O Código da Vida

O que será que determina como somos?

DNA

Quais mecanismos fazem com sejamos parecidos, ou não, com nossos pais? Desde o princípio da civilização o homem sabe que “os filhos se parecem com os pais” e, partindo deste princípio simples, ele melhorou a agricultura e domesticou animais, transformando seu modo de vida e permitindo o desenvolvimento de sociedades mais complexas.

Hereditariedade

Hipócrates(460 AC - 370 AC)

Mas o que é transmitido dos pais para os filhos para que eles sejam parecidos?

Desde Hipócrates na Grécia antiga, o sêmen é dito portador das características do pai para os filhos. Na reprodução sexuada, o macho e a fêmea produzem descendentes com características genéticas de ambos. Nos animais, a reprodução sexuada compreende a fusão de dois gametas distintos para dar origem ao zigoto. Com o avanço da microscopia, e a descoberta dos gametas, começaram os estudos para tentar entender qual é a contribuição destas duas células para determinar as características dos filhos. Hoje sabemos que ambos os gametas carregam informação necessária para determinar como somos, mas onde está contida esta informação? Os cromossomos são estruturas localizadas em um região da celula chamada de núcleo celular. Estes cromossomos são feitos de DNA (ácido desoxirribonucleico – ADN, em português), e alguns segmentos do DNA contém a informação necessária para produzir uma proteína: são os genes. Os genes são as unidades dos cromossomos responsáveis por determinar as características dos seres vivos(video:O genoma humano).


Cromossomo(1) Cromatídeo. Cada um dos dois braços idênticos dum cromossoma depois da fase S. (2) Centrómero. O ponto de ligação de dois cromatídeos, onde se ligam os microtúbulos. (3) Braço curto. (4) Braço longo.
Estrutura de uma (celula) animal típica: 1. Nucléolo, 2. Núcleo celular, 3. Ribossomos, 4. Vesículas, 5. Ergastoplasma ou Retículo endoplasmático rugoso (RER), 6. Complexo de Golgi, 7. Microtúbulos, 8. Retículo endoplasmático liso (REL), 9. Mitocôndrias, 10. Vacúolo, 11. Citoplasma, 12. Lisossomas, 13. Centríolos.



Um ser humano saudável possui 23 pares de cromossomos (46 cromossomos no total), sendo que os cromossomos de um par são iguais em forma, tamanho e genes que possuem (são os cromossomos homólogos).Na produção dos gametas, eles recebe um cromossomo de cada par de cromossomos homólogos, e quando ocorre a fecundação, encontro entre o gameta masculino (espermatozoide) e o gameta feminino (óvulo), há a formação de uma nova célula (zigoto) que dará origem ao novo indivíduo. Na formação do zigoto, ocorre a junção dos cromossomos do óvulo com os do espermatozoide e se formam novos pares de cromossomos homólogos (portanto, uma copia de cada cromossomo é herdada do pai, a outra da mãe). As características deste novo indivíduo são controladas pelos genes em seus cromossomos, que vieram dos seus pais através dos gametas.


É desta forma que as características dos nossos pais são passadas para nós, e nós, quando tivermos nossos filhos, passaremos a eles parte de nossas características.

Divisão Celular e formação dos gametas

Mas depois do encontro dos gametas, como nós crescemos, nos desenvolvemos até que possamos enfim nascer, e o efeito dos genes aparecerem aos nossos olhos?

Quando ocorre a fecundação (encontro do óvulo com o espermatozoide) é formada a primeira celula do embrião. Porém nos parece óbvio que desde a fecundação até o estado que nos encontramos hoje o número de celulas do nosso corpo aumentou. Como ocorre esse processo?

Hoje em dia é conhecido o processo de divisão celular, que é como as celulas podem se multiplicar, e assim nós podemos crescer, repor células perdidas, e produzir células especiais, como os gametas.

Desde quando éramos apenas uma celula (zigoto) no útero de nossas mães, começamos a fazer sucessivas divisões celulares; as células que foram se dividindo deram origem aos nossos braços, pernas, olhos e todo nosso corpo. Este tipo de divisão foi a responsável por você ter crescido desde que nasceu, e também é responsável por fazer com que as celulas perdidas quando, por exemplo, ralamos o nosso joelho, sejam substituídas por novas células, iguais às que estavam no lugar antes. Este tipo de divisão é a mitose

Mitose
Mitose

.

