Deve-se notar que os poucos relatórios publicados sobre os achados neuropsicológicos na síndrome corticobasal envolveram casos diagnosticados clinicamente mas não patologicamente, pelo que estes doentes tinham a síndrome corticobasal e podem ou não ter a degeneração corticobasal subjacente. Uma vez que o diagnóstico da síndrome corticobasal se baseia na constelação de características clínicas, que reflecte a topografia da disfunção nas redes neurais frontostriatais e parietais, os achados neuropsicológicos acima referidos devem ser considerados típicos da síndrome corticobasal, mas não devem ser considerados diagnóstico de degeneração corticobasal subjacente.
Achados Electrofisiológicos
Os achados na electroencefalografia (EEG) variaram de normal a acentuada disritmia e e lentidão delta. [60] [61]Amplitudes assimétricas de atividade alfa de fundo e fusos do sono foram foram relatados na SFC.[62]
Os aspectos electrofisiológicos da mioclonia em casos de presumível CBD já foram discutidos,[63] incluindo a curta latência do reflexo e a inibição reduzida após estimulação magnética do córtex.[64] Embora exista pelo menos um caso de síndrome corticobasal patologicamente comprovado, que teve uma latência mais longa, mais típica de mioclonia reflexa cortical, outros casos de síndrome corticobasal com uma de longa latência de mioclonia reflexa que foram estudados demonstraram outras patologias post-mortem (por exemplo, doença de Pick, Alzheimer e demência por corpos de inclusão). Em contrapartida, até à data os poucos casos que chegaram à autópsia em que a forma de latência curta estava presente em vida tiveram a patologia da degeneração corticobasal.[57] Estes achados podem ser o preditor antemortem mais específico de degeneração corticobasal subjacente identificado até à data.
No entanto, muitos mais casos precisam de ser estudados com correlação clínica, electrofisiológica e patológica.
Resultados da imagiologia por ressonância magnética
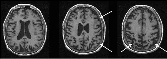
O objectivo da realização de uma tomografia computorizada ou de uma ressonância magnética ao cérebro é excluir uma lesão estrutural, como um tumor, abcesso, hematoma ou enfarte. Na ausência destas lesões, alguns achados podem apoiar o diagnóstico de degeneração corticobasal, como a atrofia cortical assimétrica, especialmente frontoparietal, com a atrofia mais proeminente contralateral ao lado mais severamente afectado clinicamente (Fig. 2).[65][66][67][68][69][70] O ventrículo lateral no hemisfério cerebral mais afectado pode também ser ligeiramente maior do que o oposto. Uma atrofia assimétrica nos pedúnculos cerebrais pode estar presente (Fig. 3).[71] Outros achados de RM relatados na síndrome corticobasal incluem atrofia do segmento médio ou posterior do corpo caloso (Fig. 4),[72] alterações de sinal hiperintensas laterais ao putâmen,[65] atrofia do putâmen,[73] e alterações subcorticais subtis do sinal hiperintenso no córtex motor ± somatossensorial. [74]
Estes são frequentemente achados subtis e a sua presença ou ausência não deve alterar o diagnóstico clínico da síndrome corticobasal. É importante salientar que a maioria dos casos em que estes achados de Ressonancia magnética foram identificados não tiveram degeneração corticobasal verificada post-mortem. Na única série de pacientes com a síndrome corticobasal associada à patologia degeneração corticobasal, síndrome corticobasal associada à patologia não-degeneração corticobasal e patologia de degeneração corticobasal associada a características clínicas não-degeneração corticobasal, nenhum desses achados de Ressonancia Magnética foi considerado adequadamente sensível ou específico para a síndrome corticobasal.
Atrofia parietal ± frontal progressiva e adelgaçamento da porção média e posterior do do corpo caloso ocorrem frequentemente em exames de Ressonanca Magnética seriados em pacientes com a síndrome corticobasal. Alguns doentes apresentam uma síndrome de degenerescência cortical focal, como a demência frontotemporal, afasia progressiva ou atrofia cortical posterior e, subsequentemente, desenvolvem os achados da síndrome corticobasal. Também observámos vários achados atípicos de Ressonancia Magnética na síndrome corticobasal e na degeneração corticobasal. As alterações de sinal nebulosas ou hiperintensas podem podem reflectir gliose e/ou desmielinização secundária. Alguns doentes apresentam uma atrofia cortical mínima. Apesar da progressão clínica inequívoca, a atrofia progressiva é difícil de apreciar, embora a dilatação ventricular possa ser evidente. O aumento do sinal ao longo da faixa cortical parietofrontal pode ser observado em doentes com doença de Creutzfeldt-Jakob que apresentam síndrome corticobasal.
Achados Neuropatológicos
Foram recentemente publicados critérios de consenso para o diagnóstico patológico da síndrome corticobasal (Tabela 5)[75]
Quadro 5:
Gabinete de Doenças Raras Critérios Neuropatológicos para o Diagnóstico da Degenerescência Corticobasal[76] |
| Características principais:
- Perda neuronal cortical focal, mais frequentemente nas regiões frontal, parietal e/ou temporal - Perda neuronal da substância negra - Lesões neuronais e gliais positivas para Gallyas/tau, especialmente placas e filamentos astrocíticos, tanto na substância branca branca e cinzenta, mais frequentemente no giro frontal superior, giro parietal superior, giros pré e giros pré e pós-centrais, e estriado |
| Características que suportam o diagnóstico:
- Atrofia cortical, frequentemente com espongiose superficial - Neurónios em balão, geralmente numerosos nos córtices atróficos - Corpos enrolados oligodendrogliais Tau-positivos |
A nível Macroscópico
A atrofia cortical parietofrontal ou frontotemporal assimétrica e a palidez da substância negra são os achados patológicos macroscópicos típicos. Alguns indivíduos com achados clínicos e microscópicos típicos não apresentam, no entanto, atrofia cortical apreciável.
A nivel Microscópico
A perda neuronal, a gliose e o espongiose superficial são proeminentes nos giros corticais mais afectados. A imunocitoquímica com tau, bem como com neurofilamento fosforilado ou FB-cristalina é imperativa na caracterização de casos com possível degeneração corticobasal. As características patológicas da degeneração corticobasal incluem placas astrocíticas tau-positivas (tau+) e lesões filiformes tau+ na substância cinzenta e branca, mais frequentemente no giro frontal superior, giro parietal superior, giros pré e pós-centrais e estriado. Os corpos enrolados oligodendrogliais Tau+ também são comuns. Embora os neurónios acromáticos, em balão, imunorreativos ao neurofilamento fosforilado ou à FB-cristalina estejam tipicamente presentes na degeneração corticobasal, a sua ausência não exclui o diagnóstico de degeneração corticobasal se estiverem presentes as lesões tau+ adequadas.[77]
Estas características patológicas são indistinguíveis das da demência frontotemporal e do parkinsonismo ligados ao cromossoma 17 (FTDP-17).[75] Assim, o conhecimento da história familiar e da genética molecular é necessário para classificar adequadamente os casos com patologia do tipo síndrome corticobasal.
