Asfarviridae
Asfarviridae
| |||
|---|---|---|---|
| Classificação científica | |||
| |||
| Ordens e famílias | |||
| Asfarviridae | |||
Asfarviridae é uma família de vírus de fita dupla.[1] O Asfivirus é o único gênero da família. Os asfivírus infectam insetos e suínos.
Asfivírus
Os vírus do gênero Asfivirus infectam suínos, resultando no aparecimento da peste suína africana. O nome desta família e gênero são derivadas do acrônimo inglês: African swine fever and related viruses. Somente uma única espécie foi descrita até o momento para esse gênero. Este vírus é o único vírus de DNA conhecido transmitido por artrópodes. Está envolvido e possui um genoma de DNA de fita dupla. O vírus da peste suína africana apresenta algumas semelhanças na estrutura do genoma e estratégias de replicação com os poxvírus e phycodnavírus, mas possui uma estrutura virion diferente dos poxvírus e várias outras propriedades que o distinguem dos últimos.[2][3]
Taxonomia
O grupo do Asfarviridae é o dsDNA, a ordem não é atribuída e sua família é Asfarviridae.[2]
Virologia
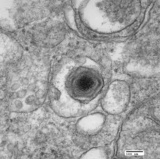
Os virions consistem em um envelope, um capsídeo, um núcleo e um complexo de nucleoproteínas. Eles são esféricos e medem 175-215 nm de diâmetro. O capsídeo é icosaédrico (T = 189-217) com um diâmetro de 172-191 nm e aparece hexagonal no contorno. Os capsômeros medem 13 nm de diâmetro com 1892-2172 destes por capsídeo.[2] O genoma é um DNA linear de fita dupla e entre 170 e 190 kilobases de comprimento. Seu conteúdo de guanina + citosina é de 39%.
| Gênero | Estrutura | Simetria | Capsídeo | Arranjo genômico | Segmentação genômica |
|---|---|---|---|---|---|
| Asfivírus | Pleomórfico esférico | T = 189-217 | Envolvido | Circular | Monopartite |
O vírus pode ser cultivado em cultura de células, mas os efeitos citopáticos podem estar ausentes. Os corpos de inclusão acidofílicos e intracitoplasmáticos podem ser visíveis em biópsias ou material post mortem. A replicação é citoplasmática e os virions amadurecem brotando da membrana plasmática.[4]
Os vírus desta família infectam porcos domésticos e seus parentes. Os hospedeiros naturais são javalis (Phacochoerus africanus), porcos do mato (Potamochoerus porcus) e carrapatos de argasídeos (espécies de Ornithodoros). Javalis jovens quando infectados desenvolvem uma viremia alta e são infecciosos por carrapatos. Javalis mais velhos são geralmente imunes à infecção. O vírus pode se replicar dentro dos carrapatos. Ocorre disseminação transestadial, transovariana e sexual dentro dos carrapatos.
Durante a infecção, os vírions se multiplicam em eritrócitos, células endoteliais e leucócitos e não nas células epiteliais. Durante a infecção, o vírus pode ser isolado do sangue, baço, linfonodos viscerais e amígdalas.
Várias espécies são conhecidas, nenhuma das quais é capaz de infectar seres humanos.
Ciclo da vida
A replicação viral é citoplasmática. A entrada na célula hospedeira é alcançada pela ligação das proteínas virais aos receptores hospedeiros, que mediam a endocitose. A replicação segue o modelo de deslocamento da fita de DNA. A transcrição modelo de DNA é o método de transcrição. O vírus sai da célula hospedeira por transporte viral microtubular para o exterior.[2] Porcos, javalis e porcos-vermelhos servem como hospedeiros naturais. O vírus é transmitido através de um vetor (artrópodes e carrapatos).
| Gênero | Detalhes do hospedeiro | Tropismo de tecidos | Detalhes da entrada | Detalhes da versão | Local de replicação | Local de montagem | Transmissão |
|---|---|---|---|---|---|---|---|
| Asfivírus | Porcos; javalis; porco-vermelho | Macrófagos; Monócitos | Endocitose de receptores celulares | Brotamento | Citoplasma | Citoplasma | Carrapatos |
Epidemiologia
Essa família estava originalmente confinada à África, mas desde então se espalhou pelo sul da Europa, ilhas do Caribe e China.[2][4]
Referências
- ↑ «ICTV Virus Taxonomy Profile: Asfarviridae.». The Journal of General Virology. 99: 613–614. PMID 29565243. doi:10.1099/jgv.0.001049
- ↑ a b c d e «ICTV Online (10th) Report»
- ↑ Index of Viruses—Asfarviridae (2006). In: ICTVdB—The Universal Virus Database, version 4. Büchen-Osmond, C (Ed), Columbia University, New York, USA. https://www.ncbi.nlm.nih.gov/ICTVdb/Ictv/fs_index.htm
- ↑ a b «Viral Zone». ExPASy
