Acidente vascular cerebral

Acidente vascular cerebral (AVC)
Uma fatia do cérebro de uma pessoa que foi vítima de um AVC da artéria cerebral média
Especialidadeneurologia, neurocirurgia
SintomasIncapacidade de mover ou sentir um dos lados do corpo, dificuldade em compreender ou em falar, vertigem, perda de visão de um dos lados[1][2]
ComplicaçõesEstado vegetativo persistente[3]
CausasIsquemia cerebral ou Hemorragia intracraniana[4]
Fatores de riscoHipertensão arterial, tabagismo, obesidade, colesterol elevado, diabetes mellitus, antecedentes de ataque isquémico transiente, fibrilação auricular[1][5]
Método de diagnósticoCom base nos sintomas e imagiologia médica[6]
Condições semelhantesHipoglicemia[6]
TratamentoCom base no tipo[1]
PrognósticoEsperança média de vida de um ano[1]
Frequência42,4 milhões (2015)[7]
Mortes6,3 milhões (2015)[8]
Classificação e recursos externos
CID-118B20
CID-10I61-I64
CID-9434.91
OMIM601367
DiseasesDB2247
MedlinePlus000726
eMedicineneuro/9 emerg/558 emerg/557 pmr/187
MeSHD020521
A Wikipédia não é um consultório médico. Leia o aviso médico 

Um acidente vascular cerebral (AVC) é definido quando há uma interrupção de fluxo sanguíneo para um região do cérebro que resulta em um déficit neurológico súbito. O AVC pode ser dividido em dois tipos de acordo com a causa: isquêmico, causado pela interrupção da irrigação sanguínea, e hemorrágico, causado por uma hemorragia.[4] Entre os sinais e sintomas de um AVC estão a incapacidade de mover ou de sentir um dos lados do corpo, dificuldades em compreender ou em falar, sensação de que os objetos em volta se movimentam ou perda de um dos lados da visão.[1][2] Na maior parte dos casos, os sinais e sintomas manifestam-se imediatamente após o AVC. Quando a duração dos sintomas é inferior a uma ou duas horas, o episódio denomina-se acidente isquémico transitório (AIT), ou mini-derrame.[2] Uma hemorragia subaracnóidea pode também estar associada a dores de cabeça intensas.[2] Os sintomas de um AVC podem ser permanentes.[4] Entre as complicações a longo prazo estão a pneumonia aspirativa, incontinência urinária e a demência vascular.[2]

O principal fator de risco de um AVC é a hipertensão arterial.[5] Entre outros fatores de risco estão fumar, a obesidade, colesterol elevado, diabetes, ter tido anteriormente um acidente isquémico transitório e fibrilação auricular.[1][5] Um AVC isquémico é geralmente causado pelo bloqueio de um vaso sanguíneo, embora existam outras causas menos comuns.[9][10][11] Um AVC hemorrágico é causado por um derrame, quer por uma hemorragia diretamente no cérebro quer por uma Hemorragia subaracnóidea no espaço entre as meninges.[9][12] Estas hemorragias podem ocorrer devido à rutura de um aneurisma cerebral.[9] O diagnóstico é geralmente feito com recurso a imagiologia médica, como uma TAC ou ressonância magnética, acompanhada por uma avaliação física da pessoa. Podem ser realizados outros exames, como análises ao sangue ou eletrocardiograma, para determinar fatores de risco e descartar outras possíveis causas. A hipoglicemia pode provocar sintomas semelhantes a um AVC.[6]

A prevenção consiste em diminuir os fatores de risco, assim como na possibilidade de ser administrada aspirina ou estatinas. Em pessoas com estenose da carótida pode ser considerada uma Endarteriectomia para alargar as artérias do cérebro. Em pessoas fibrilação auricular pode ser administrada varfarina.[1] Um AVC ou AIT geralmente necessita de assistência médica urgente.[4] Quando um AVC isquémico é detectado nas primeiras três horas e meia a quatro horas, é possível ser tratado com medicação trombolítica que dissolve os coágulos sanguíneos e com aspirina. Em alguns AVC hemorrágicos pode ser considerada neurocirurgia. Algumas das funções perdidas durante o AVC podem ser recuperadas com tratamentos de reabilitação e recuperação. No entanto, em muitas regiões do mundo estes tratamentos não estão disponíveis.[1]