Características clínicas da
Existem poucos relatos em que as características clínicas da CBD patologicamente comprovada tenham sido caracterizadas. Caselli et al. encontraram diferenças subtis nas anomalias cinemáticas num caso patologicamente comprovado de degeneração corticobasal em comparação com um doente com síndrome corticobasal que tinha patologia de doenca de Alzheimer.[78]
As anomalias da fala e da linguagem associadas à síndrome corticobasal patologicamente confirmada foram recentemente descritas.[79] Os sintomas e sinais de disfunção da fala ou da linguagem estavam entre as características de apresentação em mais de metade dos doentes desta série. Entre estes 13 casos, as características incluíam disartria (n = 4; formas hipocinética, espástica, atáxica e mista), apraxia da fala (n = 5) e afasia (n = 7; fluente, fluente, não fluente e formas mistas). Assim, a disfunção da fala e da linguagem é comum na síndrome corticobasal, e os os achados incluem graus variáveis de disartria, apraxia da fala e afasia.[79]
A degeneração corticobasal pode também apresentar-se sob a forma de várias síndromes clínicas. Para além da síndrome corticobasal, as síndromes de degenerescência cortical focal/assimétrica associadas à degeneração corticobasal incluem demência frontotemporal,[80] uma síndrome de afasia progressiva (subtipos fluente e não fluente), e atrofia cortical posterior (com algumas ou todas as características da síndrome de Balint).[81]
Alguns doentes foram diagnosticados antemortem como provável doenca de Alzheimer.[82] De facto, a demência foi a apresentação mais comum de CBD numa série.[83] Muitos doentes tiveram achados clínicos indistinguíveis da paralisia supranuclear progressiva.[84] Um doente apresentou apraxia da fala e, posteriormente, desenvolveu características mais típicas de síndrome corticobasal.[85] Outro doente apresentava características obsessivo-compulsivo e desatenção visual.[86] Assim, do ponto de vista clinicopatológico, a síndrome corticobasal é uma doença bastante heterogénea.
Heterogeneidade Clínicopatológica
Embora a literatura inicial sobre a síndrome corticobasal sugerisse que se tratava de uma entidade clinicopatológica distinta, numerosos relatos de casos e pequenas séries indicam claramente uma considerável heterogeneidade clinicopatológica na degeneração corticobasal e na síndrome corticobasal - a doença. Assim, os seguintes distúrbios podem estar subjacentes à degeneração corticobasal: síndrome corticobasal, doença de Alzheimer, doença de Pick, paralisia progressiva supranuclear, demência sem histopatologia distintiva e doença de Creutzfeldt-Jakob,[79] bem como demência com corpos de Lewy,[87] demência com corpos de inclusão de neurónios motores[88] e demência com corpos de inclusão de neurofilamentos.[89] Como já foi referido, a degeneração corticobasal pode apresentar-se clinicamente como síndrome corticobasal, demência (não especificada), afasia progressiva primária, demência frontotemporal, atrofia cortical posterior e apraxia progressiva da fala. Alguns doentes apresentam frequentemente uma destas síndromes de degenerescência cortical degeneração cortical focal e, posteriormente, desenvolvem características que se sobrepõem a uma ou mais síndromes.[90][91] Assim, é agora claro que na síndrome corticobasal, tal como nas outras síndromes de degenerescência cortical focal/assimétrica[92][92] - a apresentação clínica e a progressão dos sintomas reflectem mais a distribuição topográfica distribuição topográfica da histopatologia mais do que a doença subjacente específica. Além disso, a síndrome corticobasal tem um padrão variável de patologia cortical cerebral, e a distribuição topográfica da patologia dita a apresentação clínica.
Precisão do diagnóstico
A heterogeneidade clinicopatológica da síndrome corticobasal e da degeneração corticobasal levou a uma sensibilidade e especificidade relativamente fracas para o diagnóstico da degeneração corticobasal. Como mostram as Tabelas 6 e 7, entre 36 pacientes consecutivos consecutivos com suspeita clínica de síndrome corticobasal, que foram submetidos a autópsia, apenas metade tinha degeneração corticobasal subjacente (especificidade da síndrome corticobasal): degeneração corticobasal subjacente (especificidade da degeneração corticobasal para a síndrome corticobasal = 50%). Para além disso, entre 32 doentes com degeneração corticobasal patologicamente comprovada, apenas 18 apresentavam o síndrome corticobasal (sensibilidade do síndrome corticobasal para degeneração corticobasal = 56%).
Outros investigadores encontraram uma elevada sensibilidade mas uma baixa especificidade no diagnóstico clínico da síndrome corticobasal.[93]
Esta fraca sensibilidade e especificidade tem claramente impedido a investigação nesta área. As doenças que estão relacionadas com a proteína disfuncional putativa, a especificidade da síndrome corticobasal para as tauopatias (considerando a Doença de Alzheimer como uma amiloidopatia para este cálculo) é de 69%. Uma vez que algumas terapias que afectam a fisiopatologia da tau podem ter eficácia em qualquer uma das tauopatias, a delimitação da doença histopatológica específica pode não ser tão importante para determinar se os doentes têm uma tauopatia subjacente aos seus sintomas. É evidente que os biomarcadores que são mais sensíveis e específicos para a síndrome corticobasal, bem como para as outras tauopatias, podem ser mais eficazes.
| Tabela 6 | |
Diagnósticos Patológicos em 36 Casos Autopsiados Consecutivosna Clínica Mayo com a Síndrome Corticobasal | |
Sindromes Diagnosticados |
Número de Casos |
| Degenerescência corticobasal | 18 |
| Paralisia supranuclear progressiva | 6 |
| Doença de Alzheimer | 4 |
| Doença de Creutzfeldt-Jakob | 3 |
| Alterações degenerativas inespecíficas | 3 |
| Doença de Pick | 1 |
| Doença de Alzheimer/doença de Pick combinadas | 1 |
| Tabela 7 | |
Diagnósticos Clínicos em 32 Casos Autopsiados Consecutivos na Clínica Mayo com CBD patologicamente comprovada | |
Diagnóstico clínico inicial |
Diagnóstico clínico final |
| 10 Degeneração corticobasal | 18 Degeneração corticobasal |
| 6 Doença de Parkinson atípica | 7 Paralisia supranuclear progressiva |
| 6 Demência/Doença de Alzheimer | 4 Afasia progressiva primária |
| 4 Afasia progressiva primária | 1 Doença de Alzheimer |
| 2 Paralisia supranuclear progressiva | 1 Demência com corpos de Lewy |
| 1 Demência com corpos de Lewy | 1 Doença de Marchiafava-Bignami |
| 1 Doença de Marchiafava-Bignami | |
| 1 Esclerose múltipla | |
| 1 Acidente vascular cerebral | |
Resultados nos exames laboratorias complementares
Muitos dos estudos de diagnóstico disponíveis para avaliar doenças cerebrais foram estudados na síndrome corticobasal e degeneração corticobasal e, tal como muitas outras facetas da síndrome e da doença, os resultados são difíceis de interpretar. A maior parte da literatura sobre os achados laboratoriais, neuropsicológicos, electrofisiológicos e radiológicos na degeneração corticobasal envolveu doentes com degeneração corticobasal clinicamente diagnosticada (ou seja, a síndrome corticobasal) mas sem confirmação patológica. Uma vez que uma proporção considerável de doentes com degeneração corticobasal (aprox. 50% numa série) tem uma doença não relacionada com a degeneração corticobasal subjacente aos seus sintomas, é necessário considerar os resultados descritos abaixo como consistentes com a síndrome corticobasal, mas ainda não comprovados para a perturbação de degeneração corticobasal.
Resultados laboratoriais
As análises de rotina ao sangue, à urina e ao líquido cefalorraquidiano (LCR) são normalmente normais. Estudos recentes indicam que o haplótipo da tau na degeneração corticobasal é semelhante ao da paralisia supranuclear progressiva.[94] A elevação da tau no LCR também foi identificada em doentes com degeneração corticobasal.[95] Se o haplótipo da tau ou o nível de tau no LCR melhora a precisão do diagnóstico antemortem requer um estudo mais aprofundado.[96]
Patofisiologia
Vários estudos evidenciam uma disfunção da tau associada aos microtúbulos como factor primário na patogénese da degeneração corticobasal. As inclusões na glia e nos neurónios são imunorreativas à proteina tau. [97]
A patologia da CBD tem sido associada a mutações na tau.[98] Os ratinhos transgénicos com a mutação P301L exibiram achados clínicos e neuropatológicos semelhantes aos dos humanos.[99] A hiperfosforilação da tau interrompe a ligação aos microtúbulos. Uma caracterização mais aprofundada da cascata de eventos envolvidos na disfunção da tau e na neurodegenerescência será fundamental para desenvolver uma terapia.