Nesta divisão a célula que se divide (celula mãe) dá origem à duas células novas (células filhas), que são iguais à célula mãe e iguais entre si. Então a divisão celular que observamos no desenvolvimento do embrião, no nosso crescimento, e quando nos recuperamos de alguns ferimentos é a mitose, uma divisão equacional, ou seja, que produz sempre células iguais.

Um outro tipo de divisão celular muito especial é a meiose, esta é uma divisão sempre relacionada com a reprodução. É com este tipo de divisão, por exemplo, que as plantas produzem espóros que dão origem ao grão de pólen, um “pó” que carrega o gameta masculino da flor de uma planta para outra flor.

Meiose
Meiose

Praticamente todos os animais produzem seus gametas(espermatozoides em machos e óvulos em fêmeas) por meiose. Grilos, peixes e até nós humanos usamos este tipo de divisão para formar nossos gametas. Assim, quando uma celula entra no processo de divisão por meiose a celula que se divide (célula-mãe) produz quatro células novas (células filhas). Observe que estas são diferentes das células-mãe. Na meiose a célula-mãe tem seus pares de cromossomos homólogos separados, desta forma cada célula-filha (gameta no caso dos animais) recebe um cromossomo de cada par de cromossomos homólogos da célula mãe. Quando ocorre a fecundação, os cromossomos de um gameta formam novos pares de cromossomos homólogos com os cromossomos do outro gameta. Nos seres humanos, por exemplo, os cromossomos do espermatozóide irão parear com os cromossomos do óvulo e formar os novos pares de cromossomos homólogos do zigoto. Lembre-se que os cromossomos carregam, nos genes, as características dos indivíduos, desta forma quando são produzidos os gametas, cada gameta leva parte das características do pai (nos espermatozoides e da mãe ( no óvulo) e na fecundação, o zigoto carregará metade dos cromossomos com características do pai, e metade dos cromossomos com características da mãe.

É por isso que nós compartilhamos características com nosso pai e nossa mãe: a meiose possibilita a formação de gametas e a transmissão das características dos pais para os filhos; a mitose é responsável por transformar o zigoto em indivíduos adultos como nós, e por fazer com que quando nos machucamos possamos nos recuperar.

Determinado o sexo

Nas células da espécie humana existem 23 pares de cromossomos. 22 pares são iguais em machos e fêmeas - e são chamados de autossomos. Os outros dois, os cromossomos sexuais, ou heterosossomos, são diferentes em homens e mulheres. As mulheres possuem duas copias iguais do cromossomo sexual denominado X; o par formado portanto é representado como XX. Já os homens possuem um cromossomo X e outro não totalmente homologo, denominado Y, formando o par XY. Os gametas formados pelas mulheres possuem apenas o cromossomo X, enquanto os homens podem formar gametas com o cromossomo X ou Y.

Atividades

  • As atividades propostas são complementares ao texto acima.

Mitose x Meiose

  1. Qual é a diferença básica entre a meiose e a mitose?
  2. Onde atua cada processo nos seres humanos?

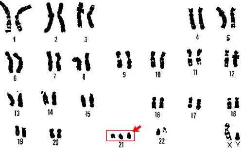
Cariótipo Humano

Um cariótipo é o perfil cromossômico de uma pessoa, apresentado de maneira organizada. Os cromossomos são arranjados e numerados por tamanho. Este arranjo auxilia os cientistas a identificar alterações cromossômicas, que podem resultar em muitas doenças conhecidas.

  1. O cariótipo que você ajudou a montar é de um homem ou uma mulher?
  2. Observe a figura abaixo:
    Trissomia do cromossomo 21
    .Compare-a com o cariótipo que você montou.Que diferença você nota?
  3. Esta diferença é responsável por uma doença genética humana bastante conhecida. Qual? Descubra mais sobre esta doença aqui

Extração caseira de DNA de morango

Com detergente, álcool e um pouco de sal é possível extrair DNA de morangos.

  1. Por que é necessário macerar o morango?
  2. Em que etapa do procedimento ocorre o rompimento das membranas das células do morango? Explique.
  3. Qual a função do sal de cozinha?
  4. Qual o papel do álcool?
  5. Por que você não pode ver a dupla hélice do DNA extraído?
  6. Considerando os procedimentos da extração do DNA genômico, você espera obtê-lo sem

quebras mecânicas e/ou químicas?