Em 2013 cerca de 6,9 milhões de pessoas sofreram um AVC isquémico e 3,4 milhões um AVC hemorrágico.[13] Em 2010, encontravam-se vivas cerca de 33 milhões de pessoas que no passado tinham sofrido um AVC. Entre 1990 e 2010 o número de AVC ocorrido em cada ano diminuiu cerca de 10% nos países desenvolvidos e aumentou cerca de 10% nos países em vias de desenvolvimento.[14] Em 2013, os AVC foram a segunda principal causa de morte, a seguir à doença arterial coronária, tendo sido responsáveis por 6,4 milhões de mortes em todo o mundo, o que corresponde a 12% do total de mortes.[15] Cerca de 3,3 milhões de mortes foram causadas por AVC isquémico e 3,2 milhões por AVC hemorrágico.[15] Cerca de metade das pessoas que sofrem um AVC vivem menos de um ano.[1] Dois terços dos AVC ocorrem em pessoas com mais de 65 anos de idade.[14]

Classificação e fisiopatologia

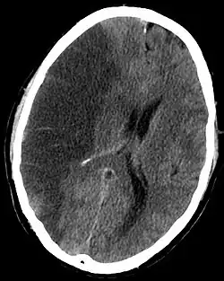
Tomografia mostrando uma área enegrecida compatível com AVC isquêmico

Os acidentes vasculares do cérebro podem ser basicamente decorrentes da obstrução de uma artéria que irriga o cérebro (ou seja, por isquemia) ou podem ser por vazamento de sangue de um vaso sanguíneo (ou seja, hemorrágico).

AVC isquêmico

É o tipo de AVC mais comum, presente em cerca de 80% dos casos. Ocorre pela falta de fluxo sanguíneo cerebral, levando ao sofrimento e enfarte do parênquima do sistema nervoso. Essa queda no fluxo sanguíneo pode ser decorrente de:

  • Uma obstrução arterial: um trombo ou, mais comummente, um êmbolo;
  • Queda na pressão de perfusão sanguínea, como nos estados de choque;
  • Uma obstrução na drenagem do sangue venoso, como na trombose venosa, causando dificuldade de entrada do sangue arterial no cérebro.

Nos primeiros momentos do AVC isquêmico não há morte de tecido cerebral, mas a falta de suprimento sanguíneo provoca a rápida degeneração do tecido cerebral, um tecido metabolicamente muito ativo e que demanda muito oxigénio e glicose para manter seus neurónios vivos. A área central do acidente vascular morre em pouco tempo, pois está praticamente sem nenhum fluxo de sangue. No entanto, existe uma região ao redor do infarto central que possui um fluxo de sangue reduzido, que se mantém viável por mais tempo. A essa área dá-se o nome de penumbra. É na penumbra, uma área parcialmente perfundida, mas ainda viável, que deve-se concentrar os esforços terapêuticos. É por isso também que o tempo do início do ataque vascular cerebral até a reversão da obstrução de sangue é importante na evolução do AVC isquêmico.

Acidente Isquêmico Transitório (AIT)

O AIT ou ataque isquêmico transitório é um episódio transitório de disfunção neurológica causado por isquemia focal no cérebro, na medula espinhal ou na retina, sem infarto agudo.[16] Nova definição substitui a antiga de comprometimento neurológico focal com duração inferior a 24 horas. A maioria dos AITs é revertida dentro da primeira hora e o diagnóstico por imagem permite reconhecer que alguns eventos com rápida resolução clínica estão associados com infarto cerebral permanente.[17][18]

Tomografia mostrando hemorragia intracerebral e intraventricular.

AVC hemorrágico

É o acidente vascular cerebral menos comum presente em cerca de 20% dos casos, mas não menos grave. Ocorre pela ruptura de um vaso sanguíneo intracraniano. O sangue em contato com o parênquima nervoso tem ação irritativa. Além disso, a inflamação e o efeito de massa ou pressão exercida pelo coágulo de sangue no tecido nervoso prejudica e degenera o cérebro e a função cerebral. Pode ser divido em dois tipos, O sangramento intraparenquimatoso ou a hemorragia subaracnóidea:

  • O sangramento intraparenquimatoso ocorre por ruptura dos aneurismas de Charcot-Bouchard, pequenas formações saculares das artérias cerebrais na transição da substância branca com o córtex cerebral que se formam pela hipertensão arterial descontrolada ou não tratada.
  • A hemorragia subaracnoide ocorre por sangramento de aneurismas cerebrais (defeito ou formações saculares das artérias) no espaço licórico ou subaracnóideo. Eles tem provavelmente origem congênita.