Tratamento
Uma vez que ainda não existe uma terapia para a degeneração corticobasal que afecte o processo neurodegenerativo, o tratamento deve ser adaptada aos sintomas. A farmacoterapia direccionada para o parkinsonismo tem sido decepcionante. A levodopa, os agonistas da dopamina e o baclofeno tendem a ter pouco efeito na rigidez, espasticidade, bradicinesia ou tremor. No entanto, a levodopa deve ser administrada de forma crescente, conforme tolerado, até pelo menos 750 mg por dia, em doses divididas, com o estômago vazio, para proporcionar um tratamento adequado.
Alguns doentes notaram uma melhoria significativa do parkinsonismo, mas esta melhoria raramente persiste para além de vários meses. Nos doentes que melhoram drasticamente com a terapêutica com levodopa, é necessário questionar se a degeneração corticobasal é a doença subjacente, uma vez que o parkinsonismo refractário à levodopa é considerado por muitos como uma característica da degeneração corticobasal e da síndrome corticobasal. Os agentes anticolinérgicos raramente melhoram a distonia, e o seu uso é limitado pelos efeitos colaterais. A toxina botulínica pode aliviar a dor causada pela distonia focal. A dor neuropática é considerada rara, mas alguns doentes responderam à gabapentina. O tremor pode responder inicialmente ao propranolol ou à primidona, mas os seus efeitos diminuem com a progressão da doença. Clonazepam e/ou gabapentina podem reduzir a mioclonia em alguns casos. Embora, intuitivamente, não se considere que nenhum dos inibidores da colinesterase seja benéfico nesta perturbação, observou-se casos raros em que se notou uma melhoria da velocidade psicomotora, concentração e capacidade de resolução de problemas com donepezil, rivastigmina ou galantamina. galantamina. A vitamina E e outros agentes antioxidantes têm sido experimentados na esperança de retardar a progressão da doença, mas ainda não há provas que sustentem um efeito de alteração da doença.
Devido à fraca resposta à farmacoterapia, a base do tratamento é, portanto, a terapia física, ocupacional e terapia fala. Uma avaliação em casa por um terapeuta ocupacional pode ajudar a determinar quais as alterações que podem ser feitas para facilitar a independência funcional (por exemplo, substituir as maçanetas rotativas por puxadores; colocar almofadas especiais à volta dos puxadores dos utensílios de comer e das escovas de dentes; comprar roupa com velcro em vez de botões ou atacadores, etc.).
Os exercícios passivos de amplitude de movimento (ADM) minimizam o desenvolvimento de contracturas, e todos os prestadores de cuidados devem ser instruídos no sentido de realizarem diariamente exercícios passivos de ADM. Nas pessoas que desenvolvem uma flexão distónica da musculatura da mão para formar uma "mão em punho", as unhas podem ficar incrustadas no tecido palmar, provocando celulite e até osteomielite da mão. Isto pode ser evitado cortando as unhas periodicamente e colocando um pano enrolado ou uma toalha de mão na palma da mão. Todos os doentes sofrem de perturbações da marcha em algum momento da sua doença. Um andarilho com travão de mão pode melhorar a deambulação para alguns doentes. A cadeira de rodas e os estão garantidos em praticamente todos os doentes. A apraxia é muitas vezes a característica mais debilitante da doença, e esta característica pode complicar a capacidade de utilizar uma cadeira de rodas ou uma cadeira motorizada. No entanto, muitos doentes conseguem aprender a utilizar estes dispositivos e usá-los eficazmente durante meses ou anos. Alguns pacientes conseguiram transformar a "mão inútil" em "mão útil" através da terapia de movimento induzido por restrição.
A terapia da fala e os dispositivos de comunicação podem optimizar a comunicação quando existe disartria, apraxia da fala ou afasia. Os terapeutas também aconselham os doentes e as famílias sobre manobras de deglutição e aditivos alimentares para minimizar a aspiração quando ocorre disfagia. A Gastrostomia Percutânea Endoscópica (PEG na sigla em inglês - Percutaneous Endoscopic Gastrostomy) para alimentação devido à progressiva disfagia deve ser discutida com todos os pacientes, embora muitos decidam não se submeter a esse procedimento.
Alguns doentes com síndrome corticobasal desenvolvem elementos de outras síndromes de degenerescência cortical focal, de tal forma que podem surgir características de demência frontotemporal (FTD), afasia progressiva primária (PPA), atrofia cortical posterior (PCA) ou alguma combinação destas. Além disso, os doentes que apresentam uma destas síndromes podem desenvolver características da síndrome corticobasal.
Outras doenças comórbidas tratáveis também devem ser consideradas, principalmente infecções (por exemplo, pneumonia e infecções do trato urinário), distúrbios psiquiátricos e distúrbios do sono. Embora as características psicóticas raramente ocorram na síndrome corticobasal, a depressão evolui essencialmente em todos os doentes, provavelmente devido, em parte, à perspicácia preservada que também é característica da doença. As perturbações do sono, como a apneia obstrutiva do sono, a apneia central do sono, a síndrome das pernas inquietas, a perturbação dos movimentos periódicos dos membros, etc., ocorrem com alguma frequência na síndrome corticobasal e o tratamento pode melhorar a qualidade de vida.[100] O distúrbio comportamental do sono REM é muito raro na síndrome corticobasal; de facto, se estiver presente, deve suspeitar-se de alguma contribuição da patologia da sinucleinopatia.[101] A terapia CPAP para a apneia obstrutiva do sono pode ser tolerada e utilizada eficazmente em muitos doentes.
Direcções futuras
É evidente que, com a sensibilidade e a especificidade da síndrome corticobasal não superiores a 60%, é necessária mais investigação para melhorar o diagnóstico antemortem da mesma.
Ainda não existe consenso para o diagnóstico da degeneração corticobasal. É muito importante uma caracterização mais aprofundada da história natural dos doentes com a síndrome corticobasal, envolvendo avaliações seriadas das características clínicas, laboratoriais, neuropsicológicas e radiológicas, uma vez que esta informação será necessária para a concepção de futuros ensaios de medicamentos, sobretudo se forem utilizados agentes activos contra a fisiopatologia da tau.
Continua a debater-se se a degeneração corticobasal e a paralesia supranuclear progressiva são variantes do mesmo processo fisiopatológico ou doenças distintas, o que merece ser esclarecido.
Estudos adicionais sobre as raras famílias com as doencas com características clínicas da síndrome corticobasal[102] e/ou as características patológicas da degeneração corticobasal,[103] bem como sobre a paralesia supranuclear progressiva, devem ser efectuados, quer estejam associadas a mutações na tau (i.e., FTDP-17) ou não, podem oferecer informações importantes, uma vez que ainda não foram identificados outros genes com impacto na fisiopatologia da tau.
Por último, os doentes e as suas famílias devem ser encorajados a aceder a fontes de informação e apoio, bem como a participar na investigação.
