Glândula paratiroide

Glândulas paratiróides

Sistema endócrino. (A glândula paratiróide não está representada na figura, mas está presente na superfície da glândula tiróide.)

Tiróide e paratiróide.
Detalhes
Vascularização artéria tireoídea superior, artéria tireoídea inferior,
Drenagem venosa veia tireoídea superior, veia tireoídea média, veia tireoídea inferior
Inervação gânglio cervical médio, gânglio cervical inferior
Precursor mesênquima da crista neural e endoderme da terceira e quarta bolsas faríngeas
Identificadores
Latim glandula parathyroidea inferior, glandula parathyroidea superior
Gray pág.1271
MeSH Parathyroid+Glands

As glândulas paratiroides são, tipicamente, quatro glândulas endócrinas que se situam posteriormente à glândula tiroide. Podem, por vezes, estar embebidas na mesma. As quatro podem ser descritas como um par de paratiroides superiores e um par de inferiores, atendendo à sua localização relativa.[1] É também comum a presença de mais do que quatro paratireoides, podendo existir seis ou mesmo oito. Estas glândulas produzem paratormona / hormona paratiroídeia (PTH), a principal hormona da regulação da concentração de cálcio no sangue.

Anatomia e histologia

As glândulas paratiroides são assim nomeadas devido à sua proximidade com a glândula tiroide; contudo, exercem uma função independente da mesma. São glândulas histologicamente distintas, possuindo maior densidade celular que a tiroide, a qual é caracterizada por uma estrutura folicular. Já anatomicamente, torna-se difícil diferenciá-las da tiroide e do tecido adiposo circundante, tarefa necessária aquando de uma paratiroidectomia ou de uma tiroidectomia, por exemplo.

A irrigação sanguínea das paratiroides é feita sobretudo pelas artérias tiroideias inferiores, pela sua proximidade; no entanto, podem também receber irrigação das artérias tiroideias superiores, ou ainda das artérias tiroideia ima, laríngeas, traqueais ou esofágicas. A drenagem venosa faz-se para o plexo tiroideu. A drenagem linfática é feita para os gânglios cervicais profundos e para os paratraqueais.

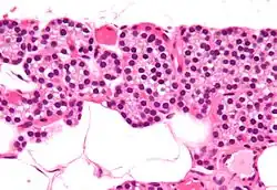
Micrografia ampliada com coloração H&E, mostrando as células (escuras) chefes que segregam os hormônios das paratiroides.

Histologicamente, as paratiroides apresentam dois tipos de células: as principais e as oxifílicas. As células principais são menores e abundantes, e são elas que secretam a PTH. As células oxífilicas são maiores, mais eosinófilas (devido à sua abundância de mitocôndrias) e têm função desconhecida. Cada glândula é envolvida por uma cápsula própria, da qual se projetam feixes de tecido conjuntivo que dividem o interior da glândula em lóbulos.

Os dois tipos de células, principais e oxífilicas, são sustentadas por uma matriz de tecido conjuntivo reticular e adiposo.

Células oxifilas em coloração por hematoxilina e eosina,apresentam o seu núcleo intensamente corado pela hematoxilina,enquanto que seu citoplasma homogeneo e corado pela eosina,estas células não secretam PTH,a função celular é desconhecida

As células principais,apresentam núcleo densamente corado e o citoplasma também intensamente coradas, estas células são responsáveis pela secreção do hormônio Paratormônio(PTH).As células principais,normalmente se apresentam como uma coloração mais escuras,o que denota uma atividade nuclear e enzimática ativas,enquanto que as células claras, são denominadas assim por serem células principais em repouso,em que não é observado a produção de PTH,mas no seu citoplasma tem acumulo de lipídeos e glicogênio.

Fisiologia e bioquímica

Estas glândulas sintetizam e libertam no sangue paratormona.

A função principal das paratiroides é manter o nível de cálcio no sangue dentro do estreito limite apropriado ao funcionamento dos sistemas nervoso e muscular. Receptores de cálcio na glândula são ativados quando este elemento atinge determinado nível, libertando a paratormona na corrente sanguínea.

A paratormona (PTH) é uma proteína pequena que participa no controlo da homeostase de cálcio e fosfato, e da fisiologia do osso. O seu efeito é antagónico ao da calcitonina: aumenta o nível de cálcio no sangue estimulando a quebra dos osteoclastos para libertar cálcio (destruição do cristal -apatite- do osso) ; aumenta a absorção de cálcio no intestino através da ativação da vitamina D; promove a reabsorção de cálcio nos rins. Tudo isso se traduz num aumento rápido e sustentado da quantidade de cálcio no sangue. Além disso, afeta a percepção de bem-estar, e a ausência de PTH pode estar associada a fadiga e ansiedade.

Influencia na concentração sanguínea de fosfato aumentando a excreção renal deste íon, pela diminuição da sua absorção nos túbulos renais.

Embriologia

As paratiroides desenvolvem-se dos terceiros e quartos pares de bolsas faringeais embrionárias.

3 ° par - paratireoide inferior e 4° par - paratireoide superior

Porção dorsal: formação de nódulos à rede capilar; porção ventral: formação do corpo últimofaríngeo, se funde com tireoide e origina células parafoliculares também são conhecidas como células C da tireoide, que produzem calcitonina.

Malformações

  • Glândulas Paratireoides ectópicas: as glândulas se localizam fora de seu local de origem, devido ao brotamento indevido do terceiro e/ou quarto par de arcos faríngeos.[2]
  • Glândulas Paratireoides em número anormal (Supranumerárias): resultam da divisão do primórdio das glândulas originais, tanto do terceiro par de arcos faríngeos que dão origem a formação das paratireoides inferiores, quanto do quarto par de arcos faríngeos que dão origem as paratireoides superiores.[2]
  • Agenesia Unilateral das Paratireoides: Ausência da glândula em apenas um lado da tireoide, devido ao não brotamento das vesículas do terceiro ou quarto par de bolsas faríngeas, provocados pela falha na migração de células da crista neural e endodérmicas.

Doenças

  • Hiperparatiroidismo, pode ser primário com hipercalcemia ou secundário a aumentos crónicos do cálcio sanguíneo.
    • Hipercalcémia -resultante de hiperparatireoidismo.
  • Hipoparatiroidismo, pode ser primário com hipocalcemia ou secundário a diminuições crônicas do cálcio sanguíneo.
  • Pseudohipoparatireoidismo, devido a resistência genética à PTH.
  • Tumores da paratireoide -neoplasias da paratireoide.
  • Síndrome de DiGeorge: síndrome congênita que surge devido à malformação envolvendo os arcos faríngeos durante a embriogênese, fazendo com que a criança nasce sem o timo e as glândulas paratireoides, sendo incompatível com a vida. Isso ocorre pois a terceira e quarta bolsas faríngeas não se diferenciarem em timo e paratireoides, devido ao colapso na sinalização entre as células endodérmicas e da crista neural adjacente.[3]

Imagens adicionais

Referências

  1. Latarjet, Michel; Ruiz Liard, Alfredo (2004). Anatomía humana (em espanhol). 2 4ª ed. Buenos Aires: Ed. Médica Panamericana. p. 134. ISBN 978-950-06-1369-9
  2. 1 2 MOORE, Keith;; et al. (2016). Embriologia Clínica. Rio de Janeiro: Elsevier. p. 168
  3. MOORE, Keith;; et al. (2016). Embriologia Clínica. Rio de Janeiro: Elsevier. p. 167