Diagnóstico

Sinais e sintomas

O diagnóstico do AVC é clínico, ou seja, é feito pela história e exame físico do paciente. Os principais sintomas são:[19][20]

  • Fraqueza ou dormência súbitas em um lado do corpo;
  • Dificuldade em movimentar os braços adequadamente;
  • Confusão, dificuldade para falar ou entender;
  • Dificuldade súbita para andar, tontura ou incoordenação de início súbito;
  • Dificuldade súbita para enxergar com um ou ambos os olhos;
  • Cefaléia intensa e súbita sem causa aparente;

Durante um exame pode-se pedir ao paciente que sorria, levante os dois braços e repita uma frase (como "trinta e três"). Diante desses sintomas, quanto mais rápido o socorro, menor a probabilidade de sequelas, este teste é designado Escala de Cincinnati. Outros sintomas menos específicos, como queda do estado geral e coma, também elevam o risco de AVC.

Exames diagnósticos

Os médicos recomendam que a hipótese seja confirmada por um exame de imagem, tomografia computadorizada e ressonância magnética, que permitem ao médico identificar a área do cérebro afetada e o tipo de AVC.[21]

A tomografia pode ser o exame inicial de escolha por sua disponibilidade e rapidez. Serve principalmente para diferenciar o AVC por entupimento/isquemia do hemorrágico, o que muda radicalmente a conduta médica. Uma tomografia normal dentro das primeiras 24 horas de um AVC isquêmico é algo esperado e confirma o diagnóstico, pois a maioria dos ataques isquêmicos não provoca lesões visíveis tão precoces nesse exame. Apenas lesões extensas ou mais antigas podem ser vistas na tomografia no AVC isquêmico ou, ainda, sinais indiretos de AVC como edema cerebral. Já o AVC hemorrágico costuma vir com imagem na tomografia indicando vazamento de sangue. Pode-se, ainda que menos comum, usar mão da retirada por punção lombar do líquor para o diagnóstico de AVC hemorrágico com tomografia normal.

Embora mais precisa que a tomografia, a ressonância magnética não costuma mudar a conduta médica e pode ainda atrasar o tratamento correto, o que pode ter impacto na recuperação do paciente. Contudo, é uma opção que pode ser útil em casos selecionados.

Tratamento de AVC isquêmico com trombolítico

Caso o paciente seja atendido em um hospital em até 4h 30 min, e não tenha risco de sangramentos ou histórico recente de cirurgias, o coágulo pode ser dissolvido com o uso de um medicamento trombolítico, como o alteplase. Aplicado o medicamento, é alto índice de sucesso da trombólise, reduzindo ou até eliminando as sequelas.[22]

Apesar do alto índice de sucesso, se a aplicação for feita após 4h e 30 min, a reconstituição do fluxo sanguíneo depois desse tempo pode piorar o quadro. O coágulo interrompe a irrigação não só de uma região do cérebro, mas também do segmento do vaso que está depois da obstrução. A partir do local da interrupção, esse vaso já começa a morrer, ficando mais frágil. Restabelecer o fluxo sanguíneo nesse momento pode romper a artéria, causando um AVC hemorrágico.[22][23]

Reabilitação e evolução

O processo de reabilitação pode ser longo, dependendo das características do próprio AVC, da região afetada, da rapidez de atuação para minimizar os riscos e do apoio que o doente tiver. O sistema nervoso central todo pode ser acometido por esta doença, o que inclui, além do cérebro, o tronco encefálico, o cerebelo e até a medula espinhal.

Assim o lobo frontal está mais ligado às decisões e movimentos; o lobo parietal com os movimentos do corpo, parte da fala e com a sensibilidade do pescoço até os pés; e o lobo occipital com a visão. Já o cerebelo está ligado com o equilíbrio e o tronco cerebral está ligado à respiração e aos movimentos e sensibilidade da cabeça. Claro que isto é uma explicação básica e deve-se ter em mente que todo sistema nervoso está interligado podendo uma lesão em uma mínima parte ter grandes repercussões no todo. A localização e as implicações da lesão podem ser difíceis de diagnosticar, devendo a pessoa acometida ser avaliada por um médico e equipe multidisciplinar, ou seja, com vários profissionais da saúde de diversas áreas.