Ver também
- Sindroma de Bálint
- Parkinson plus
- Neuropsiquiatria
- Doença de Alzheimer
- Demencia com corpos de Lewy
- Doença neurodegenerativa
- Neurologia
- Psiquiatria
- Paralisia supranuclear progressiva
Referências
- ↑ a b Rebeiz, J. J.; Kolodny, E. H.; Richardson, E. P. (1 de janeiro de 1968). «Corticodentatonigral Degeneration With Neuronal Achromasia». Archives of Neurology (1): 20–33. ISSN 0003-9942. doi:10.1001/archneur.1968.00470310034003. Consultado em 8 de maio de 2023
- ↑ a b c GIBB, W. R. G.; LUTHERT, P. J.; MARSDEN, C. D. (1989). «CORTICOBASAL DEGENERATION». Brain (5): 1171–1192. ISSN 0006-8950. doi:10.1093/brain/112.5.1171. Consultado em 8 de maio de 2023
- ↑ Pillon, B.; Blin, J.; Vidailhet, M.; Deweer, B.; Sirigu, A.; Dubois, B.; Agid, Y. (1 de agosto de 1995). «The neuropsychological pattern of corticobasal degeneration: Comparison with progressive supranuclear palsy and Alzheimer's disease». Neurology (8): 1477–1483. ISSN 0028-3878. doi:10.1212/wnl.45.8.1477. Consultado em 8 de maio de 2023
- ↑ Rebeiz, J. J.; Kolodny, E. H.; Richardson, E. P. (1 de janeiro de 1968). «Corticodentatonigral Degeneration With Neuronal Achromasia». Archives of Neurology (1): 20–33. ISSN 0003-9942. doi:10.1001/archneur.1968.00470310034003
- ↑ Lippa, C.F.; Smith, T.W.; Fontneau, N. (setembro de 1990). «Corticonigral degeneration with neuronal achromasia». Journal of the Neurological Sciences (2-3): 301–310. ISSN 0022-510X. doi:10.1016/0022-510x(90)90271-n
- ↑ Lang, Anthony E.; Bergeron, Catherine; Pollanen, Michael S.; Ashby, Peter (agosto de 1994). «Parietal Pick's disease mimicking cortical‐basal ganglionic degeneration». Neurology (8): 1436–1436. ISSN 0028-3878. doi:10.1212/wnl.44.8.1436
- ↑ Westmoreland, Barbara F.; Boeve, Bradley F. (março de 1999). «ELectrophysiologic studies in cortical basal ganglionic degeneration (CBGD)». Journal of Clinical Neurophysiology (2): 176–177. ISSN 0736-0258. doi:10.1097/00004691-199903000-00037
- ↑ GIBB, W. R. G.; LUTHERT, P. J.; MARSDEN, C. D. (1989). «Corticobasal degeneration». Brain (5): 1171–1192. ISSN 0006-8950. doi:10.1093/brain/112.5.1171
- ↑ «Progressive Supranuclear Palsy». Cambridge University Press. 1 de outubro de 2020: 167–192. ISBN 978-1-108-58792-1
- ↑ Kertesz, A.; Martinez-Lage, P.; Davidson, W.; Munoz, D. G. (14 de novembro de 2000). «The corticobasal degeneration syndrome overlaps progressive aphasia and frontotemporal dementia». Neurology (9): 1368–1375. ISSN 0028-3878. doi:10.1212/wnl.55.9.1368
- ↑ Kertesz, Andrew; Davidson, Wilda; Munoz, David G. (1999). «Clinical and Pathological Overlap between Frontotemporal Dementia, Primary Progressive Aphasia and Corticobasal Degeneration: The Pick Complex». Dementia and Geriatric Cognitive Disorders (Suppl. 1): 46–49. ISSN 1420-8008. doi:10.1159/000051212
- ↑ Boeve, Bradley F. (2000). «Corticobasal Degeneration». Totowa, NJ: Humana Press: 253–261. ISBN 978-1-61737-095-3. doi:10.1007/978-1-59259-410-8_19
- ↑ Caselli, Richard J. (agosto de 1996). «Asymmetric cortical degeneration syndromes». Current Opinion in Neurology (4): 276–280. ISSN 1350-7540. doi:10.1097/00019052-199608000-00006
- ↑ Saranza, Gerard M.; Whitwell, Jennifer L.; Kovacs, Gabor G.; Lang, Anthony E. (2019). «Corticobasal degeneration». Elsevier (em inglês): 87–136. ISBN 978-0-12-817730-3. doi:10.1016/bs.irn.2019.10.014. epub 2019 nov 21. pmid: 31779825. Verifique
|doi=(ajuda). Consultado em 8 de maio de 2023 - ↑ Riley, D.; Lang, A.; Lewis, A.; Resch, L.; Ashby, P.; Hornykiewicz, O.; Black, S. (9 de maio de 2011). «Cortical-basal ganglionic degeneration». Neurology (19): 1634–1634. ISSN 0028-3878. doi:10.1212/01.wnl.0000398198.48275.f4
- ↑ Fujioka, Shinsuke; Boeve, Bradley F.; Parisi, Joseph E.; Tacik, Pawel; Aoki, Naoya; Strongosky, Audrey J.; Baker, Matt; Sanchez-Contreras, Monica; Ross, Owen A. (novembro de 2014). «A familial form of parkinsonism, dementia, and motor neuron disease: A longitudinal study». Parkinsonism & Related Disorders (11): 1129–1134. ISSN 1353-8020. doi:10.1016/j.parkreldis.2014.07.014
- ↑ Bower, J. H.; Maraganore, D. M.; McDonnell, S. K.; Rocca, W. A. (1 de abril de 1999). «Incidence and distribution of parkinsonism in Olmsted County, Minnesota, 1976-1990». Neurology (6): 1214–1214. ISSN 0028-3878. doi:10.1212/wnl.52.6.1214
- ↑ Ali, F.; Josephs, K. A. (fevereiro de 2018). «Corticobasal degeneration: key emerging issues». Journal of Neurology (em inglês) (2): 439–445. ISSN 0340-5354. doi:10.1007/s00415-017-8644-3. Consultado em 8 de maio de 2023
- ↑ Lalive, Patrice H.; Personeni, Orlando; Slosman, Daniel O.; Landis, Theodor; Burkhard, Pierre R. (2000). «Lower Limb Corticobasal Degeneration». European Neurology (em inglês) (4): 248–249. ISSN 0014-3022. doi:10.1159/000008245. Consultado em 8 de maio de 2023
- ↑ Leiguarda, R; Lees, A J; Merello, M; Starkstein, S; Marsden, C D (1 de abril de 1994). «The nature of apraxia in corticobasal degeneration.». Journal of Neurology, Neurosurgery & Psychiatry (4): 455–459. ISSN 0022-3050. doi:10.1136/jnnp.57.4.455
- ↑ Caselli, Richard J.; Stelmach, George E.; Caviness, John N.; Timmann, Dagmar; Royer, Todd; Boeve, Bradley F.; Parisi, Joseph E. (março de 1999). «A kinematic study of progressive apraxia with and without dementia». Movement Disorders (2): 276–287. ISSN 0885-3185. doi:10.1002/1531-8257(199903)14:2<276::aid-mds1013>3.0.co;2-u
- ↑ Boeve, B.F.; Maraganore, D.M.; Parisi, J.E.; Ivnik, R.J.; Westmoreland, B.F.; Dickson, D.W.; Hutton, M.; Hardy, J.; Caselli, R.J. (2002). «Corticobasal Degeneration and Frontotemporal Dementia Presentations in a Kindred with Nonspecific Histopathology». Dementia and Geriatric Cognitive Disorders (2): 80–90. ISSN 1420-8008. doi:10.1159/000048638
- ↑ Josephs, Keith A.; Whitwell, Jennifer L.; Boeve, Bradley F.; Knopman, David S.; Petersen, Ronald C.; Hu, William T.; Parisi, Joseph E.; Dickson, Dennis W.; Jack, Clifford R. (15 de julho de 2010). «Anatomical differences between CBS-corticobasal degeneration and CBS-Alzheimer's disease: MRI Can Predict Ad vs. CBD in CBS». Movement Disorders (em inglês) (9): 1246–1252. doi:10.1002/mds.23062. Consultado em 8 de maio de 2023
