Criptosporidíase
| Cryptosporidiosis | |
|---|---|
![]() | |
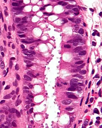
| Biópsia do cólon. Os cryptosporidium são os corpos pequenos, envolvidos, circulares, apicais, na superfície do epitélio (H&E). | |
| Especialidade | infecciologia |
| Classificação e recursos externos | |
| CID-11 | 1A32 |
| CID-10 | A07.2 |
| CID-9 | 007.4 |
| DiseasesDB | 3221 |
| MedlinePlus | 000617 |
| eMedicine | med/484 |
| MeSH | D003457 |
A criptosporidíase é uma doença causada principalmente pelos parasitas unicelulares das espécies Cryptosporidium parvum e C.hominis. Os oocistos, as formas de resistência do parasito, são ingeridos com comida ou água contaminada. Infectam o lúmen do intestino, onde têm fases de reprodução assexuada, e sexuada, com produção de milhares de oocistos que saem com as fezes. Existem em todo o mundo e afetam muitos animais além do homem.
Em pessoas imunocompetentes causam gastroenterite (responsável por 5% dos casos), com diarreia, dor abdominal, náuseas moderada ou até são assintomáticas. Em pessoas imunossuprimidas ou imunodeprimidas, como ocorrem em pessoas com SIDA/AIDS, causam doença crônica ou fulminante, semelhante à cólera com diarreia abundante potencialmente mortal. Nessas pessoas, pode ocorrer inclusive manifestações extraintestinais, especialmente no pulmão e fígado. Existem evidências que o fármaco nitazoxanida seja eficaz para eliminar o patógeno. Mas a sua eficácia foi comprovada apenas para crianças.
Causa
O parasito gregarino Cryptosporidium spp. causa uma diarreia auto-limitada em hospedeiros humanos imunocompetentes, mas pode ser grave em pessoas com AIDS ou outras formas de imunodeficiência. Duas espécies de Cryptosporidium, C. hominis e C. parvum, causam a maioria das infecções humanas.
A Criptosporidiose ou Criptosporidíase é adquirida pelo consumo de oocistos, que encistam para liberar esporozoítos que, por sua vez, penetram e infectam as células epiteliais intestinais. O desenvolvimento adicional do parasita envolve ciclos assexuados (merogonia), com a formação de duas gerações de merontes, capazes de infectar outras células epiteliais e, algumas merontes podem realizar ciclos sexuados (gametogonia), com a formação de macrogametas e microgametas. Esse processo é seguido da fecundação desses gametas e produção de dois tipos de oocistos: (1) oocisto de parede espessa, que é excretado para o meio externo junto com as fezes; (2) oocistos de parede delgada, que rompem-se no intestino delgado, provocando auto-infecções. Espécies de Cryptosporidium podem infectar peixes, aves, répteis e mamíferos, podendo ocorrer a transmissão zoonótica desses animais para os seres humanos.
Transmissão
A transmissão da Criptosporidíase pode ocorrer por auto-infecção ou hetero-infecção, sendo essa de pessoa-pessoa por contato direto, principalmente em ambientes com maior densidade populacional (creches e hospitais) e também relações sexuais; animal-pessoa; água contaminada com oocistos; alimentos contaminados com oocistos.
Sinais e sintomas
Infecções assintomáticas podem ocorrer em hospedeiros imunocompetentes e imunocomprometidos. Nos primeiros, os sintomas desenvolvem-se depois de um período de incubação aproximado de 1 semana e consistem principalmente em diarréia aquosa, não sanguinolenta, às vezes em conjunto com dor abdominal, náuseas, anorexia, febre e/ou perda de peso. Nesses hospedeiros, a doença em geral diminui após 1 ou 2 semanas, enquanto nos imunocomprometidos, especialmente aqueles com AIDS, a diarréia pode ser crônica, persistente e bastante profusa, gerando depleção hidreletrolítica clinicamente significativa. A perda ponderal, a emaciação e a dor abdominal podem ser graves. O acometimento do trato biliar tende a manifestar-se como dor no quadrante superior direito ou mesoepigástrio.
Diagnóstico
Como método de diagnóstico pode ser feito exames de fezes, utilizando os métodos de concentração (flutuação centrífuga, e solução saturada de sacarose, solução de Sheather ou sedimentação pelo formol-éter) ou métodos especiais de coloração (Ziehl-Neelsen modificado, Kinyoun modificado, Giemsa, entre outros). Pode-se também realizar técnicas sorológicas tais como a pesquisa de anticorpos circulantes (teste de anticorpos policlonais fluorescentes, reação de imunofluorescência indireta, ELISA, imunofluorescência com anticorpos monoclonais, hemaglutinação passiva reversa). O PCR também é utilizado.
Prevenção
Adoção de medidas que previnam ou evitem a contaminação do meio ambiente, água e alimentos com oocistos do parasito e contato de pessoas suscetíveis com fontes de infecção. Essas medidas incluem medidas de higiene pessoal, principalmente em locais com maior densidade populacional (creches e hospitais), tratamento de água e esgoto, limpeza dos alimentos.
Tratamento
O tratamento actual mais promissor da criptosporidiose é a Espiramicina (antibiótico da classe dos Macrólidos).
Bibliografia
Fauce, Anthony S.; Braunwald, Eugene; Kasper, Dennis L.; Hauser, Stephen L.; Longo, Dan L.; Jameson, J. Larry; Loscalzo, Joseph. Harrison, Tinsleu Randolph. Harrison Medicina Interna. 17ª Edição. São Paulo: McGraw-Hill, 2009. Parte VII Doenças Infecciosas; Seção 18 Infecções Por Protozoários p. 1313.