No caso de um AIT ou acidente isquêmico transitório, não ocorre sequela. No entanto, a prevenção de outro AVC deve ser instituída devido ao alto risco de novo ataque dessas pessoas. No caso de um acidente encefálico associado a déficits motores, necessita-se de acompanhamento da equipe de fisioterapeutas, fonoaudiólogos e terapeutas ocupacionais para potencializar e fortalecer os músculos que ainda possuem a inervação funcionante para assim diminuir as deficiências que podem ter sido causadas; no caso de problemas na fala e/ou deglutição um fonoaudiólogo pode ser necessário.

Vale lembrar que o AVC é uma doença que merece muita atenção pela mudança que pode provocar na dinâmica da vida da vítima, da vida da sua família e das pessoas que dela cuidam. A vítima, antes totalmente funcional, pode se tornar totalmente dependente física e financeiramente de seus cuidadores. Pode, uma vez acamada, desencadear outras complicações, como escaras de decúbito, pneumonia e obstipação. Além disso, existe descrito o stress do cuidador - que, aliás, também deve ser abordado e ouvido no tratamento do paciente acamado, minimizando as sequelas familiares.

A melhor maneira de lidar com o AVC é preveni-lo controlando todos os fatores causais já citados, novamente mencionando que a principal é a hipertensão arterial sistêmica.

Tratamento psicológico

O AVC geralmente causa um impacto significativo na vida funcional, cognitiva e social do paciente, sendo comum que o paciente desenvolva transtornos psicológicos após o derrame. Entre 10 e 34% desenvolvem depressão maior, agravando ainda mais o prejuízo funcional, cognitivo e social do paciente. Quanto maior o prejuízo na qualidade de vida e dificuldade de adesão ao tratamento mais importante é o acompanhamento psicológico e psiquiátrico para a reabilitação da vítima do derrame.[24]

Tratamento dietoterápico

  • Mudanças nos hábitos alimentares durante a recuperação;
  • Regularizar os horários das refeições para que se possa aumentar o fracionamento;
  • É recomendado realizar refeições pequenas e frequentes, de 6 a 8 refeições por dia, sendo elas: café da manhã, lanche da manhã, almoço, lanche da tarde, jantar e ceia;
  • Comer devagar;
  • Selecionar uma grande variedade de alimentos;
  • Os alimentos devem ser bem cozidos e servidos em consistência pastosa na forma de papas, purês, cremes e mingaus;
  • Usar caldo de carne e molhos para umedecer carnes e legumes.
  • Evitar a ingestão de líquidos durante as refeições, a fim de evitar a sensação de plenitude gástrica;
  • Beber bastante líquido no intervalo das refeições, ao longo do dia;
  • Os líquidos devem ser espessados e sorvidos lentamente;
  • Espessar os líquidos com cereais infantis, batatas amassadas, flocos de batata, ou amido de milho;
  • Oferecer alimentos em temperatura baixa e nunca alimentos quentes para evitar náuseas;
  • Para aumentar o aporte calórico e evitar a perda de peso, acrescentar: óleos (ricos em gordura monoinsaturada), azeite, margarinas, queijos cremosos, molhos, açúcar, mel e farinhas às preparações;
  • Aumentar a ingestão de frutas, sendo que estas devem ter suas fibras abrandadas pelo calor ou devem ser servidas amassadas para facilitar a deglutição;
  • Dar preferência ao leite e derivados desnatados;
  • Evitar alimentos gordurosos, ingestão de alimentos fonte de gordura saturada e trans como carne vermelha, frituras e queijos amarelos;
  • Moderar o consumo de café, álcool, chá preto, chá mate, chocolate, refrigerante e alimentos condimentados;
  • Evitar esforçar-se após as refeições (20 a 30 minutos após a ingestão de alimentos);
  • A última refeição do dia deve ser realizada cerca de 3 horas antes de deitar;
  • Evitar roupas apertadas, especialmente após as refeições;

Fatores de risco para AVC

Existem diversos fatores considerados de risco para a chance de ter um AVC, sendo o principal a hipertensão arterial sistêmica não controlada e, além dela, também aumentam a possibilidade o diabete mellitus, doenças reumatológicas, trombose, uma arritmia cardíaca chamada fibrilação atrial, estenose da válvula mitral, entre outras.