- ↑ Lewis-Smith, David J.; Wolpe, Noham; Ghosh, Boyd C. P.; Rowe, James B. (abril de 2020). «Alien limb in the corticobasal syndrome: phenomenological characteristics and relationship to apraxia». Journal of Neurology (em inglês) (4): 1147–1157. ISSN 0340-5354. doi:10.1007/s00415-019-09672-8. Consultado em 8 de maio de 2023
- ↑ Ball, J A; Lantos, P L; Jackson, M; Marsden, C D; Scadding, J W; Rossor, M N (1 de setembro de 1993). «Alien hand sign in association with Alzheimer's histopathology.». Journal of Neurology, Neurosurgery & Psychiatry (9): 1020–1023. ISSN 0022-3050. doi:10.1136/jnnp.56.9.1020. Consultado em 7 de maio de 2023
- ↑ Doody, R S; Jankovic, J (1 de setembro de 1992). «The alien hand and related signs.». Journal of Neurology, Neurosurgery & Psychiatry (9): 806–810. ISSN 0022-3050. doi:10.1136/jnnp.55.9.806. Consultado em 7 de maio de 2023
- ↑ Feinberg, Todd E.; Schindler, Rachel J.; Flanagan, Natalie Gilson; Haber, Laurence D. (janeiro de 1992). «Two alien hand syndromes». Neurology (1): 19–19. ISSN 0028-3878. doi:10.1212/wnl.42.1.19
- ↑ Gasquoine, Philip G. (setembro de 1993). «Alien hand sign». Journal of Clinical and Experimental Neuropsychology (5): 653–667. ISSN 0168-8634. doi:10.1080/01688639308402587
- ↑ Constantinides, Vasilios C.; Paraskevas, George P.; Paraskevas, Panagiotis G.; Stefanis, Leonidas; Kapaki, Elisabeth (2019). «Corticobasal degeneration and corticobasal syndrome: A review». Clinical Parkinsonism & Related Disorders (em inglês): 66–71. doi:10.1016/j.prdoa.2019.08.005. Consultado em 8 de maio de 2023
- ↑ Thompson, P. D.; Day, B. L.; Rothwell, J. C.; Brown, P.; Britton, T. C.; Marsden, C. D. (1994). «The myoclonus in corticobasal degeneration». Brain (5): 1197–1207. ISSN 0006-8950. doi:10.1093/brain/117.5.1197
- ↑ Iwasaki, Yasushi; Mori, Keiko; Ito, Masumi; Mimuro, Maya; Yoshida, Mari (14 de julho de 2017). «An autopsied case of corticobasal degeneration presenting with frontotemporal dementia followed by myoclonus». Neuropathology (6): 569–574. ISSN 0919-6544. doi:10.1111/neup.12398
- ↑ Gottlieb, D; Robb, K; Day, B (outubro de 1992). «Mirror movements in the alien hand syndrome». American Journal of Physical Medicine & Rehabilitation (5): 297–300. ISSN 0894-9115. doi:10.1097/00002060-199210000-00009
- ↑ Cox, Benjamin C.; Cincotta, Massimo; Espay, Alberto J. (16 de abril de 2012). «Mirror Movements in Movement Disorders: A Review». Tremor and Other Hyperkinetic Movements (0). 02 páginas. ISSN 2160-8288. doi:10.5334/tohm.113. Consultado em 8 de maio de 2023
- ↑ Vanek, Zeba; Jankovic, Joseph (março de 2001). «Dystonia in corticobasal degeneration». Movement Disorders (em inglês) (2): 252–257. ISSN 0885-3185. doi:10.1002/mds.1038. Consultado em 8 de maio de 2023
- ↑ Armstrong, M. J.; Litvan, I.; Lang, A. E.; Bak, T. H.; Bhatia, K. P.; Borroni, B.; Boxer, A. L.; Dickson, D. W.; Grossman, M. (29 de janeiro de 2013). «Criteria for the diagnosis of corticobasal degeneration». Neurology (em inglês) (5): 496–503. ISSN 0028-3878. doi:10.1212/WNL.0b013e31827f0fd1. Consultado em 8 de maio de 2023
- ↑ Kompoliti, K.; Goetz, C. G.; Boeve, B. F.; Maraganore, D. M.; Ahlskog, J. E.; Marsden, C. D.; Bhatia, K. P.; Greene, P. E.; Przedborski, S. (1 de julho de 1998). «Clinical Presentation and Pharmacological Therapy in Corticobasal Degeneration». Archives of Neurology (7). 957 páginas. ISSN 0003-9942. doi:10.1001/archneur.55.7.957. Consultado em 8 de maio de 2023
- ↑ Lu, Jian-Qiang; Fong, Crystal; Attar, Ahmed (janeiro de 2020). «Levodopa-responsive parkinsonism in a patient with corticobasal degeneration and bilateral choroid plexus xanthogranulomas». Journal of Clinical Neuroscience (em inglês): 286–289. doi:10.1016/j.jocn.2019.09.007. Consultado em 8 de maio de 2023
- ↑ Grimes, D. A.; Lang, A. E.; Bergeron, C. B. (1 de dezembro de 1999). «Dementia as the most common presentation of cortical-basal ganglionic degeneration». Neurology (9): 1969–1969. ISSN 0028-3878. doi:10.1212/wnl.53.9.1969. Consultado em 8 de maio de 2023
- ↑ a b Frattali, C.; Duffy, J. R.; Litvan, I.; Patsalides, A. D.; Grafman, J. (janeiro de 2003). «Yes/no reversals as neurobehavioral sequela: a disorder of language, praxis, or inhibitory control?». European Journal of Neurology (1): 103–106. ISSN 1351-5101. doi:10.1046/j.1468-1331.2003.00545.x. Consultado em 8 de maio de 2023
- ↑ a b Jellinger, K A (14 de novembro de 2001). «Corticobasal Degeneration and Related Disorders. Irene Litvan, Christopher G. Goetz and Anthony E. Lang, eds. Advances in Neurology Volume 82. Lippincott, Williams & Wilkins, Philadelphia 2000. 255 pp., ISDN 0-7817-2324.5.». European Journal of Neurology (6): 734–734. ISSN 1351-5101. doi:10.1046/j.1468-1331.2001.0311b.x. Consultado em 9 de maio de 2023
- ↑ Caselli, Richard J. (agosto de 1996). «Asymmetric cortical degeneration syndromes». Current Opinion in Neurology (4): 276–280. ISSN 1350-7540. doi:10.1097/00019052-199608000-00006. Consultado em 9 de maio de 2023
- ↑ Wenning, G K; Litvan, I; Jankovic, J; Granata, R; Mangone, C A; McKee, A; Poewe, W; Jellinger, K; Chaudhuri, K R. (1 de fevereiro de 1998). «Natural history and survival of 14 patients with corticobasal degeneration confirmed at postmortem examination». Journal of Neurology, Neurosurgery & Psychiatry (2): 184–189. ISSN 0022-3050. doi:10.1136/jnnp.64.2.184. Consultado em 9 de maio de 2023
- ↑ Litvan, I.; Cummings, J. L; Mega, M. (1 de novembro de 1998). «Neuropsychiatric features of corticobasal degeneration». Journal of Neurology, Neurosurgery & Psychiatry (5): 717–721. ISSN 0022-3050. doi:10.1136/jnnp.65.5.717. Consultado em 9 de maio de 2023
- ↑ McKeith, I.G.; Galasko, D.; Kosaka, K.; Perry, E.K.; Dickson, D.W.; Hansen, L.A.; Salmon, D.P.; Lowe, J.; Mirra, S.S. (novembro de 1996). «Consensus guidelines for the clinical and pathologic diagnosis of dementia with Lewy bodies (DLB)». Neurology (5): 1113–1124. ISSN 0028-3878. doi:10.1212/wnl.47.5.1113. Consultado em 9 de maio de 2023
