Demência frontotemporal
| Demência frontotemporal | |
|---|---|
![]() | |
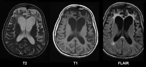
| Ressonância magnética sem contraste de uma mulher com atrofia frontal e parietal esquerda. | |
| Especialidade | Neurologia, psiquiatria |
| Frequência | 0.022% |
| Classificação e recursos externos | |
| CID-11 | 6D83 |
| CID-10 | G31.0 |
| CID-9 | 331.19 |
| OMIM | 600274 105550 614260 |
| DiseasesDB | 10034 |
| MeSH | D003704 |
Demência frontotemporal (DFT) é um termo médico para se referir ao conjunto de doenças caracterizadas pela perda progressiva de neurónios (atrofia), envolvendo principalmente os lobos frontal ou temporal. Sinais e sintomas comuns incluem perdas de habilidade social, de cuidado pessoal, de expressão da linguagem e transtornos dos movimentos (parkinsonismo).[1] Atualmente, não há cura para a demência frontotemporal, mas existem tratamentos que reduzem os sintomas. Os primeiros sintomas tipicamente aparecem entre os 45 e os 65 anos, afetando igualmente homens e mulheres.[2]
Foi descrita pela primeira vez por Arnold Pick em 1892 e por isso foi originalmente chamado de doença de Pick. Esse termo agora é reservado para apenas um dos seis tipos de apresentação da demência frontotemporal. Pode ser causado por mutações genéticas no cromossoma 17 que predispõe a neurodegeneração pela proteína tau ou outras proteínas (amiloides).
Tipos
Os tipos de demência frontotemporal (DFT) são[3]:
- DFT comportamental
- DFT amiotrófica
- Afasia progressiva primária semântica
- Afasia progressiva primária agramática
- Síndrome corticobasal
- Paralisia supranuclear progressiva
Uma de suas variantes mais comuns, a degeneração lobar frontotemporal é caracterizada pela perda de 70% dos neurónios fusiformes, enquanto os restantes tipos de neurónios se mantêm intactos.[4]
Sinais e sintomas
Os sinais e sintomas ocorrem ao longo dos anos e são classificados em três grupos:
- Perda progressivas das habilidades sociais e pessoais
- Perda progressiva das habilidades de expressão da linguagem (fala, leitura, escrita e compreensão)
- Perda progressiva das habilidades motoras
Os sintomas progressam gradualmente ao longo dos anos, até incapacitar a vítima. Pode ser devastador para as famílias, porque entre os quarenta e sessenta frequentemente é a fase com maiores rendimentos de um profissional. Após 2 a 20 anos a vítima passa a precisar de atenção 24h por dia.
Diagnóstico
É principalmente clínico, pelo psiquiatra, neurólogo ou geriatra. Uma ressonância do cérebro pode confirmar uma atrofia frontal ou parietal maior que a esperada para a idade. O lobo frontal é associado com planejamento, personalidade e raciocínio enquanto o temporal é associado com linguagem e associação de emoções. É frequentemente confundida com uma depressão nervosa, com mal de Alzheimer ou mal de Parkinson. [5]
Tratamento
Frequentemente incluem acompanhamento psiquiátrico e psicológico. Antidepressivos ISRS e estabilizantes de humor podem reduzir os sintomas emocionais. Infelizmente não respondem bem aos tratamentos usados no Alzheimer (colinérgicos) e Parkinson (dopaminérgicos). Internar em uma residência geriátrica ou psiquiátrica pode ser recomendado, em pacientes mais rebeldes e violentos, que precisam de supervisão constante.[6]
Referências
- ↑ https://www.mayoclinic.org/diseases-conditions/frontotemporal-dementia/symptoms-causes/syc-20354737
- ↑ Snowden JS, Neary D, Mann DM (February 2002). "Frontotemporal dementia". Br J Psychiatry. 180 (2): 140–3. doi:10.1192/bjp.180.2.140. PMID 11823324.
- ↑ Finger, EC (April 2016). "Frontotemporal Dementias". Continuum (Minneapolis, Minn.). 22 (2 Dementia): 464–89. doi:10.1212/CON.0000000000000300. PMC 5390934. PMID 27042904.
- ↑ «Brain Cells for Socializing». Smithsonian. Consultado em 30 de outubro de 2015
- ↑ Schroeter ML, Raczka KK, Neumann J, von Cramon DY (2008). "Neural networks in frontotemporal dementia – A meta-analysis". Neurobiology of Aging. 29 (3): 418–426. doi:10.1016/j.neurobiolaging.2006.10.023. PMID 17140704.
- ↑ Kertesz A (June 2004). "Frontotemporal dementia/Pick's disease". Arch. Neurol. 61 (6): 969–71. doi:10.1001/archneur.61.6.969. PMID 15210543.