Principais fatores de risco

  • Hipertensão arterial: é o principal fator de risco para AVC. Na população, o valor médio é de "120 por 80" (ou o que popularmente é conhecido como 12 por 8); porém, cada pessoa tem um valor de pressão, que deve ser determinado pelo seu médico. Para estabelecê-lo, são necessárias algumas medidas para que se determine o valor médio. Quando este valor estiver acima do normal daquela pessoa, tem-se a hipertensão arterial. Tanto a pressão elevada quanto a baixa são prejudiciais; a melhor solução é a prevenção. Deve-se entender que qualquer um pode se tornar hipertenso. Não é porque aferiu (mediu) uma vez, estava boa e nunca mais tem que se preocupar. Além disso, existem muitas pessoas que tomam corretamente a medicação determinada porém uma só caixa. A pressão está boa e, então, cessam a medicação. Ora, a pressão está boa justamente porque está seguindo o tratamento. Geralmente, é preciso cuidar-se sempre, para que ela não suba inesperadamente. A hipertensão arterial acelera o processo de aterosclerose, além de poder levar a uma ruptura de um vaso sanguíneo ou a uma isquemia.
  • Doença cardíaca: qualquer doença cardíaca, em especial as que produzem arritmias, podem determinar um AVC. "Se o coração não bater direito"; vai ocorrer uma dificuldade para o sangue alcançar o cérebro, além dos outros órgãos, podendo levar a uma isquemia. As principais situações em que isto pode ocorrer são arritmias, infarto do miocárdio, doença de Chagas, problemas nas válvulas, etc.
  • Problema de colesterol: o colesterol é uma substância existente em todo o nosso corpo, presente nas gorduras animais; ele é produzido principalmente no fígado e adquirido através da dieta rica em gorduras. Seus níveis alterados, especialmente a elevação da fração LDL (mau colesterol, presente nas gorduras saturadas, ou seja, aquelas de origem animal, como carnes, gema de ovo etc.) ou a redução da fração HDL (bom colesterol) estão relacionados à formação das placas de aterosclerose.
  • Tabagismo: O hábito é prejudicial à saúde em todos os aspectos, principalmente naquelas pessoas que já têm outros fatores de risco. O fumo acelera o processo de aterosclerose, diminui a oxigenação do sangue e aumenta o risco de hipertensão arterial.
  • Alcoolismo: quando isso ocorre por muito tempo, os níveis de colesterol se elevam; além disso, a pessoa tem maior propensão à hipertensão arterial.
  • Diabetes: é uma doença em que o nível de açúcar (glicose) no sangue está elevado. A medida da glicose no sangue é o exame de glicemia. Se um portador desta doença tiver sua glicemia controlada, tem AVC menos grave do que aquele que não o controla.
  • Idade avançada: quanto mais idosa uma pessoa, maior a sua probabilidade de ter um AVC. Isso não impede que uma pessoa jovem possa ter.
  • Sexo masculino: até aproximadamente 50 anos de idade os homens têm maior propensão do que as mulheres; depois desta idade, o risco praticamente se iguala.
  • Obesidade: aumenta o risco de diabetes, de hipertensão arterial e de aterosclerose; assim, indiretamente, aumenta o risco de AVC.
  • Anticoncepcionais hormonais: Atualmente acredita-se que as pílulas com baixo teor hormonal, em mulheres que não fumam e não tenham outros fatores de risco, não aumentem, significativamente, a ocorrência de AVC.
  • Solteiros: Uma pesquisa sugere que homens solteiros ou infelizes no casamento correm mais risco de sofrer AVC.[25]
  • Malformação arteriovenosa cerebral: Distúrbio congênito dos vasos sanguíneos do cérebro nos sítios onde exista uma conexão anormal entre as artérias e as veias.[26]

Prevenção

Como todas as doenças vasculares, o melhor tratamento para o AVC é identificar e tratar os fatores de risco como a hipertensão, aterosclerose, o diabetes mellitus, o colesterol elevado, cessar o tabagismo e o etilismo, além de reconhecer e tratar problemas cardíacos. A essa prática se dá o nome de prevenção primária.[27]

Se houver atendimento médico rápido, dentro de um determinado tempo, a área afetada poderá ser normalizada. A essa prática de prevenção que se baseia no atendimento médico eficiente se dá o nome de prevenção secundária.