- ↑ Boeve, B.F.; Maraganore, D.M.; Parisi, J.E.; Ahlskog, J.E.; Graff-Radford, N.; Caselli, R.J.; Dickson, D.W.; Kokmen, E.; Petersen, R.C. (1 de setembro de 1999). «Pathologic heterogeneity in clinically diagnosed corticobasal degeneration». Neurology (4): 795–795. ISSN 0028-3878. doi:10.1212/wnl.53.4.795. Consultado em 9 de maio de 2023
- ↑ Sepe-Monti, M.; Giubilei, F.; Marchione, F.; Colosimo, C. (1 de outubro de 2003). «Apraxia of eyelid opening in a case of atypical corticobasal degeneration». Journal of Neural Transmission (10): 1145–1148. ISSN 0300-9564. doi:10.1007/s00702-003-0032-8. Consultado em 9 de maio de 2023
- ↑ Rinne, J. O.; Lee, M. S.; Thompson, P. D.; Marsden, C. D. (1994). «Corticobasal degeneration: A clinical study of 36 cases». Brain (em inglês) (5): 1183–1196. ISSN 0006-8950. doi:10.1093/brain/117.5.1183. Consultado em 9 de maio de 2023
- ↑ Boeve, Bradley F.; Lang, Anthony E.; Litvan, Irene (2003). «Corticobasal degeneration and its relationship to progressive supranuclear palsy and frontotemporal dementia». Annals of Neurology (S5): S15–S19. ISSN 0364-5134. doi:10.1002/ana.10570. Consultado em 9 de maio de 2023
- ↑ a b Lang, Anthony E.; Bergeron, Catherine; Pollanen, Michael S.; Ashby, Peter (agosto de 1994). «Parietal Pick's disease mimicking cortical‐basal ganglionic degeneration». Neurology (8): 1436–1436. ISSN 0028-3878. doi:10.1212/wnl.44.8.1436. Consultado em 9 de maio de 2023
- ↑ Fernandez, Yeva M.; Frucht, Steven J. (14 de novembro de 2017). «Primary progressive apraxia: an unusual ideomotor syndrome». Journal of Clinical Movement Disorders (1). ISSN 2054-7072. doi:10.1186/s40734-017-0064-0. Consultado em 9 de maio de 2023
- ↑ Lang, Anthony E.; Maraganore, Demetrius; Marsden, C. David; Tanner, Caroline; Watts, Ray L.; Brewer, Randall P. (maio de 1996). «Movement disorder society symposium on cortical-asal ganglionic degeneration (CBGD) and its relationship to other asymmetrical cortical degeneration syndromes (ACDs) washington, D. C. October 25-26, 1995». Movement Disorders (3): 346–357. ISSN 0885-3185. doi:10.1002/mds.870110328. Consultado em 9 de maio de 2023
- ↑ Schneider, J. A.; Watts, R. L.; Gearing, M.; Brewer, R. P.; Mirra, S. S. (1 de abril de 1997). «Corticobasal degeneration: Neuropathologic and clinical heterogeneity». Neurology (4): 959–968. ISSN 0028-3878. doi:10.1212/wnl.48.4.959. Consultado em 9 de maio de 2023
- ↑ Neary, D.; Snowden, J. S.; Gustafson, L.; Passant, U.; Stuss, D.; Black, S.; Freedman, M.; Kertesz, A.; Robert, P. H. (1 de dezembro de 1998). «Frontotemporal lobar degeneration: A consensus on clinical diagnostic criteria». Neurology (6): 1546–1554. ISSN 0028-3878. doi:10.1212/wnl.51.6.1546. Consultado em 9 de maio de 2023
- ↑ Dickson, D. W.; Bergeron, C.; Chin, S. S.; Duyckaerts, C.; Horoupian, D.; Ikeda, K.; Jellinger, K.; Lantos, P. L.; Lippa, C. F. (novembro de 2002). «Office of Rare Diseases Neuropathologic Criteria for Corticobasal Degeneration». Journal of Neuropathology & Experimental Neurology (11): 935–946. ISSN 0022-3069. doi:10.1093/jnen/61.11.935. Consultado em 9 de maio de 2023
- ↑ Fernandez, Yeva M.; Frucht, Steven J. (14 de novembro de 2017). «Primary progressive apraxia: an unusual ideomotor syndrome». Journal of Clinical Movement Disorders (1). ISSN 2054-7072. doi:10.1186/s40734-017-0064-0. Consultado em 11 de maio de 2023
- ↑ a b Lang, Anthony E.; Bergeron, Catherine; Pollanen, Michael S.; Ashby, Peter (agosto de 1994). «Parietal Pick's disease mimicking cortical‐basal ganglionic degeneration». Neurology (8): 1436–1436. ISSN 0028-3878. doi:10.1212/wnl.44.8.1436. Consultado em 11 de maio de 2023
- ↑ a b Boeve, Bradley F.; Lang, Anthony E.; Litvan, Irene (2003). «Corticobasal degeneration and its relationship to progressive supranuclear palsy and frontotemporal dementia». Annals of Neurology (S5): S15–S19. ISSN 0364-5134. doi:10.1002/ana.10570. Consultado em 11 de maio de 2023
- ↑ Pillon, B.; Blin, J.; Vidailhet, M.; Deweer, B.; Sirigu, A.; Dubois, B.; Agid, Y. (1 de agosto de 1995). «The neuropsychological pattern of corticobasal degeneration: Comparison with progressive supranuclear palsy and Alzheimer's disease». Neurology (8): 1477–1483. ISSN 0028-3878. doi:10.1212/wnl.45.8.1477. Consultado em 11 de maio de 2023
- ↑ Massman, P. J.; Kreiter, K. T.; Jankovic, J.; Doody, R. S. (1 de março de 1996). «Neuropsychological functioning in cortical-basal ganglionic degeneration: Differentiation from Alzheimer's disease». Neurology (3): 720–726. ISSN 0028-3878. doi:10.1212/wnl.46.3.720. Consultado em 11 de maio de 2023
- ↑ Boeve, B.; Parisi, J.; Maraganore, D.; Ahlskog, J.; Caselli, R.; Graff-Radford, N.; Petersen, R.; Kokmen, E. (setembro de 1997). «2-30-01 Clinicopathologic heterogeneity in clinically- and/or pathologically-diagnosed cortical-basal ganglionic degeneration». Journal of the Neurological Sciences: S109–S110. ISSN 0022-510X. doi:10.1016/s0022-510x(97)85380-4. Consultado em 11 de maio de 2023
- ↑ Boeve, B.F.; Maraganore, D.M.; Parisi, J.E.; Ahlskog, J.E.; Graff-Radford, N.; Caselli, R.J.; Dickson, D.W.; Kokmen, E.; Petersen, R.C. (1 de setembro de 1999). «Pathologic heterogeneity in clinically diagnosed corticobasal degeneration». Neurology (4): 795–795. ISSN 0028-3878. doi:10.1212/wnl.53.4.795. Consultado em 11 de maio de 2023
- ↑ Boeve, B.F.; Maraganore, D.M.; Parisi, J.E.; Ivnik, R.J.; Westmoreland, B.F.; Dickson, D.W.; Hutton, M.; Hardy, J.; Caselli, R.J. (2002). «Corticobasal Degeneration and Frontotemporal Dementia Presentations in a Kindred with Nonspecific Histopathology». Dementia and Geriatric Cognitive Disorders (2): 80–90. ISSN 1420-8008. doi:10.1159/000048638. Consultado em 11 de maio de 2023
- ↑ Thompson, P. D.; Day, B. L.; Rothwell, J. C.; Brown, P.; Britton, T. C.; Marsden, C. D. (1994). «The myoclonus in corticobasal degeneration». Brain (5): 1197–1207. ISSN 0006-8950. doi:10.1093/brain/117.5.1197. Consultado em 11 de maio de 2023
- ↑ Strafella, A.; Ashby, P.; Lang, A. E. (maio de 1997). «Reflex myoclonus in cortical-basal ganglionic degeneration involves a transcortical pathway». Movement Disorders (3): 360–369. ISSN 0885-3185. doi:10.1002/mds.870120315. Consultado em 11 de maio de 2023