Caso ocorram sequelas, deve ser iniciado um programa de reabilitação e cuidados com o paciente que inclui equipe multidisciplinar, ou seja, com vários profissionais de diferentes áreas da saúde - fisioterapia, fonoaudiologia, psicologia, técnicos em enfermagem, terapeutas ocupacionais, enfermeiros e médicos. A reabilitação é um tipo de prevenção terciária do paciente.

Tratamento da Pressão Arterial no AVC isquêmico

O manejo da pressão arterial (PA) no AVC isquêmico é altamente polêmico, uma vez que tanto pressões muito altas como muito baixas podem ser fatais. Ambas as situações podem apresentar um potencial de morbi-mortalidade, pois a hipertensão pode estar associada à transformação hemorrágica e recorrência do AVC, enquanto a hipotensão é suspeita de levar a uma baixa perfusão, provocando lesões definitivas da zona da penumbra isquêmica e levando a um pior prognóstico. O tratamento de redução da PA desses pacientes já foi associado a uma melhora de prognóstico e a um aumento da eficiência e segurança do tratamento trombolítico, mas outros estudos correlacionam a redução da PA, assim como a hipotensão do AVC com um pior prognóstico neurológico, com maior morbidade e mortalidade. Alguns especialistas chegam a sugerir o aumento induzido da pressão arterial em pacientes hipotensos com AVC. A causa desse aparente paradoxo não é bem esclarecida, e suspeita-se que diferentes modalidades e circunstâncias do AVC determinem um papel diferente para a pressão arterial no prognóstico do paciente.

A maioria dos neurologistas concorda que pressões excessivamente elevadas (PAS > 220 mmHg) estão associadas a um prognóstico pior, mas a hipotensão (PAS < 60 mmHg) parece ser igualmente deletéria. Vários estudos sugerem que uma redução moderada da pressão, se acompanhada por tratamento trombolítico (como o ativador do plasminogênio tecidual, que é um agente fibrinolítico), pode reduzir significantemente a morbi-mortalidade. Os mesmos estudos tendem a concordar que a redução da pressão, se não acompanhada por trombólise, pode não ser segura.

Em presença dessas incertezas, o protocolo de manejo da PA em pacientes com AVC isquêmico agudo se baseia essencialmente na opinião de especialistas, que recomendam reduzir a PA em casos nos quais esta se encontra excessivamente elevada (PAS>220 mmHg), ou quando a redução for associada ao tratamento trombolítico. Nos demais casos a redução da PA não é recomendada.

A gravidade das sequelas dependem de quanto tempo demorou para o paciente ser atendido, sendo que, quanto mais rápido o tratamento apropriado comece, menos sequelas o paciente provavelmente sofrerá.

Nomenclatura

Embora ainda existam pessoas usando a nomenclatura Acidente Vascular Encefálico (sigla: AVE) no ano de 1996, visando dirimir dúvidas e tentar unificar o termo a ser usado no Brasil, tal assunto foi colocado em discussão durante a Assembleia Geral da Sociedade Brasileira de Doenças Cerebrovasculares (Sigla: SBDCV), ocorrida na cidade de Curitiba, durante o Congresso Brasileiro de Neurologia. Foi aprovado que o termo que deveria ser empregado seria o de "Acidente Vascular Cerebral", quando se dirigir ao público médico e/ou especializado e "derrame" quando for voltado ao público leigo. Tal decisão foi ratificada em 2008, quando este assunto foi novamente discutido, em reunião extraordinária da SBDCV (Quando da elaboração do 2º Consenso do Tratamento da Fase Aguda do AVC) e os termos AVC e derrame foram novamente recomendados.[28]

Em 2010 a Revista Neurociências publicou um artigo intitulado: Acidente Vascular Cerebral ou Acidente Vascular Encefálico? Qual a melhor nomenclatura? Tal artigo explica detalhadamente o porquê dos termos AVC e Derrame serem mantidos.[28]

Ver também

Referências

  1. a b c d e f g h i Donnan GA, Fisher M, Macleod M, Davis SM (Maio de 2008). «Stroke». Lancet. 371 (9624): 1612–23. PMID 18468545. doi:10.1016/S0140-6736(08)60694-7 
  2. a b c d e «What Are the Signs and Symptoms of a Stroke?». www.nhlbi.nih.gov. 26 de março de 2014. Consultado em 27 de fevereiro de 2015 
  3. PhD, Gary Martin (2009). Palliative Care Nursing: Quality Care to the End of Life, Third Edition (em inglês). [S.l.]: Springer Publishing Company. p. 290. ISBN 9780826157928. Cópia arquivada em 3 de agosto de 2017 
  4. a b c d «What Is a Stroke?». www.nhlbi.nih.gov/. 26 de março de 2014. Consultado em 26 de fevereiro de 2015 
  5. a b c «Who Is at Risk for a Stroke?». www.nhlbi.nih.gov. 26 de março de 2014. Consultado em 27 de fevereiro de 2015 
  6. a b c «How Is a Stroke Diagnosed?». www.nhlbi.nih.gov. 26 de março de 2014. Consultado em 27 de fevereiro de 2015 
  7. GBD 2015 Disease and Injury Incidence and Prevalence, Collaborators. (8 de outubro de 2016). «Global, regional, and national incidence, prevalence, and years lived with disability for 310 diseases and injuries, 1990-2015: a systematic analysis for the Global Burden of Disease Study 2015.». Lancet. 388 (10053): 1545–1602. ISSN 0140-6736. PMC 5055577Acessível livremente. PMID 27733282. doi:10.1016/S0140-6736(16)31678-6 
  8. GBD 2015 Mortality and Causes of Death, Collaborators. (8 de outubro de 2016). «Global, regional, and national life expectancy, all-cause mortality, and cause-specific mortality for 249 causes of death, 1980-2015: a systematic analysis for the Global Burden of Disease Study 2015.». Lancet. 388 (10053): 1459–1544. PMID 27733281. doi:10.1016/S0140-6736(16)31012-1 
  9. a b c «Types of Stroke». www.nhlbi.nih.gov. 26 de março de 2014. Consultado em 27 de fevereiro de 2015 
  10. Roos, Karen L. (2012). Emergency Neurology (em inglês). [S.l.]: Springer Science & Business Media. p. 360. ISBN 9780387885841 
  11. Wityk, Robert J.; Llinas, Rafael H. (2007). Stroke (em inglês). [S.l.]: ACP Press. p. 296. ISBN 9781930513709 
  12. Feigin VL, Rinkel GJ, Lawes CM, Algra A, Bennett DA, van Gijn J, Anderson CS (2005). «Risk factors for subarachnoid hemorrhage: an updated systematic review of epidemiological studies». Stroke. 36 (12): 2773–80. PMID 16282541. doi:10.1161/01.STR.0000190838.02954.e8 
  13. Global Burden of Disease Study 2013, Collaborators (22 de agosto de 2015). «Global, regional, and national incidence, prevalence, and years lived with disability for 301 acute and chronic diseases and injuries in 188 countries, 1990-2013: a systematic analysis for the Global Burden of Disease Study 2013.». Lancet (London, England). 386 (9995): 743–800. PMC 4561509Acessível livremente. PMID 26063472. doi:10.1016/s0140-6736(15)60692-4 
  14. a b Feigin VL, Forouzanfar MH, Krishnamurthi R, Mensah GA, Connor M, Bennett DA, Moran AE, Sacco RL, Anderson L, Truelsen T, O'Donnell M, Venketasubramanian N, Barker-Collo S, Lawes CM, Wang W, Shinohara Y, Witt E, Ezzati M, Naghavi M, Murray C (2014). «Global and regional burden of stroke during 1990-2010: findings from the Global Burden of Disease Study 2010». Lancet. 383 (9913): 245–54. PMID 24449944. doi:10.1016/S0140-6736(13)61953-4 