- ↑ a b Hauser, Robert A.; Murtaugh, F. Reed; Akhter, Kauser; Gold, Michael; Olanow, C. W. (outubro de 1996). «Magnetic Resonance Imaging of Corticobasal Degeneration». Journal of Neuroimaging (4): 222–226. ISSN 1051-2284. doi:10.1111/jon199664222. Consultado em 12 de maio de 2023
- ↑ Ballan, Guillaume; Tison, Francois (novembro de 1997). «A historical case of probable corticobasal degeneration?». Movement Disorders (6): 1073–1074. ISSN 0885-3185. doi:10.1002/mds.870120639. Consultado em 12 de maio de 2023
- ↑ Frasson, E.; Moretto, G.; Beltramello, A.; Smania, N.; Pampanin, M.; Stegagno, C.; Tanel, R.; Rizzuto, N. (outubro de 1998). «Neuropsychological and neuroimaging correlates in corticobasal degeneration». The Italian Journal of Neurological Sciences (5): 321–328. ISSN 0392-0461. doi:10.1007/bf00713860. Consultado em 12 de maio de 2023
- ↑ Soliveri, P.; Monza, D.; Paridi, D.; Radice, D.; Grisoli, M.; Testa, D.; Savoiardo, M.; Girotti, F. (1 de agosto de 1999). «Cognitive and magnetic resonance imaging aspects of corticobasal degeneration and progressive supranuclear palsy». Neurology (3): 502–502. ISSN 0028-3878. doi:10.1212/wnl.53.3.502. Consultado em 12 de maio de 2023
- ↑ Schrag, A.; Good, C. D.; Miszkiel, K.; Morris, H. R.; Mathias, C. J.; Lees, A. J.; Quinn, N. P. (8 de fevereiro de 2000). «Differentiation of atypical parkinsonian syndromes with routine MRI». Neurology (3): 697–697. ISSN 0028-3878. doi:10.1212/wnl.54.3.697. Consultado em 12 de maio de 2023
- ↑ Savoiardo, Mario; Grisoli, Marina (2005). «Role of CT and MRI in Diagnosis and Research». Totowa, NJ: Humana Press: 431–450. ISBN 978-1-58829-331-2. Consultado em 12 de maio de 2023
- ↑ Lang, Anthony E.; Bergeron, Catherine; Pollanen, Michael S.; Ashby, Peter (agosto de 1994). «Parietal Pick's disease mimicking cortical‐basal ganglionic degeneration». Neurology (8): 1436–1436. ISSN 0028-3878. doi:10.1212/wnl.44.8.1436. Consultado em 12 de maio de 2023
- ↑ Yamauchi, Hiroshi; Fukuyama, Hidenao; Nagahama, Yasuhiro; Katsumi, Yukinori; Dong, Yun; Hayashi, Takuya; Konishi, Junji; Kimura, Jun (1 de maio de 1998). «Atrophy of the Corpus Callosum, Cortical Hypometabolism, and Cognitive Impairment in Corticobasal Degeneration». Archives of Neurology (5). 609 páginas. ISSN 0003-9942. doi:10.1001/archneur.55.5.609. Consultado em 12 de maio de 2023
- ↑ Macia, F. (1 de junho de 2001). «T2-Hyperintense Lateral Rim and Hypointense Putamen Are Typical but Not Exclusive of Multiple System Atrophy». Archives of Neurology (6): 1024–a-1026. ISSN 0003-9942. doi:10.1001/archneur.58.6.1024-a. Consultado em 12 de maio de 2023
- ↑ Winkelmann, Juliane; Auer, Dorothee P.; Lechner, Christian; Elbel, Gregor; Trenkwalder, Claudia (julho de 1999). <669::aid-mds1018>3.0.co;2-y «Magnetic resonance imaging findings in corticobasal degeneration». Movement Disorders (4): 669–673. ISSN 0885-3185. doi:10.1002/1531-8257(199907)14:4<669::aid-mds1018>3.0.co;2-y. Consultado em 12 de maio de 2023
- ↑ a b Dickson, D. W.; Bergeron, C.; Chin, S. S.; Duyckaerts, C.; Horoupian, D.; Ikeda, K.; Jellinger, K.; Lantos, P. L.; Lippa, C. F. (novembro de 2002). «Office of Rare Diseases Neuropathologic Criteria for Corticobasal Degeneration». Journal of Neuropathology & Experimental Neurology (11): 935–946. ISSN 0022-3069. doi:10.1093/jnen/61.11.935. Consultado em 12 de maio de 2023
- ↑ Dickson, D. W.; Bergeron, C.; Chin, S. S.; Duyckaerts, C.; Horoupian, D.; Ikeda, K.; Jellinger, K.; Lantos, P. L.; Lippa, C. F. (novembro de 2002). «Office of Rare Diseases Neuropathologic Criteria for Corticobasal Degeneration». Journal of Neuropathology & Experimental Neurology (11): 935–946. ISSN 0022-3069. doi:10.1093/jnen/61.11.935. Consultado em 11 de maio de 2023
- ↑ Armstrong, M. J.; Litvan, I.; Lang, A. E.; Bak, T. H.; Bhatia, K. P.; Borroni, B.; Boxer, A. L.; Dickson, D. W.; Grossman, M. (29 de janeiro de 2013). «Criteria for the diagnosis of corticobasal degeneration». Neurology (em inglês) (5): 496–503. ISSN 0028-3878. doi:10.1212/WNL.0b013e31827f0fd1. Consultado em 12 de maio de 2023
- ↑ Caselli R, Stelmach G, Caviness J, Timmann D, Royer T, Boeve B, et al. A kinematic study of progressive apraxia with and without dementia. Mov Disord 1999;14:276–287.
- ↑ a b c Boeve, B.F.; Maraganore, D.M.; Parisi, J.E.; Ahlskog, J.E.; Graff-Radford, N.; Caselli, R.J.; Dickson, D.W.; Kokmen, E.; Petersen, R.C. (1 de setembro de 1999). «Pathologic heterogeneity in clinically diagnosed corticobasal degeneration». Neurology (4): 795–795. ISSN 0028-3878. doi:10.1212/wnl.53.4.795. Consultado em 12 de maio de 2023
- ↑ Brun, A. (1994). «Vascular Dementia: Pathological Findings». Boston, MA: Springer US: 653–663. ISBN 978-1-4615-6807-0. Consultado em 12 de maio de 2023
- ↑ Tang-Wai, D.F.; Josephs, K.A.; Boeve, B.F.; Dickson, D.W.; Parisi, J.E.; Petersen, R.C. (27 de outubro de 2003). «Pathologically confirmed corticobasal degeneration presenting with visuospatial dysfunction». Neurology (8): 1134–1135. ISSN 0028-3878. doi:10.1212/01.wnl.0000086814.35352.b3. Consultado em 12 de maio de 2023
- ↑ Boeve, B.; Parisi, J.; Maraganore, D.; Ahlskog, J.; Caselli, R.; Graff-Radford, N.; Petersen, R.; Kokmen, E. (setembro de 1997). «2-30-01 Clinicopathologic heterogeneity in clinically- and/or pathologically-diagnosed cortical-basal ganglionic degeneration». Journal of the Neurological Sciences: S109–S110. ISSN 0022-510X. doi:10.1016/s0022-510x(97)85380-4. Consultado em 12 de maio de 2023
- ↑ Grimes, D. A.; Lang, A. E.; Bergeron, C. B. (1 de dezembro de 1999). «Dementia as the most common presentation of cortical-basal ganglionic degeneration». Neurology (9): 1969–1969. ISSN 0028-3878. doi:10.1212/wnl.53.9.1969. Consultado em 12 de maio de 2023
- ↑ Lang, Anthony E. (2005). «Treatment of progressive supranuclear palsy and corticobasal degeneration». Movement Disorders (S12): S83–S91. ISSN 0885-3185. doi:10.1002/mds.20545. Consultado em 12 de maio de 2023
- ↑ Lang, A E (1 de novembro de 1992). «Cortical basal ganglionic degeneration presenting with "progressive loss of speech output and orofacial dyspraxia".». Journal of Neurology, Neurosurgery & Psychiatry (11): 1101–1101. ISSN 0022-3050. doi:10.1136/jnnp.55.11.1101. Consultado em 12 de maio de 2023
- ↑ Rey, G. J.; Tomer, R.; Levin, B. E.; Sanchez-Ramos, J.; Bowen, B.; Bruce, J. H. (janeiro de 1995). «Psychiatric symptoms, atypical dementia, and left visual field inattention in corticobasal ganglionic degeneration». Movement Disorders (1): 106–110. ISSN 0885-3185. doi:10.1002/mds.870100117. Consultado em 12 de maio de 2023
- ↑ Horoupian, D. S.; Wasserstein, Philip H. (5 de setembro de 1999). «Alzheimer's disease pathology in motor cortex in dementia with Lewy bodies clinically mimicking corticobasal degeneration». Acta Neuropathologica (3): 317–322. ISSN 0001-6322. doi:10.1007/s004010051087. Consultado em 12 de maio de 2023
- ↑ Grimes, David A.; Bergeron, Catherine B.; Lang, Anthony E. (julho de 1999). <674::aid-mds1019>3.0.co;2-x «Motor neuron disease-inclusion dementia presenting as cortical-basal ganglionic degeneration». Movement Disorders (4): 674–680. ISSN 0885-3185. doi:10.1002/1531-8257(199907)14:4<674::aid-mds1019>3.0.co;2-x. Consultado em 12 de maio de 2023
- ↑ Josephs, Keith A.; Holton, Janice L.; Rossor, Martin N.; Braendgaard, Hans; Ozawa, Tetsutaro; Fox, Nick C.; Petersen, Ronald C.; Pearl, Gary S.; Ganguly, Milan (1 de outubro de 2003). «Neurofilament inclusion body disease: a new proteinopathy?». Brain (10): 2291–2303. ISSN 1460-2156. doi:10.1093/brain/awg231. Consultado em 12 de maio de 2023
- ↑ Kertesz, A.; Martinez-Lage, P.; Davidson, W.; Munoz, D. G. (14 de novembro de 2000). «The corticobasal degeneration syndrome overlaps progressive aphasia and frontotemporal dementia». Neurology (9): 1368–1375. ISSN 0028-3878. doi:10.1212/wnl.55.9.1368. Consultado em 12 de maio de 2023
- ↑ Kertesz, Andrew; Davidson, Wilda; Munoz, David G. (1999). «Clinical and Pathological Overlap between Frontotemporal Dementia, Primary Progressive Aphasia and Corticobasal Degeneration: The Pick Complex». Dementia and Geriatric Cognitive Disorders (Suppl. 1): 46–49. ISSN 1420-8008. doi:10.1159/000051212. Consultado em 12 de maio de 2023
- ↑ a b Caselli, Richard J. (agosto de 1996). «Asymmetric cortical degeneration syndromes». Current Opinion in Neurology (4): 276–280. ISSN 1350-7540. doi:10.1097/00019052-199608000-00006. Consultado em 12 de maio de 2023
- ↑ Litvan I, Agid Y, Goetz C, et al. Accuracy of the clinical diagnosis of corticobasal degeneration: a clinicopathological study. Neurology 1997;48:119–125
- ↑ Houlden, H.; Baker, M.; Morris, H.R.; MacDonald, N.; Pickering-Brown, S.; Adamson, J.; Lees, A.J.; Rossor, M.N.; Quinn, N.P. (26 de junho de 2001). «Corticobasal degeneration and progressive supranuclear palsy share a common tau haplotype». Neurology (12): 1702–1706. ISSN 0028-3878. doi:10.1212/wnl.56.12.1702. Consultado em 9 de maio de 2023
- ↑ Urakami, Katsuya; Mori, Masatada; Wada, Kenji; Kowa, Hisanori; Takeshima, Takao; Arai, Hiroyuki; Sasaki, Hidetada; Kanai, Mitsuyasu; Shoji, Mikio (janeiro de 1999). «A comparison of tau protein in cerebrospinal fluid between corticobasal degeneration and progressive supranuclear palsy». Neuroscience Letters (2): 127–129. ISSN 0304-3940. doi:10.1016/s0304-3940(98)00923-9. Consultado em 17 de maio de 2023
- ↑ Urakami, Katsuya; Mori, Masatada; Wada, Kenji; Kowa, Hisanori; Takeshima, Takao; Arai, Hiroyuki; Sasaki, Hidetada; Kanai, Mitsuyasu; Shoji, Mikio (janeiro de 1999). «A comparison of tau protein in cerebrospinal fluid between corticobasal degeneration and progressive supranuclear palsy». Neuroscience Letters (2): 127–129. ISSN 0304-3940. doi:10.1016/s0304-3940(98)00923-9. Consultado em 9 de maio de 2023
- ↑ Dickson, D. W.; Bergeron, C.; Chin, S. S.; Duyckaerts, C.; Horoupian, D.; Ikeda, K.; Jellinger, K.; Lantos, P. L.; Lippa, C. F. (novembro de 2002). «Office of Rare Diseases Neuropathologic Criteria for Corticobasal Degeneration». Journal of Neuropathology & Experimental Neurology (11): 935–946. ISSN 0022-3069. doi:10.1093/jnen/61.11.935. Consultado em 17 de maio de 2023
- ↑ Reed, L (janeiro de 2001). «Phenotypic correlations in FTDP-17». Neurobiology of Aging (1): 89–107. ISSN 0197-4580. doi:10.1016/s0197-4580(00)00202-5. Consultado em 17 de maio de 2023
- ↑ Lewis, Jada; McGowan, Eileen; Rockwood, Julia; Melrose, Heather; Nacharaju, Parimala; Van Slegtenhorst, Marjon; Gwinn-Hardy, Katrina; Murphy, M. P; Baker, Matt (agosto de 2000). «Neurofibrillary tangles, amyotrophy and progressive motor disturbance in mice expressing mutant (P301L) tau protein». Nature Genetics (4): 402–405. ISSN 1061-4036. doi:10.1038/78078. Consultado em 17 de maio de 2023
- ↑ Mosimann, Urs Peter; Boeve, Bradley F. (outubro de 2013). «Sleep disorders». Oxford Medicine Online. doi:10.1093/med/9780199644957.003.0051. Consultado em 17 de maio de 2023
- ↑ Boeve, Bradley F.; Silber, Michael H.; Ferman, Tanis J.; Lucas, John A.; Parisi, Joseph E. (2001). «Association of REM sleep behavior disorder and neurodegenerative disease may reflect an underlying synucleinopathy». Movement Disorders (4): 622–630. ISSN 0885-3185. doi:10.1002/mds.1120. Consultado em 17 de maio de 2023
- ↑ Bugiani, Orso; Murrell, Jill R.; Giaccone, Giorgio; Hasegawa, Masato; Ghigo, Giuseppe; Tabaton, Massimo; Morbin, Michela; Primavera, Alberto; Carella, Francesco (junho de 1999). «Frontotemporal Dementia and Corticobasal Degeneration in a Family with a P301S Mutation in Tau». Journal of Neuropathology and Experimental Neurology (6): 667–677. ISSN 0022-3069. doi:10.1097/00005072-199906000-00011. Consultado em 17 de maio de 2023
- ↑ Fujioka, Shinsuke; Boeve, Bradley F.; Parisi, Joseph E.; Tacik, Pawel; Aoki, Naoya; Strongosky, Audrey J.; Baker, Matt; Sanchez-Contreras, Monica; Ross, Owen A. (novembro de 2014). «A familial form of parkinsonism, dementia, and motor neuron disease: A longitudinal study». Parkinsonism & Related Disorders (11): 1129–1134. ISSN 1353-8020. doi:10.1016/j.parkreldis.2014.07.014. Consultado em 17 de maio de 2023