  15. a b GBD 2013 Mortality and Causes of Death, Collaborators (17 de dezembro de 2014). «Global, regional, and national age-sex specific all-cause and cause-specific mortality for 240 causes of death, 1990-2013: a systematic analysis for the Global Burden of Disease Study 2013.». Lancet. 385: 117–71. PMC 4340604Acessível livremente. PMID 25530442. doi:10.1016/S0140-6736(14)61682-2 
  16. Easton J. Donald; Saver Jeffrey L.; Albers Gregory W.; Alberts Mark J.; Chaturvedi Seemant; Feldmann Edward; Hatsukami Thomas S.; Higashida Randall T.; Johnston S. Claiborne (1 de junho de 2009). «Definition and Evaluation of Transient Ischemic Attack». Stroke. 40 (6): 2276–2293. doi:10.1161/STROKEAHA.108.192218 
  17. «Tissue Plasminogen Activator for Acute Ischemic Stroke». New England Journal of Medicine. 333 (24): 1581–1588. 14 de dezembro de 1995. ISSN 0028-4793. PMID 7477192. doi:10.1056/NEJM199512143332401 
  18. Kidwell Chelsea S.; Alger Jeffry R.; Di Salle Francesco; Starkman Sidney; Villablanca Pablo; Bentson John; Saver Jeffrey L. (1 de junho de 1999). «Diffusion MRI in Patients With Transient Ischemic Attacks». Stroke. 30 (6): 1174–1180. doi:10.1161/01.STR.30.6.1174 
  19. «Cientistas identificam dois novos sintomas de derrame». Jornal Agora MS. 2 de dezembro de 2011. Consultado em 3 de dezembro de 2011. Arquivado do original em 7 de março de 2012 
  20. «Manual de rotinas para atenção ao AVC» (PDF). Ministério da Saúde. 2013. Consultado em 1 de julho de 2019 
  21. CAMARGO, Luís Fernando Aranha (2010). Página Einstein. Revista Veja, editora Abril, edição 2162, ano 43, nº 17, pág. 59
  22. a b «Cópia arquivada». Consultado em 20 de janeiro de 2019. Arquivado do original em 21 de janeiro de 2019 
  23. «Alteplase | MedicinaNET». www.medicinanet.com.br. Consultado em 6 de junho de 2021 
  24. Niro Terroni, Luisa de Marillac; Costa Leite, Claudia; Tinone, Gisela; Fráguas JR*, Renério (5 de agosto de 2003). «Depressão Pós-AVC: Fatores de risco e Terapêutica antidepressiva» (PDF). SciELO: Scientific Electronic Library Online 
  25. «Homens solteiros ou 'mal casados' têm mais chance de sofrer AVC, diz estudo». G1. 25 de fevereiro de 2010. Consultado em 25 de fevereiro de 2010
  26. Hudak, CM (1997). Cuidados intensivos de enfermagem: uma abordagem holística. [S.l.]: Guanabara Koogan 
  27. Pitton Rissardo, Jamir; Fornari Caprara, Ana Letícia; Cervi Prado, Ana Lucia (setembro de 2018). «Stroke Literacy in a South Brazilian City: A Community Based Survey». Journal of Stroke and Cerebrovascular Diseases (9): 2513–2518. ISSN 1052-3057. doi:10.1016/j.jstrokecerebrovasdis.2018.05.006. Consultado em 18 de outubro de 2021 
  28. a b Rubens José Gagliardi (2010). «Acidente Vascular Cerebral ou Acidente Vascular Encefálico? Qual a melhor nomenclatura?» (PDF). Revista Neurociências. Consultado em 29 de abril de 2015 

Ligações externas

A primeira unidade de AVC em Portugal foi criada em 2003 no Hospital Pulido Valente, em Lisboa.

Teve o patrocínio da Fundação Luso‑Americana para o Desenvolvimento, da Fundação Calouste Gulbenkian e dos Laboratórios Delta.

O criador e depois diretor da unidade foi o Prof. João Gorjão Clara, cardiologista e internista.

O percurso da criação da Unidade de AVC do Hospital Pulido Valente e os resultados do primeiro ano de funcionamento foram publicados na Revista Portuguesa de Cardiologia em 2004.

Referência: Teresa Fonseca, J. Gorjão Clara. Unidades de Acidentes Vasculares Cerebrais: resultado do primeiro ano de funcionamento da UAVC do Hospital Pulido Valente, S.A. Revista Portuguesa de Cardiologia, 2004; 23(10): 1227‑1241